可溶性IL-6受体突变体重组形式对卵巢癌细胞系细胞毒作用的体外评价

IF 1.5 4区 生物学 Q4 BIOTECHNOLOGY & APPLIED MICROBIOLOGY
Kosar Khatir, Mahmoud Aghaei, Seyedeh Sara Ghorbanhosseini, Fatemeh Shafiee
{"title":"可溶性IL-6受体突变体重组形式对卵巢癌细胞系细胞毒作用的体外评价","authors":"Kosar Khatir, Mahmoud Aghaei, Seyedeh Sara Ghorbanhosseini, Fatemeh Shafiee","doi":"10.30498/ijb.2025.467140.3953","DOIUrl":null,"url":null,"abstract":"<p><strong>Background: </strong>Interleukin-6 (IL-6) plays an important role in cancer metastasis. Therefore, it seems that inhibition of IL-6 may act as an anticancer agent.</p><p><strong>Objectives: </strong>This study examined the anti-proliferative and IL-6 signal transduction inhibitory effects of a mutant IL-6 receptor (mIL-6R) on an ovarian cancer cell line.</p><p><strong>Materials and methods: </strong>The intein1-mIL-6R was expressed in <i>E. coli</i> BL21 at various inducer concentrations and temperatures. The expressed protein was purified using the IMPACT system, and the best-examined conditions (i.e., temperature, time, cleavage buffer pH) for intein1auto-cleavage were achieved. The anti-proliferative effects of mIL-6R on OVCAR-3 cancer cells were investigated using MTT assay and RT-PCR to determine its effects on suppressing the JAK-STAT pathway genes.</p><p><strong>Results: </strong>The highest solubility of mIL-6R was obtained at 20 °C, 0.5 mM IPTG. The highest level of intein1 cleavage occurred at 25 °C, 24 hours of incubation, and pH = 4 of cleavage buffer. Also, mIL-6R diminished the survival of OVCAR-3 cells compared to PBS (p-value = 0.024), with 48 hours IC50 of 1.117 μg/mL. Also, mIL-6R significantly reduced the expression of the JAK, STAT, and VEGF genes.</p><p><strong>Conclusion: </strong>The recombinant mIL-6R showed a strong concentration-dependent anti-proliferative effect on the OVCAR-3 cell line. However, it needs further evaluation for its potential activity against disorders associated with increased IL-6.</p>","PeriodicalId":14492,"journal":{"name":"Iranian Journal of Biotechnology","volume":"23 1","pages":""},"PeriodicalIF":1.5000,"publicationDate":"2025-01-01","publicationTypes":"Journal Article","fieldsOfStudy":null,"isOpenAccess":false,"openAccessPdf":"https://www.ncbi.nlm.nih.gov/pmc/articles/PMC12128949/pdf/","citationCount":"0","resultStr":"{\"title\":\"<i>In vitro</i> Evaluation of the Cytotoxic Effects of a Recombinant form of the Soluble Mutant IL-6 Receptor on an Ovarian Cancer Cell Line.\",\"authors\":\"Kosar Khatir, Mahmoud Aghaei, Seyedeh Sara Ghorbanhosseini, Fatemeh Shafiee\",\"doi\":\"10.30498/ijb.2025.467140.3953\",\"DOIUrl\":null,\"url\":null,\"abstract\":\"<p><strong>Background: </strong>Interleukin-6 (IL-6) plays an important role in cancer metastasis. Therefore, it seems that inhibition of IL-6 may act as an anticancer agent.</p><p><strong>Objectives: </strong>This study examined the anti-proliferative and IL-6 signal transduction inhibitory effects of a mutant IL-6 receptor (mIL-6R) on an ovarian cancer cell line.</p><p><strong>Materials and methods: </strong>The intein1-mIL-6R was expressed in <i>E. coli</i> BL21 at various inducer concentrations and temperatures. The expressed protein was purified using the IMPACT system, and the best-examined conditions (i.e., temperature, time, cleavage buffer pH) for intein1auto-cleavage were achieved. The anti-proliferative effects of mIL-6R on OVCAR-3 cancer cells were investigated using MTT assay and RT-PCR to determine its effects on suppressing the JAK-STAT pathway genes.</p><p><strong>Results: </strong>The highest solubility of mIL-6R was obtained at 20 °C, 0.5 mM IPTG. The highest level of intein1 cleavage occurred at 25 °C, 24 hours of incubation, and pH = 4 of cleavage buffer. Also, mIL-6R diminished the survival of OVCAR-3 cells compared to PBS (p-value = 0.024), with 48 hours IC50 of 1.117 μg/mL. Also, mIL-6R significantly reduced the expression of the JAK, STAT, and VEGF genes.</p><p><strong>Conclusion: </strong>The recombinant mIL-6R showed a strong concentration-dependent anti-proliferative effect on the OVCAR-3 cell line. However, it needs further evaluation for its potential activity against disorders associated with increased IL-6.</p>\",\"PeriodicalId\":14492,\"journal\":{\"name\":\"Iranian Journal of Biotechnology\",\"volume\":\"23 1\",\"pages\":\"\"},\"PeriodicalIF\":1.5000,\"publicationDate\":\"2025-01-01\",\"publicationTypes\":\"Journal Article\",\"fieldsOfStudy\":null,\"isOpenAccess\":false,\"openAccessPdf\":\"https://www.ncbi.nlm.nih.gov/pmc/articles/PMC12128949/pdf/\",\"citationCount\":\"0\",\"resultStr\":null,\"platform\":\"Semanticscholar\",\"paperid\":null,\"PeriodicalName\":\"Iranian Journal of Biotechnology\",\"FirstCategoryId\":\"5\",\"ListUrlMain\":\"https://doi.org/10.30498/ijb.2025.467140.3953\",\"RegionNum\":4,\"RegionCategory\":\"生物学\",\"ArticlePicture\":[],\"TitleCN\":null,\"AbstractTextCN\":null,\"PMCID\":null,\"EPubDate\":\"\",\"PubModel\":\"\",\"JCR\":\"Q4\",\"JCRName\":\"BIOTECHNOLOGY & APPLIED MICROBIOLOGY\",\"Score\":null,\"Total\":0}","platform":"Semanticscholar","paperid":null,"PeriodicalName":"Iranian Journal of Biotechnology","FirstCategoryId":"5","ListUrlMain":"https://doi.org/10.30498/ijb.2025.467140.3953","RegionNum":4,"RegionCategory":"生物学","ArticlePicture":[],"TitleCN":null,"AbstractTextCN":null,"PMCID":null,"EPubDate":"","PubModel":"","JCR":"Q4","JCRName":"BIOTECHNOLOGY & APPLIED MICROBIOLOGY","Score":null,"Total":0}
引用次数: 0

