基于KRAS突变状态和临床病理特征的结直肠癌患者S102位点磷酸化y -box结合蛋白1亚细胞分布

IF 4.5 2区 医学 Q1 Biochemistry, Genetics and Molecular Biology
Molecular Oncology Pub Date : 2025-10-01 Epub Date: 2025-05-26 DOI:10.1002/1878-0261.70060
Konstanze Lettau, Stephan Forchhammer, Birgit Fehrenbacher, Lejla Mahmutovic, Marcus Scharpf, Gunnar Blumenstock, Martin Schaller, Irina Bonzheim, Shayan Khozooei, Mahmoud Toulany
{"title":"基于KRAS突变状态和临床病理特征的结直肠癌患者S102位点磷酸化y -box结合蛋白1亚细胞分布","authors":"Konstanze Lettau, Stephan Forchhammer, Birgit Fehrenbacher, Lejla Mahmutovic, Marcus Scharpf, Gunnar Blumenstock, Martin Schaller, Irina Bonzheim, Shayan Khozooei, Mahmoud Toulany","doi":"10.1002/1878-0261.70060","DOIUrl":null,"url":null,"abstract":"<p><p>Oncoprotein Y-box-binding protein-1 (YB-1) is involved in all cancer hallmarks. One of the most studied post-translational modifications of YB-1 is phosphorylation on Serine 102 (S102), which is involved in cancer progression. KRAS mutations are frequent, have been associated with poor prognosis and therapy resistance, and they are considered a major stimulator of S102 YB-1 in vitro. In this study, a relationship between S102 YB-1 phosphorylation in subcellular fractions and KRAS mutation was investigated in CRC tissues, and its association with clinicopathological parameters was analyzed. Immunohistochemistry on 36 patient samples and 5 normal tissue samples highlighted nuclear S102 YB-1 was specific to cancer tissues. Nuclear S102 YB-1 was expressed in 47.2% of tumor tissues, which was positively correlated with KRAS mutation (P = 0.017). There was no significant association between cytoplasmic S102 YB-1 with KRAS mutation status (P = 0.391). Further studies in larger cohorts are needed to validate the observed results. The significant association between S102 YB-1 in the nucleus and KRAS mutation may suggest YB-1 as an effective target to improve survival of CRC patients with KRAS-mutated tumors.</p>","PeriodicalId":18764,"journal":{"name":"Molecular Oncology","volume":" ","pages":"2936-2950"},"PeriodicalIF":4.5000,"publicationDate":"2025-10-01","publicationTypes":"Journal Article","fieldsOfStudy":null,"isOpenAccess":false,"openAccessPdf":"https://www.ncbi.nlm.nih.gov/pmc/articles/PMC12515716/pdf/","citationCount":"0","resultStr":"{\"title\":\"The subcellular distribution of phosphorylated Y-box-binding protein-1 at S102 in colorectal cancer patients, stratified by KRAS mutational status and clinicopathological features.\",\"authors\":\"Konstanze Lettau, Stephan Forchhammer, Birgit Fehrenbacher, Lejla Mahmutovic, Marcus Scharpf, Gunnar Blumenstock, Martin Schaller, Irina Bonzheim, Shayan Khozooei, Mahmoud Toulany\",\"doi\":\"10.1002/1878-0261.70060\",\"DOIUrl\":null,\"url\":null,\"abstract\":\"<p><p>Oncoprotein Y-box-binding protein-1 (YB-1) is involved in all cancer hallmarks. One of the most studied post-translational modifications of YB-1 is phosphorylation on Serine 102 (S102), which is involved in cancer progression. KRAS mutations are frequent, have been associated with poor prognosis and therapy resistance, and they are considered a major stimulator of S102 YB-1 in vitro. In this study, a relationship between S102 YB-1 phosphorylation in subcellular fractions and KRAS mutation was investigated in CRC tissues, and its association with clinicopathological parameters was analyzed. Immunohistochemistry on 36 patient samples and 5 normal tissue samples highlighted nuclear S102 YB-1 was specific to cancer tissues. Nuclear S102 YB-1 was expressed in 47.2% of tumor tissues, which was positively correlated with KRAS mutation (P = 0.017). There was no significant association between cytoplasmic S102 YB-1 with KRAS mutation status (P = 0.391). Further studies in larger cohorts are needed to validate the observed results. The significant association between S102 YB-1 in the nucleus and KRAS mutation may suggest YB-1 as an effective target to improve survival of CRC patients with KRAS-mutated tumors.</p>\",\"PeriodicalId\":18764,\"journal\":{\"name\":\"Molecular Oncology\",\"volume\":\" \",\"pages\":\"2936-2950\"},\"PeriodicalIF\":4.5000,\"publicationDate\":\"2025-10-01\",\"publicationTypes\":\"Journal Article\",\"fieldsOfStudy\":null,\"isOpenAccess\":false,\"openAccessPdf\":\"https://www.ncbi.nlm.nih.gov/pmc/articles/PMC12515716/pdf/\",\"citationCount\":\"0\",\"resultStr\":null,\"platform\":\"Semanticscholar\",\"paperid\":null,\"PeriodicalName\":\"Molecular Oncology\",\"FirstCategoryId\":\"3\",\"ListUrlMain\":\"https://doi.org/10.1002/1878-0261.70060\",\"RegionNum\":2,\"RegionCategory\":\"医学\",\"ArticlePicture\":[],\"TitleCN\":null,\"AbstractTextCN\":null,\"PMCID\":null,\"EPubDate\":\"2025/5/26 0:00:00\",\"PubModel\":\"Epub\",\"JCR\":\"Q1\",\"JCRName\":\"Biochemistry, Genetics and Molecular Biology\",\"Score\":null,\"Total\":0}","platform":"Semanticscholar","paperid":null,"PeriodicalName":"Molecular Oncology","FirstCategoryId":"3","ListUrlMain":"https://doi.org/10.1002/1878-0261.70060","RegionNum":2,"RegionCategory":"医学","ArticlePicture":[],"TitleCN":null,"AbstractTextCN":null,"PMCID":null,"EPubDate":"2025/5/26 0:00:00","PubModel":"Epub","JCR":"Q1","JCRName":"Biochemistry, Genetics and Molecular Biology","Score":null,"Total":0}
引用次数: 0

