尽管抗白介素-5受体治疗,但嗜酸性肉芽肿病合并多血管炎的发展:贝那利珠单抗治疗期间双侧视网膜中央动脉闭塞的第一例

IF 2.8 Q2 RHEUMATOLOGY
Elena Treppo, Lucia Finocchio, Benedetta Fazzi, Maria Pillon, Luca Quartuccio
{"title":"尽管抗白介素-5受体治疗,但嗜酸性肉芽肿病合并多血管炎的发展:贝那利珠单抗治疗期间双侧视网膜中央动脉闭塞的第一例","authors":"Elena Treppo, Lucia Finocchio, Benedetta Fazzi, Maria Pillon, Luca Quartuccio","doi":"10.1002/acr2.70073","DOIUrl":null,"url":null,"abstract":"<p><p>Here, we describe a rare presentation of eosinophilic granulomatosis with polyangiitis (EGPA) under benralizumab therapy manifesting as bilateral central retinal artery occlusion (CRAO). The patient, a 61-year-old man with chronic eosinophilic rhinosinusitis and severe asthma, experienced sudden bilateral visual loss and transient amaurosis. Ophthalmologic evaluations, including a fundus examination and optical coherence tomography, confirmed CRAO, and laboratory test results revealed elevated markers of inflammation and positive antimyeloperoxidase antibodies in the context of normal eosinophil counts. Intensive immunosuppressive therapy led to resolution of systemic inflammation, although significant visual impairment persisted. These findings underscore the potential limitations of anti-interleukin-5 receptor therapy in preventing vasculitic complications in EGPA.</p>","PeriodicalId":93845,"journal":{"name":"ACR open rheumatology","volume":"7 6","pages":"e70073"},"PeriodicalIF":2.8000,"publicationDate":"2025-06-01","publicationTypes":"Journal Article","fieldsOfStudy":null,"isOpenAccess":false,"openAccessPdf":"https://www.ncbi.nlm.nih.gov/pmc/articles/PMC12133382/pdf/","citationCount":"0","resultStr":"{\"title\":\"Development of Eosinophilic Granulomatosis With Polyangiitis Despite Anti-Interleukin-5 Receptor Therapy: The First Case of Bilateral Central Retinal Artery Occlusion During Benralizumab Treatment.\",\"authors\":\"Elena Treppo, Lucia Finocchio, Benedetta Fazzi, Maria Pillon, Luca Quartuccio\",\"doi\":\"10.1002/acr2.70073\",\"DOIUrl\":null,\"url\":null,\"abstract\":\"<p><p>Here, we describe a rare presentation of eosinophilic granulomatosis with polyangiitis (EGPA) under benralizumab therapy manifesting as bilateral central retinal artery occlusion (CRAO). The patient, a 61-year-old man with chronic eosinophilic rhinosinusitis and severe asthma, experienced sudden bilateral visual loss and transient amaurosis. Ophthalmologic evaluations, including a fundus examination and optical coherence tomography, confirmed CRAO, and laboratory test results revealed elevated markers of inflammation and positive antimyeloperoxidase antibodies in the context of normal eosinophil counts. Intensive immunosuppressive therapy led to resolution of systemic inflammation, although significant visual impairment persisted. These findings underscore the potential limitations of anti-interleukin-5 receptor therapy in preventing vasculitic complications in EGPA.</p>\",\"PeriodicalId\":93845,\"journal\":{\"name\":\"ACR open rheumatology\",\"volume\":\"7 6\",\"pages\":\"e70073\"},\"PeriodicalIF\":2.8000,\"publicationDate\":\"2025-06-01\",\"publicationTypes\":\"Journal Article\",\"fieldsOfStudy\":null,\"isOpenAccess\":false,\"openAccessPdf\":\"https://www.ncbi.nlm.nih.gov/pmc/articles/PMC12133382/pdf/\",\"citationCount\":\"0\",\"resultStr\":null,\"platform\":\"Semanticscholar\",\"paperid\":null,\"PeriodicalName\":\"ACR open rheumatology\",\"FirstCategoryId\":\"1085\",\"ListUrlMain\":\"https://doi.org/10.1002/acr2.70073\",\"RegionNum\":0,\"RegionCategory\":null,\"ArticlePicture\":[],\"TitleCN\":null,\"AbstractTextCN\":null,\"PMCID\":null,\"EPubDate\":\"\",\"PubModel\":\"\",\"JCR\":\"Q2\",\"JCRName\":\"RHEUMATOLOGY\",\"Score\":null,\"Total\":0}","platform":"Semanticscholar","paperid":null,"PeriodicalName":"ACR open rheumatology","FirstCategoryId":"1085","ListUrlMain":"https://doi.org/10.1002/acr2.70073","RegionNum":0,"RegionCategory":null,"ArticlePicture":[],"TitleCN":null,"AbstractTextCN":null,"PMCID":null,"EPubDate":"","PubModel":"","JCR":"Q2","JCRName":"RHEUMATOLOGY","Score":null,"Total":0}
引用次数: 0

