西洛他唑和阿司匹林对大鼠脑卒中超急性期影响的实验研究。

IF 3 Q2 CLINICAL NEUROLOGY
Christiana Anastasiadou, Anastasios Papapetrou, George Galyfos, Kostas Vekrellis, Patroklos Katafygiotis, Andreas Lazaris, George Geroulakos, Angelos Megalopoulos, Christos Liapis, Nikolaos Kostomitsopoulos, John Kakisis
{"title":"西洛他唑和阿司匹林对大鼠脑卒中超急性期影响的实验研究。","authors":"Christiana Anastasiadou, Anastasios Papapetrou, George Galyfos, Kostas Vekrellis, Patroklos Katafygiotis, Andreas Lazaris, George Geroulakos, Angelos Megalopoulos, Christos Liapis, Nikolaos Kostomitsopoulos, John Kakisis","doi":"10.3390/neurolint17050069","DOIUrl":null,"url":null,"abstract":"<p><strong>Objective: </strong>The contralateral hippocampus, a critical region for cognitive function, is often overlooked in everyday clinical practice and stroke research. This study aimed to evaluate the effect of specific antiplatelet agents on the hippocampus (ipsilateral and contralateral) during the hyperacute phase of stroke.</p><p><strong>Materials and methods: </strong>Twelve-week-old rats were randomly assigned to four groups, each containing six rats: a cilostazol group, an aspirin group, an aspirin plus cilostazol group, and a control group. Each substance was administered for four weeks. Permanent brain ischemia was induced over 2 h using intraluminal middle cerebral artery occlusion. A neurologic examination was conducted, followed by euthanasia and histological examination of the CA1 hippocampal region. The hematoxylin and eosin stain was used to assess the total number of intact neuronal cell bodies and pyknotic nuclei, an indicator of early irreversible neuronal injury.</p><p><strong>Results: </strong>In the ipsilateral hippocampus, monotherapy with either aspirin or cilostazol significantly reduced pyknotic nuclei compared with the control group (<i>p</i> = 0.0016 and <i>p</i> = 0.0165, respectively). However, combination therapy showed no significant difference from the controls (<i>p</i> = 0.2375). In the contralateral hippocampus, cilostazol monotherapy demonstrated significantly reduced pyknotic nuclei (<i>p</i> = 0.0098), whereas aspirin monotherapy and combination therapy did not (<i>p</i> = 0.1009 and <i>p</i> = 0.9999, respectively). A cumulative analysis of both hemispheres revealed that monotherapy with aspirin or cilostazol markedly reduced injury markers (<i>p</i> = 0.0002 and <i>p</i> = 0.0001, respectively), whereas combined therapy revealed no significant benefit (<i>p</i> = 0.1984). A neurological assessment indicated that the most severe deficits were in the combination therapy group.</p><p><strong>Conclusions: </strong>To the best of our knowledge, this is the first study to compare acute histopathological changes in the affected and unaffected hippocampus after a stroke in a rat model. Dual antiplatelet therapy resulted in worse outcomes (histopathological and neurological) than monotherapy.</p>","PeriodicalId":19130,"journal":{"name":"Neurology International","volume":"17 5","pages":""},"PeriodicalIF":3.0000,"publicationDate":"2025-04-28","publicationTypes":"Journal Article","fieldsOfStudy":null,"isOpenAccess":false,"openAccessPdf":"https://www.ncbi.nlm.nih.gov/pmc/articles/PMC12114208/pdf/","citationCount":"0","resultStr":"{\"title\":\"Effect of Cilostazol and Aspirin During Hyperacute Stroke Phase in Rats: An Experimental Research Study.\",\"authors\":\"Christiana Anastasiadou, Anastasios Papapetrou, George Galyfos, Kostas Vekrellis, Patroklos Katafygiotis, Andreas Lazaris, George Geroulakos, Angelos Megalopoulos, Christos Liapis, Nikolaos Kostomitsopoulos, John Kakisis\",\"doi\":\"10.3390/neurolint17050069\",\"DOIUrl\":null,\"url\":null,\"abstract\":\"<p><strong>Objective: </strong>The contralateral hippocampus, a critical region for cognitive function, is often overlooked in everyday clinical practice and stroke research. This study aimed to evaluate the effect of specific antiplatelet agents on the hippocampus (ipsilateral and contralateral) during the hyperacute phase of stroke.</p><p><strong>Materials and methods: </strong>Twelve-week-old rats were randomly assigned to four groups, each containing six rats: a cilostazol group, an aspirin group, an aspirin plus cilostazol group, and a control group. Each substance was administered for four weeks. Permanent brain ischemia was induced over 2 h using intraluminal middle cerebral artery occlusion. A neurologic examination was conducted, followed by euthanasia and histological examination of the CA1 hippocampal region. The hematoxylin and eosin stain was used to assess the total number of intact neuronal cell bodies and pyknotic nuclei, an indicator of early irreversible neuronal injury.</p><p><strong>Results: </strong>In the ipsilateral hippocampus, monotherapy with either aspirin or cilostazol significantly reduced pyknotic nuclei compared with the control group (<i>p</i> = 0.0016 and <i>p</i> = 0.0165, respectively). However, combination therapy showed no significant difference from the controls (<i>p</i> = 0.2375). In the contralateral hippocampus, cilostazol monotherapy demonstrated significantly reduced pyknotic nuclei (<i>p</i> = 0.0098), whereas aspirin monotherapy and combination therapy did not (<i>p</i> = 0.1009 and <i>p</i> = 0.9999, respectively). A cumulative analysis of both hemispheres revealed that monotherapy with aspirin or cilostazol markedly reduced injury markers (<i>p</i> = 0.0002 and <i>p</i> = 0.0001, respectively), whereas combined therapy revealed no significant benefit (<i>p</i> = 0.1984). A neurological assessment indicated that the most severe deficits were in the combination therapy group.</p><p><strong>Conclusions: </strong>To the best of our knowledge, this is the first study to compare acute histopathological changes in the affected and unaffected hippocampus after a stroke in a rat model. Dual antiplatelet therapy resulted in worse outcomes (histopathological and neurological) than monotherapy.</p>\",\"PeriodicalId\":19130,\"journal\":{\"name\":\"Neurology International\",\"volume\":\"17 5\",\"pages\":\"\"},\"PeriodicalIF\":3.0000,\"publicationDate\":\"2025-04-28\",\"publicationTypes\":\"Journal Article\",\"fieldsOfStudy\":null,\"isOpenAccess\":false,\"openAccessPdf\":\"https://www.ncbi.nlm.nih.gov/pmc/articles/PMC12114208/pdf/\",\"citationCount\":\"0\",\"resultStr\":null,\"platform\":\"Semanticscholar\",\"paperid\":null,\"PeriodicalName\":\"Neurology International\",\"FirstCategoryId\":\"1085\",\"ListUrlMain\":\"https://doi.org/10.3390/neurolint17050069\",\"RegionNum\":0,\"RegionCategory\":null,\"ArticlePicture\":[],\"TitleCN\":null,\"AbstractTextCN\":null,\"PMCID\":null,\"EPubDate\":\"\",\"PubModel\":\"\",\"JCR\":\"Q2\",\"JCRName\":\"CLINICAL NEUROLOGY\",\"Score\":null,\"Total\":0}","platform":"Semanticscholar","paperid":null,"PeriodicalName":"Neurology International","FirstCategoryId":"1085","ListUrlMain":"https://doi.org/10.3390/neurolint17050069","RegionNum":0,"RegionCategory":null,"ArticlePicture":[],"TitleCN":null,"AbstractTextCN":null,"PMCID":null,"EPubDate":"","PubModel":"","JCR":"Q2","JCRName":"CLINICAL NEUROLOGY","Score":null,"Total":0}
引用次数: 0

