后腰方肌阻滞对乳腺癌手术急性疼痛缓解和慢性疼痛预防的影响。

IF 3.3 2区 医学 Q1 CLINICAL NEUROLOGY
Pain and Therapy Pub Date : 2025-08-01 Epub Date: 2025-05-29 DOI:10.1007/s40122-025-00740-8
Min Wang, Shu-Jie Niu, Jin Wu, Yi-Wei Zhong, Zi-Yun Lu, Qun Fu, Bing-Bing Li
{"title":"后腰方肌阻滞对乳腺癌手术急性疼痛缓解和慢性疼痛预防的影响。","authors":"Min Wang, Shu-Jie Niu, Jin Wu, Yi-Wei Zhong, Zi-Yun Lu, Qun Fu, Bing-Bing Li","doi":"10.1007/s40122-025-00740-8","DOIUrl":null,"url":null,"abstract":"<p><strong>Introduction: </strong>Breast cancer surgery is a common surgical procedure often associated with acute and chronic postoperative pain. As part of multimodal analgesia, the erector spinae plane block (ESPB) has been shown to effectively alleviate pain after breast cancer surgery. This study is the first to apply the posterior quadratus lumborum block (posterior QLB) for perioperative analgesia in breast cancer surgery. The aim of this research was to evaluate whether ESPB and QLB2 can relieve acute and chronic pain following breast cancer surgery.</p><p><strong>Methods: </strong>A total of 120 female patients undergoing breast cancer surgery were randomly assigned to receive either ESPB, posterior QLB, or no intervention. All patients were administered sufentanil patient-controlled intravenous analgesia postoperatively. The primary outcome was the visual analog scale (VAS) pain scores recorded at 2, 6, 18, 24, and 48 h post-surgery under rest and motion conditions. Secondary outcomes included the incidence of moderate-to-severe pain within 24 and 48 h post-surgery, intraoperative fentanyl cumulative dosage, postoperative rescue analgesia, chronic pain incidence, recovery quality of life, and adverse events.</p><p><strong>Results: </strong>Compared to the group receiving conventional treatment (group C), the incidence of moderate-to-severe pain within 24 h post-surgery was significantly lower in both the group receiving ESPB (group E; 16.7% vs. 46.2%, P < 0.05) and the group receiving QLB (group Q; 20.5% vs. 46.2%, P < 0.05). Additionally, the proportion of patients requiring rescue analgesia was significantly reduced in both group E and group Q, compared to group C (group C vs. E vs. Q: 30.8% vs. 7.1% vs. 10.3%, P = 0.007; group C vs Q: 30.8% vs. 10.3%, P = 0.025; group C vs. E: 30.8% vs 7.1%, P = 0.006; group Q vs. E: 10.3% vs. 7.1%, P = 0.141). At 3 months post-surgery, group Q had a significantly lower incidence of chronic pain compared to both group C (19.5% vs. 71.8%, P < 0.05) and group E (19.5% vs. 57.1%, P < 0.05). No significant differences were observed between the groups in terms of VAS scores at 2, 6, 18, 24, or 48 h, intraoperative fentanyl consumption, postoperative nausea and vomiting, time to first mobilization, time to first oral intake, the length of hospital stay, or Quality of Recovery-15 Items (QoR-15) scores at 3 months post-surgery (all P > 0.05).</p><p><strong>Conclusion: </strong>Compared with conventional intravenous analgesia, the combination of ultrasound-guided ESPB and posterior QLB significantly reduces the incidence of moderate-to-severe pain and the need for rescue analgesia within 24 h post-surgery. Furthermore, a single posterior QLB significantly reduces the incidence of chronic pain at 3 months post-surgery in patients with breast cancer.</p><p><strong>Trial registration: </strong>Clinical trial number: ChiCTR2000041471.</p>","PeriodicalId":19908,"journal":{"name":"Pain and Therapy","volume":" ","pages":"1349-1362"},"PeriodicalIF":3.3000,"publicationDate":"2025-08-01","publicationTypes":"Journal Article","fieldsOfStudy":null,"isOpenAccess":false,"openAccessPdf":"https://www.ncbi.nlm.nih.gov/pmc/articles/PMC12279621/pdf/","citationCount":"0","resultStr":"{\"title\":\"Impact of Posterior Quadratus Lumborum Block on Acute Pain Relief and Chronic Pain Prevention in Breast Cancer Surgery.