胰腺内副脾模拟胰腺神经内分泌肿瘤——一个重要但几乎被遗忘的鉴别诊断。

IF 1.1 4区 医学 Q3 SURGERY
Journal of Minimal Access Surgery Pub Date : 2025-07-01 Epub Date: 2025-06-09 DOI:10.4103/jmas.jmas_245_24
Kaique Flavio Xavier Cardoso Filardi, José Donizeti de Meira Júnior, Thiago Nogueira Costa, André Montagnini, Ismael Dominguez-Rosado, Carlos Chan, José Jukemura, Paulo Herman
{"title":"胰腺内副脾模拟胰腺神经内分泌肿瘤——一个重要但几乎被遗忘的鉴别诊断。","authors":"Kaique Flavio Xavier Cardoso Filardi, José Donizeti de Meira Júnior, Thiago Nogueira Costa, André Montagnini, Ismael Dominguez-Rosado, Carlos Chan, José Jukemura, Paulo Herman","doi":"10.4103/jmas.jmas_245_24","DOIUrl":null,"url":null,"abstract":"<p><strong>Abstract: </strong>Intrapancreatic accessory spleen (IPAS) is a rare condition resulting from the failure of embryological splenic buds to fuse. Found in approximately 1.1% to 3.4% of the population, IPAS can present significant diagnostic challenges, often mimicking pancreatic tumours such as pancreatic neuroendocrine tumours. We report two cases of IPAS, each illustrating different diagnostic approaches and outcomes. These cases highlight the importance of considering IPAS in differential diagnoses for hypervascular pancreatic tail lesions. Advanced imaging techniques such as magnetic resonance imaging, computerised tomography, technetium-99m scintigraphy and endoscopic ultrasound-guided fine-needle aspiration are critical in distinguishing IPAS from malignant conditions, potentially preventing unwarranted surgical interventions. Comprehensive diagnostic protocols combining multiple modalities are recommended to enhance diagnostic accuracy and optimise patient outcomes.</p>","PeriodicalId":48905,"journal":{"name":"Journal of Minimal Access Surgery","volume":" ","pages":"321-325"},"PeriodicalIF":1.1000,"publicationDate":"2025-07-01","publicationTypes":"Journal Article","fieldsOfStudy":null,"isOpenAccess":false,"openAccessPdf":"https://www.ncbi.nlm.nih.gov/pmc/articles/PMC12327783/pdf/","citationCount":"0","resultStr":"{\"title\":\"Intrapancreatic accessory spleen mimicking a pancreatic neuroendocrine tumour - An important but almost forgotten differential diagnosis.\",\"authors\":\"Kaique Flavio Xavier Cardoso Filardi, José Donizeti de Meira Júnior, Thiago Nogueira Costa, André Montagnini, Ismael Dominguez-Rosado, Carlos Chan, José Jukemura, Paulo Herman\",\"doi\":\"10.4103/jmas.jmas_245_24\",\"DOIUrl\":null,\"url\":null,\"abstract\":\"<p><strong>Abstract: </strong>Intrapancreatic accessory spleen (IPAS) is a rare condition resulting from the failure of embryological splenic buds to fuse. Found in approximately 1.1% to 3.4% of the population, IPAS can present significant diagnostic challenges, often mimicking pancreatic tumours such as pancreatic neuroendocrine tumours. We report two cases of IPAS, each illustrating different diagnostic approaches and outcomes. These cases highlight the importance of considering IPAS in differential diagnoses for hypervascular pancreatic tail lesions. Advanced imaging techniques such as magnetic resonance imaging, computerised tomography, technetium-99m scintigraphy and endoscopic ultrasound-guided fine-needle aspiration are critical in distinguishing IPAS from malignant conditions, potentially preventing unwarranted surgical interventions. Comprehensive diagnostic protocols combining multiple modalities are recommended to enhance diagnostic accuracy and optimise patient outcomes.</p>\",\"PeriodicalId\":48905,\"journal\":{\"name\":\"Journal of Minimal Access Surgery\",\"volume\":\" \",\"pages\":\"321-325\"},\"PeriodicalIF\":1.1000,\"publicationDate\":\"2025-07-01\",\"publicationTypes\":\"Journal Article\",\"fieldsOfStudy\":null,\"isOpenAccess\":false,\"openAccessPdf\":\"https://www.ncbi.nlm.nih.gov/pmc/articles/PMC12327783/pdf/\",\"citationCount\":\"0\",\"resultStr\":null,\"platform\":\"Semanticscholar\",\"paperid\":null,\"PeriodicalName\":\"Journal of Minimal Access Surgery\",\"FirstCategoryId\":\"3\",\"ListUrlMain\":\"https://doi.org/10.4103/jmas.jmas_245_24\",\"RegionNum\":4,\"RegionCategory\":\"医学\",\"ArticlePicture\":[],\"TitleCN\":null,\"AbstractTextCN\":null,\"PMCID\":null,\"EPubDate\":\"2025/6/9 0:00:00\",\"PubModel\":\"Epub\",\"JCR\":\"Q3\",\"JCRName\":\"SURGERY\",\"Score\":null,\"Total\":0}","platform":"Semanticscholar","paperid":null,"PeriodicalName":"Journal of Minimal Access Surgery","FirstCategoryId":"3","ListUrlMain":"https://doi.org/10.4103/jmas.jmas_245_24","RegionNum":4,"RegionCategory":"医学","ArticlePicture":[],"TitleCN":null,"AbstractTextCN":null,"PMCID":null,"EPubDate":"2025/6/9 0:00:00","PubModel":"Epub","JCR":"Q3","JCRName":"SURGERY","Score":null,"Total":0}
引用次数: 0