摘要

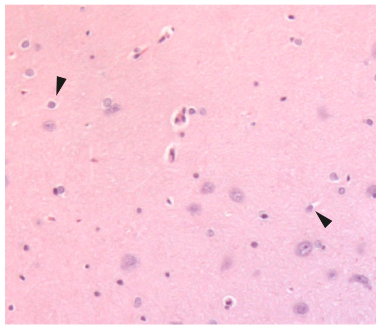
目的:对侧海马是认知功能的关键区域,在日常临床实践和脑卒中研究中经常被忽视。本研究旨在评估特异性抗血小板药物对脑卒中超急性期海马(同侧和对侧)的影响。材料与方法:12周龄大鼠随机分为4组,每组6只:西洛他唑组、阿司匹林组、阿司匹林+西洛他唑组和对照组。每种药物的使用时间为四周。用脑腔内阻断大脑中动脉2 h诱导永久性脑缺血。行神经学检查、安乐死和CA1海马区组织学检查。苏木精和伊红染色测定完整的神经元细胞体和核固缩的总数,这是早期不可逆神经元损伤的指标。结果:同侧海马区,与对照组相比,阿司匹林或西洛他唑单药治疗可显著减少缩缩核(p = 0.0016和p = 0.0165)。然而,联合治疗与对照组无显著差异(p = 0.2375)。在对侧海马中,西洛他唑单药治疗显著减少了缩缩核(p = 0.0098),而阿司匹林单药治疗和联合治疗则没有(p = 0.1009和p = 0.9999)。对两个大脑半球的累积分析显示,阿司匹林或西洛他唑单药治疗可显著降低损伤标志物(p = 0.0002和p = 0.0001),而联合治疗无显著益处(p = 0.1984)。神经学评估表明,最严重的缺陷是在联合治疗组。结论:据我们所知,这是第一个比较大鼠模型中风后受影响和未受影响海马的急性组织病理学变化的研究。双重抗血小板治疗的结果(组织病理学和神经学)比单一治疗更差。
本文章由计算机程序翻译,如有差异,请以英文原文为准。

