新发2型糖尿病合并糖尿病酮症酸中毒:晚期胰腺腺癌的前哨表现。

IF 0.7 Q4 ENDOCRINOLOGY & METABOLISM
Akbar Rasekhi Kazerouni, Sahar Ghahramani, Younes Khayyer, Shayan Yousufzai
{"title":"新发2型糖尿病合并糖尿病酮症酸中毒:晚期胰腺腺癌的前哨表现。","authors":"Akbar Rasekhi Kazerouni, Sahar Ghahramani, Younes Khayyer, Shayan Yousufzai","doi":"10.1530/EDM-25-0026","DOIUrl":null,"url":null,"abstract":"<p><strong>Summary: </strong>Diabetic ketoacidosis (DKA), typically linked to type 1 diabetes or acute illness in type 2 diabetes, can rarely be triggered by pancreatic adenocarcinoma (PA). Though 80% of PA patients have glucose intolerance, DKA is exceptionally uncommon, with fewer than 20 documented cases. A 52-year-old woman with new-onset type 2 diabetes presented with altered mental status, abdominal pain, and 23 kg weight loss over 2 months. Labs confirmed DKA (glucose: 439 mg/dL, pH 7.1, ketonuria). Elevated tumor markers (CA19-9: >10,000 U/mL, CEA: 365 ng/mL) and imaging revealed a 4 cm pancreatic mass with metastases, biopsy-proven as PA. This case underscores PA as a rare but critical DKA precipitant in new-onset diabetes. Unexplained hyperglycemia, rapid weight loss, and markedly elevated tumor markers should prompt malignancy screening. Early multidisciplinary intervention may improve outcomes in this aggressive cancer. Clinicians must maintain high suspicion for occult PA in atypical DKA presentations.</p><p><strong>Learning points: </strong>Unexplained weight loss alongside newly-identified type 2 DM warrants thorough evaluation for occult malignancy. Elevated CA19-9 and CEA in the context of new-onset diabetes should raise suspicion for pancreatic malignancy. DKA may rarely serve as the initial manifestation of pancreatic cancer in newly-identified type 2 DM cases, necessitating a high index of clinical suspicion.</p>","PeriodicalId":37467,"journal":{"name":"Endocrinology, Diabetes and Metabolism Case Reports","volume":"2025 2","pages":""},"PeriodicalIF":0.7000,"publicationDate":"2025-05-23","publicationTypes":"Journal Article","fieldsOfStudy":null,"isOpenAccess":false,"openAccessPdf":"https://www.ncbi.nlm.nih.gov/pmc/articles/PMC12122053/pdf/","citationCount":"0","resultStr":"{\"title\":\"New-onset type 2 diabetes mellitus complicated by diabetic ketoacidosis: a sentinel presentation of advanced pancreatic adenocarcinoma.\",\"authors\":\"Akbar Rasekhi Kazerouni, Sahar Ghahramani, Younes Khayyer, Shayan Yousufzai\",\"doi\":\"10.1530/EDM-25-0026\",\"DOIUrl\":null,\"url\":null,\"abstract\":\"<p><strong>Summary: </strong>Diabetic ketoacidosis (DKA), typically linked to type 1 diabetes or acute illness in type 2 diabetes, can rarely be triggered by pancreatic adenocarcinoma (PA). Though 80% of PA patients have glucose intolerance, DKA is exceptionally uncommon, with fewer than 20 documented cases. A 52-year-old woman with new-onset type 2 diabetes presented with altered mental status, abdominal pain, and 23 kg weight loss over 2 months. Labs confirmed DKA (glucose: 439 mg/dL, pH 7.1, ketonuria). Elevated tumor markers (CA19-9: >10,000 U/mL, CEA: 365 ng/mL) and imaging revealed a 4 cm pancreatic mass with metastases, biopsy-proven as PA. This case underscores PA as a rare but critical DKA precipitant in new-onset diabetes. Unexplained hyperglycemia, rapid weight loss, and markedly elevated tumor markers should prompt malignancy screening. Early multidisciplinary intervention may improve outcomes in this aggressive cancer. Clinicians must maintain high suspicion for occult PA in atypical DKA presentations.</p><p><strong>Learning points: </strong>Unexplained weight loss alongside newly-identified type 2 DM warrants thorough evaluation for occult malignancy. Elevated CA19-9 and CEA in the context of new-onset diabetes should raise suspicion for pancreatic malignancy. DKA may rarely serve as the initial manifestation of pancreatic cancer in newly-identified type 2 DM cases, necessitating a high index of clinical suspicion.</p>\",\"PeriodicalId\":37467,\"journal\":{\"name\":\"Endocrinology, Diabetes and Metabolism Case Reports\",\"volume\":\"2025 2\",\"pages\":\"\"},\"PeriodicalIF\":0.7000,\"publicationDate\":\"2025-05-23\",\"publicationTypes\":\"Journal Article\",\"fieldsOfStudy\":null,\"isOpenAccess\":false,\"openAccessPdf\":\"https://www.ncbi.nlm.nih.gov/pmc/articles/PMC12122053/pdf/\",\"citationCount\":\"0\",\"resultStr\":null,\"platform\":\"Semanticscholar\",\"paperid\":null,\"PeriodicalName\":\"Endocrinology, Diabetes and Metabolism Case Reports\",\"FirstCategoryId\":\"1085\",\"ListUrlMain\":\"https://doi.org/10.1530/EDM-25-0026\",\"RegionNum\":0,\"RegionCategory\":null,\"ArticlePicture\":[],\"TitleCN\":null,\"AbstractTextCN\":null,\"PMCID\":null,\"EPubDate\":\"2025/4/1 0:00:00\",\"PubModel\":\"Print\",\"JCR\":\"Q4\",\"JCRName\":\"ENDOCRINOLOGY & METABOLISM\",\"Score\":null,\"Total\":0}","platform":"Semanticscholar","paperid":null,"PeriodicalName":"Endocrinology, Diabetes and Metabolism Case Reports","FirstCategoryId":"1085","ListUrlMain":"https://doi.org/10.1530/EDM-25-0026","RegionNum":0,"RegionCategory":null,"ArticlePicture":[],"TitleCN":null,"AbstractTextCN":null,"PMCID":null,"EPubDate":"2025/4/1 0:00:00","PubModel":"Print","JCR":"Q4","JCRName":"ENDOCRINOLOGY & METABOLISM","Score":null,"Total":0}
引用次数: 0

