氟-18-氟脱氧葡萄糖正电子发射断层扫描误诊食管平滑肌瘤合并肾上腺皮质腺瘤为食管癌伴肾上腺转移1例。

IF 2.2 4区 医学 Q3 ONCOLOGY
Oncology Letters Pub Date : 2025-03-20 eCollection Date: 2025-05-01 DOI:10.3892/ol.2025.14984
Xiaoming Sun, Lin Lv, Daming Fan, Yubin Huang, Liangming Zhu, Haibo Liu
{"title":"氟-18-氟脱氧葡萄糖正电子发射断层扫描误诊食管平滑肌瘤合并肾上腺皮质腺瘤为食管癌伴肾上腺转移1例。","authors":"Xiaoming Sun, Lin Lv, Daming Fan, Yubin Huang, Liangming Zhu, Haibo Liu","doi":"10.3892/ol.2025.14984","DOIUrl":null,"url":null,"abstract":"<p><p>Leiomyoma is a benign muscular abnormality that commonly occurs in the middle and distal third of the esophagus, leading to thickening of the esophageal wall and subsequent esophageal luminal narrowing. Notably, esophageal leiomyoma often does not show increased 18F-fluorodeoxyglucose (FDG) uptake on positron emission tomography (PET). The present study described a case of esophageal leiomyoma combined with adrenal adenoma. Results of the PET-computed tomography analysis revealed that FDG metabolism was increased in the lower segment of the esophagus and the left adrenal gland, with maximum standardized uptake values of 6.5 and 4.1, respectively. Therefore, initially, the patient was diagnosed with an esophageal malignant tumor with left adrenal metastasis. Open surgery was performed for complete removal of the lesions, and results of a routine pathological analysis revealed esophageal leiomyoma combined with adrenal cortical adenoma. The present study indicates that to avoid unnecessary surgeries, esophageal leiomyoma and adrenal cortical adenoma should be diagnosed through a comprehensive assessment with endoscopy, endoscopic ultrasound, computed tomography, magnetic resonance imaging and tissue sample pathology, not just PET.</p>","PeriodicalId":19503,"journal":{"name":"Oncology Letters","volume":"29 5","pages":"238"},"PeriodicalIF":2.2000,"publicationDate":"2025-03-20","publicationTypes":"Journal Article","fieldsOfStudy":null,"isOpenAccess":false,"openAccessPdf":"https://www.ncbi.nlm.nih.gov/pmc/articles/PMC12142281/pdf/","citationCount":"0","resultStr":"{\"title\":\"Misdiagnosis of esophageal leiomyoma combined with adrenal cortical adenoma as esophageal cancer with adrenal metastasis by fluorine-18-fluorodeoxyglucose positron emission tomography: A case report.\",\"authors\":\"Xiaoming Sun, Lin Lv, Daming Fan, Yubin Huang, Liangming Zhu, Haibo Liu\",\"doi\":\"10.3892/ol.2025.14984\",\"DOIUrl\":null,\"url\":null,\"abstract\":\"<p><p>Leiomyoma is a benign muscular abnormality that commonly occurs in the middle and distal third of the esophagus, leading to thickening of the esophageal wall and subsequent esophageal luminal narrowing. Notably, esophageal leiomyoma often does not show increased 18F-fluorodeoxyglucose (FDG) uptake on positron emission tomography (PET). The present study described a case of esophageal leiomyoma combined with adrenal adenoma. Results of the PET-computed tomography analysis revealed that FDG metabolism was increased in the lower segment of the esophagus and the left adrenal gland, with maximum standardized uptake values of 6.5 and 4.1, respectively. Therefore, initially, the patient was diagnosed with an esophageal malignant tumor with left adrenal metastasis. Open surgery was performed for complete removal of the lesions, and results of a routine pathological analysis revealed esophageal leiomyoma combined with adrenal cortical adenoma. The present study indicates that to avoid unnecessary surgeries, esophageal leiomyoma and adrenal cortical adenoma should be diagnosed through a comprehensive assessment with endoscopy, endoscopic ultrasound, computed tomography, magnetic resonance imaging and tissue sample pathology, not just PET.</p>\",\"PeriodicalId\":19503,\"journal\":{\"name\":\"Oncology Letters\",\"volume\":\"29 5\",\"pages\":\"238\"},\"PeriodicalIF\":2.2000,\"publicationDate\":\"2025-03-20\",\"publicationTypes\":\"Journal Article\",\"fieldsOfStudy\":null,\"isOpenAccess\":false,\"openAccessPdf\":\"https://www.ncbi.nlm.nih.gov/pmc/articles/PMC12142281/pdf/\",\"citationCount\":\"0\",\"resultStr\":null,\"platform\":\"Semanticscholar\",\"paperid\":null,\"PeriodicalName\":\"Oncology Letters\",\"FirstCategoryId\":\"3\",\"ListUrlMain\":\"https://doi.org/10.3892/ol.2025.14984\",\"RegionNum\":4,\"RegionCategory\":\"医学\",\"ArticlePicture\":[],\"TitleCN\":null,\"AbstractTextCN\":null,\"PMCID\":null,\"EPubDate\":\"2025/5/1 0:00:00\",\"PubModel\":\"eCollection\",\"JCR\":\"Q3\",\"JCRName\":\"ONCOLOGY\",\"Score\":null,\"Total\":0}","platform":"Semanticscholar","paperid":null,"PeriodicalName":"Oncology Letters","FirstCategoryId":"3","ListUrlMain":"https://doi.org/10.3892/ol.2025.14984","RegionNum":4,"RegionCategory":"医学","ArticlePicture":[],"TitleCN":null,"AbstractTextCN":null,"PMCID":null,"EPubDate":"2025/5/1 0:00:00","PubModel":"eCollection","JCR":"Q3","JCRName":"ONCOLOGY","Score":null,"Total":0}
引用次数: 0