Effect of Cilostazol and Aspirin During Hyperacute Stroke Phase in Rats: An Experimental Research Study.

Effect of Cilostazol and Aspirin During Hyperacute Stroke Phase in Rats: An Experimental Research Study.

Effect of Cilostazol and Aspirin During Hyperacute Stroke Phase in Rats: An Experimental Research Study.

Effect of Cilostazol and Aspirin During Hyperacute Stroke Phase in Rats: An Experimental Research Study.

Objective: The contralateral hippocampus, a critical region for cognitive function, is often overlooked in everyday clinical practice and stroke research. This study aimed to evaluate the effect of specific antiplatelet agents on the hippocampus (ipsilateral and contralateral) during the hyperacute phase of stroke.

Materials and methods: Twelve-week-old rats were randomly assigned to four groups, each containing six rats: a cilostazol group, an aspirin group, an aspirin plus cilostazol group, and a control group. Each substance was administered for four weeks. Permanent brain ischemia was induced over 2 h using intraluminal middle cerebral artery occlusion. A neurologic examination was conducted, followed by euthanasia and histological examination of the CA1 hippocampal region. The hematoxylin and eosin stain was used to assess the total number of intact neuronal cell bodies and pyknotic nuclei, an indicator of early irreversible neuronal injury.

Results: In the ipsilateral hippocampus, monotherapy with either aspirin or cilostazol significantly reduced pyknotic nuclei compared with the control group (p = 0.0016 and p = 0.0165, respectively). However, combination therapy showed no significant difference from the controls (p = 0.2375). In the contralateral hippocampus, cilostazol monotherapy demonstrated significantly reduced pyknotic nuclei (p = 0.0098), whereas aspirin monotherapy and combination therapy did not (p = 0.1009 and p = 0.9999, respectively). A cumulative analysis of both hemispheres revealed that monotherapy with aspirin or cilostazol markedly reduced injury markers (p = 0.0002 and p = 0.0001, respectively), whereas combined therapy revealed no significant benefit (p = 0.1984). A neurological assessment indicated that the most severe deficits were in the combination therapy group.

Conclusions: To the best of our knowledge, this is the first study to compare acute histopathological changes in the affected and unaffected hippocampus after a stroke in a rat model. Dual antiplatelet therapy resulted in worse outcomes (histopathological and neurological) than monotherapy.

求助全文
通过发布文献求助,成功后即可免费获取论文全文。 去求助
来源期刊
Neurology International
Neurology International CLINICAL NEUROLOGY-
CiteScore
3.70
自引率
3.30%
发文量
69
审稿时长
11 weeks
×
引用
GB/T 7714-2015
复制
MLA
复制
APA
复制
导出至
BibTeX EndNote RefMan NoteFirst NoteExpress
×
提示
您的信息不完整,为了账户安全,请先补充。
现在去补充
×
提示
您因"违规操作"
具体请查看互助需知
我知道了
×
提示
确定
请完成安全验证×
copy
已复制链接
快去分享给好友吧!
我知道了
右上角分享
点击右上角分享
0
联系我们:info@booksci.cn Book学术提供免费学术资源搜索服务,方便国内外学者检索中英文文献。致力于提供最便捷和优质的服务体验。 Copyright © 2023 布克学术 All rights reserved.
京ICP备2023020795号-1
ghs 京公网安备 11010802042870号
Book学术文献互助
Book学术文献互助群
群 号:604180095
Book学术官方微信