55岁以下的肩关节置换术是解剖还是反向的最佳解决方案?

IF 4 2区 医学 Q1 ORTHOPEDICS
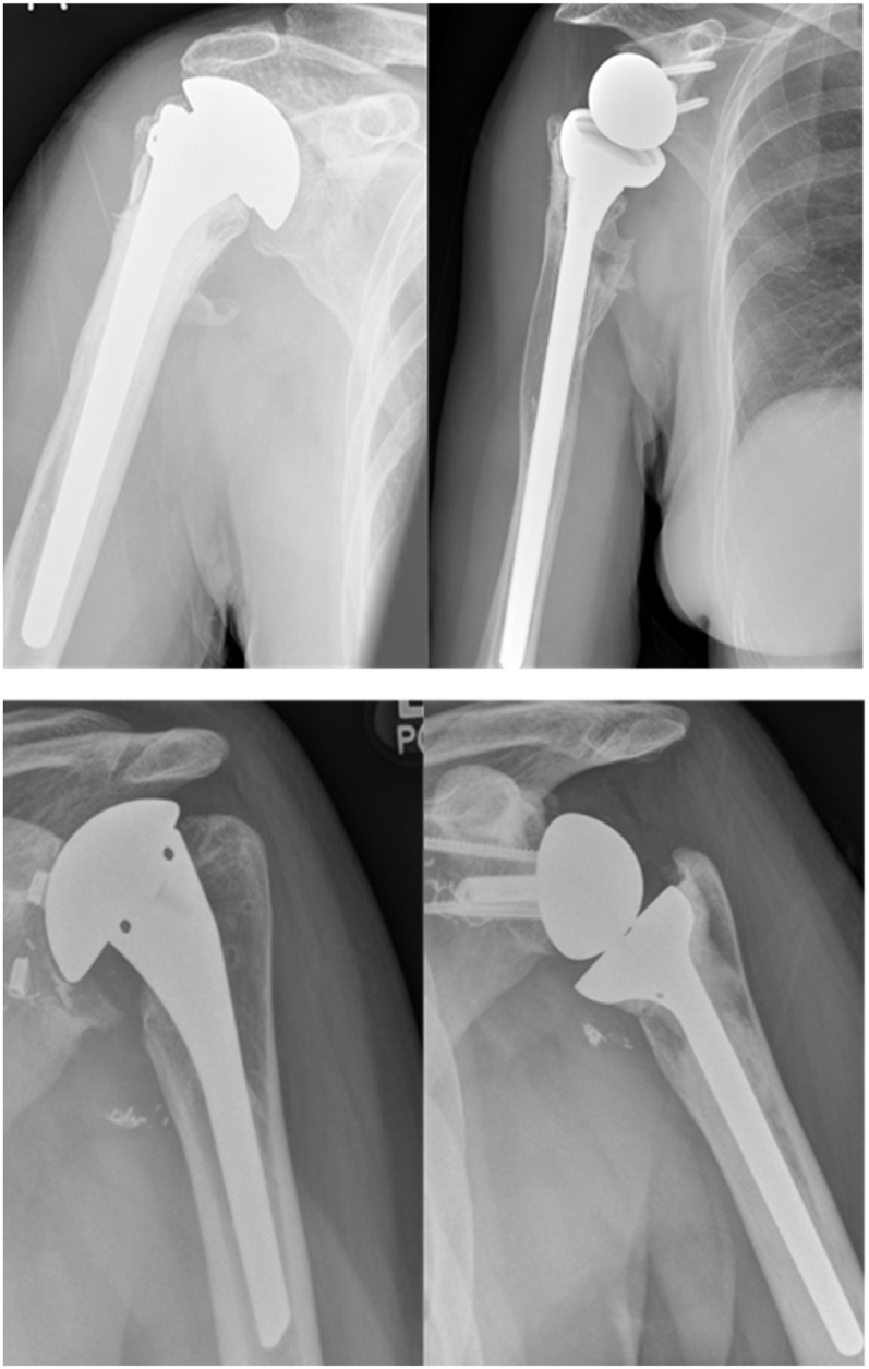
Partha Sarangi
{"title":"55岁以下的肩关节置换术是解剖还是反向的最佳解决方案?","authors":"Partha Sarangi","doi":"10.1530/EOR-2025-0052","DOIUrl":null,"url":null,"abstract":"<p><p>Shoulder arthroplasty is increasingly utilised among patients under 55 years of age due to rising incidences of traumatic injuries, inflammatory arthritis, avascular necrosis, degenerative joint diseases and heightened participation in demanding sports and occupational activities. Anatomic shoulder arthroplasty (ASA) remains the preferred surgical option for younger patients with intact rotator cuffs and minimal glenoid deformities, preserving natural biomechanics, strength and range of motion, and demonstrating high long-term implant survival rates at 10-15 years. Despite favourable outcomes, ASA carries potential long-term risks including implant wear, prosthetic loosening, glenoid erosion and progressive rotator cuff degeneration, particularly relevant for physically active younger patients. Reverse shoulder arthroplasty (RSA) offers a valuable alternative in complex clinical scenarios characterised by irreparable rotator cuff tears, extensive glenoid bone loss, severe anatomical disruption or previous surgical failures. RSA can be used as an alternative to ASR for primary osteoarthritis and an intact rotator cuff, with excellent clinical outcomes and survivorship in patients over 60. RSA is also being used successfully in patients under the age of 55 with excellent short-term results. There remain concerns regarding the longevity and reliability of RSA in younger, highly active individuals. ASA can be revised to RSA with good clinical outcomes, while failure of RSA is extremely challenging to address. If we accept that ASA will fail with time, then the primary ASA should allow for ease of revision to an RSA. Recent advances in modular prosthetic designs facilitate simpler revisions from ASA to RSA.</p>","PeriodicalId":48598,"journal":{"name":"Efort Open Reviews","volume":"10 6","pages":"396-402"},"PeriodicalIF":4.0000,"publicationDate":"2025-06-02","publicationTypes":"Journal Article","fieldsOfStudy":null,"isOpenAccess":false,"openAccessPdf":"https://www.ncbi.nlm.nih.gov/pmc/articles/PMC12139712/pdf/","citationCount":"0","resultStr":"{\"title\":\"Shoulder replacement in the under 55's is anatomical or reverse the best solution?