腹主动脉破裂无动脉瘤合并巨细胞动脉炎1例报告。

IF 0.6 Q4 PERIPHERAL VASCULAR DISEASE
Annals of vascular diseases Pub Date : 2025-01-01 Epub Date: 2025-06-03 DOI:10.3400/avd.cr.25-00010
Akito Kuwano, Masaru Yoshikai, Satoshi Ohtsubo, Kiyokazu Koga, Nozomi Yoshida, Naoyo Nishida
{"title":"腹主动脉破裂无动脉瘤合并巨细胞动脉炎1例报告。","authors":"Akito Kuwano, Masaru Yoshikai, Satoshi Ohtsubo, Kiyokazu Koga, Nozomi Yoshida, Naoyo Nishida","doi":"10.3400/avd.cr.25-00010","DOIUrl":null,"url":null,"abstract":"<p><p>We report a case of an abdominal aortic rupture without aneurysm associated with giant cell arteritis. A 67-year-old woman presented with lower back pain. Contrast-enhanced computed tomography revealed a massive retroperitoneal hematoma with contrast leakage from the abdominal aorta, suggestive of abdominal aortic rupture. During emergency surgery, a rupture site was identified on the anterior wall of the abdominal aorta, while no aneurysmal changes or dilatation of the abdominal aorta were observed. Histopathological examination of the resected aortic wall revealed infiltration of giant cells positive for CD68, leading to the diagnosis of giant cell arteritis.</p>","PeriodicalId":7995,"journal":{"name":"Annals of vascular diseases","volume":"18 1","pages":""},"PeriodicalIF":0.6000,"publicationDate":"2025-01-01","publicationTypes":"Journal Article","fieldsOfStudy":null,"isOpenAccess":false,"openAccessPdf":"https://www.ncbi.nlm.nih.gov/pmc/articles/PMC12140923/pdf/","citationCount":"0","resultStr":"{\"title\":\"Rupture of the Abdominal Aorta without Aneurysm Associated with Giant Cell Arteritis: A Case Report.\",\"authors\":\"Akito Kuwano, Masaru Yoshikai, Satoshi Ohtsubo, Kiyokazu Koga, Nozomi Yoshida, Naoyo Nishida\",\"doi\":\"10.3400/avd.cr.25-00010\",\"DOIUrl\":null,\"url\":null,\"abstract\":\"<p><p>We report a case of an abdominal aortic rupture without aneurysm associated with giant cell arteritis. A 67-year-old woman presented with lower back pain. Contrast-enhanced computed tomography revealed a massive retroperitoneal hematoma with contrast leakage from the abdominal aorta, suggestive of abdominal aortic rupture. During emergency surgery, a rupture site was identified on the anterior wall of the abdominal aorta, while no aneurysmal changes or dilatation of the abdominal aorta were observed. Histopathological examination of the resected aortic wall revealed infiltration of giant cells positive for CD68, leading to the diagnosis of giant cell arteritis.</p>\",\"PeriodicalId\":7995,\"journal\":{\"name\":\"Annals of vascular diseases\",\"volume\":\"18 1\",\"pages\":\"\"},\"PeriodicalIF\":0.6000,\"publicationDate\":\"2025-01-01\",\"publicationTypes\":\"Journal Article\",\"fieldsOfStudy\":null,\"isOpenAccess\":false,\"openAccessPdf\":\"https://www.ncbi.nlm.nih.gov/pmc/articles/PMC12140923/pdf/\",\"citationCount\":\"0\",\"resultStr\":null,\"platform\":\"Semanticscholar\",\"paperid\":null,\"PeriodicalName\":\"Annals of vascular diseases\",\"FirstCategoryId\":\"1085\",\"ListUrlMain\":\"https://doi.org/10.3400/avd.cr.25-00010\",\"RegionNum\":0,\"RegionCategory\":null,\"ArticlePicture\":[],\"TitleCN\":null,\"AbstractTextCN\":null,\"PMCID\":null,\"EPubDate\":\"2025/6/3 0:00:00\",\"PubModel\":\"Epub\",\"JCR\":\"Q4\",\"JCRName\":\"PERIPHERAL VASCULAR DISEASE\",\"Score\":null,\"Total\":0}","platform":"Semanticscholar","paperid":null,"PeriodicalName":"Annals of vascular diseases","FirstCategoryId":"1085","ListUrlMain":"https://doi.org/10.3400/avd.cr.25-00010","RegionNum":0,"RegionCategory":null,"ArticlePicture":[],"TitleCN":null,"AbstractTextCN":null,"PMCID":null,"EPubDate":"2025/6/3 0:00:00","PubModel":"Epub","JCR":"Q4","JCRName":"PERIPHERAL VASCULAR DISEASE","Score":null,"Total":0}
引用次数: 0

摘要

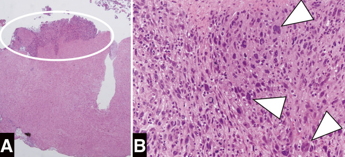
我们报告一例腹主动脉破裂无动脉瘤合并巨细胞动脉炎。一名67岁女性,以腰痛为主诉。增强计算机断层扫描显示腹膜后大量血肿伴腹主动脉造影剂泄漏,提示腹主动脉破裂。急诊手术中发现腹主动脉前壁破裂,未见动脉瘤样改变或腹主动脉扩张。切除的主动脉壁组织病理学检查显示CD68阳性巨细胞浸润,诊断巨细胞性动脉炎。
本文章由计算机程序翻译,如有差异,请以英文原文为准。

Rupture of the Abdominal Aorta without Aneurysm Associated with Giant Cell Arteritis: A Case Report.

Rupture of the Abdominal Aorta without Aneurysm Associated with Giant Cell Arteritis: A Case Report.

Rupture of the Abdominal Aorta without Aneurysm Associated with Giant Cell Arteritis: A Case Report.

Rupture of the Abdominal Aorta without Aneurysm Associated with Giant Cell Arteritis: A Case Report.

We report a case of an abdominal aortic rupture without aneurysm associated with giant cell arteritis. A 67-year-old woman presented with lower back pain. Contrast-enhanced computed tomography revealed a massive retroperitoneal hematoma with contrast leakage from the abdominal aorta, suggestive of abdominal aortic rupture. During emergency surgery, a rupture site was identified on the anterior wall of the abdominal aorta, while no aneurysmal changes or dilatation of the abdominal aorta were observed. Histopathological examination of the resected aortic wall revealed infiltration of giant cells positive for CD68, leading to the diagnosis of giant cell arteritis.

求助全文
通过发布文献求助,成功后即可免费获取论文全文。 去求助
来源期刊
Annals of vascular diseases
Annals of vascular diseases PERIPHERAL VASCULAR DISEASE-
自引率
0.00%
发文量
41
×
引用
GB/T 7714-2015
复制
MLA
复制
APA
复制
导出至
BibTeX EndNote RefMan NoteFirst NoteExpress
×
提示
您的信息不完整,为了账户安全,请先补充。
现在去补充
×
提示
您因"违规操作"
具体请查看互助需知
我知道了
×
提示
确定
请完成安全验证×
copy
已复制链接
快去分享给好友吧!
我知道了
右上角分享
点击右上角分享
0
联系我们:info@booksci.cn Book学术提供免费学术资源搜索服务,方便国内外学者检索中英文文献。致力于提供最便捷和优质的服务体验。 Copyright © 2023 布克学术 All rights reserved.
京ICP备2023020795号-1
ghs 京公网安备 11010802042870号
Book学术文献互助
Book学术文献互助群
群 号:604180095
Book学术官方微信