腺苷脱氨酶和白细胞介素-1受体拮抗剂遗传多态性在肥胖儿童与非代谢功能障碍相关的脂肪肝疾病

IF 3.6 Q1 PEDIATRICS
Clinical and Experimental Pediatrics Pub Date : 2025-10-01 Epub Date: 2025-05-29 DOI:10.3345/cep.2025.00731
Hala M Sakhr, Mohammed H Hassan, Azza Mohamed Taha, Ali Helmi Bakri
{"title":"腺苷脱氨酶和白细胞介素-1受体拮抗剂遗传多态性在肥胖儿童与非代谢功能障碍相关的脂肪肝疾病","authors":"Hala M Sakhr, Mohammed H Hassan, Azza Mohamed Taha, Ali Helmi Bakri","doi":"10.3345/cep.2025.00731","DOIUrl":null,"url":null,"abstract":"<p><strong>Background: </strong>Metabolic disorder-associated fatty liver disease (MAFLD) in children is an emerging global health concern, particularly in terms of obesity and metabolic disturbances. Inflammation plays a crucial role in the pathogenesis of MAFLD, with adenosine deaminase (ADA) and interleukin-1 receptor antagonist (IL-1Ra) being potential contributors.</p><p><strong>Purpose: </strong>This study aimed to assess the association between ADA G22A and IL-1RN single nucleotide polymorphisms (SNPs) and MAFLD among a cohort of Egyptian children. It also aimed to evaluate the validity of very low-density lipoprotein (VLDL)/high-density lipoprotein cholesterol (HDL-C) and triglyceride-to-HDL-C ratios for predicting MAFLD in obese children.</p><p><strong>Methods: </strong>One hundred obese children and 50 healthy controls were included. The obese group was further categorized into those with versus without MAFLD. IL-1Ra and ADA G22A SNPs were evaluated using conventional polymerase chain reaction (PCR) and restriction fragment length polymorphism-PCR, respectively. VLDL/HDL and triglyceride-to-HDL ratios were calculated from the lipid profiles of the included participants.</p><p><strong>Results: </strong>The obese children had significantly higher weight, weight z score, body mass index (BMI), BMI z score, and waist circumference than the healthy controls. These parameters were considerably higher in children with versus without MAFLD P<0.05 all. The GG genotype and G allele of ADA G22A were significantly more frequent in the obese children versus controls (P<0.05 for both); however, no significant difference was observed between obese children with versus without MAFLD. Regarding IL-1RN polymorphisms, the *2/*2 genotype was more common in the controls and obese children without MFLD, whereas the *1/*2 genotype was prevalent in the obese children with MAFLD (P<0.05 all). A VLDL/HDL-C cutoff ratio of >0.6308 showed 80% sensitivity, 58% specificity, a 65.6% positive predictive value (PPV), a 74.4% negative predictive value, and 69% accuracy at differentiating among MAFLD cases. The triglyceride-to-HDL-C ratio cutoff of >3.0685 demonstrated high specificity (88%) and a high PPV (84.2%) but moderate sensitivity (64%) and overall accuracy (76%).</p><p><strong>Conclusion: </strong>The current study's findings support the possible genetic role of ADA G22A in childhood obesity, with a significant role for the IL-1RN SNP in the development of MAFLD in obese children. The triglyceride-to-HDL-C ratio was more useful than the VLDL/HDL-C ratio for predicting pediatric MAFLD.</p>","PeriodicalId":36018,"journal":{"name":"Clinical and Experimental Pediatrics","volume":" ","pages":"808-818"},"PeriodicalIF":3.6000,"publicationDate":"2025-10-01","publicationTypes":"Journal Article","fieldsOfStudy":null,"isOpenAccess":false,"openAccessPdf":"https://www.ncbi.nlm.nih.gov/pmc/articles/PMC12488282/pdf/","citationCount":"0","resultStr":"{\"title\":\"Adenosine deaminase and interleukin-1 receptor antagonist genetic polymorphisms among obese children with versus without metabolic dysfunction-associated fatty liver disease.