高加索蝰蛇毒液金属蛋白酶样蛋白的分离、鉴定和表达。

IF 2.1 Q3 CHEMISTRY, MEDICINAL
Research in Pharmaceutical Sciences Pub Date : 2025-03-31 eCollection Date: 2025-04-01 DOI:10.4103/RPS.RPS_34_24
Zohreh Jafari, Behnam Sedaghati, Mohammad Kaboli, Bahram Kazemi, Mojgan Bandehpour
{"title":"高加索蝰蛇毒液金属蛋白酶样蛋白的分离、鉴定和表达。","authors":"Zohreh Jafari, Behnam Sedaghati, Mohammad Kaboli, Bahram Kazemi, Mojgan Bandehpour","doi":"10.4103/RPS.RPS_34_24","DOIUrl":null,"url":null,"abstract":"<p><strong>Background and purpose: </strong>Snake venom contains numerous proteolytic enzymes, including metalloproteases. This study aimed to isolate, characterize the metalloproteinase from <i>Montivipera raddei</i> venom and insert its cDNA into a host cell genome for expressing the protein's potential use as a coagulation factor.</p><p><strong>Experimental approach: </strong>Initially, <i>M. raddei</i> venom was analyzed using SDS-PAGE and ion-exchange chromatography. All purified fractions were assessed using a prothrombin time (PT) assay. Immunoblot analysis and MALDI-TOF/TOF MS spectrometry confirmed the metalloproteinase active domain in the obtained fraction. All of the confirmations were studied using the I-TASSER server. To produce the recombinant enzyme, metalloproteinase cDNA was isolated from the total RNA of the Caucasus viper venom gland tissue and cloned into pEX-A2-H plasmid, containing homologous sequences with CHO-S cell genome. Also, it was confirmed by western blotting and PT test.</p><p><strong>Findings/results: </strong>Two fractions from <i>M. raddei</i> venom had PT values of 6 and 21 s, respectively. We confirmed the presence of a 25-KDa procoagulant metalloprotease (Met). The results indicated successful expression of the Met protein in the recombinant CHO-S cells. The Met protein was structurally similar to the target in the PDB ID. 2e3x, regulatory subunit of the blood coagulation factor X- and IX-activating enzyme. The Met protein also contained a similar binding domain with 60 amino acids, comparable to those in <i>E. carinatus</i>. and <i>E. pyramidum leakeyi</i> metalloproteinases.</p><p><strong>Conclusion and implications: </strong>The Met protein may be a potent candidate recombinant coagulant drug. Remarkably, the thrombin time for this protein was 3 s.</p>","PeriodicalId":21075,"journal":{"name":"Research in Pharmaceutical Sciences","volume":"20 2","pages":"207-217"},"PeriodicalIF":2.1000,"publicationDate":"2025-03-31","publicationTypes":"Journal Article","fieldsOfStudy":null,"isOpenAccess":false,"openAccessPdf":"https://www.ncbi.nlm.nih.gov/pmc/articles/PMC12118781/pdf/","citationCount":"0","resultStr":"{\"title\":\"Isolation, characterization, and expression of the <i>Montivipera raddei</i> (Caucasus viper) venom metalloprotease-like protein.\",\"authors\":\"Zohreh Jafari, Behnam Sedaghati, Mohammad Kaboli, Bahram Kazemi, Mojgan Bandehpour\",\"doi\":\"10.4103/RPS.RPS_34_24\",\"DOIUrl\":null,\"url\":null,\"abstract\":\"<p><strong>Background and purpose: </strong>Snake venom contains numerous proteolytic enzymes, including metalloproteases. This study aimed to isolate, characterize the metalloproteinase from <i>Montivipera raddei</i> venom and insert its cDNA into a host cell genome for expressing the protein's potential use as a coagulation factor.</p><p><strong>Experimental approach: </strong>Initially, <i>M. raddei</i> venom was analyzed using SDS-PAGE and ion-exchange chromatography. All purified fractions were assessed using a prothrombin time (PT) assay. Immunoblot analysis and MALDI-TOF/TOF MS spectrometry confirmed the metalloproteinase active domain in the obtained fraction. All of the confirmations were studied using the I-TASSER server. To produce the recombinant enzyme, metalloproteinase cDNA was isolated from the total RNA of the Caucasus viper venom gland tissue and cloned into pEX-A2-H plasmid, containing homologous sequences with CHO-S cell genome. Also, it was confirmed by western blotting and PT test.</p><p><strong>Findings/results: </strong>Two fractions from <i>M. raddei</i> venom had PT values of 6 and 21 s, respectively. We confirmed the presence of a 25-KDa procoagulant metalloprotease (Met). The results indicated successful expression of the Met protein in the recombinant CHO-S cells. The Met protein was structurally similar to the target in the PDB ID. 2e3x, regulatory subunit of the blood coagulation factor X- and IX-activating enzyme. The Met protein also contained a similar binding domain with 60 amino acids, comparable to those in <i>E. carinatus</i>. and <i>E. pyramidum leakeyi</i> metalloproteinases.</p><p><strong>Conclusion and implications: </strong>The Met protein may be a potent candidate recombinant coagulant drug. Remarkably, the thrombin time for this protein was 3 s.</p>\",\"PeriodicalId\":21075,\"journal\":{\"name\":\"Research in Pharmaceutical Sciences\",\"volume\":\"20 2\",\"pages\":\"207-217\"},\"PeriodicalIF\":2.1000,\"publicationDate\":\"2025-03-31\",\"publicationTypes\":\"Journal Article\",\"fieldsOfStudy\":null,\"isOpenAccess\":false,\"openAccessPdf\":\"https://www.ncbi.nlm.nih.gov/pmc/articles/PMC12118781/pdf/\",\"citationCount\":\"0\",\"resultStr\":null,\"platform\":\"Semanticscholar\",\"paperid\":null,\"PeriodicalName\":\"Research in Pharmaceutical Sciences\",\"FirstCategoryId\":\"1085\",\"ListUrlMain\":\"https://doi.org/10.4103/RPS.RPS_34_24\",\"RegionNum\":0,\"RegionCategory\":null,\"ArticlePicture\":[],\"TitleCN\":null,\"AbstractTextCN\":null,\"PMCID\":null,\"EPubDate\":\"2025/4/1 0:00:00\",\"PubModel\":\"eCollection\",\"JCR\":\"Q3\",\"JCRName\":\"CHEMISTRY, MEDICINAL\",\"Score\":null,\"Total\":0}","platform":"Semanticscholar","paperid":null,"PeriodicalName":"Research in Pharmaceutical Sciences","FirstCategoryId":"1085","ListUrlMain":"https://doi.org/10.4103/RPS.RPS_34_24","RegionNum":0,"RegionCategory":null,"ArticlePicture":[],"TitleCN":null,"AbstractTextCN":null,"PMCID":null,"EPubDate":"2025/4/1 0:00:00","PubModel":"eCollection","JCR":"Q3","JCRName":"CHEMISTRY, MEDICINAL","Score":null,"Total":0}
引用次数: 0

