中国家庭I型唾液中毒1例报告及文献复习。

IF 1.2 Q4 CLINICAL NEUROLOGY
Xia Zhou, Shengyou Su, Shenghua Li, ZuFang Yi, Liling Feng, Junyi Chen, Binglin Fan
{"title":"中国家庭I型唾液中毒1例报告及文献复习。","authors":"Xia Zhou, Shengyou Su, Shenghua Li, ZuFang Yi, Liling Feng, Junyi Chen, Binglin Fan","doi":"10.1186/s42494-025-00225-3","DOIUrl":null,"url":null,"abstract":"<p><strong>Background: </strong>Sialidosis is an autosomal recessive hereditary disease characterized by the mutation of neuraminidase-1 (NEU1) gene, resulting in decreased activity of α-N-acetylneuraminidase. This leads to metabolic abnormalities in various organs. Sialidosis is classified into two distinct clinical phenotypes, type I and type II, based on the age of onset and severity of clinical manifestations.</p><p><strong>Case presentation: </strong>Here, we report a case involving a patient and his two sisters, all of whom showed seizures and ataxia during adolescence, with progressively worsening symptoms. Prior to admission, none of the patients had received a systemic diagnosis or treatment. The whole exome sequencing identified a homozygous NEU1 mutation (NM_000434.3:c.544A > G [p.Ser182Gly]) in all three siblings. Their parents and children, who were asymptomatic, were found to be heterozygous carriers. The three patients were ultimately diagnosed with type I sialidosis and treated with antiseizure medications, but they continued to experience recurrent seizures.</p><p><strong>Conclusions: </strong>This case report enhances our understanding of sialidosis, particularly in patients presenting with seizures and ataxia. Furthermore, the gene sequencing is a crucial tool for confirming the diagnosis of sialidosis and provides a valuable approach for genetic counseling in affected families.</p>","PeriodicalId":33628,"journal":{"name":"Acta Epileptologica","volume":"7 1","pages":"34"},"PeriodicalIF":1.2000,"publicationDate":"2025-06-04","publicationTypes":"Journal Article","fieldsOfStudy":null,"isOpenAccess":false,"openAccessPdf":"https://www.ncbi.nlm.nih.gov/pmc/articles/PMC12135267/pdf/","citationCount":"0","resultStr":"{\"title\":\"Type I Sialidosis in a Chinese family: a case report and literature review.\",\"authors\":\"Xia Zhou, Shengyou Su, Shenghua Li, ZuFang Yi, Liling Feng, Junyi Chen, Binglin Fan\",\"doi\":\"10.1186/s42494-025-00225-3\",\"DOIUrl\":null,\"url\":null,\"abstract\":\"<p><strong>Background: </strong>Sialidosis is an autosomal recessive hereditary disease characterized by the mutation of neuraminidase-1 (NEU1) gene, resulting in decreased activity of α-N-acetylneuraminidase. This leads to metabolic abnormalities in various organs. Sialidosis is classified into two distinct clinical phenotypes, type I and type II, based on the age of onset and severity of clinical manifestations.</p><p><strong>Case presentation: </strong>Here, we report a case involving a patient and his two sisters, all of whom showed seizures and ataxia during adolescence, with progressively worsening symptoms. Prior to admission, none of the patients had received a systemic diagnosis or treatment. The whole exome sequencing identified a homozygous NEU1 mutation (NM_000434.3:c.544A > G [p.Ser182Gly]) in all three siblings. Their parents and children, who were asymptomatic, were found to be heterozygous carriers. The three patients were ultimately diagnosed with type I sialidosis and treated with antiseizure medications, but they continued to experience recurrent seizures.</p><p><strong>Conclusions: </strong>This case report enhances our understanding of sialidosis, particularly in patients presenting with seizures and ataxia. Furthermore, the gene sequencing is a crucial tool for confirming the diagnosis of sialidosis and provides a valuable approach for genetic counseling in affected families.</p>\",\"PeriodicalId\":33628,\"journal\":{\"name\":\"Acta Epileptologica\",\"volume\":\"7 1\",\"pages\":\"34\"},\"PeriodicalIF\":1.2000,\"publicationDate\":\"2025-06-04\",\"publicationTypes\":\"Journal Article\",\"fieldsOfStudy\":null,\"isOpenAccess\":false,\"openAccessPdf\":\"https://www.ncbi.nlm.nih.gov/pmc/articles/PMC12135267/pdf/\",\"citationCount\":\"0\",\"resultStr\":null,\"platform\":\"Semanticscholar\",\"paperid\":null,\"PeriodicalName\":\"Acta Epileptologica\",\"FirstCategoryId\":\"1085\",\"ListUrlMain\":\"https://doi.org/10.1186/s42494-025-00225-3\",\"RegionNum\":0,\"RegionCategory\":null,\"ArticlePicture\":[],\"TitleCN\":null,\"AbstractTextCN\":null,\"PMCID\":null,\"EPubDate\":\"\",\"PubModel\":\"\",\"JCR\":\"Q4\",\"JCRName\":\"CLINICAL NEUROLOGY\",\"Score\":null,\"Total\":0}","platform":"Semanticscholar","paperid":null,"PeriodicalName":"Acta Epileptologica","FirstCategoryId":"1085","ListUrlMain":"https://doi.org/10.1186/s42494-025-00225-3","RegionNum":0,"RegionCategory":null,"ArticlePicture":[],"TitleCN":null,"AbstractTextCN":null,"PMCID":null,"EPubDate":"","PubModel":"","JCR":"Q4","JCRName":"CLINICAL NEUROLOGY","Score":null,"Total":0}
引用次数: 0

