压缩聚乙烯与后稳定聚乙烯的atk1a的比较研究。

IF 0.6 4区 医学 Q4 ORTHOPEDICS
Acta Ortopedica Brasileira Pub Date : 2025-06-02 eCollection Date: 2025-01-01 DOI:10.1590/1413-785220253302e285178
Fabiana Alves Costa Menegassi, Guilherme Blois Vasconcelos Pereira, Gabriel Alves Freitas, Rodrigo Balieiro, Sandra Tie Nishibe Minamoto, Alan de Paula Mozella, Rodrigo Sattamini Pires E Albuquerque
{"title":"压缩聚乙烯与后稳定聚乙烯的atk1a的比较研究。","authors":"Fabiana Alves Costa Menegassi, Guilherme Blois Vasconcelos Pereira, Gabriel Alves Freitas, Rodrigo Balieiro, Sandra Tie Nishibe Minamoto, Alan de Paula Mozella, Rodrigo Sattamini Pires E Albuquerque","doi":"10.1590/1413-785220253302e285178","DOIUrl":null,"url":null,"abstract":"<p><strong>Objective: </strong>The objective of the article was to do a comparative study between Smith & Nephew ® prosthesis with constricted polyethylene against the standard in patients submitted to total knee arthroplasty surgery during a short-term follow-up. The aim was to analyze the survival of the related implants due to the range of movement and radiographic aspect.</p><p><strong>Methods: </strong>The sample was divided into two different groups: constricted polyethylene and standard polyethylene. A clinical analysis of the patients was carried out, and it was verified whether implant loosening had occurred.</p><p><strong>Results: </strong>This study evaluated 61 patients in a period of 2 years, 29 in the constricted polyethylene group. The pre-operative deformities were predominantly considered severe. In the postoperative, the tibial-femoral angle varied on average between 5 - 6° of valgus. The total range of movement in the post-operative was above 101° in both groups. One loosened implant in the constricted polyethylene group was observed.</p><p><strong>Conclusion: </strong>The patients treated with constricted polyethylene had the same range of movement as the control group. There was no significant difference between both groups related to loosened implants in short-term follow-up. <b><i>Level of evidence III; Retrospective study.</i></b></p>","PeriodicalId":55563,"journal":{"name":"Acta Ortopedica Brasileira","volume":"33 2","pages":"e285178"},"PeriodicalIF":0.6000,"publicationDate":"2025-06-02","publicationTypes":"Journal Article","fieldsOfStudy":null,"isOpenAccess":false,"openAccessPdf":"https://www.ncbi.nlm.nih.gov/pmc/articles/PMC12136615/pdf/","citationCount":"0","resultStr":"{\"title\":\"COMPARATIVE STUDY BETWEEN ATK 1<sup>a</sup> WITH CONSTRICTED POLYETHYLENE VERSUS POSTERO-STABILIZED.\",\"authors\":\"Fabiana Alves Costa Menegassi, Guilherme Blois Vasconcelos Pereira, Gabriel Alves Freitas, Rodrigo Balieiro, Sandra Tie Nishibe Minamoto, Alan de Paula Mozella, Rodrigo Sattamini Pires E Albuquerque\",\"doi\":\"10.1590/1413-785220253302e285178\",\"DOIUrl\":null,\"url\":null,\"abstract\":\"<p><strong>Objective: </strong>The objective of the article was to do a comparative study between Smith & Nephew ® prosthesis with constricted polyethylene against the standard in patients submitted to total knee arthroplasty surgery during a short-term follow-up. The aim was to analyze the survival of the related implants due to the range of movement and radiographic aspect.</p><p><strong>Methods: </strong>The sample was divided into two different groups: constricted polyethylene and standard polyethylene. A clinical analysis of the patients was carried out, and it was verified whether implant loosening had occurred.</p><p><strong>Results: </strong>This study evaluated 61 patients in a period of 2 years, 29 in the constricted polyethylene group. The pre-operative deformities were predominantly considered severe. In the postoperative, the tibial-femoral angle varied on average between 5 - 6° of valgus. The total range of movement in the post-operative was above 101° in both groups. One loosened implant in the constricted polyethylene group was observed.</p><p><strong>Conclusion: </strong>The patients treated with constricted polyethylene had the same range of movement as the control group. There was no significant difference between both groups related to loosened implants in short-term follow-up. <b><i>Level of evidence III; Retrospective study.</i></b></p>\",\"PeriodicalId\":55563,\"journal\":{\"name\":\"Acta Ortopedica Brasileira\",\"volume\":\"33 2\",\"pages\":\"e285178\"},\"PeriodicalIF\":0.6000,\"publicationDate\":\"2025-06-02\",\"publicationTypes\":\"Journal Article\",\"fieldsOfStudy\":null,\"isOpenAccess\":false,\"openAccessPdf\":\"https://www.ncbi.nlm.nih.gov/pmc/articles/PMC12136615/pdf/\",\"citationCount\":\"0\",\"resultStr\":null,\"platform\":\"Semanticscholar\",\"paperid\":null,\"PeriodicalName\":\"Acta Ortopedica Brasileira\",\"FirstCategoryId\":\"3\",\"ListUrlMain\":\"https://doi.org/10.1590/1413-785220253302e285178\",\"RegionNum\":4,\"RegionCategory\":\"医学\",\"ArticlePicture\":[],\"TitleCN\":null,\"AbstractTextCN\":null,\"PMCID\":null,\"EPubDate\":\"2025/1/1 0:00:00\",\"PubModel\":\"eCollection\",\"JCR\":\"Q4\",\"JCRName\":\"ORTHOPEDICS\",\"Score\":null,\"Total\":0}","platform":"Semanticscholar","paperid":null,"PeriodicalName":"Acta Ortopedica Brasileira","FirstCategoryId":"3","ListUrlMain":"https://doi.org/10.1590/1413-785220253302e285178","RegionNum":4,"RegionCategory":"医学","ArticlePicture":[],"TitleCN":null,"AbstractTextCN":null,"PMCID":null,"EPubDate":"2025/1/1 0:00:00","PubModel":"eCollection","JCR":"Q4","JCRName":"ORTHOPEDICS","Score":null,"Total":0}
引用次数: 0

