多发性内分泌瘤合并先天性肾上腺增生的双突变。

IF 0.7 Q4 ENDOCRINOLOGY & METABOLISM
Watrusy Lima de Oliveira, Eloilda Maria de Aguiar Silva, Carlos Eduardo de Melo Oliveira, Wellington Alves Filho, Maria Cecília Martins Costa, Renata Carvalho de Alencar, Carla Antoniana de Almeida Vieira, Ana Rosa Pinto Quidute
{"title":"多发性内分泌瘤合并先天性肾上腺增生的双突变。","authors":"Watrusy Lima de Oliveira, Eloilda Maria de Aguiar Silva, Carlos Eduardo de Melo Oliveira, Wellington Alves Filho, Maria Cecília Martins Costa, Renata Carvalho de Alencar, Carla Antoniana de Almeida Vieira, Ana Rosa Pinto Quidute","doi":"10.1530/EDM-24-0047","DOIUrl":null,"url":null,"abstract":"<p><strong>Summary: </strong>A 39 year old female with signs of hyperandrogenism, was diagnosed with congenital adrenal hyperplasia after a cortrosyn test. Abdominal tomography showed a nodular image in the right adrenal gland, measuring 1.9 × 3.1 cm, 26 UH. Screening for Cushing's syndrome and pheochromocytoma was negative. Due to the maternal family history of MEN2A, RET gene testing was performed (positive), and screening for medullary thyroid carcinoma (MTC) with calcitonin was <2 pg/mL. As the patient's father passed away due to complications of peptic ulcers and hailed from a region with high rates of MEN1, PTH and calcium levels were checked, confirming the diagnosis of primary hyperparathyroidism (pHPT). Genetic investigation for MEN1 was positive, and an MRI of the pituitary gland revealed a non-producing macroadenoma. Management of pHPT and total prophylactic thyroidectomy were recommended, with an expectant approach regarding the adrenal lesion. Histopathological examination of the thyroid revealed papillary microcarcinoma in the right lobe and parafollicular cell hyperplasia in two foci, with immunohistochemistry consistent with MTC.</p><p><strong>Learning points: </strong>There may be the coexistence of three rare and complex genetic syndromes in a single patient. Multiple endocrine neoplasia syndromes describe a group of heterogeneous diseases. Hyperparathyroidism is common among multiple endocrine neoplasia syndromes.</p>","PeriodicalId":37467,"journal":{"name":"Endocrinology, Diabetes and Metabolism Case Reports","volume":"2025 2","pages":""},"PeriodicalIF":0.7000,"publicationDate":"2025-06-06","publicationTypes":"Journal Article","fieldsOfStudy":null,"isOpenAccess":false,"openAccessPdf":"https://www.ncbi.nlm.nih.gov/pmc/articles/PMC12150387/pdf/","citationCount":"0","resultStr":"{\"title\":\"Double mutation for multiple endocrine neoplasia associated with congenital adrenal hyperplasia.\",\"authors\":\"Watrusy Lima de Oliveira, Eloilda Maria de Aguiar Silva, Carlos Eduardo de Melo Oliveira, Wellington Alves Filho, Maria Cecília Martins Costa, Renata Carvalho de Alencar, Carla Antoniana de Almeida Vieira, Ana Rosa Pinto Quidute\",\"doi\":\"10.1530/EDM-24-0047\",\"DOIUrl\":null,\"url\":null,\"abstract\":\"<p><strong>Summary: </strong>A 39 year old female with signs of hyperandrogenism, was diagnosed with congenital adrenal hyperplasia after a cortrosyn test. Abdominal tomography showed a nodular image in the right adrenal gland, measuring 1.9 × 3.1 cm, 26 UH. Screening for Cushing's syndrome and pheochromocytoma was negative. Due to the maternal family history of MEN2A, RET gene testing was performed (positive), and screening for medullary thyroid carcinoma (MTC) with calcitonin was <2 pg/mL. As the patient's father passed away due to complications of peptic ulcers and hailed from a region with high rates of MEN1, PTH and calcium levels were checked, confirming the diagnosis of primary hyperparathyroidism (pHPT). Genetic investigation for MEN1 was positive, and an MRI of the pituitary gland revealed a non-producing macroadenoma. Management of pHPT and total prophylactic thyroidectomy were recommended, with an expectant approach regarding the adrenal lesion. Histopathological examination of the thyroid revealed papillary microcarcinoma in the right lobe and parafollicular cell hyperplasia in two foci, with immunohistochemistry consistent with MTC.</p><p><strong>Learning points: </strong>There may be the coexistence of three rare and complex genetic syndromes in a single patient. Multiple endocrine neoplasia syndromes describe a group of heterogeneous diseases. Hyperparathyroidism is common among multiple endocrine neoplasia syndromes.</p>\",\"PeriodicalId\":37467,\"journal\":{\"name\":\"Endocrinology, Diabetes and Metabolism Case Reports\",\"volume\":\"2025 2\",\"pages\":\"\"},\"PeriodicalIF\":0.7000,\"publicationDate\":\"2025-06-06\",\"publicationTypes\":\"Journal Article\",\"fieldsOfStudy\":null,\"isOpenAccess\":false,\"openAccessPdf\":\"https://www.ncbi.nlm.nih.gov/pmc/articles/PMC12150387/pdf/\",\"citationCount\":\"0\",\"resultStr\":null,\"platform\":\"Semanticscholar\",\"paperid\":null,\"PeriodicalName\":\"Endocrinology, Diabetes and Metabolism Case Reports\",\"FirstCategoryId\":\"1085\",\"ListUrlMain\":\"https://doi.org/10.1530/EDM-24-0047\",\"RegionNum\":0,\"RegionCategory\":null,\"ArticlePicture\":[],\"TitleCN\":null,\"AbstractTextCN\":null,\"PMCID\":null,\"EPubDate\":\"2025/4/1 0:00:00\",\"PubModel\":\"Print\",\"JCR\":\"Q4\",\"JCRName\":\"ENDOCRINOLOGY & METABOLISM\",\"Score\":null,\"Total\":0}","platform":"Semanticscholar","paperid":null,"PeriodicalName":"Endocrinology, Diabetes and Metabolism Case Reports","FirstCategoryId":"1085","ListUrlMain":"https://doi.org/10.1530/EDM-24-0047","RegionNum":0,"RegionCategory":null,"ArticlePicture":[],"TitleCN":null,"AbstractTextCN":null,"PMCID":null,"EPubDate":"2025/4/1 0:00:00","PubModel":"Print","JCR":"Q4","JCRName":"ENDOCRINOLOGY & METABOLISM","Score":null,"Total":0}
引用次数: 0

