气管支气管淀粉样变合并Sjögren综合征1例。

IF 3 3区 医学 Q2 RESPIRATORY SYSTEM
Chongxiang Chen, Pingping Wang, Na Zhao, Derong Zhang, Cuifen Chen, Ping Peng
{"title":"气管支气管淀粉样变合并Sjögren综合征1例。","authors":"Chongxiang Chen, Pingping Wang, Na Zhao, Derong Zhang, Cuifen Chen, Ping Peng","doi":"10.1177/17534666251342145","DOIUrl":null,"url":null,"abstract":"<p><p>We report a case of tracheobronchial amyloidosis (TBA) in a 55-year-old woman with newly diagnosed primary Sjögren's syndrome (SS), presenting with persistent cough, hemoptysis, and dry mucosal symptoms. Chest CT showed thickened airway walls and cystic lung changes, while bronchoscopy revealed nodular lesions with exposed vessels. Congo red staining confirmed amyloid deposition with κ light-chain dominance, consistent with AL amyloidosis. Despite immunosuppressive therapy, airway lesions persisted, highlighting the challenge of managing localized amyloidosis in SS. This case underscores the need for early recognition of TBA in SS patients presenting with respiratory symptoms.</p>","PeriodicalId":22884,"journal":{"name":"Therapeutic Advances in Respiratory Disease","volume":"19 ","pages":"17534666251342145"},"PeriodicalIF":3.0000,"publicationDate":"2025-01-01","publicationTypes":"Journal Article","fieldsOfStudy":null,"isOpenAccess":false,"openAccessPdf":"https://www.ncbi.nlm.nih.gov/pmc/articles/PMC12102560/pdf/","citationCount":"0","resultStr":"{\"title\":\"Tracheobronchial amyloidosis with Sjögren's syndrome: a case report.\",\"authors\":\"Chongxiang Chen, Pingping Wang, Na Zhao, Derong Zhang, Cuifen Chen, Ping Peng\",\"doi\":\"10.1177/17534666251342145\",\"DOIUrl\":null,\"url\":null,\"abstract\":\"<p><p>We report a case of tracheobronchial amyloidosis (TBA) in a 55-year-old woman with newly diagnosed primary Sjögren's syndrome (SS), presenting with persistent cough, hemoptysis, and dry mucosal symptoms. Chest CT showed thickened airway walls and cystic lung changes, while bronchoscopy revealed nodular lesions with exposed vessels. Congo red staining confirmed amyloid deposition with κ light-chain dominance, consistent with AL amyloidosis. Despite immunosuppressive therapy, airway lesions persisted, highlighting the challenge of managing localized amyloidosis in SS. This case underscores the need for early recognition of TBA in SS patients presenting with respiratory symptoms.</p>\",\"PeriodicalId\":22884,\"journal\":{\"name\":\"Therapeutic Advances in Respiratory Disease\",\"volume\":\"19 \",\"pages\":\"17534666251342145\"},\"PeriodicalIF\":3.0000,\"publicationDate\":\"2025-01-01\",\"publicationTypes\":\"Journal Article\",\"fieldsOfStudy\":null,\"isOpenAccess\":false,\"openAccessPdf\":\"https://www.ncbi.nlm.nih.gov/pmc/articles/PMC12102560/pdf/\",\"citationCount\":\"0\",\"resultStr\":null,\"platform\":\"Semanticscholar\",\"paperid\":null,\"PeriodicalName\":\"Therapeutic Advances in Respiratory Disease\",\"FirstCategoryId\":\"3\",\"ListUrlMain\":\"https://doi.org/10.1177/17534666251342145\",\"RegionNum\":3,\"RegionCategory\":\"医学\",\"ArticlePicture\":[],\"TitleCN\":null,\"AbstractTextCN\":null,\"PMCID\":null,\"EPubDate\":\"2025/5/23 0:00:00\",\"PubModel\":\"Epub\",\"JCR\":\"Q2\",\"JCRName\":\"RESPIRATORY SYSTEM\",\"Score\":null,\"Total\":0}","platform":"Semanticscholar","paperid":null,"PeriodicalName":"Therapeutic Advances in Respiratory Disease","FirstCategoryId":"3","ListUrlMain":"https://doi.org/10.1177/17534666251342145","RegionNum":3,"RegionCategory":"医学","ArticlePicture":[],"TitleCN":null,"AbstractTextCN":null,"PMCID":null,"EPubDate":"2025/5/23 0:00:00","PubModel":"Epub","JCR":"Q2","JCRName":"RESPIRATORY SYSTEM","Score":null,"Total":0}
引用次数: 0