摘要

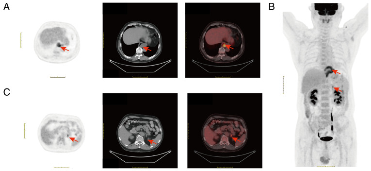
平滑肌瘤是一种良性肌肉异常,通常发生在食管中部和远端三分之一处,导致食管壁增厚和随后的食管管腔狭窄。值得注意的是,食管平滑肌瘤在正电子发射断层扫描(PET)上通常没有显示18f -氟脱氧葡萄糖(FDG)摄取增加。本文报告1例食管平滑肌瘤合并肾上腺腺瘤。pet计算机断层扫描结果显示,食道下段和左肾上腺的FDG代谢增加,最大标准化摄取值分别为6.5和4.1。因此,患者最初被诊断为食管恶性肿瘤并左肾上腺转移。开放手术完全切除病变,常规病理分析结果为食管平滑肌瘤合并肾上腺皮质腺瘤。本研究提示,为了避免不必要的手术,食管平滑肌瘤和肾上腺皮质腺瘤的诊断应通过内镜、内镜超声、计算机断层扫描、磁共振成像和组织样本病理等综合评估,而不仅仅是PET。
本文章由计算机程序翻译,如有差异,请以英文原文为准。

Misdiagnosis of esophageal leiomyoma combined with adrenal cortical adenoma as esophageal cancer with adrenal metastasis by fluorine-18-fluorodeoxyglucose positron emission tomography: A case report.

Misdiagnosis of esophageal leiomyoma combined with adrenal cortical adenoma as esophageal cancer with adrenal metastasis by fluorine-18-fluorodeoxyglucose positron emission tomography: A case report.

Misdiagnosis of esophageal leiomyoma combined with adrenal cortical adenoma as esophageal cancer with adrenal metastasis by fluorine-18-fluorodeoxyglucose positron emission tomography: A case report.

Misdiagnosis of esophageal leiomyoma combined with adrenal cortical adenoma as esophageal cancer with adrenal metastasis by fluorine-18-fluorodeoxyglucose positron emission tomography: A case report.

Leiomyoma is a benign muscular abnormality that commonly occurs in the middle and distal third of the esophagus, leading to thickening of the esophageal wall and subsequent esophageal luminal narrowing. Notably, esophageal leiomyoma often does not show increased 18F-fluorodeoxyglucose (FDG) uptake on positron emission tomography (PET). The present study described a case of esophageal leiomyoma combined with adrenal adenoma. Results of the PET-computed tomography analysis revealed that FDG metabolism was increased in the lower segment of the esophagus and the left adrenal gland, with maximum standardized uptake values of 6.5 and 4.1, respectively. Therefore, initially, the patient was diagnosed with an esophageal malignant tumor with left adrenal metastasis. Open surgery was performed for complete removal of the lesions, and results of a routine pathological analysis revealed esophageal leiomyoma combined with adrenal cortical adenoma. The present study indicates that to avoid unnecessary surgeries, esophageal leiomyoma and adrenal cortical adenoma should be diagnosed through a comprehensive assessment with endoscopy, endoscopic ultrasound, computed tomography, magnetic resonance imaging and tissue sample pathology, not just PET.

求助全文
通过发布文献求助,成功后即可免费获取论文全文。 去求助
来源期刊
Oncology Letters
Oncology Letters ONCOLOGY-
CiteScore
5.70
自引率
0.00%
发文量
412
审稿时长
2.0 months
期刊介绍: Oncology Letters is a monthly, peer-reviewed journal, available in print and online, that focuses on all aspects of clinical oncology, as well as in vitro and in vivo experimental model systems relevant to the mechanisms of disease. The principal aim of Oncology Letters is to provide the prompt publication of original studies of high quality that pertain to clinical oncology, chemotherapy, oncogenes, carcinogenesis, metastasis, epidemiology and viral oncology in the form of original research, reviews and case reports.
×
引用
GB/T 7714-2015
复制
MLA
复制
APA
复制
导出至
BibTeX EndNote RefMan NoteFirst NoteExpress
×
提示
您的信息不完整,为了账户安全,请先补充。
现在去补充
×
提示
您因"违规操作"
具体请查看互助需知
我知道了
×
提示
确定
请完成安全验证×
copy
已复制链接
快去分享给好友吧!
我知道了
右上角分享
点击右上角分享
0
联系我们:info@booksci.cn Book学术提供免费学术资源搜索服务,方便国内外学者检索中英文文献。致力于提供最便捷和优质的服务体验。 Copyright © 2023 布克学术 All rights reserved.
京ICP备2023020795号-1
ghs 京公网安备 11010802042870号
Book学术文献互助
Book学术文献互助群
群 号:604180095
Book学术官方微信