大转子高度的变化与患者人口统计学的关系:股骨钉设计的意义。

IF 1.6 Q3 ORTHOPEDICS
Advances in Orthopedics Pub Date : 2025-05-21 eCollection Date: 2025-01-01 DOI:10.1155/aort/3214878
Jordan A Haber, Amogh I Iyer, Matthew Dulas, Douglas Weaver, Jason A Strelzow
{"title":"大转子高度的变化与患者人口统计学的关系:股骨钉设计的意义。","authors":"Jordan A Haber, Amogh I Iyer, Matthew Dulas, Douglas Weaver, Jason A Strelzow","doi":"10.1155/aort/3214878","DOIUrl":null,"url":null,"abstract":"<p><p>Intramedullary nail fixation is the \"gold standard\" for surgical intervention of femoral fractures. While many aspects of nail design and patient anatomy have received specific focus, anatomic variations in proximal femoral geometry and greater trochanteric height variation have been poorly studied. Understanding the potential relationship of the greater trochanter to patient demographics may provide an opportunity to improve implant placement. Retrospective review of x-ray and computed tomography images of the proximal femur was performed. Inclusion criteria consisted of skeletally mature patients over 18 years old with imaging of the proximal femur. Inclusion criteria identified 296 patients. Mean age of included patients was 34 ± 20 years. Average greater trochanter height was 40 ± 8.1 mm. Mean caput-collum-diaphyseal angle was 141 ± 8.6 degrees. After identifying significant factors using univariate analyses a multivariable linear regression demonstrated that patient height and caput-collum-diaphyseal angle were statistically significant predictors for greater trochanter height. For every 1 cm increase in patient height there was a predicted 0.11 mm increase in greater trochanter height (<i>p</i>=0.01). Conversely, every 1 degree increase in caput-collum-diaphyseal angle results in an associated 0.17 mm decrease in greater trochanter height (<i>p</i> < 0.001). This study provides information that may allow for the potential optimization of implant design or implant position to minimize proximal nail protrusion, enhance nail fit and ensure cephalomedullary lag screw position in the head based on the proximal nail dimensions of the implant used.</p>","PeriodicalId":7358,"journal":{"name":"Advances in Orthopedics","volume":"2025 ","pages":"3214878"},"PeriodicalIF":1.6000,"publicationDate":"2025-05-21","publicationTypes":"Journal Article","fieldsOfStudy":null,"isOpenAccess":false,"openAccessPdf":"https://www.ncbi.nlm.nih.gov/pmc/articles/PMC12119156/pdf/","citationCount":"0","resultStr":"{\"title\":\"Variations in Greater Trochanter Height as a Relation to Patient Demographics: Implications for Femoral Nail Design.\",\"authors\":\"Jordan A Haber, Amogh I Iyer, Matthew Dulas, Douglas Weaver, Jason A Strelzow\",\"doi\":\"10.1155/aort/3214878\",\"DOIUrl\":null,\"url\":null,\"abstract\":\"<p><p>Intramedullary nail fixation is the \\\"gold standard\\\" for surgical intervention of femoral fractures. While many aspects of nail design and patient anatomy have received specific focus, anatomic variations in proximal femoral geometry and greater trochanteric height variation have been poorly studied. Understanding the potential relationship of the greater trochanter to patient demographics may provide an opportunity to improve implant placement. Retrospective review of x-ray and computed tomography images of the proximal femur was performed. Inclusion criteria consisted of skeletally mature patients over 18 years old with imaging of the proximal femur. Inclusion criteria identified 296 patients. Mean age of included patients was 34 ± 20 years. Average greater trochanter height was 40 ± 8.1 mm. Mean caput-collum-diaphyseal angle was 141 ± 8.6 degrees. After identifying significant factors using univariate analyses a multivariable linear regression demonstrated that patient height and caput-collum-diaphyseal angle were statistically significant predictors for greater trochanter height. For every 1 cm increase in patient height there was a predicted 0.11 mm increase in greater trochanter height (<i>p</i>=0.01). Conversely, every 1 degree increase in caput-collum-diaphyseal angle results in an associated 0.17 mm decrease in greater trochanter height (<i>p</i> < 0.001). This study provides information that may allow for the potential optimization of implant design or implant position to minimize proximal nail protrusion, enhance nail fit and ensure cephalomedullary lag screw position in the head based on the proximal nail dimensions of the implant used.</p>\",\"PeriodicalId\":7358,\"journal\":{\"name\":\"Advances in Orthopedics\",\"volume\":\"2025 \",\"pages\":\"3214878\"},\"PeriodicalIF\":1.6000,\"publicationDate\":\"2025-05-21\",\"publicationTypes\":\"Journal Article\",\"fieldsOfStudy\":null,\"isOpenAccess\":false,\"openAccessPdf\":\"https://www.ncbi.nlm.nih.gov/pmc/articles/PMC12119156/pdf/\",\"citationCount\":\"0\",\"resultStr\":null,\"platform\":\"Semanticscholar\",\"paperid\":null,\"PeriodicalName\":\"Advances in Orthopedics\",\"FirstCategoryId\":\"1085\",\"ListUrlMain\":\"https://doi.org/10.1155/aort/3214878\",\"RegionNum\":0,\"RegionCategory\":null,\"ArticlePicture\":[],\"TitleCN\":null,\"AbstractTextCN\":null,\"PMCID\":null,\"EPubDate\":\"2025/1/1 0:00:00\",\"PubModel\":\"eCollection\",\"JCR\":\"Q3\",\"JCRName\":\"ORTHOPEDICS\",\"Score\":null,\"Total\":0}","platform":"Semanticscholar","paperid":null,"PeriodicalName":"Advances in Orthopedics","FirstCategoryId":"1085","ListUrlMain":"https://doi.org/10.1155/aort/3214878","RegionNum":0,"RegionCategory":null,"ArticlePicture":[],"TitleCN":null,"AbstractTextCN":null,"PMCID":null,"EPubDate":"2025/1/1 0:00:00","PubModel":"eCollection","JCR":"Q3","JCRName":"ORTHOPEDICS","Score":null,"Total":0}
引用次数: 0

