肺腺癌固体成分的定性和定量CT分析预测侵袭性。

IF 2.1 4区 医学
Japanese Journal of Radiology Pub Date : 2025-09-01 Epub Date: 2025-05-25 DOI:10.1007/s11604-025-01794-6
Yoshie Kunihiro, Fumi Kameda, Taiga Kobayashi, Masahiro Tanabe, Ryoko Morooka, Toshiki Tanaka, Yoshinobu Hoshii, Tsuneo Matsumoto, Katsuyoshi Ito
{"title":"肺腺癌固体成分的定性和定量CT分析预测侵袭性。","authors":"Yoshie Kunihiro, Fumi Kameda, Taiga Kobayashi, Masahiro Tanabe, Ryoko Morooka, Toshiki Tanaka, Yoshinobu Hoshii, Tsuneo Matsumoto, Katsuyoshi Ito","doi":"10.1007/s11604-025-01794-6","DOIUrl":null,"url":null,"abstract":"<p><strong>Purpose: </strong>This study aimed to evaluate the CT findings of lung adenocarcinoma with solid components and to determine the difference between adenocarcinoma in situ (AIS) and minimally invasive adenocarcinoma (MIA) with invasive adenocarcinoma (IAC).</p><p><strong>Materials and methods: </strong>A total of 54 cases were included in this study. The diagnoses of lung adenocarcinoma consisted of AIS or MIA (n = 20) and IAC (n = 34). The following factors were evaluated on CT images: part-solid nodule or solid nodule, presence of air bronchogram, air space, calcification within the tumor, presence of interstitial pneumonia and emphysema, diameters of the tumor and solid component, and CT values of the solid component. The volume and CT number histograms, including the 50th, 75th, and 100th percentiles of solid component were obtained using a software program. The CT criteria were compared between AIS, MIA, and IAC, and an indicator of differentiation was considered.</p><p><strong>Results: </strong>Part-solid nodules were observed more frequently in AIS and MIA (85.0%) than in IAC (55.9%). All criteria for quantitative analysis showed significant differences between AIS or MIA and IAC, and the diameter of the solid component in the mediastinal window was an indicator of differentiation (p = 0.0006; odds ratio, 1.4; 95% confidence interval, 1.2-1.8).</p><p><strong>Conclusion: </strong>The diameter of the solid component on the mediastinal window was considered an indicator of differentiation between AIS, MIA, and IAC.</p><p><strong>Condensed abstract: </strong>Quantitative data of solid component, including both manual measurements and evaluation using CT software, are correlated with pathological invasiveness. Diameter of the solid component in the mediastinal window would be an indicator of IAC.</p>","PeriodicalId":14691,"journal":{"name":"Japanese Journal of Radiology","volume":" ","pages":"1489-1497"},"PeriodicalIF":2.1000,"publicationDate":"2025-09-01","publicationTypes":"Journal Article","fieldsOfStudy":null,"isOpenAccess":false,"openAccessPdf":"https://www.ncbi.nlm.nih.gov/pmc/articles/PMC12397110/pdf/","citationCount":"0","resultStr":"{\"title\":\"Qualitative and quantitative CT analyses of the solid component in lung adenocarcinoma for predicting invasiveness.\",\"authors\":\"Yoshie Kunihiro, Fumi Kameda, Taiga Kobayashi, Masahiro Tanabe, Ryoko Morooka, Toshiki Tanaka, Yoshinobu Hoshii, Tsuneo Matsumoto, Katsuyoshi Ito\",\"doi\":\"10.1007/s11604-025-01794-6\",\"DOIUrl\":null,\"url\":null,\"abstract\":\"<p><strong>Purpose: </strong>This study aimed to evaluate the CT findings of lung adenocarcinoma with solid components and to determine the difference between adenocarcinoma in situ (AIS) and minimally invasive adenocarcinoma (MIA) with invasive adenocarcinoma (IAC).</p><p><strong>Materials and methods: </strong>A total of 54 cases were included in this study. The diagnoses of lung adenocarcinoma consisted of AIS or MIA (n = 20) and IAC (n = 34). The following factors were evaluated on CT images: part-solid nodule or solid nodule, presence of air bronchogram, air space, calcification within the tumor, presence of interstitial pneumonia and emphysema, diameters of the tumor and solid component, and CT values of the solid component. The volume and CT number histograms, including the 50th, 75th, and 100th percentiles of solid component were obtained using a software program. The CT criteria were compared between AIS, MIA, and IAC, and an indicator of differentiation was considered.</p><p><strong>Results: </strong>Part-solid nodules were observed more frequently in AIS and MIA (85.0%) than in IAC (55.9%). All criteria for quantitative analysis showed significant differences between AIS or MIA and IAC, and the diameter of the solid component in the mediastinal window was an indicator of differentiation (p = 0.0006; odds ratio, 1.4; 95% confidence interval, 1.2-1.8).</p><p><strong>Conclusion: </strong>The diameter of the solid component on the mediastinal window was considered an indicator of differentiation between AIS, MIA, and IAC.</p><p><strong>Condensed abstract: </strong>Quantitative data of solid component, including both manual measurements and evaluation using CT software, are correlated with pathological invasiveness. Diameter of the solid component in the mediastinal window would be an indicator of IAC.</p>\",\"PeriodicalId\":14691,\"journal\":{\"name\":\"Japanese Journal of Radiology\",\"volume\":\" \",\"pages\":\"1489-1497\"},\"PeriodicalIF\":2.1000,\"publicationDate\":\"2025-09-01\",\"publicationTypes\":\"Journal Article\",\"fieldsOfStudy\":null,\"isOpenAccess\":false,\"openAccessPdf\":\"https://www.ncbi.nlm.nih.gov/pmc/articles/PMC12397110/pdf/\",\"citationCount\":\"0\",\"resultStr\":null,\"platform\":\"Semanticscholar\",\"paperid\":null,\"PeriodicalName\":\"Japanese Journal of Radiology\",\"FirstCategoryId\":\"3\",\"ListUrlMain\":\"https://doi.org/10.1007/s11604-025-01794-6\",\"RegionNum\":4,\"RegionCategory\":\"医学\",\"ArticlePicture\":[],\"TitleCN\":null,\"AbstractTextCN\":null,\"PMCID\":null,\"EPubDate\":\"2025/5/25 0:00:00\",\"PubModel\":\"Epub\",\"JCR\":\"\",\"JCRName\":\"\",\"Score\":null,\"Total\":0}","platform":"Semanticscholar","paperid":null,"PeriodicalName":"Japanese Journal of Radiology","FirstCategoryId":"3","ListUrlMain":"https://doi.org/10.1007/s11604-025-01794-6","RegionNum":4,"RegionCategory":"医学","ArticlePicture":[],"TitleCN":null,"AbstractTextCN":null,"PMCID":null,"EPubDate":"2025/5/25 0:00:00","PubModel":"Epub","JCR":"","JCRName":"","Score":null,"Total":0}
引用次数: 0