\",\"authors\":\"Min Wang, Shu-Jie Niu, Jin Wu, Yi-Wei Zhong, Zi-Yun Lu, Qun Fu, Bing-Bing Li\",\"doi\":\"10.1007/s40122-025-00740-8\",\"DOIUrl\":null,\"url\":null,\"abstract\":\"<p><strong>Introduction: </strong>Breast cancer surgery is a common surgical procedure often associated with acute and chronic postoperative pain. As part of multimodal analgesia, the erector spinae plane block (ESPB) has been shown to effectively alleviate pain after breast cancer surgery. This study is the first to apply the posterior quadratus lumborum block (posterior QLB) for perioperative analgesia in breast cancer surgery. The aim of this research was to evaluate whether ESPB and QLB2 can relieve acute and chronic pain following breast cancer surgery.</p><p><strong>Methods: </strong>A total of 120 female patients undergoing breast cancer surgery were randomly assigned to receive either ESPB, posterior QLB, or no intervention. All patients were administered sufentanil patient-controlled intravenous analgesia postoperatively. The primary outcome was the visual analog scale (VAS) pain scores recorded at 2, 6, 18, 24, and 48 h post-surgery under rest and motion conditions. Secondary outcomes included the incidence of moderate-to-severe pain within 24 and 48 h post-surgery, intraoperative fentanyl cumulative dosage, postoperative rescue analgesia, chronic pain incidence, recovery quality of life, and adverse events.</p><p><strong>Results: </strong>Compared to the group receiving conventional treatment (group C), the incidence of moderate-to-severe pain within 24 h post-surgery was significantly lower in both the group receiving ESPB (group E; 16.7% vs. 46.2%, P < 0.05) and the group receiving QLB (group Q; 20.5% vs. 46.2%, P < 0.05). Additionally, the proportion of patients requiring rescue analgesia was significantly reduced in both group E and group Q, compared to group C (group C vs. E vs. Q: 30.8% vs. 7.1% vs. 10.3%, P = 0.007; group C vs Q: 30.8% vs. 10.3%, P = 0.025; group C vs. E: 30.8% vs 7.1%, P = 0.006; group Q vs. E: 10.3% vs. 7.1%, P = 0.141). At 3 months post-surgery, group Q had a significantly lower incidence of chronic pain compared to both group C (19.5% vs. 71.8%, P < 0.05) and group E (19.5% vs. 57.1%, P < 0.05). No significant differences were observed between the groups in terms of VAS scores at 2, 6, 18, 24, or 48 h, intraoperative fentanyl consumption, postoperative nausea and vomiting, time to first mobilization, time to first oral intake, the length of hospital stay, or Quality of Recovery-15 Items (QoR-15) scores at 3 months post-surgery (all P > 0.05).</p><p><strong>Conclusion: </strong>Compared with conventional intravenous analgesia, the combination of ultrasound-guided ESPB and posterior QLB significantly reduces the incidence of moderate-to-severe pain and the need for rescue analgesia within 24 h post-surgery. Furthermore, a single posterior QLB significantly reduces the incidence of chronic pain at 3 months post-surgery in patients with breast cancer.</p><p><strong>Trial registration: </strong>Clinical trial number: ChiCTR2000041471.</p>\",\"PeriodicalId\":19908,\"journal\":{\"name\":\"Pain and Therapy\",\"volume\":\" \",\"pages\":\"1349-1362\"},\"PeriodicalIF\":3.3000,\"publicationDate\":\"2025-08-01\",\"publicationTypes\":\"Journal Article\",\"fieldsOfStudy\":null,\"isOpenAccess\":false,\"openAccessPdf\":\"https://www.ncbi.nlm.nih.gov/pmc/articles/PMC12279621/pdf/\",\"citationCount\":\"0\",\"resultStr\":null,\"platform\":\"Semanticscholar\",\"paperid\":null,\"PeriodicalName\":\"Pain and Therapy\",\"FirstCategoryId\":\"3\",\"ListUrlMain\":\"https://doi.org/10.1007/s40122-025-00740-8\",\"RegionNum\":2,\"RegionCategory\":\"医学\",\"ArticlePicture\":[],\"TitleCN\":null,\"AbstractTextCN\":null,\"PMCID\":null,\"EPubDate\":\"2025/5/29 0:00:00\",\"PubModel\":\"Epub\",\"JCR\":\"Q1\",\"JCRName\":\"CLINICAL NEUROLOGY\",\"Score\":null,\"Total\":0}","platform":"Semanticscholar","paperid":null,"PeriodicalName":"Pain and Therapy","FirstCategoryId":"3","ListUrlMain":"https://doi.org/10.1007/s40122-025-00740-8","RegionNum":2,"RegionCategory":"医学","ArticlePicture":[],"TitleCN":null,"AbstractTextCN":null,"PMCID":null,"EPubDate":"2025/5/29 0:00:00","PubModel":"Epub","JCR":"Q1","JCRName":"CLINICAL NEUROLOGY","Score":null,"Total":0}
引用次数: 0