摘要

背景:白细胞介素-6 (IL-6)在肿瘤转移中起重要作用。因此,抑制IL-6可能具有抗癌作用。目的:研究IL-6受体突变体(mIL-6R)对卵巢癌细胞系的抗增殖和IL-6信号转导抑制作用。材料与方法:在不同诱导剂浓度和温度下,在大肠杆菌BL21中表达了interin1 - mil - 6r。使用IMPACT系统纯化表达的蛋白,获得了进行内部自裂解的最佳条件(即温度、时间、裂解缓冲液pH)。采用MTT法和RT-PCR检测mIL-6R对OVCAR-3癌细胞的抗增殖作用,以确定其对JAK-STAT通路基因的抑制作用。结果:mIL-6R在20°C, 0.5 mM IPTG下溶解度最高。在25°C,孵育24小时,裂解缓冲液pH = 4时,intin1的裂解水平最高。与PBS相比,mIL-6R降低了OVCAR-3细胞的存活率(p值= 0.024),48小时IC50为1.117 μg/mL。此外,mIL-6R显著降低JAK、STAT和VEGF基因的表达。结论:重组mIL-6R对OVCAR-3细胞株具有较强的浓度依赖性抗增殖作用。然而,它对与IL-6升高相关的疾病的潜在活性还需要进一步的评估。
本文章由计算机程序翻译,如有差异,请以英文原文为准。

<i>In vitro</i> Evaluation of the Cytotoxic Effects of a Recombinant form of the Soluble Mutant IL-6 Receptor on an Ovarian Cancer Cell Line.

<i>In vitro</i> Evaluation of the Cytotoxic Effects of a Recombinant form of the Soluble Mutant IL-6 Receptor on an Ovarian Cancer Cell Line.

<i>In vitro</i> Evaluation of the Cytotoxic Effects of a Recombinant form of the Soluble Mutant IL-6 Receptor on an Ovarian Cancer Cell Line.