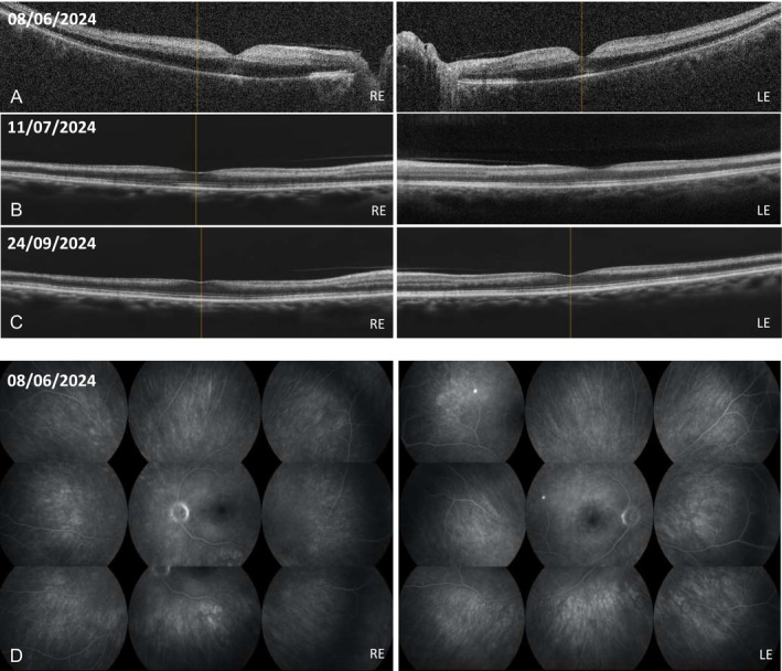
摘要

在这里,我们描述了一个罕见的嗜酸性肉芽肿病合并多血管炎(EGPA)在贝那利珠单抗治疗下表现为双侧视网膜中央动脉闭塞(CRAO)。患者为61岁男性,患有慢性嗜酸性鼻窦炎和严重哮喘,突然双侧视力丧失和短暂性黑朦。眼科检查,包括眼底检查和光学相干断层扫描,证实CRAO,实验室检查结果显示炎症标志物升高,在嗜酸性粒细胞计数正常的情况下,抗髓过氧化物酶抗体阳性。强化免疫抑制治疗导致全身性炎症消退,但仍存在明显的视力损害。这些发现强调了抗白细胞介素-5受体治疗在预防EGPA血管并发症方面的潜在局限性。
本文章由计算机程序翻译,如有差异,请以英文原文为准。

Development of Eosinophilic Granulomatosis With Polyangiitis Despite Anti-Interleukin-5 Receptor Therapy: The First Case of Bilateral Central Retinal Artery Occlusion During Benralizumab Treatment.

Development of Eosinophilic Granulomatosis With Polyangiitis Despite Anti-Interleukin-5 Receptor Therapy: The First Case of Bilateral Central Retinal Artery Occlusion During Benralizumab Treatment.

Here, we describe a rare presentation of eosinophilic granulomatosis with polyangiitis (EGPA) under benralizumab therapy manifesting as bilateral central retinal artery occlusion (CRAO). The patient, a 61-year-old man with chronic eosinophilic rhinosinusitis and severe asthma, experienced sudden bilateral visual loss and transient amaurosis. Ophthalmologic evaluations, including a fundus examination and optical coherence tomography, confirmed CRAO, and laboratory test results revealed elevated markers of inflammation and positive antimyeloperoxidase antibodies in the context of normal eosinophil counts. Intensive immunosuppressive therapy led to resolution of systemic inflammation, although significant visual impairment persisted. These findings underscore the potential limitations of anti-interleukin-5 receptor therapy in preventing vasculitic complications in EGPA.

求助全文
通过发布文献求助,成功后即可免费获取论文全文。 去求助
来源期刊
CiteScore
5.80
自引率
0.00%
发文量
0
审稿时长
10 weeks
×
引用
GB/T 7714-2015
复制
MLA
复制
APA
复制
导出至
BibTeX EndNote RefMan NoteFirst NoteExpress
×
提示
您的信息不完整,为了账户安全,请先补充。
现在去补充
×
提示
您因"违规操作"
具体请查看互助需知
我知道了
×
提示
确定
请完成安全验证×
copy
已复制链接
快去分享给好友吧!
我知道了
右上角分享
点击右上角分享
0
联系我们:info@booksci.cn Book学术提供免费学术资源搜索服务,方便国内外学者检索中英文文献。致力于提供最便捷和优质的服务体验。 Copyright © 2023 布克学术 All rights reserved.
京ICP备2023020795号-1
ghs 京公网安备 11010802042870号
Book学术文献互助
Book学术文献互助群
群 号:604180095
Book学术官方微信