静脉溶栓的致命结果与淀粉样蛋白β相关性血管炎的意外发现-一个病例报告强调了急性局灶性神经功能缺损和最小的影像学表现的相关情况。

IF 1.2 4区 医学 Q4 CLINICAL NEUROLOGY
Neuropathology Pub Date : 2025-08-01 Epub Date: 2025-06-05 DOI:10.1111/neup.70013
Kristof Babarczy, Bence L Radics, Orsolya Horvath, Peter Klivenyi, Levente Szalardy
{"title":"静脉溶栓的致命结果与淀粉样蛋白β相关性血管炎的意外发现-一个病例报告强调了急性局灶性神经功能缺损和最小的影像学表现的相关情况。","authors":"Kristof Babarczy, Bence L Radics, Orsolya Horvath, Peter Klivenyi, Levente Szalardy","doi":"10.1111/neup.70013","DOIUrl":null,"url":null,"abstract":"<p><p>Cerebral amyloid angiopathy (CAA) has been implicated as a risk for developing lobar intracerebral hemorrhage (ICH) after intravenous thrombolysis (IVT) applied for acute ischemic stroke (AIS). However, there is a paucity of cases reported with histopathological CAA diagnosis in this setting, with a single report to imply the role of CAA-related inflammation (CAA-RI). We report clinical, radiological, and neuropathological observations of a 65-year-old woman who presented with acute left-hemispheric symptoms with an initially unrevealing cranial computed tomography (CT) and received IVT for presumed AIS. The course was rapidly complicated by a huge lobar ICH and a fatal outcome. The autopsy revealed severe CAA, unexpectedly with transmural CAA-RI, a.k.a. amyloid-β-related angiitis (ABRA), and histopathological evidence for vascular amyloid-β phagocytosis. Re-evaluation of initial imaging did not reveal signs of asymmetric confluent white matter edema characteristic of CAA-RI, but raised the suspicion of a tiny left central convexity subarachnoid hemorrhage, a substrate of amyloid spells. The genotype of the apolipoprotein E (ApoE) gene (ApoE) was ε3/ε3. Being the second published thrombolysis-associated fatality with ABRA and among the few with definite CAA, the present case confirms CAA/CAA-RI to be a potential hidden risk for IVT-associated ICHs, urging for awareness of CAA-associated pathologies and clinical-radiological hints in an AIS setting. The findings implicate the relevance of vascular Aβ phagocytosis in the pathogenesis, confirm that CAA-RI may present without prominent edema, highlight that CAA/CAA-RI-related focal neurological deficits (including amyloid spells) can be potential AIS mimics within the IVT time window, and urge for rigorous analysis of pre-IVT CT scans for even subtle sulcal hyperdensities suggesting cSAH/amyloid spell in elderly patients, prompting consideration of magnetic resonance imaging.</p>","PeriodicalId":19204,"journal":{"name":"Neuropathology","volume":" ","pages":"e70013"},"PeriodicalIF":1.2000,"publicationDate":"2025-08-01","publicationTypes":"Journal Article","fieldsOfStudy":null,"isOpenAccess":false,"openAccessPdf":"https://www.ncbi.nlm.nih.gov/pmc/articles/PMC12279614/pdf/","citationCount":"0","resultStr":"{\"title\":\"Fatal Outcome of Intravenous Thrombolysis With an Unexpected Finding of Amyloid-β-Related Angiitis-A Case Report Highlighting a Relevant Scenario With Acute Focal Neurological Deficits and Minimal Radiological Presentation.\",\"authors\":\"Kristof Babarczy, Bence L Radics, Orsolya Horvath, Peter Klivenyi, Levente Szalardy\",\"doi\":\"10.1111/neup.70013\",\"DOIUrl\":null,\"url\":null,\"abstract\":\"<p><p>Cerebral amyloid angiopathy (CAA) has been implicated as a risk for developing lobar intracerebral hemorrhage (ICH) after intravenous thrombolysis (IVT) applied for acute ischemic stroke (AIS). However, there is a paucity of cases reported with histopathological CAA diagnosis in this setting, with a single report to imply the role of CAA-related inflammation (CAA-RI). We report clinical, radiological, and neuropathological observations of a 65-year-old woman who presented with acute left-hemispheric symptoms with an initially unrevealing cranial computed tomography (CT) and received IVT for presumed AIS. The course was rapidly complicated by a huge lobar ICH and a fatal outcome. The autopsy revealed severe CAA, unexpectedly with transmural CAA-RI, a.k.a. amyloid-β-related angiitis (ABRA), and histopathological evidence for vascular amyloid-β phagocytosis. Re-evaluation of initial imaging did not reveal signs of asymmetric confluent white matter edema characteristic of CAA-RI, but raised the suspicion of a tiny left central convexity subarachnoid hemorrhage, a substrate of amyloid spells. The genotype of the apolipoprotein E (ApoE) gene (ApoE) was ε3/ε3. Being the second published thrombolysis-associated fatality with ABRA and among the few with definite CAA, the present case confirms CAA/CAA-RI to be a potential hidden risk for IVT-associated ICHs, urging for awareness of CAA-associated pathologies and clinical-radiological hints in an AIS setting. The findings implicate the relevance of vascular Aβ phagocytosis in the pathogenesis, confirm that CAA-RI may present without prominent edema, highlight that CAA/CAA-RI-related focal neurological deficits (including amyloid spells) can be potential AIS mimics within the IVT time window, and urge for rigorous analysis of pre-IVT CT scans for even subtle sulcal hyperdensities suggesting cSAH/amyloid spell in elderly patients, prompting consideration of magnetic resonance imaging.</p>\",\"PeriodicalId\":19204,\"journal\":{\"name\":\"Neuropathology\",\"volume\":\" \",\"pages\":\"e70013\"},\"PeriodicalIF\":1.2000,\"publicationDate\":\"2025-08-01\",\"publicationTypes\":\"Journal Article\",\"fieldsOfStudy\":null,\"isOpenAccess\":false,\"openAccessPdf\":\"https://www.ncbi.nlm.nih.gov/pmc/articles/PMC12279614/pdf/\",\"citationCount\":\"0\",\"resultStr\":null,\"platform\":\"Semanticscholar\",\"paperid\":null,\"PeriodicalName\":\"Neuropathology\",\"FirstCategoryId\":\"3\",\"ListUrlMain\":\"https://doi.org/10.1111/neup.70013\",\"RegionNum\":4,\"RegionCategory\":\"医学\",\"ArticlePicture\":[],\"TitleCN\":null,\"AbstractTextCN\":null,\"PMCID\":null,\"EPubDate\":\"2025/6/5 0:00:00\",\"PubModel\":\"Epub\",\"JCR\":\"Q4\",\"JCRName\":\"CLINICAL NEUROLOGY\",\"Score\":null,\"Total\":0}","platform":"Semanticscholar","paperid":null,"PeriodicalName":"Neuropathology","FirstCategoryId":"3","ListUrlMain":"https://doi.org/10.1111/neup.70013","RegionNum":4,"RegionCategory":"医学","ArticlePicture":[],"TitleCN":null,"AbstractTextCN":null,"PMCID":null,"EPubDate":"2025/6/5 0:00:00","PubModel":"Epub","JCR":"Q4","JCRName":"CLINICAL NEUROLOGY","Score":null,"Total":0}
引用次数: 0

