purtscher样视网膜病变合并肾脏损害:1例报告及文献复习。

IF 0.9 Q4 UROLOGY & NEPHROLOGY
Case Reports in Nephrology and Dialysis Pub Date : 2025-04-22 eCollection Date: 2025-01-01 DOI:10.1159/000546027
Melita Virpšaitė, Giedrė Žulpaitė, Marius Miglinas
{"title":"purtscher样视网膜病变合并肾脏损害:1例报告及文献复习。","authors":"Melita Virpšaitė, Giedrė Žulpaitė, Marius Miglinas","doi":"10.1159/000546027","DOIUrl":null,"url":null,"abstract":"<p><strong>Introduction: </strong>Purtscher-like retinopathy (PLR) is a rare retinal vasculopathy characterized by acute vision loss. It is typically associated with systemic diseases such as renal impairment. The combined incidence of Purtscher retinopathy and PLR is estimated at 0.24 cases per million annually. The hallmark of PLR is sudden-onset visual acuity reduction accompanied by retinal findings, including Purtscher flecken, hemorrhages, and cotton-wool spots.</p><p><strong>Case presentation: </strong>We report a 46-year-old male with a history of chronic hypertension, dyslipidemia, cryoglobulinemia, and multiple viral infections, presenting with sudden bilateral vision loss. Fundoscopy revealed retinal swelling, hemorrhages, and exudation. Laboratory findings indicated impaired renal function (eGFR by CKD-EPI Cr 19 mL/min/1.73 m<sup>2</sup>), cryoglobulinemia, and signs of chronic kidney disease. A renal biopsy confirmed membranoproliferative glomerulonephritis with immune complex deposition. The patient was treated with corticosteroids, therapeutic apheresis, and supportive care. Visual acuity partially improved in one eye during hospitalization.</p><p><strong>Conclusion: </strong>PLR is a rare condition often linked to systemic diseases such as renal failure. Its pathophysiology involves retinal microvascular damage, potentially mediated by complement activation. Diagnosis is based on characteristic fundoscopic findings and associated systemic conditions. Corticosteroids remain the most commonly used treatment, although evidence for their efficacy is limited. This case highlights the rare overlap between PLR and renal impairment, emphasizing the importance of early recognition and multidisciplinary management. Further research is needed to elucidate the pathophysiology and optimize treatment protocols for PLR.</p>","PeriodicalId":9599,"journal":{"name":"Case Reports in Nephrology and Dialysis","volume":"15 1","pages":"105-112"},"PeriodicalIF":0.9000,"publicationDate":"2025-04-22","publicationTypes":"Journal Article","fieldsOfStudy":null,"isOpenAccess":false,"openAccessPdf":"https://www.ncbi.nlm.nih.gov/pmc/articles/PMC12105833/pdf/","citationCount":"0","resultStr":"{\"title\":\"Purtscher-Like Retinopathy with Renal Impairment: A Case Report and Review of the Literature.\",\"authors\":\"Melita Virpšaitė, Giedrė Žulpaitė, Marius Miglinas\",\"doi\":\"10.1159/000546027\",\"DOIUrl\":null,\"url\":null,\"abstract\":\"<p><strong>Introduction: </strong>Purtscher-like retinopathy (PLR) is a rare retinal vasculopathy characterized by acute vision loss. It is typically associated with systemic diseases such as renal impairment. The combined incidence of Purtscher retinopathy and PLR is estimated at 0.24 cases per million annually. The hallmark of PLR is sudden-onset visual acuity reduction accompanied by retinal findings, including Purtscher flecken, hemorrhages, and cotton-wool spots.</p><p><strong>Case presentation: </strong>We report a 46-year-old male with a history of chronic hypertension, dyslipidemia, cryoglobulinemia, and multiple viral infections, presenting with sudden bilateral vision loss. Fundoscopy revealed retinal swelling, hemorrhages, and exudation. Laboratory findings indicated impaired renal function (eGFR by CKD-EPI Cr 19 mL/min/1.73 m<sup>2</sup>), cryoglobulinemia, and signs of chronic kidney disease. A renal biopsy confirmed membranoproliferative glomerulonephritis with immune complex deposition. The patient was treated with corticosteroids, therapeutic apheresis, and supportive care. Visual acuity partially improved in one eye during hospitalization.</p><p><strong>Conclusion: </strong>PLR is a rare condition often linked to systemic diseases such as renal failure. Its pathophysiology involves retinal microvascular damage, potentially mediated by complement activation. Diagnosis is based on characteristic fundoscopic findings and associated systemic conditions. Corticosteroids remain the most commonly used treatment, although evidence for their efficacy is limited. This case highlights the rare overlap between PLR and renal impairment, emphasizing the importance of early recognition and multidisciplinary management. Further research is needed to elucidate the pathophysiology and optimize treatment protocols for PLR.</p>\",\"PeriodicalId\":9599,\"journal\":{\"name\":\"Case Reports in Nephrology and Dialysis\",\"volume\":\"15 1\",\"pages\":\"105-112\"},\"PeriodicalIF\":0.9000,\"publicationDate\":\"2025-04-22\",\"publicationTypes\":\"Journal Article\",\"fieldsOfStudy\":null,\"isOpenAccess\":false,\"openAccessPdf\":\"https://www.ncbi.nlm.nih.gov/pmc/articles/PMC12105833/pdf/\",\"citationCount\":\"0\",\"resultStr\":null,\"platform\":\"Semanticscholar\",\"paperid\":null,\"PeriodicalName\":\"Case Reports in Nephrology and Dialysis\",\"FirstCategoryId\":\"1085\",\"ListUrlMain\":\"https://doi.org/10.1159/000546027\",\"RegionNum\":0,\"RegionCategory\":null,\"ArticlePicture\":[],\"TitleCN\":null,\"AbstractTextCN\":null,\"PMCID\":null,\"EPubDate\":\"2025/1/1 0:00:00\",\"PubModel\":\"eCollection\",\"JCR\":\"Q4\",\"JCRName\":\"UROLOGY & NEPHROLOGY\",\"Score\":null,\"Total\":0}","platform":"Semanticscholar","paperid":null,"PeriodicalName":"Case Reports in Nephrology and Dialysis","FirstCategoryId":"1085","ListUrlMain":"https://doi.org/10.1159/000546027","RegionNum":0,"RegionCategory":null,"ArticlePicture":[],"TitleCN":null,"AbstractTextCN":null,"PMCID":null,"EPubDate":"2025/1/1 0:00:00","PubModel":"eCollection","JCR":"Q4","JCRName":"UROLOGY & NEPHROLOGY","Score":null,"Total":0}
引用次数: 0