摘要

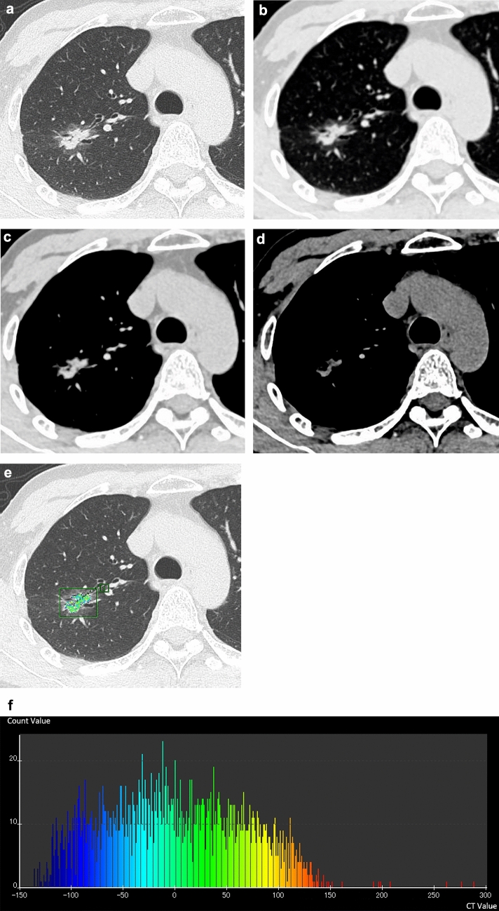
目的:本研究旨在评价肺腺癌实性成分的CT表现,探讨原位腺癌(AIS)与微创腺癌(MIA)与侵袭性腺癌(IAC)的区别。材料与方法:本研究共纳入54例。肺腺癌的诊断包括AIS或MIA (n = 20)和IAC (n = 34)。在CT图像上评估以下因素:部分实性结节或实性结节,有无支气管充气征,有无空气间隙,肿瘤内钙化,有无间质性肺炎和肺气肿,肿瘤和实性成分的直径,实性成分的CT值。使用软件程序获得实体成分第50、75、100百分位的体积直方图和CT数直方图。比较AIS、MIA和IAC的CT判据,并考虑鉴别指标。结果:部分实性结节在AIS和MIA中的发生率(85.0%)高于IAC(55.9%)。定量分析的所有标准均显示AIS或MIA与IAC之间存在显著差异,纵隔窗实性成分的直径是鉴别指标(p = 0.0006;优势比为1.4;95%置信区间为1.2-1.8)。结论:纵隔窗实性成分直径可作为AIS、MIA、IAC的鉴别指标。摘要:固体成分的定量数据,包括人工测量和CT软件评估,与病理侵袭性相关。纵隔窗内实性成分的直径可作为IAC的指标。
本文章由计算机程序翻译,如有差异,请以英文原文为准。

