甲状旁腺瘤病向甲状旁腺癌的恶性转化并侵袭性生长和远处转移。

Endocrine oncology (Bristol, England) Pub Date : 2025-05-31 eCollection Date: 2025-01-01 DOI:10.1530/EO-25-0024
Chittari Venkata Harinarayan, Anugnya Premdas Ranjoalkar, Anisha Sawkar Tandon, Honey Ashok, Madhu Prashant
{"title":"甲状旁腺瘤病向甲状旁腺癌的恶性转化并侵袭性生长和远处转移。","authors":"Chittari Venkata Harinarayan, Anugnya Premdas Ranjoalkar, Anisha Sawkar Tandon, Honey Ashok, Madhu Prashant","doi":"10.1530/EO-25-0024","DOIUrl":null,"url":null,"abstract":"<p><p>Parathyroid carcinoma (PC) is a rare endocrine malignancy. It accounts for about 1% of all primary hyperparathyroidism (PHPT) cases and 0.005% of all malignancies. PC presents with severe hypercalcemia, often refractory to standard medical treatment, which is crucial for improving patient outcomes. Differentiating PC from atypical parathyroid adenomas and parathyromatosis can be challenging. PC is diagnosed by angio-invasion, lymphatic and perineural invasion, and local malignant invasion with regional and distant metastasis. CD31 positivity on immunohistochemistry, indicating tumor cells within blood vessels in the pseudocapsule (vascular invasion), and a Ki-67% proliferative index of 8% confirm the diagnosis. We describe a 67-year-old man who presented with neck swelling, abdominal pain, and weight loss. Five years prior, he underwent a left inferior parathyroidectomy for a mass, which histological examination identified as clear cell parathyroid adenoma. Three years post-parathyroidectomy, he developed recurrent left-sided neck swelling. Magnetic resonance imaging revealed a lesion with mediastinal extension but no lymph node metastasis. During surgery, the lesion was adherent to the common carotid artery, and histopathological examination confirmed parathyromatosis. Recently, he presented again with new-onset neck swelling, abdominal pain, and weight loss. Biochemical investigations confirmed primary hyperparathyroidism. Invasive growth into surrounding tissues, blood vessels, and nerves, along with lymph node involvement and lung metastasis, with histopathology showing CD31 positivity and a Ki-67% proliferative index of 8%, confirmed the diagnosis of PC. As the tumor was inoperable, hypercalcemia was managed with cinacalcet, resulting in a decline in serum calcium levels.</p><p><strong>Learning points: </strong>Parathyroid carcinoma is one of the rarest malignancies.Parathyromatosis is parathyroid tissue displaced in the neck and mediastinum due to prior surgery or aberrant embryonic development.The diagnosis of parathyroid carcinoma on histopathology is based on:Local invasion into adjacent structures, such as adipose tissues/skeletal muscle bundles.Loco-regional invasion-lymphatic (D240 IHC+), angio-invasion (CD31 IHC+), and perineural invasion.Nuclear pleomorphism, hyperchromatic nuclei, and increased mitosis (high Ki-67 proliferative index of >5%).Regional and distant metastasis in the lungs and other organs.Management of severe hypercalcemia is crucial for improving patient outcomes.</p>","PeriodicalId":72907,"journal":{"name":"Endocrine oncology (Bristol, England)","volume":"5 1","pages":"e250024"},"PeriodicalIF":0.0000,"publicationDate":"2025-05-31","publicationTypes":"Journal Article","fieldsOfStudy":null,"isOpenAccess":false,"openAccessPdf":"https://www.ncbi.nlm.nih.gov/pmc/articles/PMC12131739/pdf/","citationCount":"0","resultStr":"{\"title\":\"Malignant transformation of parathyromatosis to parathyroid carcinoma with invasive growth and distant metastasis.\",\"authors\":\"Chittari Venkata Harinarayan, Anugnya Premdas Ranjoalkar, Anisha Sawkar Tandon, Honey Ashok, Madhu Prashant\",\"doi\":\"10.1530/EO-25-0024\",\"DOIUrl\":null,\"url\":null,\"abstract\":\"<p><p>Parathyroid carcinoma (PC) is a rare endocrine malignancy. It accounts for about 1% of all primary hyperparathyroidism (PHPT) cases and 0.005% of all malignancies. PC presents with severe hypercalcemia, often refractory to standard medical treatment, which is crucial for improving patient outcomes. Differentiating PC from atypical parathyroid adenomas and parathyromatosis can be challenging. PC is diagnosed by angio-invasion, lymphatic and perineural invasion, and local malignant invasion with regional and distant metastasis. CD31 positivity on immunohistochemistry, indicating tumor cells within blood vessels in the pseudocapsule (vascular invasion), and a Ki-67% proliferative index of 8% confirm the diagnosis. We describe a 67-year-old man who presented with neck swelling, abdominal pain, and weight loss. Five years prior, he underwent a left inferior parathyroidectomy for a mass, which histological examination identified as clear cell parathyroid adenoma. Three years post-parathyroidectomy, he developed recurrent left-sided neck swelling. Magnetic resonance imaging revealed a lesion with mediastinal extension but no lymph node metastasis. During surgery, the lesion was adherent to the common carotid artery, and histopathological examination confirmed parathyromatosis. Recently, he presented again with new-onset neck swelling, abdominal pain, and weight loss. Biochemical investigations confirmed primary hyperparathyroidism. Invasive growth into surrounding tissues, blood vessels, and nerves, along with lymph node involvement and lung metastasis, with histopathology showing CD31 positivity and a Ki-67% proliferative index of 8%, confirmed the diagnosis of PC. As the tumor was inoperable, hypercalcemia was managed with cinacalcet, resulting in a decline in serum calcium levels.</p><p><strong>Learning points: </strong>Parathyroid carcinoma is one of the rarest malignancies.Parathyromatosis is parathyroid tissue displaced in the neck and mediastinum due to prior surgery or aberrant embryonic development.The diagnosis of parathyroid carcinoma on histopathology is based on:Local invasion into adjacent structures, such as adipose tissues/skeletal muscle bundles.Loco-regional invasion-lymphatic (D240 IHC+), angio-invasion (CD31 IHC+), and perineural invasion.Nuclear pleomorphism, hyperchromatic nuclei, and increased mitosis (high Ki-67 proliferative index of >5%).Regional and distant metastasis in the lungs and other organs.Management of severe hypercalcemia is crucial for improving patient outcomes.</p>\",\"PeriodicalId\":72907,\"journal\":{\"name\":\"Endocrine oncology (Bristol, England)\",\"volume\":\"5 1\",\"pages\":\"e250024\"},\"PeriodicalIF\":0.0000,\"publicationDate\":\"2025-05-31\",\"publicationTypes\":\"Journal Article\",\"fieldsOfStudy\":null,\"isOpenAccess\":false,\"openAccessPdf\":\"https://www.ncbi.nlm.nih.gov/pmc/articles/PMC12131739/pdf/\",\"citationCount\":\"0\",\"resultStr\":null,\"platform\":\"Semanticscholar\",\"paperid\":null,\"PeriodicalName\":\"Endocrine oncology (Bristol, England)\",\"FirstCategoryId\":\"1085\",\"ListUrlMain\":\"https://doi.org/10.1530/EO-25-0024\",\"RegionNum\":0,\"RegionCategory\":null,\"ArticlePicture\":[],\"TitleCN\":null,\"AbstractTextCN\":null,\"PMCID\":null,\"EPubDate\":\"2025/1/1 0:00:00\",\"PubModel\":\"eCollection\",\"JCR\":\"\",\"JCRName\":\"\",\"Score\":null,\"Total\":0}","platform":"Semanticscholar","paperid":null,"PeriodicalName":"Endocrine oncology (Bristol, England)","FirstCategoryId":"1085","ListUrlMain":"https://doi.org/10.1530/EO-25-0024","RegionNum":0,"RegionCategory":null,"ArticlePicture":[],"TitleCN":null,"AbstractTextCN":null,"PMCID":null,"EPubDate":"2025/1/1 0:00:00","PubModel":"eCollection","JCR":"","JCRName":"","Score":null,"Total":0}
引用次数: 0