\",\"authors\":\"Hala M Sakhr, Mohammed H Hassan, Azza Mohamed Taha, Ali Helmi Bakri\",\"doi\":\"10.3345/cep.2025.00731\",\"DOIUrl\":null,\"url\":null,\"abstract\":\"<p><strong>Background: </strong>Metabolic disorder-associated fatty liver disease (MAFLD) in children is an emerging global health concern, particularly in terms of obesity and metabolic disturbances. Inflammation plays a crucial role in the pathogenesis of MAFLD, with adenosine deaminase (ADA) and interleukin-1 receptor antagonist (IL-1Ra) being potential contributors.</p><p><strong>Purpose: </strong>This study aimed to assess the association between ADA G22A and IL-1RN single nucleotide polymorphisms (SNPs) and MAFLD among a cohort of Egyptian children. It also aimed to evaluate the validity of very low-density lipoprotein (VLDL)/high-density lipoprotein cholesterol (HDL-C) and triglyceride-to-HDL-C ratios for predicting MAFLD in obese children.</p><p><strong>Methods: </strong>One hundred obese children and 50 healthy controls were included. The obese group was further categorized into those with versus without MAFLD. IL-1Ra and ADA G22A SNPs were evaluated using conventional polymerase chain reaction (PCR) and restriction fragment length polymorphism-PCR, respectively. VLDL/HDL and triglyceride-to-HDL ratios were calculated from the lipid profiles of the included participants.</p><p><strong>Results: </strong>The obese children had significantly higher weight, weight z score, body mass index (BMI), BMI z score, and waist circumference than the healthy controls. These parameters were considerably higher in children with versus without MAFLD P<0.05 all. The GG genotype and G allele of ADA G22A were significantly more frequent in the obese children versus controls (P<0.05 for both); however, no significant difference was observed between obese children with versus without MAFLD. Regarding IL-1RN polymorphisms, the *2/*2 genotype was more common in the controls and obese children without MFLD, whereas the *1/*2 genotype was prevalent in the obese children with MAFLD (P<0.05 all). A VLDL/HDL-C cutoff ratio of >0.6308 showed 80% sensitivity, 58% specificity, a 65.6% positive predictive value (PPV), a 74.4% negative predictive value, and 69% accuracy at differentiating among MAFLD cases. The triglyceride-to-HDL-C ratio cutoff of >3.0685 demonstrated high specificity (88%) and a high PPV (84.2%) but moderate sensitivity (64%) and overall accuracy (76%).</p><p><strong>Conclusion: </strong>The current study's findings support the possible genetic role of ADA G22A in childhood obesity, with a significant role for the IL-1RN SNP in the development of MAFLD in obese children. The triglyceride-to-HDL-C ratio was more useful than the VLDL/HDL-C ratio for predicting pediatric MAFLD.</p>\",\"PeriodicalId\":36018,\"journal\":{\"name\":\"Clinical and Experimental Pediatrics\",\"volume\":\" \",\"pages\":\"808-818\"},\"PeriodicalIF\":3.6000,\"publicationDate\":\"2025-10-01\",\"publicationTypes\":\"Journal Article\",\"fieldsOfStudy\":null,\"isOpenAccess\":false,\"openAccessPdf\":\"https://www.ncbi.nlm.nih.gov/pmc/articles/PMC12488282/pdf/\",\"citationCount\":\"0\",\"resultStr\":null,\"platform\":\"Semanticscholar\",\"paperid\":null,\"PeriodicalName\":\"Clinical and Experimental Pediatrics\",\"FirstCategoryId\":\"1085\",\"ListUrlMain\":\"https://doi.org/10.3345/cep.2025.00731\",\"RegionNum\":0,\"RegionCategory\":null,\"ArticlePicture\":[],\"TitleCN\":null,\"AbstractTextCN\":null,\"PMCID\":null,\"EPubDate\":\"2025/5/29 0:00:00\",\"PubModel\":\"Epub\",\"JCR\":\"Q1\",\"JCRName\":\"PEDIATRICS\",\"Score\":null,\"Total\":0}","platform":"Semanticscholar","paperid":null,"PeriodicalName":"Clinical and Experimental Pediatrics","FirstCategoryId":"1085","ListUrlMain":"https://doi.org/10.3345/cep.2025.00731","RegionNum":0,"RegionCategory":null,"ArticlePicture":[],"TitleCN":null,"AbstractTextCN":null,"PMCID":null,"EPubDate":"2025/5/29 0:00:00","PubModel":"Epub","JCR":"Q1","JCRName":"PEDIATRICS","Score":null,"Total":0}
引用次数: 0

