心内和血管内血块和重力沉降的死后计算机断层扫描评估:114例院内死亡的临床和实验室关联

IF 2.1 4区 医学
Japanese Journal of Radiology Pub Date : 2025-09-01 Epub Date: 2025-05-25 DOI:10.1007/s11604-025-01797-3
Masanori Ishida, Akira Katayama, Go Shirota, Naomasa Okimoto, Hiroyuki Abe, Keisuke Nyunoya, Kotaro Fujimoto, Mariko Kurokawa, Masumi Takahashi-Mizuki, Shohei Inui, Shunichiro Orihara, Kazuhiro Saito, Tetsuo Ushiku, Osamu Abe, Wataru Gonoi
{"title":"心内和血管内血块和重力沉降的死后计算机断层扫描评估:114例院内死亡的临床和实验室关联","authors":"Masanori Ishida, Akira Katayama, Go Shirota, Naomasa Okimoto, Hiroyuki Abe, Keisuke Nyunoya, Kotaro Fujimoto, Mariko Kurokawa, Masumi Takahashi-Mizuki, Shohei Inui, Shunichiro Orihara, Kazuhiro Saito, Tetsuo Ushiku, Osamu Abe, Wataru Gonoi","doi":"10.1007/s11604-025-01797-3","DOIUrl":null,"url":null,"abstract":"<p><strong>Purpose: </strong>Postmortem computed tomography (PMCT) typically reveals blood clots and sedimentation in cardiac and vascular structures. We examined the associations between these postmortem findings and antemortem clinical and laboratory parameters in in-hospital death.</p><p><strong>Material and methods: </strong>This prospective study included 114 non-traumatic in-hospital deaths where PMCT was performed within 24 h postmortem. Two radiologists evaluated high-density areas in the right and left atria, pulmonary artery, and thoracic aorta, and classified them as blood clots or gravitational sedimentation. The clinical and laboratory data from the week before death were analyzed using univariate and multivariate logistic regression.</p><p><strong>Results: </strong>Interobserver agreement was excellent for all anatomical sites (κ = 0.87-0.91). Blood clot or blood sedimentation were observed in 34-53% of cases across different locations. Per univariate analysis, non-pneumonic infections, positive blood cultures, and elevated coagulation parameters (prothrombin time-international normalized ratio, activated partial thromboplastin time) were associated with gravitational sedimentation. In contrast, solid malignancies and higher values of hematologic parameters (platelet count, red blood cells, hemoglobin, neutrophil percentage) were associated with blood clot formation (all p < .05). Per multivariate analysis, non-pneumonic infections maintained strong associations with gravitational sedimentation across all sites (p < .05), while higher platelet counts independently predicted blood clot formation in the right atrium, left atrium, and thoracic aorta (p < .05).</p><p><strong>Conclusion: </strong>Postmortem gravitational sedimentation was associated with non-pneumonic infections, whereas clot formation correlated with higher platelet counts. These findings provide objective criteria for interpreting PMCT findings and may aid in evaluating patients' antemortem clinical status, particularly when clinical information is limited.</p>","PeriodicalId":14691,"journal":{"name":"Japanese Journal of Radiology","volume":" ","pages":"1465-1478"},"PeriodicalIF":2.1000,"publicationDate":"2025-09-01","publicationTypes":"Journal Article","fieldsOfStudy":null,"isOpenAccess":false,"openAccessPdf":"https://www.ncbi.nlm.nih.gov/pmc/articles/PMC12397116/pdf/","citationCount":"0","resultStr":"{\"title\":\"Postmortem computed tomography assessment of intracardiac and intravascular blood clots and gravitational sedimentation: clinical and laboratory associations in 114 in-hospital deaths.\",\"authors\":\"Masanori Ishida, Akira Katayama, Go Shirota, Naomasa Okimoto, Hiroyuki Abe, Keisuke Nyunoya, Kotaro Fujimoto, Mariko Kurokawa, Masumi Takahashi-Mizuki, Shohei Inui, Shunichiro Orihara, Kazuhiro Saito, Tetsuo Ushiku, Osamu Abe, Wataru Gonoi\",\"doi\":\"10.1007/s11604-025-01797-3\",\"DOIUrl\":null,\"url\":null,\"abstract\":\"<p><strong>Purpose: </strong>Postmortem computed tomography (PMCT) typically reveals blood clots and sedimentation in cardiac and vascular structures. We examined the associations between these postmortem findings and antemortem clinical and laboratory parameters in in-hospital death.</p><p><strong>Material and methods: </strong>This prospective study included 114 non-traumatic in-hospital deaths where PMCT was performed within 24 h postmortem. Two radiologists evaluated high-density areas in the right and left atria, pulmonary artery, and thoracic aorta, and classified them as blood clots or gravitational sedimentation. The clinical and laboratory data from the week before death were analyzed using univariate and multivariate logistic regression.</p><p><strong>Results: </strong>Interobserver agreement was excellent for all anatomical sites (κ = 0.87-0.91). Blood clot or blood sedimentation were observed in 34-53% of cases across different locations. Per univariate analysis, non-pneumonic infections, positive blood cultures, and elevated coagulation parameters (prothrombin time-international normalized ratio, activated partial thromboplastin time) were associated with gravitational sedimentation. In contrast, solid malignancies and higher values of hematologic parameters (platelet count, red blood cells, hemoglobin, neutrophil percentage) were associated with blood clot formation (all p < .05). Per multivariate analysis, non-pneumonic infections maintained strong associations with gravitational sedimentation across all sites (p < .05), while higher platelet counts independently predicted blood clot formation in the right atrium, left atrium, and thoracic aorta (p < .05).</p><p><strong>Conclusion: </strong>Postmortem gravitational sedimentation was associated with non-pneumonic infections, whereas clot formation correlated with higher platelet counts. These findings provide objective criteria for interpreting PMCT findings and may aid in evaluating patients' antemortem clinical status, particularly when clinical information is limited.</p>\",\"PeriodicalId\":14691,\"journal\":{\"name\":\"Japanese Journal of Radiology\",\"volume\":\" \",\"pages\":\"1465-1478\"},\"PeriodicalIF\":2.1000,\"publicationDate\":\"2025-09-01\",\"publicationTypes\":\"Journal Article\",\"fieldsOfStudy\":null,\"isOpenAccess\":false,\"openAccessPdf\":\"https://www.ncbi.nlm.nih.gov/pmc/articles/PMC12397116/pdf/\",\"citationCount\":\"0\",\"resultStr\":null,\"platform\":\"Semanticscholar\",\"paperid\":null,\"PeriodicalName\":\"Japanese Journal of Radiology\",\"FirstCategoryId\":\"3\",\"ListUrlMain\":\"https://doi.org/10.1007/s11604-025-01797-3\",\"RegionNum\":4,\"RegionCategory\":\"医学\",\"ArticlePicture\":[],\"TitleCN\":null,\"AbstractTextCN\":null,\"PMCID\":null,\"EPubDate\":\"2025/5/25 0:00:00\",\"PubModel\":\"Epub\",\"JCR\":\"\",\"JCRName\":\"\",\"Score\":null,\"Total\":0}","platform":"Semanticscholar","paperid":null,"PeriodicalName":"Japanese Journal of Radiology","FirstCategoryId":"3","ListUrlMain":"https://doi.org/10.1007/s11604-025-01797-3","RegionNum":4,"RegionCategory":"医学","ArticlePicture":[],"TitleCN":null,"AbstractTextCN":null,"PMCID":null,"EPubDate":"2025/5/25 0:00:00","PubModel":"Epub","JCR":"","JCRName":"","Score":null,"Total":0}
引用次数: 0

