sirtuin - 1表达对非子宫内膜样子宫内膜癌无进展生存期的影响:一项回顾性队列研究

IF 2.2 4区 医学 Q3 ONCOLOGY
Oncology Letters Pub Date : 2025-03-20 eCollection Date: 2025-05-01 DOI:10.3892/ol.2025.14985
Necim Yalcin, Hulya Tosun Yildirim, Aysun Alci, Mustafa Gokkaya, Mehmet Goksu, Isin Ureyen, Tayfun Toptas
{"title":"sirtuin - 1表达对非子宫内膜样子宫内膜癌无进展生存期的影响:一项回顾性队列研究","authors":"Necim Yalcin, Hulya Tosun Yildirim, Aysun Alci, Mustafa Gokkaya, Mehmet Goksu, Isin Ureyen, Tayfun Toptas","doi":"10.3892/ol.2025.14985","DOIUrl":null,"url":null,"abstract":"<p><p>Sirtuin-1 (SIRT1) expression levels are upregulated in various types of cancer and are associated with adverse outcomes. However, there is limited research on SIRT1 expression in types of gynecological cancer. The present study primarily sought to investigate the expression characteristics of SIRT1 in non-endometrioid endometrial cancer (EC) using immunohistochemistry. The secondary endpoint was to evaluate the impact of SIRT1 expression levels on progression-free survival (PFS). The present study was a single-center, retrospective cohort study that included patients who underwent hysterectomy between June 2017 and December 2021 and had a postoperative histopathological diagnosis of non-endometrioid EC. The tissue slides were stained with a monoclonal antibody targeting the SIRT1 protein. The nuclear staining reaction of SIRT1 was considered to be positive in the presence of any percentage of nuclear staining. The cytoplasmic staining reaction of SIRT1 was assessed using the immune reactivity scoring (IRS) system, which was determined by multiplying the scores for the staining percentage and staining intensity. IRS values of 0 to 2 were considered as negative expression; 3 to 4 as low expression; 6 to 8 as moderate expression; and 9 to 12 as high expression. Cox proportional hazards regression models were used to identify factors influencing PFS. Data from a total of 43 patients who met the eligibility criteria were presented. Cytoplasmic staining with SIRT1 was detected in all samples (100%), whereas no nuclear staining was evident in any of the tissue samples. According to the IRS results, 20.9% of samples exhibited negative cytoplasmic expression, 14.0% exhibited low expression, 37.2% exhibited moderate expression and 27.9% exhibited high expression. The estimated 3-year PFS rate was 43.6%. Cox regression models demonstrated no independent factor influencing PFS. In conclusion, SIRT1 expression was found to be cytoplasmic in non-endometrioid EC. According to the IRS, ~80% of cases exhibited varying degrees of SIRT1 expression. However, SIRT1 expression levels had no significant impact on PFS.</p>","PeriodicalId":19503,"journal":{"name":"Oncology Letters","volume":"29 5","pages":"239"},"PeriodicalIF":2.2000,"publicationDate":"2025-03-20","publicationTypes":"Journal Article","fieldsOfStudy":null,"isOpenAccess":false,"openAccessPdf":"https://www.ncbi.nlm.nih.gov/pmc/articles/PMC12142280/pdf/","citationCount":"0","resultStr":"{\"title\":\"Impact of sirtuin‑1 expression on progression‑free survival in non‑endometrioid endometrial cancer: A retrospective cohort study.\",\"authors\":\"Necim Yalcin, Hulya Tosun Yildirim, Aysun Alci, Mustafa Gokkaya, Mehmet Goksu, Isin Ureyen, Tayfun Toptas\",\"doi\":\"10.3892/ol.2025.14985\",\"DOIUrl\":null,\"url\":null,\"abstract\":\"<p><p>Sirtuin-1 (SIRT1) expression levels are upregulated in various types of cancer and are associated with adverse outcomes. However, there is limited research on SIRT1 expression in types of gynecological cancer. The present study primarily sought to investigate the expression characteristics of SIRT1 in non-endometrioid endometrial cancer (EC) using immunohistochemistry. The secondary endpoint was to evaluate the impact of SIRT1 expression levels on progression-free survival (PFS). The present study was a single-center, retrospective cohort study that included patients who underwent hysterectomy between June 2017 and December 2021 and had a postoperative histopathological diagnosis of non-endometrioid EC. The tissue slides were stained with a monoclonal antibody targeting the SIRT1 protein. The nuclear staining reaction of SIRT1 was considered to be positive in the presence of any percentage of nuclear staining. The cytoplasmic staining reaction of SIRT1 was assessed using the immune reactivity scoring (IRS) system, which was determined by multiplying the scores for the staining percentage and staining intensity. IRS values of 0 to 2 were considered as negative expression; 3 to 4 as low expression; 6 to 8 as moderate expression; and 9 to 12 as high expression. Cox proportional hazards regression models were used to identify factors influencing PFS. Data from a total of 43 patients who met the eligibility criteria were presented. Cytoplasmic staining with SIRT1 was detected in all samples (100%), whereas no nuclear staining was evident in any of the tissue samples. According to the IRS results, 20.9% of samples exhibited negative cytoplasmic expression, 14.0% exhibited low expression, 37.2% exhibited moderate expression and 27.9% exhibited high expression. The estimated 3-year PFS rate was 43.6%. Cox regression models demonstrated no independent factor influencing PFS. In conclusion, SIRT1 expression was found to be cytoplasmic in non-endometrioid EC. According to the IRS, ~80% of cases exhibited varying degrees of SIRT1 expression. However, SIRT1 expression levels had no significant impact on PFS.</p>\",\"PeriodicalId\":19503,\"journal\":{\"name\":\"Oncology Letters\",\"volume\":\"29 5\",\"pages\":\"239\"},\"PeriodicalIF\":2.2000,\"publicationDate\":\"2025-03-20\",\"publicationTypes\":\"Journal Article\",\"fieldsOfStudy\":null,\"isOpenAccess\":false,\"openAccessPdf\":\"https://www.ncbi.nlm.nih.gov/pmc/articles/PMC12142280/pdf/\",\"citationCount\":\"0\",\"resultStr\":null,\"platform\":\"Semanticscholar\",\"paperid\":null,\"PeriodicalName\":\"Oncology Letters\",\"FirstCategoryId\":\"3\",\"ListUrlMain\":\"https://doi.org/10.3892/ol.2025.14985\",\"RegionNum\":4,\"RegionCategory\":\"医学\",\"ArticlePicture\":[],\"TitleCN\":null,\"AbstractTextCN\":null,\"PMCID\":null,\"EPubDate\":\"2025/5/1 0:00:00\",\"PubModel\":\"eCollection\",\"JCR\":\"Q3\",\"JCRName\":\"ONCOLOGY\",\"Score\":null,\"Total\":0}","platform":"Semanticscholar","paperid":null,"PeriodicalName":"Oncology Letters","FirstCategoryId":"3","ListUrlMain":"https://doi.org/10.3892/ol.2025.14985","RegionNum":4,"RegionCategory":"医学","ArticlePicture":[],"TitleCN":null,"AbstractTextCN":null,"PMCID":null,"EPubDate":"2025/5/1 0:00:00","PubModel":"eCollection","JCR":"Q3","JCRName":"ONCOLOGY","Score":null,"Total":0}
引用次数: 0