摘要

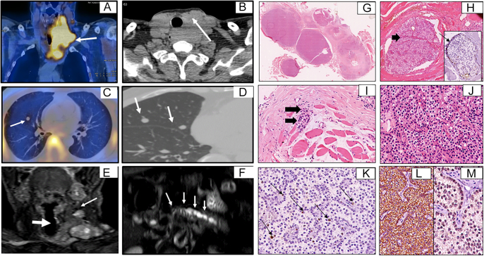
甲状旁腺癌是一种罕见的内分泌恶性肿瘤。它约占所有原发性甲状旁腺功能亢进(PHPT)病例的1%,占所有恶性肿瘤的0.005%。PC表现为严重的高钙血症,通常难以接受标准药物治疗,这对改善患者预后至关重要。鉴别PC与非典型甲状旁腺腺瘤和甲状旁腺瘤是具有挑战性的。PC的诊断表现为血管浸润、淋巴和神经周围浸润、局部恶性浸润伴局部和远处转移。免疫组化CD31阳性,提示假包膜内血管内有肿瘤细胞(血管侵袭),Ki-67%增殖指数为8%,证实诊断。我们描述了一位67岁的男性,他表现为颈部肿胀,腹痛和体重减轻。五年前,他接受了左侧下甲状旁腺切除术肿块,组织学检查确定为透明细胞甲状旁腺瘤。甲状旁腺切除术后三年,他复发左侧颈部肿胀。磁共振显示病灶纵隔延伸,但无淋巴结转移。术中病变附着于颈总动脉,组织病理学检查证实为甲状旁腺瘤。最近,他再次出现新发颈部肿胀、腹痛和体重减轻。生化检查证实原发性甲状旁腺功能亢进。浸润性生长到周围组织、血管和神经,伴淋巴结受累和肺转移,组织病理学显示CD31阳性,Ki-67%增殖指数为8%,证实PC的诊断。由于肿瘤不能手术,高钙血症用cinacalcet治疗,导致血清钙水平下降。学习要点:甲状旁腺癌是最罕见的恶性肿瘤之一。甲状旁腺瘤病是由于先前的手术或胚胎发育异常导致的颈部和纵隔甲状旁腺组织移位。甲状旁腺癌的组织病理学诊断是基于:局部侵犯邻近结构,如脂肪组织/骨骼肌束。局部侵袭-淋巴(D240 IHC+),血管侵袭(CD31 IHC+)和神经周围侵袭。核多形性,核深染,有丝分裂增加(Ki-67增殖指数高,> %)。肺和其他器官的局部和远处转移。管理严重高钙血症对改善患者预后至关重要。
本文章由计算机程序翻译,如有差异,请以英文原文为准。

