眼超声作为诊断葡萄膜炎掩盖综合征的关键:提示和技巧。

IF 2.2 Q2 MEDICINE, GENERAL & INTERNAL
Valeria Albano, Rosanna Dammacco, Ilaria Lolli, Claudia Ventricelli, Enrico Settimo, Angelo Miggiano, Maria Grazia Pignataro, Paolo Ferreri, Francesco Boscia, Silvana Guerriero, Giovanni Alessio
{"title":"眼超声作为诊断葡萄膜炎掩盖综合征的关键:提示和技巧。","authors":"Valeria Albano, Rosanna Dammacco, Ilaria Lolli, Claudia Ventricelli, Enrico Settimo, Angelo Miggiano, Maria Grazia Pignataro, Paolo Ferreri, Francesco Boscia, Silvana Guerriero, Giovanni Alessio","doi":"10.3390/clinpract15050084","DOIUrl":null,"url":null,"abstract":"<p><p><b>Background and Objectives</b>: Uveitis-masked syndromes or masquerade syndromes (UMSs) are a group of ocular conditions with several systemic underlying causes, malignant or nonmalignant, that mimic the inflammatory status of the uvea. They are often difficult to detect and diagnose with traditional techniques, such as ophthalmic exams. Ocular B (bidimensional)-ultrasound (OBU) is a non-invasive, repeatable, rapid ultrasound method effective in indirect signs that lead back to systemic diseases. It is comparable in effectiveness with other imaging tools. The cause of UMSs can often be serious, and therefore early diagnosis and prompt treatment are critical. This study aimed to identify the sonographic signs of these forms, which can help physicians discover the cause underlying UMS. <b>Materials and Methods</b>: This was a consecutive, retrospective, nonrandomized study. This study was conducted at the University Hospital Polyclinic of Bari, Italy, from January 2022 to December 2024. A total of 186 patients were included, from 10 to 85 years old. They all underwent B-scan ultrasonography (Quantel Medical ABSolu Ocular Ultrasound). <b>Results</b>: All patients reported blurred vision, which could be accompanied by visual reduction (<20/40, Snellen charts), photophobia, floaters, flashes, proptosis, and redness. In all cases, we noted peculiar ultrasonographic signs, which allowed us to discriminate the underlying systemic diagnosis, such as vitreous corpuscles, choroid thickening, and primitive or metastatic solid tumors. Finally, we identified different diseases, such as primary intraocular lymphoma (PIOL), other lymphoproliferative conditions, orbital plasmacytoma, uveal melanoma, metastasis, endogenous endophthalmitis, retinal detachment, central serous retinopathy, metallic foreign bodies, ocular amyloidosis, and drug-induced UMSs. The sensitivity and specificity of ocular ultrasound compared to multimodal ocular imaging in UMSs were as follows: for primary intraocular lymphoma (PIOL) and other lymphoproliferative conditions, 0.98 (95% CI, 0.80-1) and 0.68 (90% CI, 0.40-0.92), respectively; for orbital plasmacytoma, 0.64 (92% CI, 0.52-0.86) and 0.66 (93% CI, 0.48-0.89), respectively; uveal melanoma, 1.00 (98% CI, 0.88-1.00) and 0.98 (95% CI, 0.86-0.98), respectively; metastasis, 0.75 (95% CI, 0.53-0.85) and 0.85 (95% CI, 0.48-0.98), respectively; endogenous endophthalmitis, 1.00 (95% CI, 0.50-1.00) and 0.83 (95% CI, 0.48-0.98), respectively; retinal detachment, both were 1.00 (95% CI, 0.87-1.00 and 0.84-0.97, respectively); central serous retinopathy, 0.60 (80% CI, 0.41-0.88) and 0.85 (95% CI, 0.52-0.98), respectively; metallic foreign bodies, 1.00 (95% CI, 0.78-1.00) and 0.99 (95% CI, 0.99-1.00), respectively; ocular amyloidosis, 0.77 (82% CI, 0.52-0.90) and 0.83 (80% CI, 0.49-0.88), respectively; and drug-induced UMSs, 0.64 (95% CI, 0.49-0.88) and 0.85 (95% CI, 0.52-0.98), respectively. <b>Conclusions</b>: Diagnosing UMS accurately can be quite challenging, and many of its different types frequently go undetected. This complexity in identification often leads to underdiagnosis, meaning it is essential to improve awareness and understanding of the condition in order to achieve better recognition and treatment. Early detection of these forms is imperative. The use of OBU can help diagnose indirect signs of these forms early and treat them promptly. It compares well with other diagnostic imaging techniques, such as MRI, but this does not mean that it replaces them; it can offer added value in multimodal imaging.</p>","PeriodicalId":45306,"journal":{"name":"Clinics and Practice","volume":"15 5","pages":""},"PeriodicalIF":2.2000,"publicationDate":"2025-04-23","publicationTypes":"Journal Article","fieldsOfStudy":null,"isOpenAccess":false,"openAccessPdf":"https://www.ncbi.nlm.nih.gov/pmc/articles/PMC12110100/pdf/","citationCount":"0","resultStr":"{\"title\":\"Ocular Ultrasound as a Key to Diagnosing Uveitis-Masked Syndromes: Tips and Tricks.