摘要

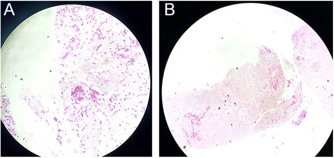
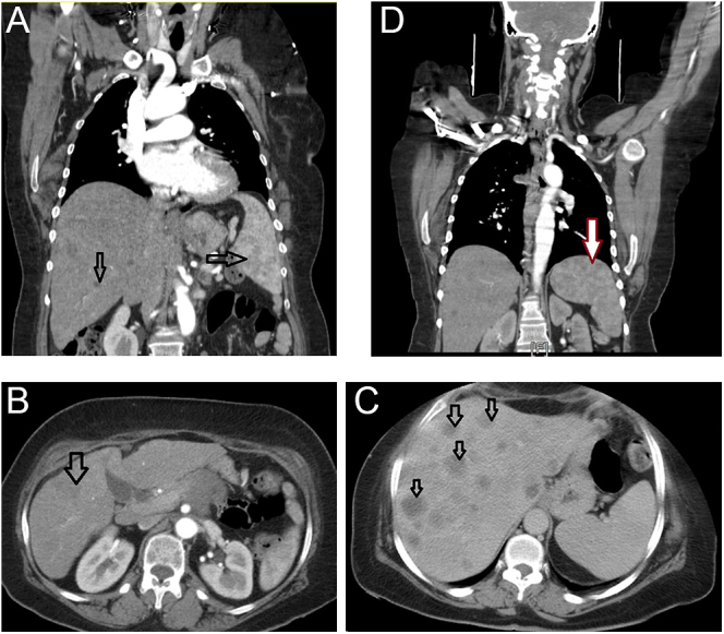
摘要:糖尿病酮症酸中毒(DKA)通常与1型糖尿病或2型糖尿病的急性疾病有关,很少由胰腺腺癌(PA)引发。虽然80%的PA患者有葡萄糖耐受不良,但DKA异常罕见,只有不到20例记录在案。一名新发2型糖尿病的52岁女性患者表现为精神状态改变,腹痛,2个月内体重减轻23公斤。实验室确认DKA(葡萄糖:439 mg/dL, pH 7.1,尿酮)。肿瘤标志物升高(CA19-9: 100 000 U/mL, CEA: 365 ng/mL)和影像学显示胰腺有一个4厘米的肿块并转移,活检证实为PA。本病例强调PA在新发糖尿病中是一种罕见但关键的DKA诱因。不明原因的高血糖、体重迅速下降和肿瘤标志物明显升高应提示恶性筛查。早期多学科干预可能改善这种侵袭性癌症的预后。临床医生必须对不典型DKA表现的隐匿性PA保持高度怀疑。学习要点:不明原因的体重减轻和新发现的2型糖尿病需要彻底评估隐匿性恶性肿瘤。新发糖尿病患者CA19-9和CEA升高应引起对胰腺恶性肿瘤的怀疑。在新发现的2型糖尿病病例中,DKA可能很少作为胰腺癌的初始表现,因此需要高度的临床怀疑。
本文章由计算机程序翻译,如有差异,请以英文原文为准。

