子弹丢失导丝一例报告。

IF 1 Q4 Medicine
Journal of Chest Surgery Pub Date : 2025-07-05 Epub Date: 2025-06-04 DOI:10.5090/jcs.25.023
Hee Chul Yang, Sarah Nisivaco, Chitaru Kurihara
{"title":"子弹丢失导丝一例报告。","authors":"Hee Chul Yang, Sarah Nisivaco, Chitaru Kurihara","doi":"10.5090/jcs.25.023","DOIUrl":null,"url":null,"abstract":"<p><p>The incidence of a missing guidewire during the Seldinger technique is low but can occur due to procedural errors. Reported rates vary, ranging from 0.1% to 0.8% in central venous catheterization and other vascular access procedures. We present a rare case of a retained guidewire within a pulmonary bulla following Seldinger-based chest tube insertion in a patient with ventilator-induced pneumothorax. Due to a prolonged air leak, the guidewire was removed, and wedge resection of the affected lung parenchyma, along with talc pleurodesis, was performed via video-assisted thoracoscopy. Closed thoracostomy using the Seldinger technique requires caution in emphysematous patients receiving mechanical ventilation. To facilitate lung deflation and minimize the risk of lung injury during needle and guidewire placement, the endotracheal tube can be temporarily disconnected from the ventilator. Over-insertion of the wire and dilator should be avoided. Supervision and simulation training are crucial to prevent this type of \"never event.\"</p>","PeriodicalId":34499,"journal":{"name":"Journal of Chest Surgery","volume":" ","pages":"157-159"},"PeriodicalIF":1.0000,"publicationDate":"2025-07-05","publicationTypes":"Journal Article","fieldsOfStudy":null,"isOpenAccess":false,"openAccessPdf":"https://www.ncbi.nlm.nih.gov/pmc/articles/PMC12230690/pdf/","citationCount":"0","resultStr":"{\"title\":\"Missing Guidewire in a Bulla: A Case Report.\",\"authors\":\"Hee Chul Yang, Sarah Nisivaco, Chitaru Kurihara\",\"doi\":\"10.5090/jcs.25.023\",\"DOIUrl\":null,\"url\":null,\"abstract\":\"<p><p>The incidence of a missing guidewire during the Seldinger technique is low but can occur due to procedural errors. Reported rates vary, ranging from 0.1% to 0.8% in central venous catheterization and other vascular access procedures. We present a rare case of a retained guidewire within a pulmonary bulla following Seldinger-based chest tube insertion in a patient with ventilator-induced pneumothorax. Due to a prolonged air leak, the guidewire was removed, and wedge resection of the affected lung parenchyma, along with talc pleurodesis, was performed via video-assisted thoracoscopy. Closed thoracostomy using the Seldinger technique requires caution in emphysematous patients receiving mechanical ventilation. To facilitate lung deflation and minimize the risk of lung injury during needle and guidewire placement, the endotracheal tube can be temporarily disconnected from the ventilator. Over-insertion of the wire and dilator should be avoided. Supervision and simulation training are crucial to prevent this type of \\\"never event.\\\"</p>\",\"PeriodicalId\":34499,\"journal\":{\"name\":\"Journal of Chest Surgery\",\"volume\":\" \",\"pages\":\"157-159\"},\"PeriodicalIF\":1.0000,\"publicationDate\":\"2025-07-05\",\"publicationTypes\":\"Journal Article\",\"fieldsOfStudy\":null,\"isOpenAccess\":false,\"openAccessPdf\":\"https://www.ncbi.nlm.nih.gov/pmc/articles/PMC12230690/pdf/\",\"citationCount\":\"0\",\"resultStr\":null,\"platform\":\"Semanticscholar\",\"paperid\":null,\"PeriodicalName\":\"Journal of Chest Surgery\",\"FirstCategoryId\":\"1085\",\"ListUrlMain\":\"https://doi.org/10.5090/jcs.25.023\",\"RegionNum\":0,\"RegionCategory\":null,\"ArticlePicture\":[],\"TitleCN\":null,\"AbstractTextCN\":null,\"PMCID\":null,\"EPubDate\":\"2025/6/4 0:00:00\",\"PubModel\":\"Epub\",\"JCR\":\"Q4\",\"JCRName\":\"Medicine\",\"Score\":null,\"Total\":0}","platform":"Semanticscholar","paperid":null,"PeriodicalName":"Journal of Chest Surgery","FirstCategoryId":"1085","ListUrlMain":"https://doi.org/10.5090/jcs.25.023","RegionNum":0,"RegionCategory":null,"ArticlePicture":[],"TitleCN":null,"AbstractTextCN":null,"PMCID":null,"EPubDate":"2025/6/4 0:00:00","PubModel":"Epub","JCR":"Q4","JCRName":"Medicine","Score":null,"Total":0}
引用次数: 0