摘要

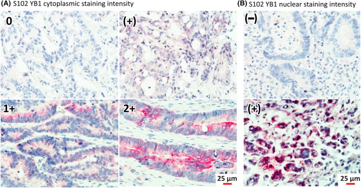
肿瘤蛋白y -box结合蛋白-1 (YB-1)参与所有的癌症标志。研究最多的YB-1翻译后修饰之一是丝氨酸102 (S102)的磷酸化,这与癌症进展有关。KRAS突变频繁,与预后不良和治疗耐药有关,它们被认为是体外S102 YB-1的主要刺激因子。本研究探讨了结直肠癌组织中亚细胞部分S102 YB-1磷酸化与KRAS突变的关系,并分析了其与临床病理参数的关系。36例患者样本和5例正常组织样本的免疫组化显示核S102 YB-1是肿瘤组织特异性的。核S102 YB-1在47.2%的肿瘤组织中表达,与KRAS突变呈正相关(P = 0.017)。细胞质S102 YB-1与KRAS突变状态无显著相关性(P = 0.391)。需要在更大的队列中进行进一步的研究来验证观察到的结果。细胞核中S102 YB-1与KRAS突变之间的显著相关性可能提示YB-1是提高KRAS突变肿瘤结直肠癌患者生存率的有效靶点。
本文章由计算机程序翻译,如有差异,请以英文原文为准。

The subcellular distribution of phosphorylated Y-box-binding protein-1 at S102 in colorectal cancer patients, stratified by KRAS mutational status and clinicopathological features.

The subcellular distribution of phosphorylated Y-box-binding protein-1 at S102 in colorectal cancer patients, stratified by KRAS mutational status and clinicopathological features.

The subcellular distribution of phosphorylated Y-box-binding protein-1 at S102 in colorectal cancer patients, stratified by KRAS mutational status and clinicopathological features.

The subcellular distribution of phosphorylated Y-box-binding protein-1 at S102 in colorectal cancer patients, stratified by KRAS mutational status and clinicopathological features.

Oncoprotein Y-box-binding protein-1 (YB-1) is involved in all cancer hallmarks. One of the most studied post-translational modifications of YB-1 is phosphorylation on Serine 102 (S102), which is involved in cancer progression. KRAS mutations are frequent, have been associated with poor prognosis and therapy resistance, and they are considered a major stimulator of S102 YB-1 in vitro. In this study, a relationship between S102 YB-1 phosphorylation in subcellular fractions and KRAS mutation was investigated in CRC tissues, and its association with clinicopathological parameters was analyzed. Immunohistochemistry on 36 patient samples and 5 normal tissue samples highlighted nuclear S102 YB-1 was specific to cancer tissues. Nuclear S102 YB-1 was expressed in 47.2% of tumor tissues, which was positively correlated with KRAS mutation (P = 0.017). There was no significant association between cytoplasmic S102 YB-1 with KRAS mutation status (P = 0.391). Further studies in larger cohorts are needed to validate the observed results. The significant association between S102 YB-1 in the nucleus and KRAS mutation may suggest YB-1 as an effective target to improve survival of CRC patients with KRAS-mutated tumors.

求助全文
通过发布文献求助,成功后即可免费获取论文全文。 去求助
来源期刊
Molecular Oncology
Molecular Oncology Biochemistry, Genetics and Molecular Biology-Molecular Medicine
CiteScore
11.80
自引率
1.50%
发文量
203
审稿时长
10 weeks
期刊介绍: Molecular Oncology highlights new discoveries, approaches, and technical developments, in basic, clinical and discovery-driven translational cancer research. It publishes research articles, reviews (by invitation only), and timely science policy articles. The journal is now fully Open Access with all articles published over the past 10 years freely available.
×
引用
GB/T 7714-2015
复制
MLA
复制
APA
复制
导出至
BibTeX EndNote RefMan NoteFirst NoteExpress
×
提示
您的信息不完整,为了账户安全,请先补充。
现在去补充
×
提示
您因"违规操作"
具体请查看互助需知
我知道了
×
提示
确定
请完成安全验证×
copy
已复制链接
快去分享给好友吧!
我知道了
右上角分享
点击右上角分享
0
联系我们:info@booksci.cn Book学术提供免费学术资源搜索服务,方便国内外学者检索中英文文献。致力于提供最便捷和优质的服务体验。 Copyright © 2023 布克学术 All rights reserved.
京ICP备2023020795号-1
ghs 京公网安备 11010802042870号
Book学术文献互助
Book学术文献互助群
群 号:604180095
Book学术官方微信