AMCF-Net:一种用于胸部ct肺结节计算机辅助诊断的新型自适应多通道融合网络

IF 1.6 4区 计算机科学 Q3 ENGINEERING, ELECTRICAL & ELECTRONIC
Nan Wang, Yu Gu, Lidong Yang, Baohua Zhang, Jing Wang, Xiaoqi Lu, Jianjun Li, Dahua Yu, Ying Zhao, Xin Liu, Siyuan Tang, Qun He
{"title":"AMCF-Net:一种用于胸部ct肺结节计算机辅助诊断的新型自适应多通道融合网络","authors":"Nan Wang,&nbsp;Yu Gu,&nbsp;Lidong Yang,&nbsp;Baohua Zhang,&nbsp;Jing Wang,&nbsp;Xiaoqi Lu,&nbsp;Jianjun Li,&nbsp;Dahua Yu,&nbsp;Ying Zhao,&nbsp;Xin Liu,&nbsp;Siyuan Tang,&nbsp;Qun He","doi":"10.1049/cmu2.70052","DOIUrl":null,"url":null,"abstract":"<p>Malignant lung nodules can significantly affect patients' normal lives and, in severe cases, threaten their survival. Owing to the heterogeneity of computed tomography scans and the varying sizes of nodules, physicians often face challenges in diagnosing this condition. Therefore, a novel adaptive multi-channel fusion network (AMCF-Net) is proposed for computer-aided diagnosis of lung nodules. First, a Multi-Channel Fusion Model module is designed, which divides the channels into two parts in specific proportions, effectively extracting multi-scale channel information while reducing network parameters. After the feature maps output at each layer of the AMCF-Net, a novel adaptive depth-wise separable convolution with a squeeze-and-excitation module is designed to adaptively integrate the feature maps of various stages of the AMCF-Net, ensuring that the key lesions of lung nodules are not lost during classification. Finally, a hybrid loss scheme based on an adaptive mixing ratio is proposed to solve the problem of an imbalanced number of positive and negative nodule samples in the dataset. The model achieved the following test results: an accuracy of 90.22%, a specificity of 98.19%, an F1-score of 86.57%, a sensitivity of 86.49%, and a G-mean of 87.72%. Compared with other advanced networks, AMCF-net delivers high-precision lung nodule classification with minimal inference cost. Related codes have been released at: https://github.com/GuYuIMUST/AMCF-net.</p>","PeriodicalId":55001,"journal":{"name":"IET Communications","volume":"19 1","pages":""},"PeriodicalIF":1.6000,"publicationDate":"2025-06-02","publicationTypes":"Journal Article","fieldsOfStudy":null,"isOpenAccess":false,"openAccessPdf":"https://onlinelibrary.wiley.com/doi/epdf/10.1049/cmu2.70052","citationCount":"0","resultStr":"{\"title\":\"AMCF-Net: A Novel Adaptive Multi-Channel Fusion Network for Computer-Aided Diagnosis of Lung Nodules in Chest Computed Tomography\",\"authors\":\"Nan Wang,&nbsp;Yu Gu,&nbsp;Lidong Yang,&nbsp;Baohua Zhang,&nbsp;Jing Wang,&nbsp;Xiaoqi Lu,&nbsp;Jianjun Li,&nbsp;Dahua Yu,&nbsp;Ying Zhao,&nbsp;Xin Liu,&nbsp;Siyuan Tang,&nbsp;Qun He\",\"doi\":\"10.1049/cmu2.70052\",\"DOIUrl\":null,\"url\":null,\"abstract\":\"<p>Malignant lung nodules can significantly affect patients' normal lives and, in severe cases, threaten their survival. Owing to the heterogeneity of computed tomography scans and the varying sizes of nodules, physicians often face challenges in diagnosing this condition. Therefore, a novel adaptive multi-channel fusion network (AMCF-Net) is proposed for computer-aided diagnosis of lung nodules. First, a Multi-Channel Fusion Model module is designed, which divides the channels into two parts in specific proportions, effectively extracting multi-scale channel information while reducing network parameters. After the feature maps output at each layer of the AMCF-Net, a novel adaptive depth-wise separable convolution with a squeeze-and-excitation module is designed to adaptively integrate the feature maps of various stages of the AMCF-Net, ensuring that the key lesions of lung nodules are not lost during classification. Finally, a hybrid loss scheme based on an adaptive mixing ratio is proposed to solve the problem of an imbalanced number of positive and negative nodule samples in the dataset. The model achieved the following test results: an accuracy of 90.22%, a specificity of 98.19%, an F1-score of 86.57%, a sensitivity of 86.49%, and a G-mean of 87.72%. Compared with other advanced networks, AMCF-net delivers high-precision lung nodule classification with minimal inference cost. Related codes have been released at: https://github.com/GuYuIMUST/AMCF-net.</p>\",\"PeriodicalId\":55001,\"journal\":{\"name\":\"IET Communications\",\"volume\":\"19 1\",\"pages\":\"\"},\"PeriodicalIF\":1.6000,\"publicationDate\":\"2025-06-02\",\"publicationTypes\":\"Journal Article\",\"fieldsOfStudy\":null,\"isOpenAccess\":false,\"openAccessPdf\":\"https://onlinelibrary.wiley.com/doi/epdf/10.1049/cmu2.70052\",\"citationCount\":\"0\",\"resultStr\":null,\"platform\":\"Semanticscholar\",\"paperid\":null,\"PeriodicalName\":\"IET Communications\",\"FirstCategoryId\":\"94\",\"ListUrlMain\":\"https://ietresearch.onlinelibrary.wiley.com/doi/10.1049/cmu2.70052\",\"RegionNum\":4,\"RegionCategory\":\"计算机科学\",\"ArticlePicture\":[],\"TitleCN\":null,\"AbstractTextCN\":null,\"PMCID\":null,\"EPubDate\":\"\",\"PubModel\":\"\",\"JCR\":\"Q3\",\"JCRName\":\"ENGINEERING, ELECTRICAL & ELECTRONIC\",\"Score\":null,\"Total\":0}","platform":"Semanticscholar","paperid":null,"PeriodicalName":"IET Communications","FirstCategoryId":"94","ListUrlMain":"https://ietresearch.onlinelibrary.wiley.com/doi/10.1049/cmu2.70052","RegionNum":4,"RegionCategory":"计算机科学","ArticlePicture":[],"TitleCN":null,"AbstractTextCN":null,"PMCID":null,"EPubDate":"","PubModel":"","JCR":"Q3","JCRName":"ENGINEERING, ELECTRICAL & ELECTRONIC","Score":null,"Total":0}
引用次数: 0