摘要

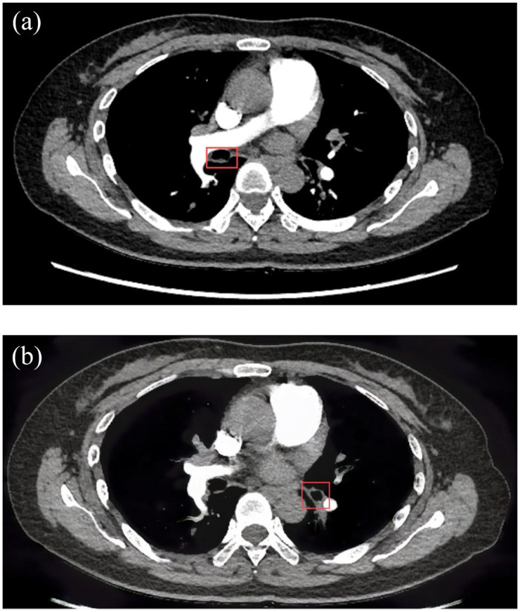
我们报告一例气管支气管淀粉样变(TBA)在一个55岁的女性新诊断原发性Sjögren综合征(SS),表现为持续咳嗽,咯血,和干粘膜症状。胸部CT显示气道壁增厚及肺囊性改变,支气管镜显示结节状病变及血管外露。刚果红染色证实淀粉样蛋白沉积以κ轻链为主,与AL淀粉样变性一致。尽管免疫抑制治疗,气道病变持续存在,突出了控制SS中局限性淀粉样变性的挑战。该病例强调了早期识别出现呼吸道症状的SS患者的TBA的必要性。
本文章由计算机程序翻译,如有差异,请以英文原文为准。

Tracheobronchial amyloidosis with Sjögren's syndrome: a case report.

Tracheobronchial amyloidosis with Sjögren's syndrome: a case report.

Tracheobronchial amyloidosis with Sjögren's syndrome: a case report.

Tracheobronchial amyloidosis with Sjögren's syndrome: a case report.

We report a case of tracheobronchial amyloidosis (TBA) in a 55-year-old woman with newly diagnosed primary Sjögren's syndrome (SS), presenting with persistent cough, hemoptysis, and dry mucosal symptoms. Chest CT showed thickened airway walls and cystic lung changes, while bronchoscopy revealed nodular lesions with exposed vessels. Congo red staining confirmed amyloid deposition with κ light-chain dominance, consistent with AL amyloidosis. Despite immunosuppressive therapy, airway lesions persisted, highlighting the challenge of managing localized amyloidosis in SS. This case underscores the need for early recognition of TBA in SS patients presenting with respiratory symptoms.

求助全文
通过发布文献求助,成功后即可免费获取论文全文。 去求助
来源期刊
CiteScore
6.90
自引率
0.00%
发文量
57
审稿时长
15 weeks
期刊介绍: Therapeutic Advances in Respiratory Disease delivers the highest quality peer-reviewed articles, reviews, and scholarly comment on pioneering efforts and innovative studies across all areas of respiratory disease.
×
引用
GB/T 7714-2015
复制
MLA
复制
APA
复制
导出至
BibTeX EndNote RefMan NoteFirst NoteExpress
×
提示
您的信息不完整,为了账户安全,请先补充。
现在去补充
×
提示
您因"违规操作"
具体请查看互助需知
我知道了
×
提示
确定
请完成安全验证×
copy
已复制链接
快去分享给好友吧!
我知道了
右上角分享
点击右上角分享
0
联系我们:info@booksci.cn Book学术提供免费学术资源搜索服务,方便国内外学者检索中英文文献。致力于提供最便捷和优质的服务体验。 Copyright © 2023 布克学术 All rights reserved.
京ICP备2023020795号-1
ghs 京公网安备 11010802042870号
Book学术文献互助
Book学术文献互助群
群 号:604180095
Book学术官方微信