\",\"authors\":\"Valeria Albano, Rosanna Dammacco, Ilaria Lolli, Claudia Ventricelli, Enrico Settimo, Angelo Miggiano, Maria Grazia Pignataro, Paolo Ferreri, Francesco Boscia, Silvana Guerriero, Giovanni Alessio\",\"doi\":\"10.3390/clinpract15050084\",\"DOIUrl\":null,\"url\":null,\"abstract\":\"<p><p><b>Background and Objectives</b>: Uveitis-masked syndromes or masquerade syndromes (UMSs) are a group of ocular conditions with several systemic underlying causes, malignant or nonmalignant, that mimic the inflammatory status of the uvea. They are often difficult to detect and diagnose with traditional techniques, such as ophthalmic exams. Ocular B (bidimensional)-ultrasound (OBU) is a non-invasive, repeatable, rapid ultrasound method effective in indirect signs that lead back to systemic diseases. It is comparable in effectiveness with other imaging tools. The cause of UMSs can often be serious, and therefore early diagnosis and prompt treatment are critical. This study aimed to identify the sonographic signs of these forms, which can help physicians discover the cause underlying UMS. <b>Materials and Methods</b>: This was a consecutive, retrospective, nonrandomized study. This study was conducted at the University Hospital Polyclinic of Bari, Italy, from January 2022 to December 2024. A total of 186 patients were included, from 10 to 85 years old. They all underwent B-scan ultrasonography (Quantel Medical ABSolu Ocular Ultrasound). <b>Results</b>: All patients reported blurred vision, which could be accompanied by visual reduction (<20/40, Snellen charts), photophobia, floaters, flashes, proptosis, and redness. In all cases, we noted peculiar ultrasonographic signs, which allowed us to discriminate the underlying systemic diagnosis, such as vitreous corpuscles, choroid thickening, and primitive or metastatic solid tumors. Finally, we identified different diseases, such as primary intraocular lymphoma (PIOL), other lymphoproliferative conditions, orbital plasmacytoma, uveal melanoma, metastasis, endogenous endophthalmitis, retinal detachment, central serous retinopathy, metallic foreign bodies, ocular amyloidosis, and drug-induced UMSs. The sensitivity and specificity of ocular ultrasound compared to multimodal ocular imaging in UMSs were as follows: for primary intraocular lymphoma (PIOL) and other lymphoproliferative conditions, 0.98 (95% CI, 0.80-1) and 0.68 (90% CI, 0.40-0.92), respectively; for orbital plasmacytoma, 0.64 (92% CI, 0.52-0.86) and 0.66 (93% CI, 0.48-0.89), respectively; uveal melanoma, 1.00 (98% CI, 0.88-1.00) and 0.98 (95% CI, 0.86-0.98), respectively; metastasis, 0.75 (95% CI, 0.53-0.85) and 0.85 (95% CI, 0.48-0.98), respectively; endogenous endophthalmitis, 1.00 (95% CI, 0.50-1.00) and 0.83 (95% CI, 0.48-0.98), respectively; retinal detachment, both were 1.00 (95% CI, 0.87-1.00 and 0.84-0.97, respectively); central serous retinopathy, 0.60 (80% CI, 0.41-0.88) and 0.85 (95% CI, 0.52-0.98), respectively; metallic foreign bodies, 1.00 (95% CI, 0.78-1.00) and 0.99 (95% CI, 0.99-1.00), respectively; ocular amyloidosis, 0.77 (82% CI, 0.52-0.90) and 0.83 (80% CI, 0.49-0.88), respectively; and drug-induced UMSs, 0.64 (95% CI, 0.49-0.88) and 0.85 (95% CI, 0.52-0.98), respectively. <b>Conclusions</b>: Diagnosing UMS accurately can be quite challenging, and many of its different types frequently go undetected. This complexity in identification often leads to underdiagnosis, meaning it is essential to improve awareness and understanding of the condition in order to achieve better recognition and treatment. Early detection of these forms is imperative. The use of OBU can help diagnose indirect signs of these forms early and treat them promptly. It compares well with other diagnostic imaging techniques, such as MRI, but this does not mean that it replaces them; it can offer added value in multimodal imaging.</p>\",\"PeriodicalId\":45306,\"journal\":{\"name\":\"Clinics and Practice\",\"volume\":\"15 5\",\"pages\":\"\"},\"PeriodicalIF\":2.2000,\"publicationDate\":\"2025-04-23\",\"publicationTypes\":\"Journal Article\",\"fieldsOfStudy\":null,\"isOpenAccess\":false,\"openAccessPdf\":\"https://www.ncbi.nlm.nih.gov/pmc/articles/PMC12110100/pdf/\",\"citationCount\":\"0\",\"resultStr\":null,\"platform\":\"Semanticscholar\",\"paperid\":null,\"PeriodicalName\":\"Clinics and Practice\",\"FirstCategoryId\":\"1085\",\"ListUrlMain\":\"https://doi.org/10.3390/clinpract15050084\",\"RegionNum\":0,\"RegionCategory\":null,\"ArticlePicture\":[],\"TitleCN\":null,\"AbstractTextCN\":null,\"PMCID\":null,\"EPubDate\":\"\",\"PubModel\":\"\",\"JCR\":\"Q2\",\"JCRName\":\"MEDICINE, GENERAL & INTERNAL\",\"Score\":null,\"Total\":0}","platform":"Semanticscholar","paperid":null,"PeriodicalName":"Clinics and Practice","FirstCategoryId":"1085","ListUrlMain":"https://doi.org/10.3390/clinpract15050084","RegionNum":0,"RegionCategory":null,"ArticlePicture":[],"TitleCN":null,"AbstractTextCN":null,"PMCID":null,"EPubDate":"","PubModel":"","JCR":"Q2","JCRName":"MEDICINE, GENERAL & INTERNAL","Score":null,"Total":0}
引用次数: 0

