多动脉瘤疾病的分期治疗,包括世界上首次在水蟒FEVAR中使用。

IF 0.3 Q4 SURGERY
Thoracic and Cardiovascular Surgeon Reports Pub Date : 2025-05-26 eCollection Date: 2025-01-01 DOI:10.1055/a-2591-9692
Paula R Keschenau, Sharif Elshafei, Johannes Kalder
{"title":"多动脉瘤疾病的分期治疗,包括世界上首次在水蟒FEVAR中使用。","authors":"Paula R Keschenau, Sharif Elshafei, Johannes Kalder","doi":"10.1055/a-2591-9692","DOIUrl":null,"url":null,"abstract":"<p><strong>Background: </strong>Abdominal aortic aneurysms frequently coincide with popliteal artery aneurysms. The association with multiple peripheral aneurysms, sometimes called polyaneurysmal disease, is less frequent.</p><p><strong>Case description: </strong>An 82-year-old male was diagnosed with polyaneurysmal disease. He was treated by femoral, popliteal, and profundal interposition grafts as well as fenestrated endovascular repair (FEVAR) using an Anaconda (Terumo Aortic, Inchinnan, Scotland) endoprosthesis combined with BeGraft peripheral and BeFlared (BF) bridging stent grafts (Bentley InnoMed, Hechingen, Germany).</p><p><strong>Conclusion: </strong>Polyaneurysmal disease in an aged patient can be treated successfully by thorough case planning, staging of procedures, and combining different vascular surgical techniques. It demonstrates the smooth implantation of the BeFlared in an Anaconda FEVAR.</p>","PeriodicalId":41729,"journal":{"name":"Thoracic and Cardiovascular Surgeon Reports","volume":"14 1","pages":"e12-e15"},"PeriodicalIF":0.3000,"publicationDate":"2025-05-26","publicationTypes":"Journal Article","fieldsOfStudy":null,"isOpenAccess":false,"openAccessPdf":"https://www.ncbi.nlm.nih.gov/pmc/articles/PMC12105932/pdf/","citationCount":"0","resultStr":"{\"title\":\"Staged Therapy of Polyaneurysmal Disease Including the World's First BeFlared Use in Anaconda FEVAR.\",\"authors\":\"Paula R Keschenau, Sharif Elshafei, Johannes Kalder\",\"doi\":\"10.1055/a-2591-9692\",\"DOIUrl\":null,\"url\":null,\"abstract\":\"<p><strong>Background: </strong>Abdominal aortic aneurysms frequently coincide with popliteal artery aneurysms. The association with multiple peripheral aneurysms, sometimes called polyaneurysmal disease, is less frequent.</p><p><strong>Case description: </strong>An 82-year-old male was diagnosed with polyaneurysmal disease. He was treated by femoral, popliteal, and profundal interposition grafts as well as fenestrated endovascular repair (FEVAR) using an Anaconda (Terumo Aortic, Inchinnan, Scotland) endoprosthesis combined with BeGraft peripheral and BeFlared (BF) bridging stent grafts (Bentley InnoMed, Hechingen, Germany).</p><p><strong>Conclusion: </strong>Polyaneurysmal disease in an aged patient can be treated successfully by thorough case planning, staging of procedures, and combining different vascular surgical techniques. It demonstrates the smooth implantation of the BeFlared in an Anaconda FEVAR.</p>\",\"PeriodicalId\":41729,\"journal\":{\"name\":\"Thoracic and Cardiovascular Surgeon Reports\",\"volume\":\"14 1\",\"pages\":\"e12-e15\"},\"PeriodicalIF\":0.3000,\"publicationDate\":\"2025-05-26\",\"publicationTypes\":\"Journal Article\",\"fieldsOfStudy\":null,\"isOpenAccess\":false,\"openAccessPdf\":\"https://www.ncbi.nlm.nih.gov/pmc/articles/PMC12105932/pdf/\",\"citationCount\":\"0\",\"resultStr\":null,\"platform\":\"Semanticscholar\",\"paperid\":null,\"PeriodicalName\":\"Thoracic and Cardiovascular Surgeon Reports\",\"FirstCategoryId\":\"1085\",\"ListUrlMain\":\"https://doi.org/10.1055/a-2591-9692\",\"RegionNum\":0,\"RegionCategory\":null,\"ArticlePicture\":[],\"TitleCN\":null,\"AbstractTextCN\":null,\"PMCID\":null,\"EPubDate\":\"2025/1/1 0:00:00\",\"PubModel\":\"eCollection\",\"JCR\":\"Q4\",\"JCRName\":\"SURGERY\",\"Score\":null,\"Total\":0}","platform":"Semanticscholar","paperid":null,"PeriodicalName":"Thoracic and Cardiovascular Surgeon Reports","FirstCategoryId":"1085","ListUrlMain":"https://doi.org/10.1055/a-2591-9692","RegionNum":0,"RegionCategory":null,"ArticlePicture":[],"TitleCN":null,"AbstractTextCN":null,"PMCID":null,"EPubDate":"2025/1/1 0:00:00","PubModel":"eCollection","JCR":"Q4","JCRName":"SURGERY","Score":null,"Total":0}
引用次数: 0