摘要

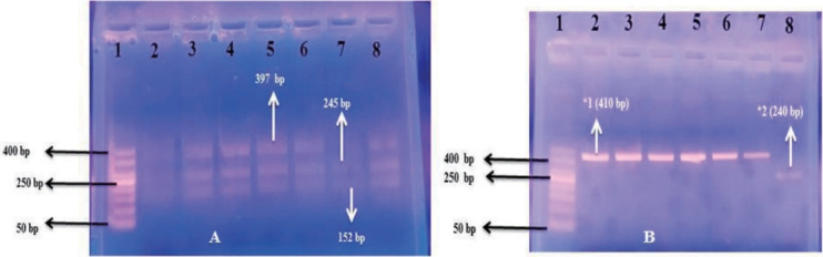
背景:儿童代谢性紊乱相关脂肪性肝病(MAFLD)是一个新兴的全球健康问题,特别是在肥胖和代谢紊乱方面。炎症在MAFLD的发病机制中起着至关重要的作用,腺苷脱氨酶(ADA)和白细胞介素-1受体拮抗剂(IL-1Ra)是潜在的因素。目的:本研究旨在评估埃及儿童ADA G22A和IL-1Ra单核苷酸多态性(snp)与MAFLD之间的关系。该研究还旨在评估VLDL/HDL-C和甘油三酯/HDL-C比值预测肥胖儿童MAFLD的有效性。方法:选取100例肥胖儿童和50例健康对照。肥胖组进一步分为有与无MAFLD组。分别采用常规聚合酶链反应(PCR)和限制性片段长度多态性(RFLP)-PCR对IL-1Ra和ADA G22A snp进行鉴定。VLDL/HDL和甘油三酯/HDL比值根据纳入参与者的脂质谱计算。结果:肥胖儿童的体重、体重z分数、体重指数(BMI)、体重z分数和腰围均明显高于健康对照组。这些参数在患有MAFLD的儿童中明显高于未患有MAFLD的儿童p < 0.05。肥胖儿童中ADA G22A的GG基因型和G等位基因明显高于对照组(p小于0.05);然而,肥胖儿童与非肥胖儿童之间没有显著差异。关于IL-1Ra多态性,*2/*2基因型在对照组和无mflld的肥胖儿童中更为常见,而*1/*2基因型在肥胖伴mflld儿童中更为普遍(p小于0.05)。VLDL/HDL-C临界值为bb0 0.6308,敏感性为80%,特异性为58%,阳性预测值(PPV)为65.6%,阴性预测值为74.4%,鉴别MAFLD的准确率为69%。甘油三酯- hdl - c比值临界值>3.0685显示出高特异性(88%)和高PPV(84.2%),但中等敏感性(64%)和总体准确性(76%)。结论:本研究结果支持ADA G22A在儿童肥胖中可能的遗传作用,IL-1Ra SNP在肥胖儿童MAFLD的发生发展中具有重要作用。甘油三酯/HDL-C比值比VLDL/HDL-C比值在预测儿童MAFLD方面更有用。
本文章由计算机程序翻译,如有差异,请以英文原文为准。

Adenosine deaminase and interleukin-1 receptor antagonist genetic polymorphisms among obese children with versus without metabolic dysfunction-associated fatty liver disease.