摘要

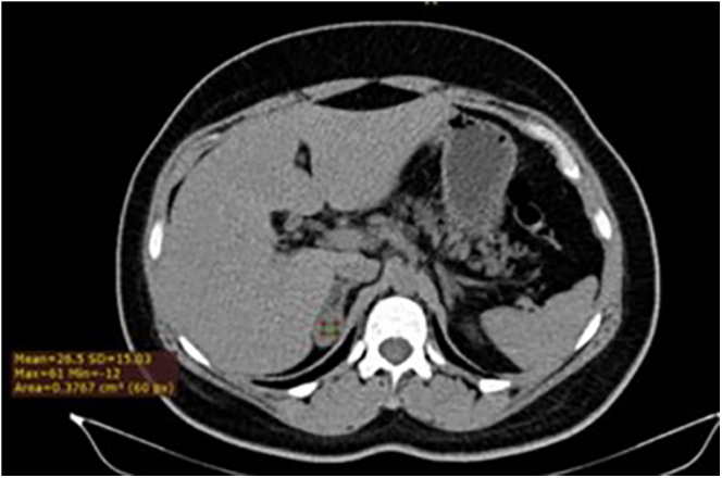
摘要:一名39岁女性,有雄激素分泌过多的症状,经cortrosyn试验诊断为先天性肾上腺增生。腹部断层扫描显示右侧肾上腺结节,大小1.9 × 3.1 cm, 26 UH。库欣综合征和嗜铬细胞瘤筛查均为阴性。由于母体有MEN2A家族史,进行RET基因检测(阳性),并结合降钙素筛查甲状腺髓样癌(MTC)。学习要点:单个患者可能同时存在三种罕见而复杂的遗传综合征。多发性内分泌肿瘤综合征是一组异质性疾病。甲状旁腺功能亢进常见于多发性内分泌肿瘤综合征。
本文章由计算机程序翻译,如有差异,请以英文原文为准。