摘要

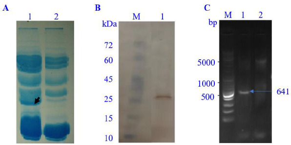
背景与目的:蛇毒含有多种蛋白水解酶,包括金属蛋白酶。本研究旨在分离和鉴定raddei Montivipera毒液中的金属蛋白酶,并将其cDNA插入宿主细胞基因组中,以表达该蛋白作为凝血因子的潜在用途。实验方法:首先采用SDS-PAGE和离子交换色谱法对蛇毒进行分析。所有纯化的部分都使用凝血酶原时间(PT)测定进行评估。免疫印迹分析和MALDI-TOF/TOF质谱分析证实了所获得的部分中存在金属蛋白酶活性域。所有的确认都使用I-TASSER服务器进行研究。为制备重组酶,从高加索毒蛇蛇毒腺组织总RNA中分离金属蛋白酶cDNA,克隆到pEX-A2-H质粒中,含有CHO-S细胞基因组同源序列。western blotting和PT试验也证实了这一点。结果:两种不同部位的PT值分别为6 s和21 s。我们证实了25 kda的促凝金属蛋白酶(Met)的存在。结果表明Met蛋白在重组CHO-S细胞中成功表达。Met蛋白在结构上与PDB ID中的靶标相似。2e3x,血凝因子X和ix激活酶的调节亚基。Met蛋白还含有60个氨基酸的类似结合域,与E. carinatus相似。E.锥体leakeyi金属蛋白酶。结论和意义:Met蛋白可能是一种有效的重组凝血药物。值得注意的是,该蛋白的凝血酶时间为3 s。
本文章由计算机程序翻译,如有差异,请以英文原文为准。

Isolation, characterization, and expression of the <i>Montivipera raddei</i> (Caucasus viper) venom metalloprotease-like protein.