摘要

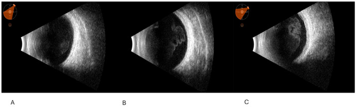
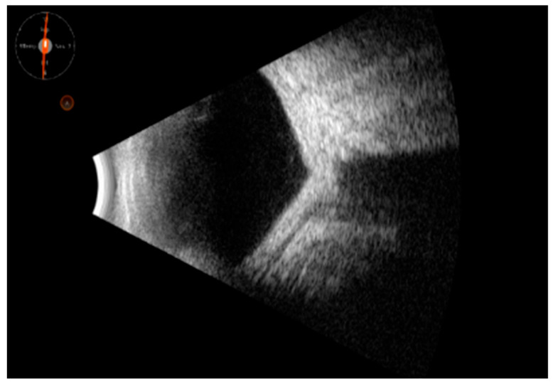
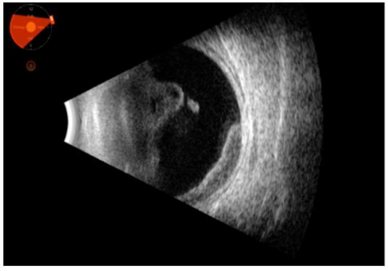
背景和目的:葡萄膜炎掩盖综合征或假面综合征(UMSs)是一组眼部疾病,有几种系统性的潜在原因,恶性或非恶性,模仿葡萄膜的炎症状态。它们通常难以用眼科检查等传统技术检测和诊断。眼部B(二维)超声(OBU)是一种无创、可重复、快速的超声方法,对导致全身性疾病的间接征象有效。其有效性与其他成像工具相当。多发性硬化的病因往往很严重,因此早期诊断和及时治疗至关重要。本研究旨在确定这些形式的超声征象,这可以帮助医生发现潜在的UMS原因。材料和方法:这是一项连续、回顾性、非随机的研究。该研究于2022年1月至2024年12月在意大利巴里大学医院综合诊所进行。共纳入186例患者,年龄从10岁到85岁不等。所有患者均行b超检查(Quantel Medical ABSolu Ocular Ultrasound)。结果:所有患者均报告视力模糊,并伴有视力下降(结论:准确诊断UMS相当具有挑战性,许多不同类型的UMS经常未被发现。这种识别的复杂性往往导致诊断不足,这意味着提高对这种疾病的认识和理解是必不可少的,以便更好地识别和治疗。及早发现这些形式是必要的。OBU的使用可以帮助早期诊断这些形式的间接迹象并及时治疗。它与其他诊断成像技术(如核磁共振成像)相比要好,但这并不意味着它取代了它们;它可以为多模态成像提供附加价值。
本文章由计算机程序翻译,如有差异,请以英文原文为准。

Ocular Ultrasound as a Key to Diagnosing Uveitis-Masked Syndromes: Tips and Tricks.

Ocular Ultrasound as a Key to Diagnosing Uveitis-Masked Syndromes: Tips and Tricks.

Ocular Ultrasound as a Key to Diagnosing Uveitis-Masked Syndromes: Tips and Tricks.

Ocular Ultrasound as a Key to Diagnosing Uveitis-Masked Syndromes: Tips and Tricks.