摘要

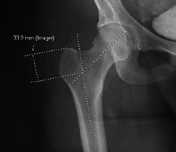
髓内钉固定是股骨骨折手术治疗的“金标准”。虽然钉子设计和患者解剖的许多方面都得到了特别的关注,但股骨近端几何形状的解剖变化和更大的转子高度变化的研究很少。了解大转子与患者人口统计学的潜在关系可能为改善种植体放置提供机会。回顾性审查x线和计算机断层图像的股骨近端进行。纳入标准包括18岁以上具有股骨近端影像学的骨骼成熟患者。纳入标准确定了296例患者。患者平均年龄34±20岁。大转子平均高度为40±8.1 mm。头-柱-骨干平均夹角为141±8.6度。在使用单变量分析确定显著因素后,多变量线性回归显示患者身高和头-柱-骨干角是大转子高度的统计学显著预测因子。患者身高每增加1 cm,大转子高度预计增加0.11 mm (p=0.01)。相反,头柱-骨干角每增加1度,大转子高度相应减少0.17 mm (p < 0.001)。本研究提供的信息可能允许潜在的优化种植体设计或种植体位置,以减少近端钉突出,增强钉配合,并根据所使用的种植体近端钉尺寸确保头髓延迟螺钉在头部的位置。
本文章由计算机程序翻译,如有差异,请以英文原文为准。

Variations in Greater Trochanter Height as a Relation to Patient Demographics: Implications for Femoral Nail Design.

Variations in Greater Trochanter Height as a Relation to Patient Demographics: Implications for Femoral Nail Design.

Variations in Greater Trochanter Height as a Relation to Patient Demographics: Implications for Femoral Nail Design.

Variations in Greater Trochanter Height as a Relation to Patient Demographics: Implications for Femoral Nail Design.

Intramedullary nail fixation is the "gold standard" for surgical intervention of femoral fractures. While many aspects of nail design and patient anatomy have received specific focus, anatomic variations in proximal femoral geometry and greater trochanteric height variation have been poorly studied. Understanding the potential relationship of the greater trochanter to patient demographics may provide an opportunity to improve implant placement. Retrospective review of x-ray and computed tomography images of the proximal femur was performed. Inclusion criteria consisted of skeletally mature patients over 18 years old with imaging of the proximal femur. Inclusion criteria identified 296 patients. Mean age of included patients was 34 ± 20 years. Average greater trochanter height was 40 ± 8.1 mm. Mean caput-collum-diaphyseal angle was 141 ± 8.6 degrees. After identifying significant factors using univariate analyses a multivariable linear regression demonstrated that patient height and caput-collum-diaphyseal angle were statistically significant predictors for greater trochanter height. For every 1 cm increase in patient height there was a predicted 0.11 mm increase in greater trochanter height (p=0.01). Conversely, every 1 degree increase in caput-collum-diaphyseal angle results in an associated 0.17 mm decrease in greater trochanter height (p < 0.001). This study provides information that may allow for the potential optimization of implant design or implant position to minimize proximal nail protrusion, enhance nail fit and ensure cephalomedullary lag screw position in the head based on the proximal nail dimensions of the implant used.

求助全文
通过发布文献求助,成功后即可免费获取论文全文。 去求助
来源期刊
CiteScore
2.40
自引率
0.00%
发文量
36
审稿时长
21 weeks
期刊介绍: Advances in Orthopedics is a peer-reviewed, Open Access journal that provides a forum for orthopaedics working on improving the quality of orthopedic health care. The journal publishes original research articles, review articles, and clinical studies related to arthroplasty, hand surgery, limb reconstruction, pediatric orthopaedics, sports medicine, trauma, spinal deformities, and orthopaedic oncology.
×
引用
GB/T 7714-2015
复制
MLA
复制
APA
复制
导出至
BibTeX EndNote RefMan NoteFirst NoteExpress
×
提示
您的信息不完整,为了账户安全,请先补充。
现在去补充
×
提示
您因"违规操作"
具体请查看互助需知
我知道了
×
提示
确定
请完成安全验证×
copy
已复制链接
快去分享给好友吧!
我知道了
右上角分享
点击右上角分享
0
联系我们:info@booksci.cn Book学术提供免费学术资源搜索服务,方便国内外学者检索中英文文献。致力于提供最便捷和优质的服务体验。 Copyright © 2023 布克学术 All rights reserved.
京ICP备2023020795号-1
ghs 京公网安备 11010802042870号
Book学术文献互助
Book学术文献互助群
群 号:604180095
Book学术官方微信