摘要

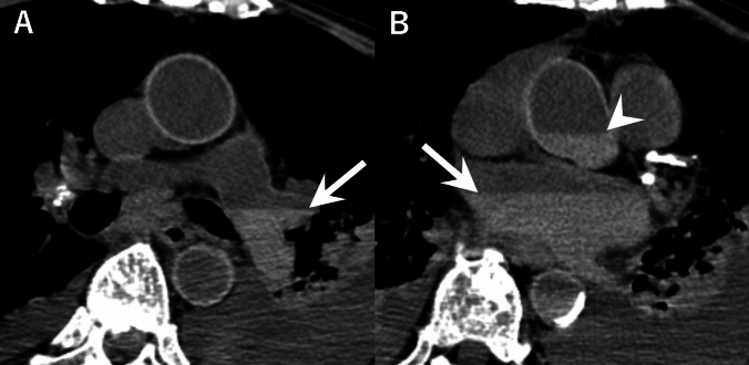
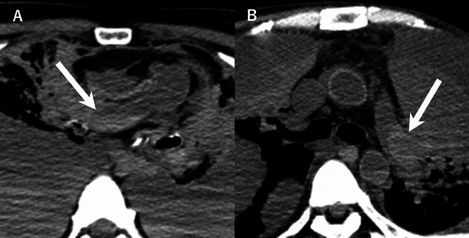
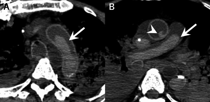
目的:尸体计算机断层扫描(PMCT)通常显示心脏和血管结构中的血凝块和沉淀。我们检查了这些死后发现与院内死亡的死前临床和实验室参数之间的关系。材料和方法:这项前瞻性研究包括114例死后24小时内进行PMCT的非创伤性院内死亡。两名放射科医生评估了左右心房、肺动脉和胸主动脉的高密度区域,并将其分类为血凝块或重力沉降。采用单因素和多因素logistic回归分析死亡前一周的临床和实验室数据。结果:所有解剖部位的观察者间一致性极好(κ = 0.87-0.91)。34-53%的病例在不同部位观察到血凝块或血液沉淀。根据单因素分析,非肺炎感染、阳性血培养和升高的凝血参数(凝血酶原时间-国际标准化比率、活化的部分凝血活酶时间)与重力沉降有关。相反,实体恶性肿瘤和较高的血液学参数(血小板计数、红细胞、血红蛋白、中性粒细胞百分比)与血块形成相关(均p)。结论:死后重力沉降与非肺炎感染有关,而血块形成与较高的血小板计数有关。这些发现为解释PMCT的发现提供了客观标准,并可能有助于评估患者生前的临床状态,特别是在临床信息有限的情况下。
本文章由计算机程序翻译,如有差异,请以英文原文为准。

