恶心、垂直凝视麻痹和过度睡眠:儿童aqp4抗体阳性NMOSD的不寻常表现

IF 1.2 4区 医学 Q4 CLINICAL NEUROLOGY
Neuropediatrics Pub Date : 2025-10-01 Epub Date: 2025-06-02 DOI:10.1055/a-2625-0994
Tatjana A Oberholzer, Leonie Plastina, David Wille, Selma Sirin, Annette Hackenberg
{"title":"恶心、垂直凝视麻痹和过度睡眠:儿童aqp4抗体阳性NMOSD的不寻常表现","authors":"Tatjana A Oberholzer, Leonie Plastina, David Wille, Selma Sirin, Annette Hackenberg","doi":"10.1055/a-2625-0994","DOIUrl":null,"url":null,"abstract":"<p><p>Neuromyelitis optica spectrum disorder (NMOSD) is a rare neuroinflammatory disease with an annual incidence of less than 1 case in 1,000,000 in the White population and a median age of onset at 40 years. NMOSD usually presents with optic neuritis and longitudinally extensive transverse myelitis. Various brainstem, cerebellar, diencephalic, and hemispheric symptoms may also occur. Early diagnosis and treatment are crucial for symptom management and prevention of relapses and disability. We report the case of a prepubertal girl, highlighting unique clinical and magnetic resonance imaging features and the risk of early parenchymal damage.</p>","PeriodicalId":19421,"journal":{"name":"Neuropediatrics","volume":" ","pages":"338-341"},"PeriodicalIF":1.2000,"publicationDate":"2025-10-01","publicationTypes":"Journal Article","fieldsOfStudy":null,"isOpenAccess":false,"openAccessPdf":"https://www.ncbi.nlm.nih.gov/pmc/articles/PMC12419872/pdf/","citationCount":"0","resultStr":"{\"title\":\"Nausea, Vertical Gaze Palsy, and Excessive Sleep: An Unusual Presentation of Pediatric AQP4-Antibody Positive Neuromyelitis Optica Spectrum Disorder.\",\"authors\":\"Tatjana A Oberholzer, Leonie Plastina, David Wille, Selma Sirin, Annette Hackenberg\",\"doi\":\"10.1055/a-2625-0994\",\"DOIUrl\":null,\"url\":null,\"abstract\":\"<p><p>Neuromyelitis optica spectrum disorder (NMOSD) is a rare neuroinflammatory disease with an annual incidence of less than 1 case in 1,000,000 in the White population and a median age of onset at 40 years. NMOSD usually presents with optic neuritis and longitudinally extensive transverse myelitis. Various brainstem, cerebellar, diencephalic, and hemispheric symptoms may also occur. Early diagnosis and treatment are crucial for symptom management and prevention of relapses and disability. We report the case of a prepubertal girl, highlighting unique clinical and magnetic resonance imaging features and the risk of early parenchymal damage.</p>\",\"PeriodicalId\":19421,\"journal\":{\"name\":\"Neuropediatrics\",\"volume\":\" \",\"pages\":\"338-341\"},\"PeriodicalIF\":1.2000,\"publicationDate\":\"2025-10-01\",\"publicationTypes\":\"Journal Article\",\"fieldsOfStudy\":null,\"isOpenAccess\":false,\"openAccessPdf\":\"https://www.ncbi.nlm.nih.gov/pmc/articles/PMC12419872/pdf/\",\"citationCount\":\"0\",\"resultStr\":null,\"platform\":\"Semanticscholar\",\"paperid\":null,\"PeriodicalName\":\"Neuropediatrics\",\"FirstCategoryId\":\"3\",\"ListUrlMain\":\"https://doi.org/10.1055/a-2625-0994\",\"RegionNum\":4,\"RegionCategory\":\"医学\",\"ArticlePicture\":[],\"TitleCN\":null,\"AbstractTextCN\":null,\"PMCID\":null,\"EPubDate\":\"2025/6/2 0:00:00\",\"PubModel\":\"Epub\",\"JCR\":\"Q4\",\"JCRName\":\"CLINICAL NEUROLOGY\",\"Score\":null,\"Total\":0}","platform":"Semanticscholar","paperid":null,"PeriodicalName":"Neuropediatrics","FirstCategoryId":"3","ListUrlMain":"https://doi.org/10.1055/a-2625-0994","RegionNum":4,"RegionCategory":"医学","ArticlePicture":[],"TitleCN":null,"AbstractTextCN":null,"PMCID":null,"EPubDate":"2025/6/2 0:00:00","PubModel":"Epub","JCR":"Q4","JCRName":"CLINICAL NEUROLOGY","Score":null,"Total":0}
引用次数: 0