摘要

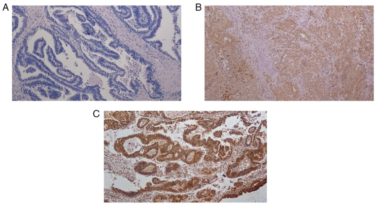
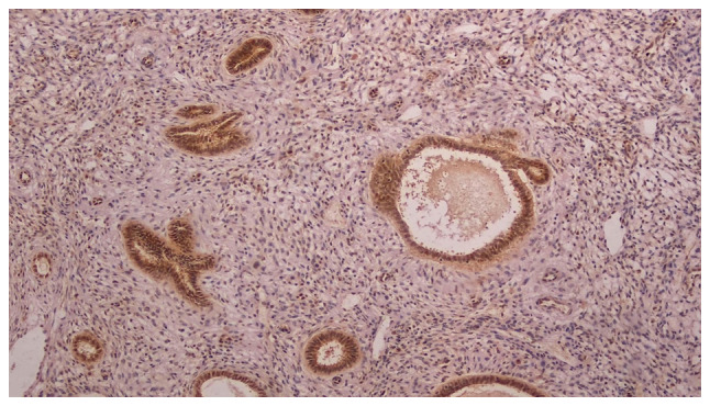
Sirtuin-1 (SIRT1)表达水平在各种类型的癌症中上调,并与不良后果相关。然而,关于SIRT1在妇科癌症类型中的表达的研究有限。本研究主要利用免疫组化技术探讨SIRT1在非子宫内膜样子宫内膜癌(EC)中的表达特征。次要终点是评估SIRT1表达水平对无进展生存期(PFS)的影响。本研究是一项单中心、回顾性队列研究,纳入了2017年6月至2021年12月期间接受子宫切除术并术后组织病理学诊断为非子宫内膜样异位症的患者。用靶向SIRT1蛋白的单克隆抗体对组织切片进行染色。在任何比例的核染色下,SIRT1的核染色反应都被认为是阳性的。使用免疫反应性评分(IRS)系统评估SIRT1的细胞质染色反应,通过将评分乘以染色百分比和染色强度来确定。IRS值为0 ~ 2为阴性表达;3 ~ 4为低表达;6 ~ 8为中度表达;9到12是高表达。采用Cox比例风险回归模型确定影响PFS的因素。共有43名符合资格标准的患者的数据被提交。所有样本(100%)均检测到SIRT1细胞质染色,而在任何组织样本中均未见明显的核染色。IRS结果显示,20.9%的样品细胞质表达为阴性,14.0%为低表达,37.2%为中等表达,27.9%为高表达。估计3年PFS率为43.6%。Cox回归模型显示无独立因素影响PFS。综上所述,SIRT1在非子宫内膜样EC中是细胞质表达的。根据IRS,约80%的病例表现出不同程度的SIRT1表达。然而,SIRT1表达水平对PFS无显著影响。
本文章由计算机程序翻译,如有差异,请以英文原文为准。

