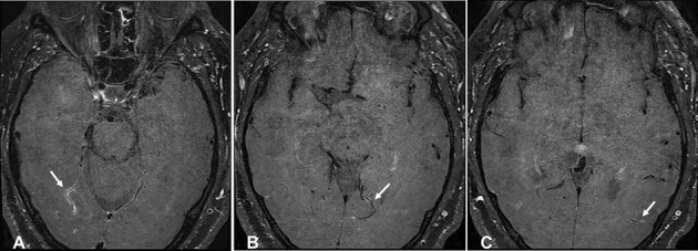
临床影像:高分辨率血管壁磁共振成像检测中枢神经系统血管炎。

IF 2.8 Q2 RHEUMATOLOGY
Wan-Hao Tsai, Ko-Jen Li
{"title":"临床影像:高分辨率血管壁磁共振成像检测中枢神经系统血管炎。","authors":"Wan-Hao Tsai, Ko-Jen Li","doi":"10.1002/acr2.70068","DOIUrl":null,"url":null,"abstract":"","PeriodicalId":93845,"journal":{"name":"ACR open rheumatology","volume":"7 6","pages":"e70068"},"PeriodicalIF":2.8000,"publicationDate":"2025-06-01","publicationTypes":"Journal Article","fieldsOfStudy":null,"isOpenAccess":false,"openAccessPdf":"https://www.ncbi.nlm.nih.gov/pmc/articles/PMC12125274/pdf/","citationCount":"0","resultStr":"{\"title\":\"Clinical Images: High-resolution vessel wall magnetic resonance imaging detecting central nervous system vasculitis.\",\"authors\":\"Wan-Hao Tsai, Ko-Jen Li\",\"doi\":\"10.1002/acr2.70068\",\"DOIUrl\":null,\"url\":null,\"abstract\":\"\",\"PeriodicalId\":93845,\"journal\":{\"name\":\"ACR open rheumatology\",\"volume\":\"7 6\",\"pages\":\"e70068\"},\"PeriodicalIF\":2.8000,\"publicationDate\":\"2025-06-01\",\"publicationTypes\":\"Journal Article\",\"fieldsOfStudy\":null,\"isOpenAccess\":false,\"openAccessPdf\":\"https://www.ncbi.nlm.nih.gov/pmc/articles/PMC12125274/pdf/\",\"citationCount\":\"0\",\"resultStr\":null,\"platform\":\"Semanticscholar\",\"paperid\":null,\"PeriodicalName\":\"ACR open rheumatology\",\"FirstCategoryId\":\"1085\",\"ListUrlMain\":\"https://doi.org/10.1002/acr2.70068\",\"RegionNum\":0,\"RegionCategory\":null,\"ArticlePicture\":[],\"TitleCN\":null,\"AbstractTextCN\":null,\"PMCID\":null,\"EPubDate\":\"\",\"PubModel\":\"\",\"JCR\":\"Q2\",\"JCRName\":\"RHEUMATOLOGY\",\"Score\":null,\"Total\":0}","platform":"Semanticscholar","paperid":null,"PeriodicalName":"ACR open rheumatology","FirstCategoryId":"1085","ListUrlMain":"https://doi.org/10.1002/acr2.70068","RegionNum":0,"RegionCategory":null,"ArticlePicture":[],"TitleCN":null,"AbstractTextCN":null,"PMCID":null,"EPubDate":"","PubModel":"","JCR":"Q2","JCRName":"RHEUMATOLOGY","Score":null,"Total":0}
引用次数: 0

摘要

本文章由计算机程序翻译,如有差异,请以英文原文为准。

Clinical Images: High-resolution vessel wall magnetic resonance imaging detecting central nervous system vasculitis.

Clinical Images: High-resolution vessel wall magnetic resonance imaging detecting central nervous system vasculitis.
求助全文
通过发布文献求助,成功后即可免费获取论文全文。 去求助
来源期刊
CiteScore
5.80
自引率
0.00%
发文量
0
审稿时长
10 weeks
×
引用
GB/T 7714-2015
复制
MLA
复制
APA
复制
导出至
BibTeX EndNote RefMan NoteFirst NoteExpress
×
提示
您的信息不完整,为了账户安全,请先补充。
现在去补充
×
提示
您因"违规操作"
具体请查看互助需知
我知道了
×
提示
确定
请完成安全验证×
copy
已复制链接
快去分享给好友吧!
我知道了
右上角分享
点击右上角分享
0
联系我们:info@booksci.cn Book学术提供免费学术资源搜索服务,方便国内外学者检索中英文文献。致力于提供最便捷和优质的服务体验。 Copyright © 2023 布克学术 All rights reserved.
京ICP备2023020795号-1
ghs 京公网安备 11010802042870号
Book学术文献互助
Book学术文献互助群
群 号:604180095
Book学术官方微信