摘要

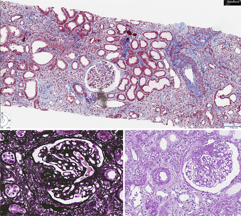
Purtscher-like retinopathy (PLR)是一种罕见的视网膜血管病变,以急性视力丧失为特征。它通常与肾脏损害等全身性疾病有关。Purtscher视网膜病变和PLR的合并发病率估计为每年每百万人0.24例。PLR的标志是突发性视力下降并伴有视网膜病变,包括普舍氏斑、出血和棉线斑。病例介绍:我们报告一位46岁男性,有慢性高血压、血脂异常、低温球蛋白血症和多种病毒感染史,表现为突然的双侧视力丧失。眼底镜检查显示视网膜肿胀、出血和渗出。实验室结果显示肾功能受损(eGFR由CKD-EPI Cr测定19 mL/min/1.73 m2)、冷球蛋白血症和慢性肾脏疾病的迹象。肾活检证实膜增生性肾小球肾炎伴免疫复合物沉积。患者接受皮质类固醇、治疗性分离和支持性护理。住院期间单眼视力部分改善。结论:PLR是一种罕见的疾病,常与肾功能衰竭等全身性疾病有关。其病理生理涉及视网膜微血管损伤,可能由补体激活介导。诊断是基于特征性的眼底检查结果和相关的全身状况。皮质类固醇仍然是最常用的治疗方法,尽管其有效性的证据有限。本病例强调了PLR和肾脏损害之间罕见的重叠,强调了早期识别和多学科治疗的重要性。需要进一步的研究来阐明PLR的病理生理学和优化治疗方案。
本文章由计算机程序翻译,如有差异,请以英文原文为准。