摘要

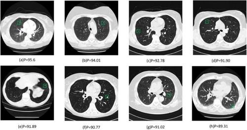
恶性肺结节可严重影响患者的正常生活,严重者可威胁患者的生存。由于计算机断层扫描的异质性和结节大小的不同,医生在诊断这种疾病时经常面临挑战。为此,提出一种新的自适应多通道融合网络(AMCF-Net)用于肺结节的计算机辅助诊断。首先,设计了多信道融合模型模块,将信道按特定比例分成两部分,在减少网络参数的同时有效提取多尺度信道信息;在AMCF-Net各层的特征图输出后,设计了一种具有挤压激励模块的自适应深度可分卷积,以自适应地整合AMCF-Net各阶段的特征图,确保肺结节的关键病变在分类过程中不丢失。最后,提出了一种基于自适应混合比例的混合损失方案,解决了数据集中正、负结节样本数量不平衡的问题。该模型的检测结果为:准确率为90.22%,特异性为98.19%,f1评分为86.57%,灵敏度为86.49%,g均值为87.72%。与其他先进的网络相比,AMCF-net以最小的推理代价实现了高精度的肺结节分类。相关代码已在https://github.com/GuYuIMUST/AMCF-net上发布。
本文章由计算机程序翻译,如有差异,请以英文原文为准。