摘要

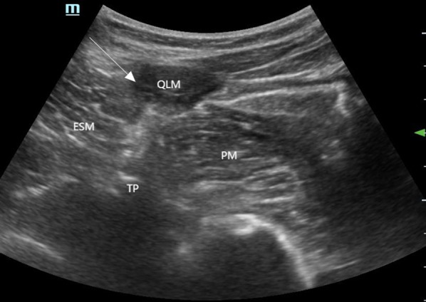
乳腺癌手术是一种常见的外科手术,常伴有急性和慢性术后疼痛。作为多模式镇痛的一部分,竖脊肌平面阻滞(ESPB)已被证明可以有效缓解乳腺癌手术后的疼痛。本研究首次将腰后方肌阻滞(posterior quadratus lumborum, QLB)应用于乳腺癌手术围术期镇痛。本研究的目的是评估ESPB和QLB2是否可以缓解乳腺癌手术后的急性和慢性疼痛。方法:120例接受乳腺癌手术的女性患者随机分为ESPB组、后置QLB组和无干预组。所有患者术后给予舒芬太尼自控静脉镇痛。主要终点是术后2、6、18、24和48小时在休息和运动条件下的视觉模拟评分(VAS)疼痛评分。次要结局包括术后24和48 h内中重度疼痛发生率、术中芬太尼累积剂量、术后抢救镇痛、慢性疼痛发生率、恢复生活质量和不良事件。结果:与常规治疗组(C组)相比,ESPB组(E组)术后24 h内中重度疼痛发生率均显著降低(E组;16.7%比46.2%,P < 0.05)。结论:与常规静脉镇痛相比,超声引导下ESPB联合后路QLB可显著降低术后24 h内中重度疼痛发生率和抢救性镇痛需求。此外,单个后置QLB可显著降低乳腺癌患者术后3个月慢性疼痛的发生率。试验注册:临床试验号:ChiCTR2000041471。
本文章由计算机程序翻译,如有差异,请以英文原文为准。

Impact of Posterior Quadratus Lumborum Block on Acute Pain Relief and Chronic Pain Prevention in Breast Cancer Surgery.

Impact of Posterior Quadratus Lumborum Block on Acute Pain Relief and Chronic Pain Prevention in Breast Cancer Surgery.

Impact of Posterior Quadratus Lumborum Block on Acute Pain Relief and Chronic Pain Prevention in Breast Cancer Surgery.

Impact of Posterior Quadratus Lumborum Block on Acute Pain Relief and Chronic Pain Prevention in Breast Cancer Surgery.

Introduction: Breast cancer surgery is a common surgical procedure often associated with acute and chronic postoperative pain. As part of multimodal analgesia, the erector spinae plane block (ESPB) has been shown to effectively alleviate pain after breast cancer surgery. This study is the first to apply the posterior quadratus lumborum block (posterior QLB) for perioperative analgesia in breast cancer surgery. The aim of this research was to evaluate whether ESPB and QLB2 can relieve acute and chronic pain following breast cancer surgery.