摘要

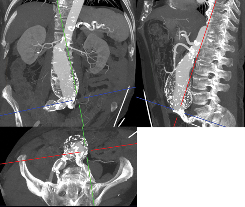
背景:腹主动脉瘤常与腘动脉动脉瘤重合。与多发性外周动脉瘤(有时称为多动脉瘤病)的关联不太常见。病例描述:一名82岁男性被诊断为多动脉瘤疾病。他接受了股骨、腘窝和深层间置移植物治疗,以及使用Anaconda (Terumo Aortic, Inchinnan, Scotland)内假体联合BeGraft周围和beflap (BF)桥接支架(Bentley InnoMed, Hechingen, Germany)进行开窗血管内修复(FEVAR)。结论:通过周密的病例规划、手术分期和结合不同的血管手术技术,可以成功治疗老年多动脉瘤性疾病。它演示了在蟒蛇FEVAR中顺利植入be喇叭声。
本文章由计算机程序翻译,如有差异,请以英文原文为准。

Staged Therapy of Polyaneurysmal Disease Including the World's First BeFlared Use in Anaconda FEVAR.

Staged Therapy of Polyaneurysmal Disease Including the World's First BeFlared Use in Anaconda FEVAR.

Staged Therapy of Polyaneurysmal Disease Including the World's First BeFlared Use in Anaconda FEVAR.

Staged Therapy of Polyaneurysmal Disease Including the World's First BeFlared Use in Anaconda FEVAR.

Background: Abdominal aortic aneurysms frequently coincide with popliteal artery aneurysms. The association with multiple peripheral aneurysms, sometimes called polyaneurysmal disease, is less frequent.

Case description: An 82-year-old male was diagnosed with polyaneurysmal disease. He was treated by femoral, popliteal, and profundal interposition grafts as well as fenestrated endovascular repair (FEVAR) using an Anaconda (Terumo Aortic, Inchinnan, Scotland) endoprosthesis combined with BeGraft peripheral and BeFlared (BF) bridging stent grafts (Bentley InnoMed, Hechingen, Germany).

Conclusion: Polyaneurysmal disease in an aged patient can be treated successfully by thorough case planning, staging of procedures, and combining different vascular surgical techniques. It demonstrates the smooth implantation of the BeFlared in an Anaconda FEVAR.

求助全文
通过发布文献求助,成功后即可免费获取论文全文。 去求助
来源期刊
自引率
0.00%
发文量
20
×
引用
GB/T 7714-2015
复制
MLA
复制
APA
复制
导出至
BibTeX EndNote RefMan NoteFirst NoteExpress
×
提示
您的信息不完整,为了账户安全,请先补充。
现在去补充
×
提示
您因"违规操作"
具体请查看互助需知
我知道了
×
提示
确定
请完成安全验证×
copy
已复制链接
快去分享给好友吧!
我知道了
右上角分享
点击右上角分享
0
联系我们:info@booksci.cn Book学术提供免费学术资源搜索服务,方便国内外学者检索中英文文献。致力于提供最便捷和优质的服务体验。 Copyright © 2023 布克学术 All rights reserved.
京ICP备2023020795号-1
ghs 京公网安备 11010802042870号
Book学术文献互助
Book学术文献互助群
群 号:604180095
Book学术官方微信