Purtscher-Like Retinopathy with Renal Impairment: A Case Report and Review of the Literature.

Purtscher-Like Retinopathy with Renal Impairment: A Case Report and Review of the Literature.

Introduction: Purtscher-like retinopathy (PLR) is a rare retinal vasculopathy characterized by acute vision loss. It is typically associated with systemic diseases such as renal impairment. The combined incidence of Purtscher retinopathy and PLR is estimated at 0.24 cases per million annually. The hallmark of PLR is sudden-onset visual acuity reduction accompanied by retinal findings, including Purtscher flecken, hemorrhages, and cotton-wool spots.

Case presentation: We report a 46-year-old male with a history of chronic hypertension, dyslipidemia, cryoglobulinemia, and multiple viral infections, presenting with sudden bilateral vision loss. Fundoscopy revealed retinal swelling, hemorrhages, and exudation. Laboratory findings indicated impaired renal function (eGFR by CKD-EPI Cr 19 mL/min/1.73 m2), cryoglobulinemia, and signs of chronic kidney disease. A renal biopsy confirmed membranoproliferative glomerulonephritis with immune complex deposition. The patient was treated with corticosteroids, therapeutic apheresis, and supportive care. Visual acuity partially improved in one eye during hospitalization.

Conclusion: PLR is a rare condition often linked to systemic diseases such as renal failure. Its pathophysiology involves retinal microvascular damage, potentially mediated by complement activation. Diagnosis is based on characteristic fundoscopic findings and associated systemic conditions. Corticosteroids remain the most commonly used treatment, although evidence for their efficacy is limited. This case highlights the rare overlap between PLR and renal impairment, emphasizing the importance of early recognition and multidisciplinary management. Further research is needed to elucidate the pathophysiology and optimize treatment protocols for PLR.

求助全文
通过发布文献求助,成功后即可免费获取论文全文。 去求助
来源期刊
CiteScore
1.20
自引率
0.00%
发文量
36
审稿时长
10 weeks
期刊介绍: This peer-reviewed online-only journal publishes original case reports covering the entire spectrum of nephrology and dialysis, including genetic susceptibility, clinical presentation, diagnosis, treatment or prevention, toxicities of therapy, critical care, supportive care, quality-of-life and survival issues. The journal will also accept case reports dealing with the use of novel technologies, both in the arena of diagnosis and treatment. Supplementary material is welcomed.
×
引用
GB/T 7714-2015
复制
MLA
复制
APA
复制
导出至
BibTeX EndNote RefMan NoteFirst NoteExpress
×
提示
您的信息不完整,为了账户安全,请先补充。
现在去补充
×
提示
您因"违规操作"
具体请查看互助需知
我知道了
×
提示
确定
请完成安全验证×
copy
已复制链接
快去分享给好友吧!
我知道了
右上角分享
点击右上角分享
0
联系我们:info@booksci.cn Book学术提供免费学术资源搜索服务,方便国内外学者检索中英文文献。致力于提供最便捷和优质的服务体验。 Copyright © 2023 布克学术 All rights reserved.
京ICP备2023020795号-1
ghs 京公网安备 11010802042870号
Book学术文献互助
Book学术文献互助群
群 号:604180095
Book学术官方微信