Adenosine deaminase and interleukin-1 receptor antagonist genetic polymorphisms among obese children with versus without metabolic dysfunction-associated fatty liver disease.

Adenosine deaminase and interleukin-1 receptor antagonist genetic polymorphisms among obese children with versus without metabolic dysfunction-associated fatty liver disease.

Background: Metabolic disorder-associated fatty liver disease (MAFLD) in children is an emerging global health concern, particularly in terms of obesity and metabolic disturbances. Inflammation plays a crucial role in the pathogenesis of MAFLD, with adenosine deaminase (ADA) and interleukin-1 receptor antagonist (IL-1Ra) being potential contributors.

Purpose: This study aimed to assess the association between ADA G22A and IL-1RN single nucleotide polymorphisms (SNPs) and MAFLD among a cohort of Egyptian children. It also aimed to evaluate the validity of very low-density lipoprotein (VLDL)/high-density lipoprotein cholesterol (HDL-C) and triglyceride-to-HDL-C ratios for predicting MAFLD in obese children.

Methods: One hundred obese children and 50 healthy controls were included. The obese group was further categorized into those with versus without MAFLD. IL-1Ra and ADA G22A SNPs were evaluated using conventional polymerase chain reaction (PCR) and restriction fragment length polymorphism-PCR, respectively. VLDL/HDL and triglyceride-to-HDL ratios were calculated from the lipid profiles of the included participants.

Results: The obese children had significantly higher weight, weight z score, body mass index (BMI), BMI z score, and waist circumference than the healthy controls. These parameters were considerably higher in children with versus without MAFLD P<0.05 all. The GG genotype and G allele of ADA G22A were significantly more frequent in the obese children versus controls (P<0.05 for both); however, no significant difference was observed between obese children with versus without MAFLD. Regarding IL-1RN polymorphisms, the *2/*2 genotype was more common in the controls and obese children without MFLD, whereas the *1/*2 genotype was prevalent in the obese children with MAFLD (P<0.05 all). A VLDL/HDL-C cutoff ratio of >0.6308 showed 80% sensitivity, 58% specificity, a 65.6% positive predictive value (PPV), a 74.4% negative predictive value, and 69% accuracy at differentiating among MAFLD cases. The triglyceride-to-HDL-C ratio cutoff of >3.0685 demonstrated high specificity (88%) and a high PPV (84.2%) but moderate sensitivity (64%) and overall accuracy (76%).

Conclusion: The current study's findings support the possible genetic role of ADA G22A in childhood obesity, with a significant role for the IL-1RN SNP in the development of MAFLD in obese children. The triglyceride-to-HDL-C ratio was more useful than the VLDL/HDL-C ratio for predicting pediatric MAFLD.

求助全文
通过发布文献求助,成功后即可免费获取论文全文。 去求助
来源期刊
CiteScore
8.00
自引率
2.40%
发文量
88
审稿时长
60 weeks
×
引用
GB/T 7714-2015
复制
MLA
复制
APA
复制
导出至
BibTeX EndNote RefMan NoteFirst NoteExpress
×
提示
您的信息不完整,为了账户安全,请先补充。
现在去补充
×
提示
您因"违规操作"
具体请查看互助需知
我知道了
×
提示
确定
请完成安全验证×
copy
已复制链接
快去分享给好友吧!
我知道了
右上角分享
点击右上角分享
0
联系我们:info@booksci.cn Book学术提供免费学术资源搜索服务,方便国内外学者检索中英文文献。致力于提供最便捷和优质的服务体验。 Copyright © 2023 布克学术 All rights reserved.
京ICP备2023020795号-1
ghs 京公网安备 11010802042870号
Book学术文献互助
Book学术文献互助群
群 号:604180095
Book学术官方微信