摘要

背景:唾液中毒是一种常染色体隐性遗传病,其特征是神经氨酸酶-1 (NEU1)基因突变,导致α- n -乙酰神经氨酸酶活性降低。这会导致各种器官的代谢异常。根据发病年龄和临床表现的严重程度,唾液中毒分为两种不同的临床表型,I型和II型。病例介绍:在这里,我们报告一个病例,涉及一个病人和他的两个姐妹,他们在青春期都表现出癫痫发作和共济失调,症状逐渐恶化。入院前,没有患者接受过系统诊断或治疗。全外显子组测序鉴定出NEU1纯合突变(NM_000434.3:c)。[p.] [b .] [b .] [b .]他们的父母和孩子,无症状,被发现是杂合携带者。这三名患者最终被诊断为I型唾液中毒,并接受了抗癫痫药物治疗,但他们继续经历反复发作。结论:本病例报告提高了我们对唾液中毒的认识,特别是在出现癫痫发作和共济失调的患者中。此外,基因测序是确认唾液中毒诊断的重要工具,并为患病家庭的遗传咨询提供了有价值的方法。
本文章由计算机程序翻译,如有差异,请以英文原文为准。

Type I Sialidosis in a Chinese family: a case report and literature review.

Type I Sialidosis in a Chinese family: a case report and literature review.

Type I Sialidosis in a Chinese family: a case report and literature review.

Type I Sialidosis in a Chinese family: a case report and literature review.

Background: Sialidosis is an autosomal recessive hereditary disease characterized by the mutation of neuraminidase-1 (NEU1) gene, resulting in decreased activity of α-N-acetylneuraminidase. This leads to metabolic abnormalities in various organs. Sialidosis is classified into two distinct clinical phenotypes, type I and type II, based on the age of onset and severity of clinical manifestations.