Impact of sirtuin‑1 expression on progression‑free survival in non‑endometrioid endometrial cancer: A retrospective cohort study.

Impact of sirtuin‑1 expression on progression‑free survival in non‑endometrioid endometrial cancer: A retrospective cohort study.

Impact of sirtuin‑1 expression on progression‑free survival in non‑endometrioid endometrial cancer: A retrospective cohort study.

Sirtuin-1 (SIRT1) expression levels are upregulated in various types of cancer and are associated with adverse outcomes. However, there is limited research on SIRT1 expression in types of gynecological cancer. The present study primarily sought to investigate the expression characteristics of SIRT1 in non-endometrioid endometrial cancer (EC) using immunohistochemistry. The secondary endpoint was to evaluate the impact of SIRT1 expression levels on progression-free survival (PFS). The present study was a single-center, retrospective cohort study that included patients who underwent hysterectomy between June 2017 and December 2021 and had a postoperative histopathological diagnosis of non-endometrioid EC. The tissue slides were stained with a monoclonal antibody targeting the SIRT1 protein. The nuclear staining reaction of SIRT1 was considered to be positive in the presence of any percentage of nuclear staining. The cytoplasmic staining reaction of SIRT1 was assessed using the immune reactivity scoring (IRS) system, which was determined by multiplying the scores for the staining percentage and staining intensity. IRS values of 0 to 2 were considered as negative expression; 3 to 4 as low expression; 6 to 8 as moderate expression; and 9 to 12 as high expression. Cox proportional hazards regression models were used to identify factors influencing PFS. Data from a total of 43 patients who met the eligibility criteria were presented. Cytoplasmic staining with SIRT1 was detected in all samples (100%), whereas no nuclear staining was evident in any of the tissue samples. According to the IRS results, 20.9% of samples exhibited negative cytoplasmic expression, 14.0% exhibited low expression, 37.2% exhibited moderate expression and 27.9% exhibited high expression. The estimated 3-year PFS rate was 43.6%. Cox regression models demonstrated no independent factor influencing PFS. In conclusion, SIRT1 expression was found to be cytoplasmic in non-endometrioid EC. According to the IRS, ~80% of cases exhibited varying degrees of SIRT1 expression. However, SIRT1 expression levels had no significant impact on PFS.

求助全文
通过发布文献求助,成功后即可免费获取论文全文。 去求助
来源期刊
Oncology Letters
Oncology Letters ONCOLOGY-
CiteScore
5.70
自引率
0.00%
发文量
412
审稿时长
2.0 months
期刊介绍: Oncology Letters is a monthly, peer-reviewed journal, available in print and online, that focuses on all aspects of clinical oncology, as well as in vitro and in vivo experimental model systems relevant to the mechanisms of disease. The principal aim of Oncology Letters is to provide the prompt publication of original studies of high quality that pertain to clinical oncology, chemotherapy, oncogenes, carcinogenesis, metastasis, epidemiology and viral oncology in the form of original research, reviews and case reports.
×
引用
GB/T 7714-2015
复制
MLA
复制
APA
复制
导出至
BibTeX EndNote RefMan NoteFirst NoteExpress
×
提示
您的信息不完整,为了账户安全,请先补充。
现在去补充
×
提示
您因"违规操作"
具体请查看互助需知
我知道了
×
提示
确定
请完成安全验证×
copy
已复制链接
快去分享给好友吧!
我知道了
右上角分享
点击右上角分享
0
联系我们:info@booksci.cn Book学术提供免费学术资源搜索服务,方便国内外学者检索中英文文献。致力于提供最便捷和优质的服务体验。 Copyright © 2023 布克学术 All rights reserved.
京ICP备2023020795号-1
ghs 京公网安备 11010802042870号
Book学术文献互助
Book学术文献互助群
群 号:604180095
Book学术官方微信