Malignant transformation of parathyromatosis to parathyroid carcinoma with invasive growth and distant metastasis.

Malignant transformation of parathyromatosis to parathyroid carcinoma with invasive growth and distant metastasis.

Malignant transformation of parathyromatosis to parathyroid carcinoma with invasive growth and distant metastasis.

Parathyroid carcinoma (PC) is a rare endocrine malignancy. It accounts for about 1% of all primary hyperparathyroidism (PHPT) cases and 0.005% of all malignancies. PC presents with severe hypercalcemia, often refractory to standard medical treatment, which is crucial for improving patient outcomes. Differentiating PC from atypical parathyroid adenomas and parathyromatosis can be challenging. PC is diagnosed by angio-invasion, lymphatic and perineural invasion, and local malignant invasion with regional and distant metastasis. CD31 positivity on immunohistochemistry, indicating tumor cells within blood vessels in the pseudocapsule (vascular invasion), and a Ki-67% proliferative index of 8% confirm the diagnosis. We describe a 67-year-old man who presented with neck swelling, abdominal pain, and weight loss. Five years prior, he underwent a left inferior parathyroidectomy for a mass, which histological examination identified as clear cell parathyroid adenoma. Three years post-parathyroidectomy, he developed recurrent left-sided neck swelling. Magnetic resonance imaging revealed a lesion with mediastinal extension but no lymph node metastasis. During surgery, the lesion was adherent to the common carotid artery, and histopathological examination confirmed parathyromatosis. Recently, he presented again with new-onset neck swelling, abdominal pain, and weight loss. Biochemical investigations confirmed primary hyperparathyroidism. Invasive growth into surrounding tissues, blood vessels, and nerves, along with lymph node involvement and lung metastasis, with histopathology showing CD31 positivity and a Ki-67% proliferative index of 8%, confirmed the diagnosis of PC. As the tumor was inoperable, hypercalcemia was managed with cinacalcet, resulting in a decline in serum calcium levels.

Learning points: Parathyroid carcinoma is one of the rarest malignancies.Parathyromatosis is parathyroid tissue displaced in the neck and mediastinum due to prior surgery or aberrant embryonic development.The diagnosis of parathyroid carcinoma on histopathology is based on:Local invasion into adjacent structures, such as adipose tissues/skeletal muscle bundles.Loco-regional invasion-lymphatic (D240 IHC+), angio-invasion (CD31 IHC+), and perineural invasion.Nuclear pleomorphism, hyperchromatic nuclei, and increased mitosis (high Ki-67 proliferative index of >5%).Regional and distant metastasis in the lungs and other organs.Management of severe hypercalcemia is crucial for improving patient outcomes.

求助全文
通过发布文献求助,成功后即可免费获取论文全文。 去求助
来源期刊
自引率
0.00%
发文量
0
×
引用
GB/T 7714-2015
复制
MLA
复制
APA
复制
导出至
BibTeX EndNote RefMan NoteFirst NoteExpress
×
提示
您的信息不完整,为了账户安全,请先补充。
现在去补充
×
提示
您因"违规操作"
具体请查看互助需知
我知道了
×
提示
确定
请完成安全验证×
copy
已复制链接
快去分享给好友吧!
我知道了
右上角分享
点击右上角分享
0
联系我们:info@booksci.cn Book学术提供免费学术资源搜索服务,方便国内外学者检索中英文文献。致力于提供最便捷和优质的服务体验。 Copyright © 2023 布克学术 All rights reserved.
京ICP备2023020795号-1
ghs 京公网安备 11010802042870号
Book学术文献互助
Book学术文献互助群
群 号:604180095
Book学术官方微信