Methods: A total of 120 female patients undergoing breast cancer surgery were randomly assigned to receive either ESPB, posterior QLB, or no intervention. All patients were administered sufentanil patient-controlled intravenous analgesia postoperatively. The primary outcome was the visual analog scale (VAS) pain scores recorded at 2, 6, 18, 24, and 48 h post-surgery under rest and motion conditions. Secondary outcomes included the incidence of moderate-to-severe pain within 24 and 48 h post-surgery, intraoperative fentanyl cumulative dosage, postoperative rescue analgesia, chronic pain incidence, recovery quality of life, and adverse events.

Results: Compared to the group receiving conventional treatment (group C), the incidence of moderate-to-severe pain within 24 h post-surgery was significantly lower in both the group receiving ESPB (group E; 16.7% vs. 46.2%, P < 0.05) and the group receiving QLB (group Q; 20.5% vs. 46.2%, P < 0.05). Additionally, the proportion of patients requiring rescue analgesia was significantly reduced in both group E and group Q, compared to group C (group C vs. E vs. Q: 30.8% vs. 7.1% vs. 10.3%, P = 0.007; group C vs Q: 30.8% vs. 10.3%, P = 0.025; group C vs. E: 30.8% vs 7.1%, P = 0.006; group Q vs. E: 10.3% vs. 7.1%, P = 0.141). At 3 months post-surgery, group Q had a significantly lower incidence of chronic pain compared to both group C (19.5% vs. 71.8%, P < 0.05) and group E (19.5% vs. 57.1%, P < 0.05). No significant differences were observed between the groups in terms of VAS scores at 2, 6, 18, 24, or 48 h, intraoperative fentanyl consumption, postoperative nausea and vomiting, time to first mobilization, time to first oral intake, the length of hospital stay, or Quality of Recovery-15 Items (QoR-15) scores at 3 months post-surgery (all P > 0.05).

Conclusion: Compared with conventional intravenous analgesia, the combination of ultrasound-guided ESPB and posterior QLB significantly reduces the incidence of moderate-to-severe pain and the need for rescue analgesia within 24 h post-surgery. Furthermore, a single posterior QLB significantly reduces the incidence of chronic pain at 3 months post-surgery in patients with breast cancer.

Trial registration: Clinical trial number: ChiCTR2000041471.

求助全文
通过发布文献求助,成功后即可免费获取论文全文。 去求助
来源期刊
Pain and Therapy
Pain and Therapy CLINICAL NEUROLOGY-
CiteScore
6.60
自引率
5.00%
发文量
110
审稿时长
6 weeks
期刊介绍: Pain and Therapy is an international, open access, peer-reviewed, rapid publication journal dedicated to the publication of high-quality clinical (all phases), observational, real-world, and health outcomes research around the discovery, development, and use of pain therapies and pain-related devices. Studies relating to diagnosis, pharmacoeconomics, public health, quality of life, and patient care, management, and education are also encouraged. Areas of focus include, but are not limited to, acute pain, cancer pain, chronic pain, headache and migraine, neuropathic pain, opioids, palliative care and pain ethics, peri- and post-operative pain as well as rheumatic pain and fibromyalgia. The journal is of interest to a broad audience of pharmaceutical and healthcare professionals and publishes original research, reviews, case reports, trial protocols, short communications such as commentaries and editorials, and letters. The journal is read by a global audience and receives submissions from around the world. Pain and Therapy will consider all scientifically sound research be it positive, confirmatory or negative data. Submissions are welcomed whether they relate to an international and/or a country-specific audience, something that is crucially important when researchers are trying to target more specific patient populations. This inclusive approach allows the journal to assist in the dissemination of all scientifically and ethically sound research.
×
引用
GB/T 7714-2015
复制
MLA
复制
APA
复制
导出至
BibTeX EndNote RefMan NoteFirst NoteExpress
×
提示
您的信息不完整,为了账户安全,请先补充。
现在去补充
×
提示
您因"违规操作"
具体请查看互助需知
我知道了
×
提示
确定
请完成安全验证×
copy
已复制链接
快去分享给好友吧!
我知道了
右上角分享
点击右上角分享
0
联系我们:info@booksci.cn Book学术提供免费学术资源搜索服务,方便国内外学者检索中英文文献。致力于提供最便捷和优质的服务体验。 Copyright © 2023 布克学术 All rights reserved.
京ICP备2023020795号-1
ghs 京公网安备 11010802042870号
Book学术文献互助
Book学术文献互助群
群 号:604180095
Book学术官方微信