New-onset type 2 diabetes mellitus complicated by diabetic ketoacidosis: a sentinel presentation of advanced pancreatic adenocarcinoma.

New-onset type 2 diabetes mellitus complicated by diabetic ketoacidosis: a sentinel presentation of advanced pancreatic adenocarcinoma.

New-onset type 2 diabetes mellitus complicated by diabetic ketoacidosis: a sentinel presentation of advanced pancreatic adenocarcinoma.

New-onset type 2 diabetes mellitus complicated by diabetic ketoacidosis: a sentinel presentation of advanced pancreatic adenocarcinoma.

Summary: Diabetic ketoacidosis (DKA), typically linked to type 1 diabetes or acute illness in type 2 diabetes, can rarely be triggered by pancreatic adenocarcinoma (PA). Though 80% of PA patients have glucose intolerance, DKA is exceptionally uncommon, with fewer than 20 documented cases. A 52-year-old woman with new-onset type 2 diabetes presented with altered mental status, abdominal pain, and 23 kg weight loss over 2 months. Labs confirmed DKA (glucose: 439 mg/dL, pH 7.1, ketonuria). Elevated tumor markers (CA19-9: >10,000 U/mL, CEA: 365 ng/mL) and imaging revealed a 4 cm pancreatic mass with metastases, biopsy-proven as PA. This case underscores PA as a rare but critical DKA precipitant in new-onset diabetes. Unexplained hyperglycemia, rapid weight loss, and markedly elevated tumor markers should prompt malignancy screening. Early multidisciplinary intervention may improve outcomes in this aggressive cancer. Clinicians must maintain high suspicion for occult PA in atypical DKA presentations.

Learning points: Unexplained weight loss alongside newly-identified type 2 DM warrants thorough evaluation for occult malignancy. Elevated CA19-9 and CEA in the context of new-onset diabetes should raise suspicion for pancreatic malignancy. DKA may rarely serve as the initial manifestation of pancreatic cancer in newly-identified type 2 DM cases, necessitating a high index of clinical suspicion.

求助全文
通过发布文献求助,成功后即可免费获取论文全文。 去求助
来源期刊
CiteScore
1.50
自引率
0.00%
发文量
142
审稿时长
9 weeks
期刊介绍: Endocrinology, Diabetes & Metabolism Case Reports publishes case reports on common and rare conditions in all areas of clinical endocrinology, diabetes and metabolism. Articles should include clear learning points which readers can use to inform medical education or clinical practice. The types of cases of interest to Endocrinology, Diabetes & Metabolism Case Reports include: -Insight into disease pathogenesis or mechanism of therapy - Novel diagnostic procedure - Novel treatment - Unique/unexpected symptoms or presentations of a disease - New disease or syndrome: presentations/diagnosis/management - Unusual effects of medical treatment - Error in diagnosis/pitfalls and caveats
×
引用
GB/T 7714-2015
复制
MLA
复制
APA
复制
导出至
BibTeX EndNote RefMan NoteFirst NoteExpress
×
提示
您的信息不完整,为了账户安全,请先补充。
现在去补充
×
提示
您因"违规操作"
具体请查看互助需知
我知道了
×
提示
确定
请完成安全验证×
copy
已复制链接
快去分享给好友吧!
我知道了
右上角分享
点击右上角分享
0
联系我们:info@booksci.cn Book学术提供免费学术资源搜索服务,方便国内外学者检索中英文文献。致力于提供最便捷和优质的服务体验。 Copyright © 2023 布克学术 All rights reserved.
京ICP备2023020795号-1
ghs 京公网安备 11010802042870号
Book学术文献互助
Book学术文献互助群
群 号:604180095
Book学术官方微信