Background and Objectives: Uveitis-masked syndromes or masquerade syndromes (UMSs) are a group of ocular conditions with several systemic underlying causes, malignant or nonmalignant, that mimic the inflammatory status of the uvea. They are often difficult to detect and diagnose with traditional techniques, such as ophthalmic exams. Ocular B (bidimensional)-ultrasound (OBU) is a non-invasive, repeatable, rapid ultrasound method effective in indirect signs that lead back to systemic diseases. It is comparable in effectiveness with other imaging tools. The cause of UMSs can often be serious, and therefore early diagnosis and prompt treatment are critical. This study aimed to identify the sonographic signs of these forms, which can help physicians discover the cause underlying UMS. Materials and Methods: This was a consecutive, retrospective, nonrandomized study. This study was conducted at the University Hospital Polyclinic of Bari, Italy, from January 2022 to December 2024. A total of 186 patients were included, from 10 to 85 years old. They all underwent B-scan ultrasonography (Quantel Medical ABSolu Ocular Ultrasound). Results: All patients reported blurred vision, which could be accompanied by visual reduction (<20/40, Snellen charts), photophobia, floaters, flashes, proptosis, and redness. In all cases, we noted peculiar ultrasonographic signs, which allowed us to discriminate the underlying systemic diagnosis, such as vitreous corpuscles, choroid thickening, and primitive or metastatic solid tumors. Finally, we identified different diseases, such as primary intraocular lymphoma (PIOL), other lymphoproliferative conditions, orbital plasmacytoma, uveal melanoma, metastasis, endogenous endophthalmitis, retinal detachment, central serous retinopathy, metallic foreign bodies, ocular amyloidosis, and drug-induced UMSs. The sensitivity and specificity of ocular ultrasound compared to multimodal ocular imaging in UMSs were as follows: for primary intraocular lymphoma (PIOL) and other lymphoproliferative conditions, 0.98 (95% CI, 0.80-1) and 0.68 (90% CI, 0.40-0.92), respectively; for orbital plasmacytoma, 0.64 (92% CI, 0.52-0.86) and 0.66 (93% CI, 0.48-0.89), respectively; uveal melanoma, 1.00 (98% CI, 0.88-1.00) and 0.98 (95% CI, 0.86-0.98), respectively; metastasis, 0.75 (95% CI, 0.53-0.85) and 0.85 (95% CI, 0.48-0.98), respectively; endogenous endophthalmitis, 1.00 (95% CI, 0.50-1.00) and 0.83 (95% CI, 0.48-0.98), respectively; retinal detachment, both were 1.00 (95% CI, 0.87-1.00 and 0.84-0.97, respectively); central serous retinopathy, 0.60 (80% CI, 0.41-0.88) and 0.85 (95% CI, 0.52-0.98), respectively; metallic foreign bodies, 1.00 (95% CI, 0.78-1.00) and 0.99 (95% CI, 0.99-1.00), respectively; ocular amyloidosis, 0.77 (82% CI, 0.52-0.90) and 0.83 (80% CI, 0.49-0.88), respectively; and drug-induced UMSs, 0.64 (95% CI, 0.49-0.88) and 0.85 (95% CI, 0.52-0.98), respectively. Conclusions: Diagnosing UMS accurately can be quite challenging, and many of its different types frequently go undetected. This complexity in identification often leads to underdiagnosis, meaning it is essential to improve awareness and understanding of the condition in order to achieve better recognition and treatment. Early detection of these forms is imperative. The use of OBU can help diagnose indirect signs of these forms early and treat them promptly. It compares well with other diagnostic imaging techniques, such as MRI, but this does not mean that it replaces them; it can offer added value in multimodal imaging.

求助全文
通过发布文献求助,成功后即可免费获取论文全文。 去求助
来源期刊
Clinics and Practice
Clinics and Practice MEDICINE, GENERAL & INTERNAL-
CiteScore
2.60
自引率
4.30%
发文量
91
审稿时长
10 weeks
×
引用
GB/T 7714-2015
复制
MLA
复制
APA
复制
导出至
BibTeX EndNote RefMan NoteFirst NoteExpress
×
提示
您的信息不完整,为了账户安全,请先补充。
现在去补充
×
提示
您因"违规操作"
具体请查看互助需知
我知道了
×
提示
确定
请完成安全验证×
copy
已复制链接
快去分享给好友吧!
我知道了
右上角分享
点击右上角分享
0
联系我们:info@booksci.cn Book学术提供免费学术资源搜索服务,方便国内外学者检索中英文文献。致力于提供最便捷和优质的服务体验。 Copyright © 2023 布克学术 All rights reserved.
京ICP备2023020795号-1
ghs 京公网安备 11010802042870号
Book学术文献互助
Book学术文献互助群
群 号:604180095
Book学术官方微信