In vitro Evaluation of the Cytotoxic Effects of a Recombinant form of the Soluble Mutant IL-6 Receptor on an Ovarian Cancer Cell Line.

Background: Interleukin-6 (IL-6) plays an important role in cancer metastasis. Therefore, it seems that inhibition of IL-6 may act as an anticancer agent.

Objectives: This study examined the anti-proliferative and IL-6 signal transduction inhibitory effects of a mutant IL-6 receptor (mIL-6R) on an ovarian cancer cell line.

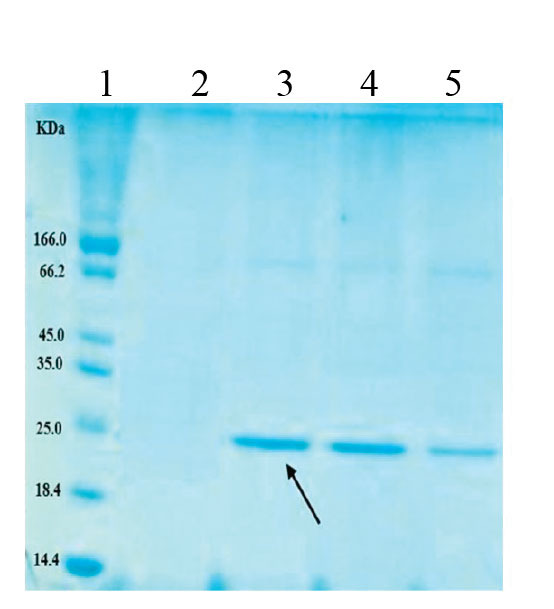
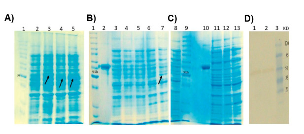
Materials and methods: The intein1-mIL-6R was expressed in E. coli BL21 at various inducer concentrations and temperatures. The expressed protein was purified using the IMPACT system, and the best-examined conditions (i.e., temperature, time, cleavage buffer pH) for intein1auto-cleavage were achieved. The anti-proliferative effects of mIL-6R on OVCAR-3 cancer cells were investigated using MTT assay and RT-PCR to determine its effects on suppressing the JAK-STAT pathway genes.

Results: The highest solubility of mIL-6R was obtained at 20 °C, 0.5 mM IPTG. The highest level of intein1 cleavage occurred at 25 °C, 24 hours of incubation, and pH = 4 of cleavage buffer. Also, mIL-6R diminished the survival of OVCAR-3 cells compared to PBS (p-value = 0.024), with 48 hours IC50 of 1.117 μg/mL. Also, mIL-6R significantly reduced the expression of the JAK, STAT, and VEGF genes.

Conclusion: The recombinant mIL-6R showed a strong concentration-dependent anti-proliferative effect on the OVCAR-3 cell line. However, it needs further evaluation for its potential activity against disorders associated with increased IL-6.

求助全文
通过发布文献求助,成功后即可免费获取论文全文。 去求助
来源期刊
Iranian Journal of Biotechnology
Iranian Journal of Biotechnology BIOTECHNOLOGY & APPLIED MICROBIOLOGY-
CiteScore
2.60
自引率
7.70%
发文量
20
期刊介绍: Iranian Journal of Biotechnology (IJB) is published quarterly by the National Institute of Genetic Engineering and Biotechnology. IJB publishes original scientific research papers in the broad area of Biotechnology such as, Agriculture, Animal and Marine Sciences, Basic Sciences, Bioinformatics, Biosafety and Bioethics, Environment, Industry and Mining and Medical Sciences.
×
引用
GB/T 7714-2015
复制
MLA
复制
APA
复制
导出至
BibTeX EndNote RefMan NoteFirst NoteExpress
×
提示
您的信息不完整,为了账户安全,请先补充。
现在去补充
×
提示
您因"违规操作"
具体请查看互助需知
我知道了
×
提示
确定
请完成安全验证×
copy
已复制链接
快去分享给好友吧!
我知道了
右上角分享
点击右上角分享
0
联系我们:info@booksci.cn Book学术提供免费学术资源搜索服务,方便国内外学者检索中英文文献。致力于提供最便捷和优质的服务体验。 Copyright © 2023 布克学术 All rights reserved.
京ICP备2023020795号-1
ghs 京公网安备 11010802042870号
Book学术文献互助
Book学术文献互助群
群 号:604180095
Book学术官方微信