摘要

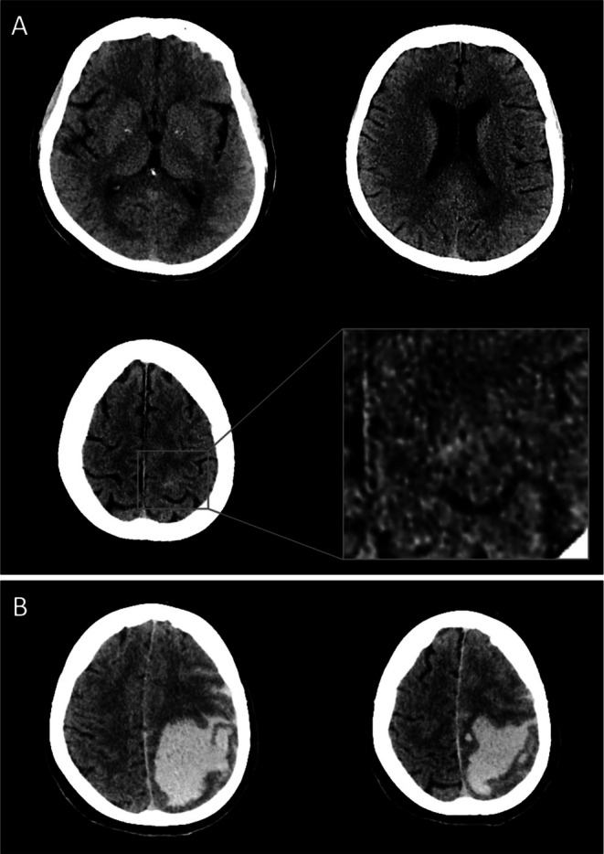
脑淀粉样血管病(CAA)已被认为是急性缺血性卒中(AIS)静脉溶栓(IVT)后发生大叶性脑出血(ICH)的风险之一。然而,在这种情况下,组织病理学CAA诊断的病例报告很少,只有一份报告暗示了CAA相关炎症(CAA- ri)的作用。我们报告一名65岁女性的临床、放射学和神经病理学观察,她表现为急性左半球症状,最初未显示颅骨计算机断层扫描(CT),并因疑似AIS接受了IVT。由于巨大的脑叶性脑出血和致命的结果,这一过程迅速复杂化。尸检显示严重的CAA,出乎意料地伴有跨壁CAA- ri,又名淀粉样蛋白β相关血管炎(ABRA),组织病理学证据为血管淀粉样蛋白β吞噬。重新评估初始影像学未发现CAA-RI的不对称融合性白质水肿征象,但怀疑为微小的左中央蛛网膜下腔出血,这是淀粉样蛋白的基底。载脂蛋白E (ApoE)基因型(ApoE)为ε3/ε3。作为第二例已发表的与ABRA相关的血栓溶栓死亡病例,以及少数确定为CAA的病例,本病例证实了CAA/CAA- ri是ivt相关ICHs的潜在潜在风险,敦促人们在AIS环境中认识到CAA相关的病理和临床放射学提示。这些发现暗示了血管Aβ吞噬与发病机制的相关性,证实了CAA- ri可能在没有明显水肿的情况下出现,强调了CAA/CAA- ri相关的局灶性神经功能缺陷(包括淀粉样蛋白发作)可能是IVT时间窗内潜在的AIS模拟,并敦促对IVT前CT扫描进行严格分析,即使是细微的脑区高密度,也可能提示老年患者的cah /淀粉样蛋白发作,促使考虑磁共振成像。
本文章由计算机程序翻译,如有差异,请以英文原文为准。