\",\"authors\":\"Partha Sarangi\",\"doi\":\"10.1530/EOR-2025-0052\",\"DOIUrl\":null,\"url\":null,\"abstract\":\"<p><p>Shoulder arthroplasty is increasingly utilised among patients under 55 years of age due to rising incidences of traumatic injuries, inflammatory arthritis, avascular necrosis, degenerative joint diseases and heightened participation in demanding sports and occupational activities. Anatomic shoulder arthroplasty (ASA) remains the preferred surgical option for younger patients with intact rotator cuffs and minimal glenoid deformities, preserving natural biomechanics, strength and range of motion, and demonstrating high long-term implant survival rates at 10-15 years. Despite favourable outcomes, ASA carries potential long-term risks including implant wear, prosthetic loosening, glenoid erosion and progressive rotator cuff degeneration, particularly relevant for physically active younger patients. Reverse shoulder arthroplasty (RSA) offers a valuable alternative in complex clinical scenarios characterised by irreparable rotator cuff tears, extensive glenoid bone loss, severe anatomical disruption or previous surgical failures. RSA can be used as an alternative to ASR for primary osteoarthritis and an intact rotator cuff, with excellent clinical outcomes and survivorship in patients over 60. RSA is also being used successfully in patients under the age of 55 with excellent short-term results. There remain concerns regarding the longevity and reliability of RSA in younger, highly active individuals. ASA can be revised to RSA with good clinical outcomes, while failure of RSA is extremely challenging to address. If we accept that ASA will fail with time, then the primary ASA should allow for ease of revision to an RSA. Recent advances in modular prosthetic designs facilitate simpler revisions from ASA to RSA.</p>\",\"PeriodicalId\":48598,\"journal\":{\"name\":\"Efort Open Reviews\",\"volume\":\"10 6\",\"pages\":\"396-402\"},\"PeriodicalIF\":4.0000,\"publicationDate\":\"2025-06-02\",\"publicationTypes\":\"Journal Article\",\"fieldsOfStudy\":null,\"isOpenAccess\":false,\"openAccessPdf\":\"https://www.ncbi.nlm.nih.gov/pmc/articles/PMC12139712/pdf/\",\"citationCount\":\"0\",\"resultStr\":null,\"platform\":\"Semanticscholar\",\"paperid\":null,\"PeriodicalName\":\"Efort Open Reviews\",\"FirstCategoryId\":\"3\",\"ListUrlMain\":\"https://doi.org/10.1530/EOR-2025-0052\",\"RegionNum\":2,\"RegionCategory\":\"医学\",\"ArticlePicture\":[],\"TitleCN\":null,\"AbstractTextCN\":null,\"PMCID\":null,\"EPubDate\":\"\",\"PubModel\":\"\",\"JCR\":\"Q1\",\"JCRName\":\"ORTHOPEDICS\",\"Score\":null,\"Total\":0}","platform":"Semanticscholar","paperid":null,"PeriodicalName":"Efort Open Reviews","FirstCategoryId":"3","ListUrlMain":"https://doi.org/10.1530/EOR-2025-0052","RegionNum":2,"RegionCategory":"医学","ArticlePicture":[],"TitleCN":null,"AbstractTextCN":null,"PMCID":null,"EPubDate":"","PubModel":"","JCR":"Q1","JCRName":"ORTHOPEDICS","Score":null,"Total":0}
引用次数: 0