Postmortem computed tomography assessment of intracardiac and intravascular blood clots and gravitational sedimentation: clinical and laboratory associations in 114 in-hospital deaths.

Postmortem computed tomography assessment of intracardiac and intravascular blood clots and gravitational sedimentation: clinical and laboratory associations in 114 in-hospital deaths.

Postmortem computed tomography assessment of intracardiac and intravascular blood clots and gravitational sedimentation: clinical and laboratory associations in 114 in-hospital deaths.

Postmortem computed tomography assessment of intracardiac and intravascular blood clots and gravitational sedimentation: clinical and laboratory associations in 114 in-hospital deaths.

Purpose: Postmortem computed tomography (PMCT) typically reveals blood clots and sedimentation in cardiac and vascular structures. We examined the associations between these postmortem findings and antemortem clinical and laboratory parameters in in-hospital death.

Material and methods: This prospective study included 114 non-traumatic in-hospital deaths where PMCT was performed within 24 h postmortem. Two radiologists evaluated high-density areas in the right and left atria, pulmonary artery, and thoracic aorta, and classified them as blood clots or gravitational sedimentation. The clinical and laboratory data from the week before death were analyzed using univariate and multivariate logistic regression.

Results: Interobserver agreement was excellent for all anatomical sites (κ = 0.87-0.91). Blood clot or blood sedimentation were observed in 34-53% of cases across different locations. Per univariate analysis, non-pneumonic infections, positive blood cultures, and elevated coagulation parameters (prothrombin time-international normalized ratio, activated partial thromboplastin time) were associated with gravitational sedimentation. In contrast, solid malignancies and higher values of hematologic parameters (platelet count, red blood cells, hemoglobin, neutrophil percentage) were associated with blood clot formation (all p < .05). Per multivariate analysis, non-pneumonic infections maintained strong associations with gravitational sedimentation across all sites (p < .05), while higher platelet counts independently predicted blood clot formation in the right atrium, left atrium, and thoracic aorta (p < .05).

Conclusion: Postmortem gravitational sedimentation was associated with non-pneumonic infections, whereas clot formation correlated with higher platelet counts. These findings provide objective criteria for interpreting PMCT findings and may aid in evaluating patients' antemortem clinical status, particularly when clinical information is limited.

求助全文
通过发布文献求助,成功后即可免费获取论文全文。 去求助
来源期刊
Japanese Journal of Radiology
Japanese Journal of Radiology Medicine-Radiology, Nuclear Medicine and Imaging
自引率
4.80%
发文量
133
期刊介绍: Japanese Journal of Radiology is a peer-reviewed journal, officially published by the Japan Radiological Society. The main purpose of the journal is to provide a forum for the publication of papers documenting recent advances and new developments in the field of radiology in medicine and biology. The scope of Japanese Journal of Radiology encompasses but is not restricted to diagnostic radiology, interventional radiology, radiation oncology, nuclear medicine, radiation physics, and radiation biology. Additionally, the journal covers technical and industrial innovations. The journal welcomes original articles, technical notes, review articles, pictorial essays and letters to the editor. The journal also provides announcements from the boards and the committees of the society. Membership in the Japan Radiological Society is not a prerequisite for submission. Contributions are welcomed from all parts of the world.
×
引用
GB/T 7714-2015
复制
MLA
复制
APA
复制
导出至
BibTeX EndNote RefMan NoteFirst NoteExpress
×
提示
您的信息不完整,为了账户安全,请先补充。
现在去补充
×
提示
您因"违规操作"
具体请查看互助需知
我知道了
×
提示
确定
请完成安全验证×
copy
已复制链接
快去分享给好友吧!
我知道了
右上角分享
点击右上角分享
0
联系我们:info@booksci.cn Book学术提供免费学术资源搜索服务,方便国内外学者检索中英文文献。致力于提供最便捷和优质的服务体验。 Copyright © 2023 布克学术 All rights reserved.
京ICP备2023020795号-1
ghs 京公网安备 11010802042870号
Book学术文献互助
Book学术文献互助群
群 号:604180095
Book学术官方微信