摘要

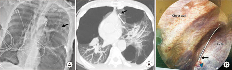
在Seldinger技术中,导丝缺失的发生率很低,但可能由于操作错误而发生。报道的发生率各不相同,中心静脉置管和其他血管通路手术的发生率从0.1%到0.8%不等。我们报告一例罕见的病例,在呼吸机诱发的气胸患者的Seldinger-based胸管插入后,导丝在肺大球内保留。由于长时间的空气泄漏,导丝被移除,并通过电视胸腔镜对受影响的肺实质进行楔形切除,同时进行滑石粉胸膜切除术。使用Seldinger技术的闭式开胸术需要在接受机械通气的肺气肿患者中谨慎进行。为了便于肺部收缩,并尽量减少针和导丝放置期间肺损伤的风险,气管内管可暂时与呼吸机断开。应避免过度插入导线和扩张器。监督和模拟训练对于防止这类“永远不会发生的事件”至关重要。
本文章由计算机程序翻译,如有差异,请以英文原文为准。

Missing Guidewire in a Bulla: A Case Report.

Missing Guidewire in a Bulla: A Case Report.

The incidence of a missing guidewire during the Seldinger technique is low but can occur due to procedural errors. Reported rates vary, ranging from 0.1% to 0.8% in central venous catheterization and other vascular access procedures. We present a rare case of a retained guidewire within a pulmonary bulla following Seldinger-based chest tube insertion in a patient with ventilator-induced pneumothorax. Due to a prolonged air leak, the guidewire was removed, and wedge resection of the affected lung parenchyma, along with talc pleurodesis, was performed via video-assisted thoracoscopy. Closed thoracostomy using the Seldinger technique requires caution in emphysematous patients receiving mechanical ventilation. To facilitate lung deflation and minimize the risk of lung injury during needle and guidewire placement, the endotracheal tube can be temporarily disconnected from the ventilator. Over-insertion of the wire and dilator should be avoided. Supervision and simulation training are crucial to prevent this type of "never event."

求助全文
通过发布文献求助,成功后即可免费获取论文全文。 去求助
来源期刊
Journal of Chest Surgery
Journal of Chest Surgery Medicine-Surgery
CiteScore
0.80
自引率
0.00%
发文量
76
审稿时长
7 weeks
×
引用
GB/T 7714-2015
复制
MLA
复制
APA
复制
导出至
BibTeX EndNote RefMan NoteFirst NoteExpress
×
提示
您的信息不完整,为了账户安全,请先补充。
现在去补充
×
提示
您因"违规操作"
具体请查看互助需知
我知道了
×
提示
确定
请完成安全验证×
copy
已复制链接
快去分享给好友吧!
我知道了
右上角分享
点击右上角分享
0
联系我们:info@booksci.cn Book学术提供免费学术资源搜索服务,方便国内外学者检索中英文文献。致力于提供最便捷和优质的服务体验。 Copyright © 2023 布克学术 All rights reserved.
京ICP备2023020795号-1
ghs 京公网安备 11010802042870号
Book学术文献互助
Book学术文献互助群
群 号:604180095
Book学术官方微信