AMCF-Net: A Novel Adaptive Multi-Channel Fusion Network for Computer-Aided Diagnosis of Lung Nodules in Chest Computed Tomography

AMCF-Net: A Novel Adaptive Multi-Channel Fusion Network for Computer-Aided Diagnosis of Lung Nodules in Chest Computed Tomography

AMCF-Net: A Novel Adaptive Multi-Channel Fusion Network for Computer-Aided Diagnosis of Lung Nodules in Chest Computed Tomography

AMCF-Net: A Novel Adaptive Multi-Channel Fusion Network for Computer-Aided Diagnosis of Lung Nodules in Chest Computed Tomography

AMCF-Net: A Novel Adaptive Multi-Channel Fusion Network for Computer-Aided Diagnosis of Lung Nodules in Chest Computed Tomography

Malignant lung nodules can significantly affect patients' normal lives and, in severe cases, threaten their survival. Owing to the heterogeneity of computed tomography scans and the varying sizes of nodules, physicians often face challenges in diagnosing this condition. Therefore, a novel adaptive multi-channel fusion network (AMCF-Net) is proposed for computer-aided diagnosis of lung nodules. First, a Multi-Channel Fusion Model module is designed, which divides the channels into two parts in specific proportions, effectively extracting multi-scale channel information while reducing network parameters. After the feature maps output at each layer of the AMCF-Net, a novel adaptive depth-wise separable convolution with a squeeze-and-excitation module is designed to adaptively integrate the feature maps of various stages of the AMCF-Net, ensuring that the key lesions of lung nodules are not lost during classification. Finally, a hybrid loss scheme based on an adaptive mixing ratio is proposed to solve the problem of an imbalanced number of positive and negative nodule samples in the dataset. The model achieved the following test results: an accuracy of 90.22%, a specificity of 98.19%, an F1-score of 86.57%, a sensitivity of 86.49%, and a G-mean of 87.72%. Compared with other advanced networks, AMCF-net delivers high-precision lung nodule classification with minimal inference cost. Related codes have been released at: https://github.com/GuYuIMUST/AMCF-net.

求助全文
通过发布文献求助,成功后即可免费获取论文全文。 去求助
来源期刊
IET Communications
IET Communications 工程技术-工程:电子与电气
CiteScore
4.30
自引率
6.20%
发文量
220
审稿时长
5.9 months
期刊介绍: IET Communications covers the fundamental and generic research for a better understanding of communication technologies to harness the signals for better performing communication systems using various wired and/or wireless media. This Journal is particularly interested in research papers reporting novel solutions to the dominating problems of noise, interference, timing and errors for reduction systems deficiencies such as wasting scarce resources such as spectra, energy and bandwidth. Topics include, but are not limited to: Coding and Communication Theory; Modulation and Signal Design; Wired, Wireless and Optical Communication; Communication System Special Issues. Current Call for Papers: Cognitive and AI-enabled Wireless and Mobile - https://digital-library.theiet.org/files/IET_COM_CFP_CAWM.pdf UAV-Enabled Mobile Edge Computing - https://digital-library.theiet.org/files/IET_COM_CFP_UAV.pdf
×
引用
GB/T 7714-2015
复制
MLA
复制
APA
复制
导出至
BibTeX EndNote RefMan NoteFirst NoteExpress
×
提示
您的信息不完整,为了账户安全,请先补充。
现在去补充
×
提示
您因"违规操作"
具体请查看互助需知
我知道了
×
提示
确定
请完成安全验证×
copy
已复制链接
快去分享给好友吧!
我知道了
右上角分享
点击右上角分享
0
联系我们:info@booksci.cn Book学术提供免费学术资源搜索服务,方便国内外学者检索中英文文献。致力于提供最便捷和优质的服务体验。 Copyright © 2023 布克学术 All rights reserved.
京ICP备2023020795号-1
ghs 京公网安备 11010802042870号
Book学术文献互助
Book学术文献互助群
群 号:604180095
Book学术官方微信