摘要

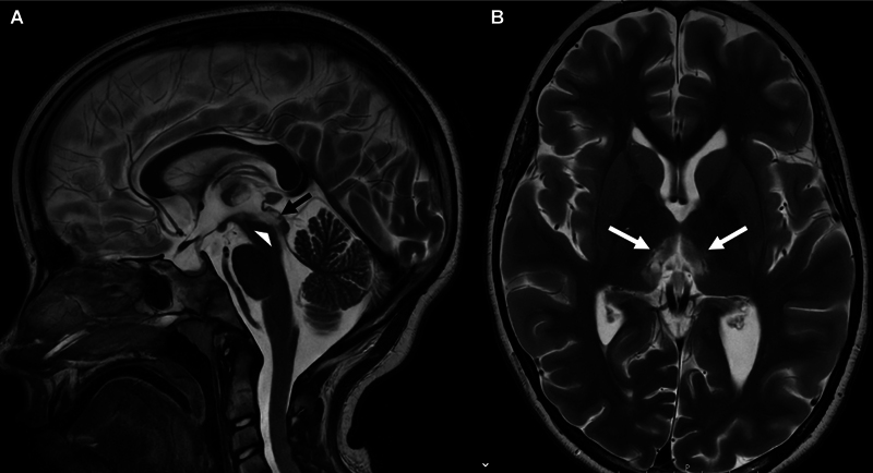
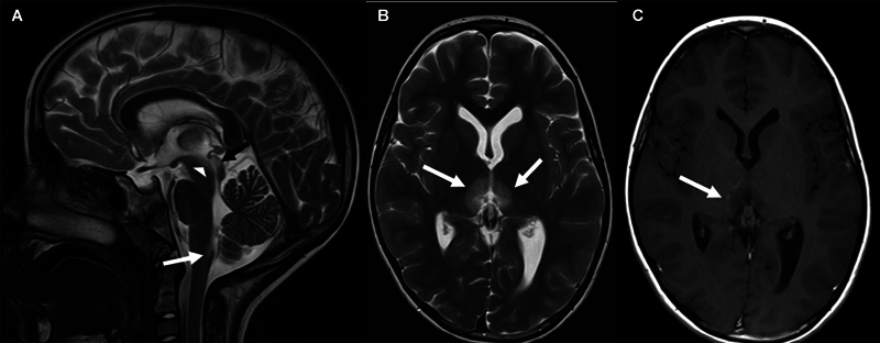
神经脊髓炎视谱障碍(NMOSD)是一种罕见的神经炎症性疾病,在白人人群中年发病率少于1例,发病年龄中位数为40岁。NMOSD通常表现为视神经炎和纵向广泛的横断面脊髓炎。各种脑干、小脑、间脑和半球症状也可能发生。早期诊断和治疗对于症状管理和预防复发和残疾至关重要。我们报告的情况下,青春期前的女孩,突出独特的临床和MRI特征和早期实质损害的风险。
本文章由计算机程序翻译,如有差异,请以英文原文为准。

Nausea, Vertical Gaze Palsy, and Excessive Sleep: An Unusual Presentation of Pediatric AQP4-Antibody Positive Neuromyelitis Optica Spectrum Disorder.

Nausea, Vertical Gaze Palsy, and Excessive Sleep: An Unusual Presentation of Pediatric AQP4-Antibody Positive Neuromyelitis Optica Spectrum Disorder.

Nausea, Vertical Gaze Palsy, and Excessive Sleep: An Unusual Presentation of Pediatric AQP4-Antibody Positive Neuromyelitis Optica Spectrum Disorder.

Neuromyelitis optica spectrum disorder (NMOSD) is a rare neuroinflammatory disease with an annual incidence of less than 1 case in 1,000,000 in the White population and a median age of onset at 40 years. NMOSD usually presents with optic neuritis and longitudinally extensive transverse myelitis. Various brainstem, cerebellar, diencephalic, and hemispheric symptoms may also occur. Early diagnosis and treatment are crucial for symptom management and prevention of relapses and disability. We report the case of a prepubertal girl, highlighting unique clinical and magnetic resonance imaging features and the risk of early parenchymal damage.

求助全文
通过发布文献求助,成功后即可免费获取论文全文。 去求助
来源期刊
Neuropediatrics
Neuropediatrics 医学-临床神经学
CiteScore
2.80
自引率
0.00%
发文量
94
审稿时长
>12 weeks
期刊介绍: For key insights into today''s practice of pediatric neurology, Neuropediatrics is the worldwide journal of choice. Original articles, case reports and panel discussions are the distinctive features of a journal that always keeps abreast of current developments and trends - the reason it has developed into an internationally recognized forum for specialists throughout the world. Pediatricians, neurologists, neurosurgeons, and neurobiologists will find it essential reading.
×
引用
GB/T 7714-2015
复制
MLA
复制
APA
复制
导出至
BibTeX EndNote RefMan NoteFirst NoteExpress
×
提示
您的信息不完整,为了账户安全,请先补充。
现在去补充
×
提示
您因"违规操作"
具体请查看互助需知
我知道了
×
提示
确定
请完成安全验证×
copy
已复制链接
快去分享给好友吧!
我知道了
右上角分享
点击右上角分享
0
联系我们:info@booksci.cn Book学术提供免费学术资源搜索服务,方便国内外学者检索中英文文献。致力于提供最便捷和优质的服务体验。 Copyright © 2023 布克学术 All rights reserved.
京ICP备2023020795号-1
ghs 京公网安备 11010802042870号
Book学术文献互助
Book学术文献互助群
群 号:604180095
Book学术官方微信