摘要

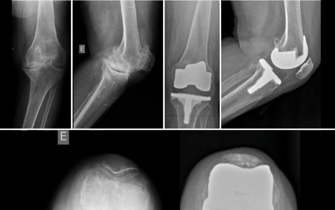
目的:本文的目的是在短期随访期间对接受全膝关节置换术的患者进行Smith & Nephew®收缩聚乙烯假体与标准假体的比较研究。目的是分析由于活动范围和放射学方面相关植入物的存活。方法:将样品分为压缩聚乙烯组和标准聚乙烯组。对患者进行临床分析,验证是否发生种植体松动。结果:本研究对61例患者进行了为期2年的评估,其中29例为缩窄聚乙烯组。术前畸形主要被认为是严重的。术后胫股角平均外翻5 ~ 6°。两组患者术后总活动范围均在101°以上。缩窄聚乙烯组观察到1例植入物松动。结论:缩窄聚乙烯治疗组患者活动范围与对照组相同。短期随访中,两组间种植体松动无显著差异。证据等级III;回顾性研究。
本文章由计算机程序翻译,如有差异,请以英文原文为准。

COMPARATIVE STUDY BETWEEN ATK 1<sup>a</sup> WITH CONSTRICTED POLYETHYLENE VERSUS POSTERO-STABILIZED.

COMPARATIVE STUDY BETWEEN ATK 1<sup>a</sup> WITH CONSTRICTED POLYETHYLENE VERSUS POSTERO-STABILIZED.

COMPARATIVE STUDY BETWEEN ATK 1<sup>a</sup> WITH CONSTRICTED POLYETHYLENE VERSUS POSTERO-STABILIZED.

COMPARATIVE STUDY BETWEEN ATK 1a WITH CONSTRICTED POLYETHYLENE VERSUS POSTERO-STABILIZED.

Objective: The objective of the article was to do a comparative study between Smith & Nephew ® prosthesis with constricted polyethylene against the standard in patients submitted to total knee arthroplasty surgery during a short-term follow-up. The aim was to analyze the survival of the related implants due to the range of movement and radiographic aspect.

Methods: The sample was divided into two different groups: constricted polyethylene and standard polyethylene. A clinical analysis of the patients was carried out, and it was verified whether implant loosening had occurred.

Results: This study evaluated 61 patients in a period of 2 years, 29 in the constricted polyethylene group. The pre-operative deformities were predominantly considered severe. In the postoperative, the tibial-femoral angle varied on average between 5 - 6° of valgus. The total range of movement in the post-operative was above 101° in both groups. One loosened implant in the constricted polyethylene group was observed.

Conclusion: The patients treated with constricted polyethylene had the same range of movement as the control group. There was no significant difference between both groups related to loosened implants in short-term follow-up. Level of evidence III; Retrospective study.

求助全文
通过发布文献求助,成功后即可免费获取论文全文。 去求助
来源期刊
CiteScore
0.90
自引率
14.30%
发文量
67
审稿时长
25 weeks
期刊介绍: A Revista Acta Ortopédica Brasileira, órgão oficial do Departamento de Ortopedia e Traumatologia da Faculdade de Medicina da Universidade de São Paulo (DOT/FMUSP), é publicada bimestralmente em seis edições ao ano (jan/fev, mar/abr, maio/jun, jul/ago, set/out e nov/dez) com versão em inglês disponível nos principais indexadores nacionais e internacionais e instituições de ensino do Brasil. Sendo hoje reconhecidamente uma importante contribuição para os especialistas da área com sua seriedade e árduo trabalho para as indexações já conquistadas.
×
引用
GB/T 7714-2015
复制
MLA
复制
APA
复制
导出至
BibTeX EndNote RefMan NoteFirst NoteExpress
×
提示
您的信息不完整,为了账户安全,请先补充。
现在去补充
×
提示
您因"违规操作"
具体请查看互助需知
我知道了
×
提示
确定
请完成安全验证×
copy
已复制链接
快去分享给好友吧!
我知道了
右上角分享
点击右上角分享
0
联系我们:info@booksci.cn Book学术提供免费学术资源搜索服务,方便国内外学者检索中英文文献。致力于提供最便捷和优质的服务体验。 Copyright © 2023 布克学术 All rights reserved.
京ICP备2023020795号-1
ghs 京公网安备 11010802042870号
Book学术文献互助
Book学术文献互助群
群 号:604180095
Book学术官方微信