摘要

由于创伤性损伤、炎症性关节炎、缺血性坏死、退行性关节疾病的发生率上升以及高要求运动和职业活动的增加,55岁以下患者越来越多地使用肩关节置换术。解剖性肩关节置换术(ASA)仍然是年轻患者的首选手术选择,这些患者的肩袖完整,肩胛盂畸形最小,保留了自然的生物力学,力量和活动范围,并且显示出10-15年的高长期植入存活率。尽管预后良好,但ASA存在潜在的长期风险,包括植入物磨损、假体松动、关节盂糜烂和进行性肩袖退变,尤其是对体力活动的年轻患者。反向肩关节置换术(RSA)在复杂的临床情况下提供了一个有价值的替代方案,其特征是不可修复的肩袖撕裂,广泛的盂骨丢失,严重的解剖破坏或先前的手术失败。对于原发性骨关节炎和完整的肩袖患者,RSA可作为ASR的替代方案,在60岁以上的患者中具有良好的临床效果和生存率。RSA也被成功地用于55岁以下的患者,并取得了良好的短期效果。RSA在年轻、活跃的个体中的寿命和可靠性仍然值得关注。ASA可以修改为RSA,临床效果良好,而RSA失败是极具挑战性的。如果我们接受ASA会随着时间的推移而失效,那么主ASA应该允许对RSA进行轻松修订。模块化假肢设计的最新进展促进了从ASA到RSA的更简单的修订。
本文章由计算机程序翻译,如有差异,请以英文原文为准。

Shoulder replacement in the under 55's is anatomical or reverse the best solution?

Shoulder replacement in the under 55's is anatomical or reverse the best solution?

Shoulder replacement in the under 55's is anatomical or reverse the best solution?

Shoulder replacement in the under 55's is anatomical or reverse the best solution?

Shoulder arthroplasty is increasingly utilised among patients under 55 years of age due to rising incidences of traumatic injuries, inflammatory arthritis, avascular necrosis, degenerative joint diseases and heightened participation in demanding sports and occupational activities. Anatomic shoulder arthroplasty (ASA) remains the preferred surgical option for younger patients with intact rotator cuffs and minimal glenoid deformities, preserving natural biomechanics, strength and range of motion, and demonstrating high long-term implant survival rates at 10-15 years. Despite favourable outcomes, ASA carries potential long-term risks including implant wear, prosthetic loosening, glenoid erosion and progressive rotator cuff degeneration, particularly relevant for physically active younger patients. Reverse shoulder arthroplasty (RSA) offers a valuable alternative in complex clinical scenarios characterised by irreparable rotator cuff tears, extensive glenoid bone loss, severe anatomical disruption or previous surgical failures. RSA can be used as an alternative to ASR for primary osteoarthritis and an intact rotator cuff, with excellent clinical outcomes and survivorship in patients over 60. RSA is also being used successfully in patients under the age of 55 with excellent short-term results. There remain concerns regarding the longevity and reliability of RSA in younger, highly active individuals. ASA can be revised to RSA with good clinical outcomes, while failure of RSA is extremely challenging to address. If we accept that ASA will fail with time, then the primary ASA should allow for ease of revision to an RSA. Recent advances in modular prosthetic designs facilitate simpler revisions from ASA to RSA.

求助全文
通过发布文献求助,成功后即可免费获取论文全文。 去求助
来源期刊
Efort Open Reviews
Efort Open Reviews Medicine-Orthopedics and Sports Medicine
CiteScore
6.60
自引率
2.90%
发文量
101
审稿时长
13 weeks
期刊介绍: EFORT Open Reviews publishes high-quality instructional review articles across the whole field of orthopaedics and traumatology. Commissioned, peer-reviewed articles from international experts summarize current knowledge and practice in orthopaedics, with the aim of providing systematic coverage of the field. All articles undergo rigorous scientific editing to ensure the highest standards of accuracy and clarity. This continuously published online journal is fully open access and will provide integrated CME. It is an authoritative resource for educating trainees and supports practising orthopaedic surgeons in keeping informed about the latest clinical and scientific advances. One print issue containing a selection of papers from the journal will be published each year to coincide with the EFORT Annual Congress. EFORT Open Reviews is the official journal of the European Federation of National Associations of Orthopaedics and Traumatology (EFORT) and is published in partnership with The British Editorial Society of Bone & Joint Surgery.
×
引用
GB/T 7714-2015
复制
MLA
复制
APA
复制
导出至
BibTeX EndNote RefMan NoteFirst NoteExpress
×
提示
您的信息不完整,为了账户安全,请先补充。
现在去补充
×
提示
您因"违规操作"
具体请查看互助需知
我知道了
×
提示
确定
请完成安全验证×
copy
已复制链接
快去分享给好友吧!
我知道了
右上角分享
点击右上角分享
0
联系我们:info@booksci.cn Book学术提供免费学术资源搜索服务,方便国内外学者检索中英文文献。致力于提供最便捷和优质的服务体验。 Copyright © 2023 布克学术 All rights reserved.
京ICP备2023020795号-1
ghs 京公网安备 11010802042870号
Book学术文献互助
Book学术文献互助群
群 号:604180095
Book学术官方微信