Isolation, characterization, and expression of the <i>Montivipera raddei</i> (Caucasus viper) venom metalloprotease-like protein.

Isolation, characterization, and expression of the <i>Montivipera raddei</i> (Caucasus viper) venom metalloprotease-like protein.

Isolation, characterization, and expression of the Montivipera raddei (Caucasus viper) venom metalloprotease-like protein.

Background and purpose: Snake venom contains numerous proteolytic enzymes, including metalloproteases. This study aimed to isolate, characterize the metalloproteinase from Montivipera raddei venom and insert its cDNA into a host cell genome for expressing the protein's potential use as a coagulation factor.

Experimental approach: Initially, M. raddei venom was analyzed using SDS-PAGE and ion-exchange chromatography. All purified fractions were assessed using a prothrombin time (PT) assay. Immunoblot analysis and MALDI-TOF/TOF MS spectrometry confirmed the metalloproteinase active domain in the obtained fraction. All of the confirmations were studied using the I-TASSER server. To produce the recombinant enzyme, metalloproteinase cDNA was isolated from the total RNA of the Caucasus viper venom gland tissue and cloned into pEX-A2-H plasmid, containing homologous sequences with CHO-S cell genome. Also, it was confirmed by western blotting and PT test.

Findings/results: Two fractions from M. raddei venom had PT values of 6 and 21 s, respectively. We confirmed the presence of a 25-KDa procoagulant metalloprotease (Met). The results indicated successful expression of the Met protein in the recombinant CHO-S cells. The Met protein was structurally similar to the target in the PDB ID. 2e3x, regulatory subunit of the blood coagulation factor X- and IX-activating enzyme. The Met protein also contained a similar binding domain with 60 amino acids, comparable to those in E. carinatus. and E. pyramidum leakeyi metalloproteinases.

Conclusion and implications: The Met protein may be a potent candidate recombinant coagulant drug. Remarkably, the thrombin time for this protein was 3 s.

求助全文
通过发布文献求助,成功后即可免费获取论文全文。 去求助
来源期刊
Research in Pharmaceutical Sciences
Research in Pharmaceutical Sciences CHEMISTRY, MEDICINAL-
CiteScore
3.60
自引率
19.00%
发文量
50
审稿时长
34 weeks
期刊介绍: Research in Pharmaceutical Sciences (RPS) is included in Thomson Reuters ESCI Web of Science (searchable at WoS master journal list), indexed with PubMed and PubMed Central and abstracted in the Elsevier Bibliographic Databases. Databases include Scopus, EMBASE, EMCare, EMBiology and Elsevier BIOBASE. It is also indexed in several specialized databases including Scientific Information Database (SID), Google Scholar, Iran Medex, Magiran, Index Copernicus (IC) and Islamic World Science Citation Center (ISC).
×
引用
GB/T 7714-2015
复制
MLA
复制
APA
复制
导出至
BibTeX EndNote RefMan NoteFirst NoteExpress
×
提示
您的信息不完整,为了账户安全,请先补充。
现在去补充
×
提示
您因"违规操作"
具体请查看互助需知
我知道了
×
提示
确定
请完成安全验证×
copy
已复制链接
快去分享给好友吧!
我知道了
右上角分享
点击右上角分享
0
联系我们:info@booksci.cn Book学术提供免费学术资源搜索服务,方便国内外学者检索中英文文献。致力于提供最便捷和优质的服务体验。 Copyright © 2023 布克学术 All rights reserved.
京ICP备2023020795号-1
ghs 京公网安备 11010802042870号
Book学术文献互助
Book学术文献互助群
群 号:604180095
Book学术官方微信