Double mutation for multiple endocrine neoplasia associated with congenital adrenal hyperplasia.

Double mutation for multiple endocrine neoplasia associated with congenital adrenal hyperplasia.

Double mutation for multiple endocrine neoplasia associated with congenital adrenal hyperplasia.

Double mutation for multiple endocrine neoplasia associated with congenital adrenal hyperplasia.

Summary: A 39 year old female with signs of hyperandrogenism, was diagnosed with congenital adrenal hyperplasia after a cortrosyn test. Abdominal tomography showed a nodular image in the right adrenal gland, measuring 1.9 × 3.1 cm, 26 UH. Screening for Cushing's syndrome and pheochromocytoma was negative. Due to the maternal family history of MEN2A, RET gene testing was performed (positive), and screening for medullary thyroid carcinoma (MTC) with calcitonin was <2 pg/mL. As the patient's father passed away due to complications of peptic ulcers and hailed from a region with high rates of MEN1, PTH and calcium levels were checked, confirming the diagnosis of primary hyperparathyroidism (pHPT). Genetic investigation for MEN1 was positive, and an MRI of the pituitary gland revealed a non-producing macroadenoma. Management of pHPT and total prophylactic thyroidectomy were recommended, with an expectant approach regarding the adrenal lesion. Histopathological examination of the thyroid revealed papillary microcarcinoma in the right lobe and parafollicular cell hyperplasia in two foci, with immunohistochemistry consistent with MTC.

Learning points: There may be the coexistence of three rare and complex genetic syndromes in a single patient. Multiple endocrine neoplasia syndromes describe a group of heterogeneous diseases. Hyperparathyroidism is common among multiple endocrine neoplasia syndromes.

求助全文
通过发布文献求助,成功后即可免费获取论文全文。 去求助
来源期刊
CiteScore
1.50
自引率
0.00%
发文量
142
审稿时长
9 weeks
期刊介绍: Endocrinology, Diabetes & Metabolism Case Reports publishes case reports on common and rare conditions in all areas of clinical endocrinology, diabetes and metabolism. Articles should include clear learning points which readers can use to inform medical education or clinical practice. The types of cases of interest to Endocrinology, Diabetes & Metabolism Case Reports include: -Insight into disease pathogenesis or mechanism of therapy - Novel diagnostic procedure - Novel treatment - Unique/unexpected symptoms or presentations of a disease - New disease or syndrome: presentations/diagnosis/management - Unusual effects of medical treatment - Error in diagnosis/pitfalls and caveats
×
引用
GB/T 7714-2015
复制
MLA
复制
APA
复制
导出至
BibTeX EndNote RefMan NoteFirst NoteExpress
×
提示
您的信息不完整,为了账户安全,请先补充。
现在去补充
×
提示
您因"违规操作"
具体请查看互助需知
我知道了
×
提示
确定
请完成安全验证×
copy
已复制链接
快去分享给好友吧!
我知道了
右上角分享
点击右上角分享
0
联系我们:info@booksci.cn Book学术提供免费学术资源搜索服务,方便国内外学者检索中英文文献。致力于提供最便捷和优质的服务体验。 Copyright © 2023 布克学术 All rights reserved.
京ICP备2023020795号-1
ghs 京公网安备 11010802042870号
Book学术文献互助
Book学术文献互助群
群 号:604180095
Book学术官方微信