外耳道癌致面神经麻痹单片征18f -氟脱氧葡萄糖-正电子发射断层扫描/计算机断层扫描1例

IF 1.8 Q2 MEDICINE, GENERAL & INTERNAL
JMA journal Pub Date : 2025-04-28 Epub Date: 2025-03-14 DOI:10.31662/jmaj.2024-0303
Reiko Yagi, Ken Yamagiwa, Tomoyuki Fujioka, Junichi Tsuchiya, Tomoaki Asamori, Takeshi Tsutsumi, Ukihide Tateishi
{"title":"外耳道癌致面神经麻痹单片征18f -氟脱氧葡萄糖-正电子发射断层扫描/计算机断层扫描1例","authors":"Reiko Yagi, Ken Yamagiwa, Tomoyuki Fujioka, Junichi Tsuchiya, Tomoaki Asamori, Takeshi Tsutsumi, Ukihide Tateishi","doi":"10.31662/jmaj.2024-0303","DOIUrl":null,"url":null,"abstract":"","PeriodicalId":73550,"journal":{"name":"JMA journal","volume":"8 2","pages":"615-616"},"PeriodicalIF":1.8000,"publicationDate":"2025-04-28","publicationTypes":"Journal Article","fieldsOfStudy":null,"isOpenAccess":false,"openAccessPdf":"https://www.ncbi.nlm.nih.gov/pmc/articles/PMC12095129/pdf/","citationCount":"0","resultStr":"{\"title\":\"A Case of the Monocle Sign in Facial Nerve Palsy Caused by External Auditory Canal Cancer on 18F-fluorodeoxyglucose-positron Emission Tomography/Computed Tomography.\",\"authors\":\"Reiko Yagi, Ken Yamagiwa, Tomoyuki Fujioka, Junichi Tsuchiya, Tomoaki Asamori, Takeshi Tsutsumi, Ukihide Tateishi\",\"doi\":\"10.31662/jmaj.2024-0303\",\"DOIUrl\":null,\"url\":null,\"abstract\":\"\",\"PeriodicalId\":73550,\"journal\":{\"name\":\"JMA journal\",\"volume\":\"8 2\",\"pages\":\"615-616\"},\"PeriodicalIF\":1.8000,\"publicationDate\":\"2025-04-28\",\"publicationTypes\":\"Journal Article\",\"fieldsOfStudy\":null,\"isOpenAccess\":false,\"openAccessPdf\":\"https://www.ncbi.nlm.nih.gov/pmc/articles/PMC12095129/pdf/\",\"citationCount\":\"0\",\"resultStr\":null,\"platform\":\"Semanticscholar\",\"paperid\":null,\"PeriodicalName\":\"JMA journal\",\"FirstCategoryId\":\"1085\",\"ListUrlMain\":\"https://doi.org/10.31662/jmaj.2024-0303\",\"RegionNum\":0,\"RegionCategory\":null,\"ArticlePicture\":[],\"TitleCN\":null,\"AbstractTextCN\":null,\"PMCID\":null,\"EPubDate\":\"2025/3/14 0:00:00\",\"PubModel\":\"Epub\",\"JCR\":\"Q2\",\"JCRName\":\"MEDICINE, GENERAL & INTERNAL\",\"Score\":null,\"Total\":0}","platform":"Semanticscholar","paperid":null,"PeriodicalName":"JMA journal","FirstCategoryId":"1085","ListUrlMain":"https://doi.org/10.31662/jmaj.2024-0303","RegionNum":0,"RegionCategory":null,"ArticlePicture":[],"TitleCN":null,"AbstractTextCN":null,"PMCID":null,"EPubDate":"2025/3/14 0:00:00","PubModel":"Epub","JCR":"Q2","JCRName":"MEDICINE, GENERAL & INTERNAL","Score":null,"Total":0}
引用次数: 0

摘要

本文章由计算机程序翻译,如有差异,请以英文原文为准。

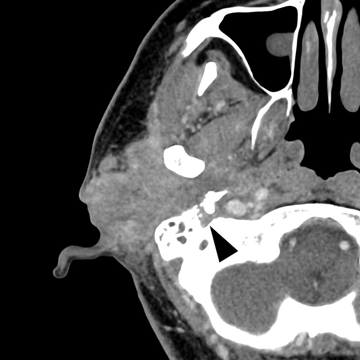
A Case of the Monocle Sign in Facial Nerve Palsy Caused by External Auditory Canal Cancer on 18F-fluorodeoxyglucose-positron Emission Tomography/Computed Tomography.

A Case of the Monocle Sign in Facial Nerve Palsy Caused by External Auditory Canal Cancer on 18F-fluorodeoxyglucose-positron Emission Tomography/Computed Tomography.

A Case of the Monocle Sign in Facial Nerve Palsy Caused by External Auditory Canal Cancer on 18F-fluorodeoxyglucose-positron Emission Tomography/Computed Tomography.
求助全文
通过发布文献求助,成功后即可免费获取论文全文。 去求助
来源期刊
自引率
0.00%
发文量
0
×
引用
GB/T 7714-2015
复制
MLA
复制
APA
复制
导出至
BibTeX EndNote RefMan NoteFirst NoteExpress
×
提示
您的信息不完整,为了账户安全,请先补充。
现在去补充
×
提示
您因"违规操作"
具体请查看互助需知
我知道了
×
提示
确定
请完成安全验证×
copy
已复制链接
快去分享给好友吧!
我知道了
右上角分享
点击右上角分享
0
联系我们:info@booksci.cn Book学术提供免费学术资源搜索服务,方便国内外学者检索中英文文献。致力于提供最便捷和优质的服务体验。 Copyright © 2023 布克学术 All rights reserved.
京ICP备2023020795号-1
ghs 京公网安备 11010802042870号
Book学术文献互助
Book学术文献互助群
群 号:604180095
Book学术官方微信