Fatal Outcome of Intravenous Thrombolysis With an Unexpected Finding of Amyloid-β-Related Angiitis-A Case Report Highlighting a Relevant Scenario With Acute Focal Neurological Deficits and Minimal Radiological Presentation.

Fatal Outcome of Intravenous Thrombolysis With an Unexpected Finding of Amyloid-β-Related Angiitis-A Case Report Highlighting a Relevant Scenario With Acute Focal Neurological Deficits and Minimal Radiological Presentation.

Fatal Outcome of Intravenous Thrombolysis With an Unexpected Finding of Amyloid-β-Related Angiitis-A Case Report Highlighting a Relevant Scenario With Acute Focal Neurological Deficits and Minimal Radiological Presentation.

Cerebral amyloid angiopathy (CAA) has been implicated as a risk for developing lobar intracerebral hemorrhage (ICH) after intravenous thrombolysis (IVT) applied for acute ischemic stroke (AIS). However, there is a paucity of cases reported with histopathological CAA diagnosis in this setting, with a single report to imply the role of CAA-related inflammation (CAA-RI). We report clinical, radiological, and neuropathological observations of a 65-year-old woman who presented with acute left-hemispheric symptoms with an initially unrevealing cranial computed tomography (CT) and received IVT for presumed AIS. The course was rapidly complicated by a huge lobar ICH and a fatal outcome. The autopsy revealed severe CAA, unexpectedly with transmural CAA-RI, a.k.a. amyloid-β-related angiitis (ABRA), and histopathological evidence for vascular amyloid-β phagocytosis. Re-evaluation of initial imaging did not reveal signs of asymmetric confluent white matter edema characteristic of CAA-RI, but raised the suspicion of a tiny left central convexity subarachnoid hemorrhage, a substrate of amyloid spells. The genotype of the apolipoprotein E (ApoE) gene (ApoE) was ε3/ε3. Being the second published thrombolysis-associated fatality with ABRA and among the few with definite CAA, the present case confirms CAA/CAA-RI to be a potential hidden risk for IVT-associated ICHs, urging for awareness of CAA-associated pathologies and clinical-radiological hints in an AIS setting. The findings implicate the relevance of vascular Aβ phagocytosis in the pathogenesis, confirm that CAA-RI may present without prominent edema, highlight that CAA/CAA-RI-related focal neurological deficits (including amyloid spells) can be potential AIS mimics within the IVT time window, and urge for rigorous analysis of pre-IVT CT scans for even subtle sulcal hyperdensities suggesting cSAH/amyloid spell in elderly patients, prompting consideration of magnetic resonance imaging.

求助全文
通过发布文献求助,成功后即可免费获取论文全文。 去求助
来源期刊
Neuropathology
Neuropathology 医学-病理学
CiteScore
4.10
自引率
4.30%
发文量
105
审稿时长
6-12 weeks
期刊介绍: Neuropathology is an international journal sponsored by the Japanese Society of Neuropathology and publishes peer-reviewed original papers dealing with all aspects of human and experimental neuropathology and related fields of research. The Journal aims to promote the international exchange of results and encourages authors from all countries to submit papers in the following categories: Original Articles, Case Reports, Short Communications, Occasional Reviews, Editorials and Letters to the Editor. All articles are peer-reviewed by at least two researchers expert in the field of the submitted paper.
×
引用
GB/T 7714-2015
复制
MLA
复制
APA
复制
导出至
BibTeX EndNote RefMan NoteFirst NoteExpress
×
提示
您的信息不完整,为了账户安全,请先补充。
现在去补充
×
提示
您因"违规操作"
具体请查看互助需知
我知道了
×
提示
确定
请完成安全验证×
copy
已复制链接
快去分享给好友吧!
我知道了
右上角分享
点击右上角分享
0
联系我们:info@booksci.cn Book学术提供免费学术资源搜索服务,方便国内外学者检索中英文文献。致力于提供最便捷和优质的服务体验。 Copyright © 2023 布克学术 All rights reserved.
京ICP备2023020795号-1
ghs 京公网安备 11010802042870号
Book学术文献互助
Book学术文献互助群
群 号:604180095
Book学术官方微信