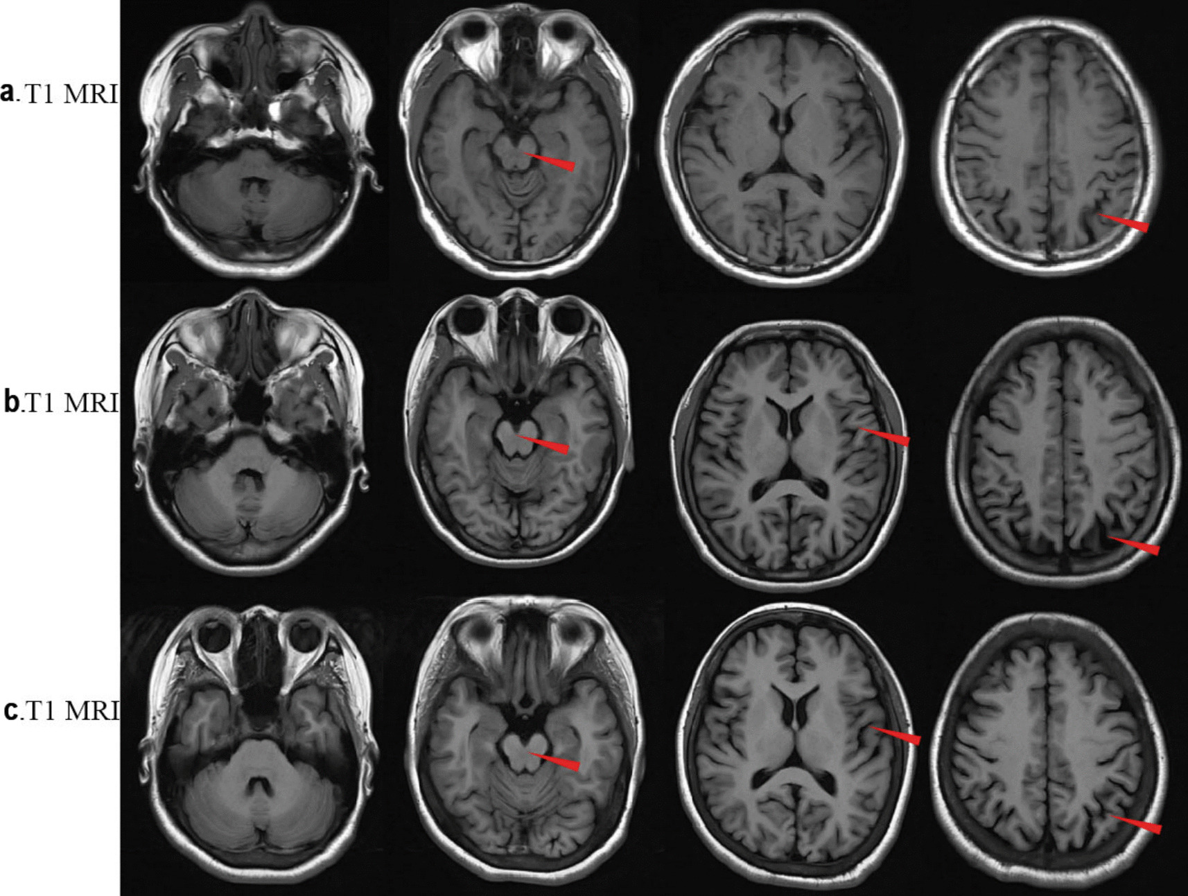
Case presentation: Here, we report a case involving a patient and his two sisters, all of whom showed seizures and ataxia during adolescence, with progressively worsening symptoms. Prior to admission, none of the patients had received a systemic diagnosis or treatment. The whole exome sequencing identified a homozygous NEU1 mutation (NM_000434.3:c.544A > G [p.Ser182Gly]) in all three siblings. Their parents and children, who were asymptomatic, were found to be heterozygous carriers. The three patients were ultimately diagnosed with type I sialidosis and treated with antiseizure medications, but they continued to experience recurrent seizures.

Conclusions: This case report enhances our understanding of sialidosis, particularly in patients presenting with seizures and ataxia. Furthermore, the gene sequencing is a crucial tool for confirming the diagnosis of sialidosis and provides a valuable approach for genetic counseling in affected families.

求助全文
通过发布文献求助,成功后即可免费获取论文全文。 去求助
来源期刊
Acta Epileptologica
Acta Epileptologica Medicine-Neurology (clinical)
CiteScore
2.00
自引率
0.00%
发文量
38
审稿时长
20 weeks
×
引用
GB/T 7714-2015
复制
MLA
复制
APA
复制
导出至
BibTeX EndNote RefMan NoteFirst NoteExpress
×
提示
您的信息不完整,为了账户安全,请先补充。
现在去补充
×
提示
您因"违规操作"
具体请查看互助需知
我知道了
×
提示
确定
请完成安全验证×
copy
已复制链接
快去分享给好友吧!
我知道了
右上角分享
点击右上角分享
0
联系我们:info@booksci.cn Book学术提供免费学术资源搜索服务,方便国内外学者检索中英文文献。致力于提供最便捷和优质的服务体验。 Copyright © 2023 布克学术 All rights reserved.
京ICP备2023020795号-1
ghs 京公网安备 11010802042870号
Book学术文献互助
Book学术文献互助群
群 号:604180095
Book学术官方微信