摘要

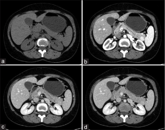
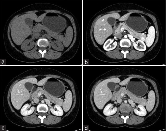
摘要:胰腺内副脾(IPAS)是一种罕见的由胚胎期脾芽未能融合引起的疾病。IPAS约占人口的1.1%至3.4%,诊断上存在重大挑战,常与胰腺肿瘤如胰腺神经内分泌肿瘤相似。我们报告两个IPAS病例,每个病例都说明了不同的诊断方法和结果。这些病例强调了考虑IPAS在胰尾高血管病变鉴别诊断中的重要性。先进的成像技术,如磁共振成像、计算机断层扫描、锝-99m显像和内窥镜超声引导下的细针穿刺,是区分IPAS与恶性疾病的关键,有可能防止不必要的手术干预。建议综合诊断方案,结合多种模式,以提高诊断的准确性和优化患者的结果。
本文章由计算机程序翻译,如有差异,请以英文原文为准。

Intrapancreatic accessory spleen mimicking a pancreatic neuroendocrine tumour - An important but almost forgotten differential diagnosis.

Intrapancreatic accessory spleen mimicking a pancreatic neuroendocrine tumour - An important but almost forgotten differential diagnosis.

Intrapancreatic accessory spleen mimicking a pancreatic neuroendocrine tumour - An important but almost forgotten differential diagnosis.

Intrapancreatic accessory spleen mimicking a pancreatic neuroendocrine tumour - An important but almost forgotten differential diagnosis.

Intrapancreatic accessory spleen mimicking a pancreatic neuroendocrine tumour - An important but almost forgotten differential diagnosis.

Intrapancreatic accessory spleen mimicking a pancreatic neuroendocrine tumour - An important but almost forgotten differential diagnosis.

Intrapancreatic accessory spleen mimicking a pancreatic neuroendocrine tumour - An important but almost forgotten differential diagnosis.

Abstract: Intrapancreatic accessory spleen (IPAS) is a rare condition resulting from the failure of embryological splenic buds to fuse. Found in approximately 1.1% to 3.4% of the population, IPAS can present significant diagnostic challenges, often mimicking pancreatic tumours such as pancreatic neuroendocrine tumours. We report two cases of IPAS, each illustrating different diagnostic approaches and outcomes. These cases highlight the importance of considering IPAS in differential diagnoses for hypervascular pancreatic tail lesions. Advanced imaging techniques such as magnetic resonance imaging, computerised tomography, technetium-99m scintigraphy and endoscopic ultrasound-guided fine-needle aspiration are critical in distinguishing IPAS from malignant conditions, potentially preventing unwarranted surgical interventions. Comprehensive diagnostic protocols combining multiple modalities are recommended to enhance diagnostic accuracy and optimise patient outcomes.

求助全文
通过发布文献求助,成功后即可免费获取论文全文。 去求助
来源期刊
CiteScore
1.70
自引率
0.00%
发文量
151
审稿时长
36 weeks
期刊介绍: Journal of Minimal Access Surgery (JMAS), the official publication of Indian Association of Gastrointestinal Endo Surgeons, launched in early 2005. The JMAS, a quarterly publication, is the first English-language journal from India, as also from this part of the world, dedicated to Minimal Access Surgery. The JMAS boasts an outstanding editorial board comprising of Indian and international experts in the field.
×
引用
GB/T 7714-2015
复制
MLA
复制
APA
复制
导出至
BibTeX EndNote RefMan NoteFirst NoteExpress
×
提示
您的信息不完整,为了账户安全,请先补充。
现在去补充
×
提示
您因"违规操作"
具体请查看互助需知
我知道了
×
提示
确定
请完成安全验证×
copy
已复制链接
快去分享给好友吧!
我知道了
右上角分享
点击右上角分享
0
联系我们:info@booksci.cn Book学术提供免费学术资源搜索服务,方便国内外学者检索中英文文献。致力于提供最便捷和优质的服务体验。 Copyright © 2023 布克学术 All rights reserved.
京ICP备2023020795号-1
ghs 京公网安备 11010802042870号
Book学术文献互助
Book学术文献互助群
群 号:604180095
Book学术官方微信