Qualitative and quantitative CT analyses of the solid component in lung adenocarcinoma for predicting invasiveness.

Qualitative and quantitative CT analyses of the solid component in lung adenocarcinoma for predicting invasiveness.

Qualitative and quantitative CT analyses of the solid component in lung adenocarcinoma for predicting invasiveness.

Qualitative and quantitative CT analyses of the solid component in lung adenocarcinoma for predicting invasiveness.

Purpose: This study aimed to evaluate the CT findings of lung adenocarcinoma with solid components and to determine the difference between adenocarcinoma in situ (AIS) and minimally invasive adenocarcinoma (MIA) with invasive adenocarcinoma (IAC).

Materials and methods: A total of 54 cases were included in this study. The diagnoses of lung adenocarcinoma consisted of AIS or MIA (n = 20) and IAC (n = 34). The following factors were evaluated on CT images: part-solid nodule or solid nodule, presence of air bronchogram, air space, calcification within the tumor, presence of interstitial pneumonia and emphysema, diameters of the tumor and solid component, and CT values of the solid component. The volume and CT number histograms, including the 50th, 75th, and 100th percentiles of solid component were obtained using a software program. The CT criteria were compared between AIS, MIA, and IAC, and an indicator of differentiation was considered.

Results: Part-solid nodules were observed more frequently in AIS and MIA (85.0%) than in IAC (55.9%). All criteria for quantitative analysis showed significant differences between AIS or MIA and IAC, and the diameter of the solid component in the mediastinal window was an indicator of differentiation (p = 0.0006; odds ratio, 1.4; 95% confidence interval, 1.2-1.8).

Conclusion: The diameter of the solid component on the mediastinal window was considered an indicator of differentiation between AIS, MIA, and IAC.

Condensed abstract: Quantitative data of solid component, including both manual measurements and evaluation using CT software, are correlated with pathological invasiveness. Diameter of the solid component in the mediastinal window would be an indicator of IAC.

求助全文
通过发布文献求助,成功后即可免费获取论文全文。 去求助
来源期刊
Japanese Journal of Radiology
Japanese Journal of Radiology Medicine-Radiology, Nuclear Medicine and Imaging
自引率
4.80%
发文量
133
期刊介绍: Japanese Journal of Radiology is a peer-reviewed journal, officially published by the Japan Radiological Society. The main purpose of the journal is to provide a forum for the publication of papers documenting recent advances and new developments in the field of radiology in medicine and biology. The scope of Japanese Journal of Radiology encompasses but is not restricted to diagnostic radiology, interventional radiology, radiation oncology, nuclear medicine, radiation physics, and radiation biology. Additionally, the journal covers technical and industrial innovations. The journal welcomes original articles, technical notes, review articles, pictorial essays and letters to the editor. The journal also provides announcements from the boards and the committees of the society. Membership in the Japan Radiological Society is not a prerequisite for submission. Contributions are welcomed from all parts of the world.
×
引用
GB/T 7714-2015
复制
MLA
复制
APA
复制
导出至
BibTeX EndNote RefMan NoteFirst NoteExpress
×
提示
您的信息不完整,为了账户安全,请先补充。
现在去补充
×
提示
您因"违规操作"
具体请查看互助需知
我知道了
×
提示
确定
请完成安全验证×
copy
已复制链接
快去分享给好友吧!
我知道了
右上角分享
点击右上角分享
0
联系我们:info@booksci.cn Book学术提供免费学术资源搜索服务,方便国内外学者检索中英文文献。致力于提供最便捷和优质的服务体验。 Copyright © 2023 布克学术 All rights reserved.
京ICP备2023020795号-1
ghs 京公网安备 11010802042870号
Book学术文献互助
Book学术文献互助群
群 号:604180095
Book学术官方微信