右室心内膜心肌纤维化:一种罕见疾病的非典型表现。病例报告)。

Laura Valentina López Gutiérrez, Mauricio Andrés Murillo Moreno, Luisa Fernanda Durango, Jhon Fredy Salamanca Montilla, Clara Inés Saldarriaga Giraldo
{"title":"右室心内膜心肌纤维化:一种罕见疾病的非典型表现。病例报告)。","authors":"Laura Valentina López Gutiérrez, Mauricio Andrés Murillo Moreno, Luisa Fernanda Durango, Jhon Fredy Salamanca Montilla, Clara Inés Saldarriaga Giraldo","doi":"10.47487/apcyccv.v5i4.409","DOIUrl":null,"url":null,"abstract":"<p><p>Endomyocardial fibrosis or Davies disease is a rare cause of restrictive cardiomyopathy. It is characterized by the deposit of fibrous material in the endocardium that leads to quickly progressive heart failure. It most frequently affects both ventricles, with isolated involvement of the right ventricle being the least common form. The clinical presentation of this entity is based on symptoms of right heart failure, although arrhythmias and conduction disorders may also be present. The treatment is determined by the management of congestion and surgical intervention in symptomatic patients. We present the first case of endomyocardial fibrosis isolated from the right ventricle in Colombia, we describe the clinical, etiological, imaging and management characteristics in order to deliver to the medical community an approximate understanding of this disease focusing on an unusual way of presentation.</p>","PeriodicalId":72295,"journal":{"name":"Archivos Peruanos de cardiologia y cirugia cardiovascular","volume":"5 4","pages":"243-248"},"PeriodicalIF":0.0000,"publicationDate":"2024-12-11","publicationTypes":"Journal Article","fieldsOfStudy":null,"isOpenAccess":false,"openAccessPdf":"https://www.ncbi.nlm.nih.gov/pmc/articles/PMC12094070/pdf/","citationCount":"0","resultStr":"{\"title\":\"[Right ventricular endomyocardial fibrosis: Atypical presentation of a rare disease. Case report].\",\"authors\":\"Laura Valentina López Gutiérrez, Mauricio Andrés Murillo Moreno, Luisa Fernanda Durango, Jhon Fredy Salamanca Montilla, Clara Inés Saldarriaga Giraldo\",\"doi\":\"10.47487/apcyccv.v5i4.409\",\"DOIUrl\":null,\"url\":null,\"abstract\":\"<p><p>Endomyocardial fibrosis or Davies disease is a rare cause of restrictive cardiomyopathy. It is characterized by the deposit of fibrous material in the endocardium that leads to quickly progressive heart failure. It most frequently affects both ventricles, with isolated involvement of the right ventricle being the least common form. The clinical presentation of this entity is based on symptoms of right heart failure, although arrhythmias and conduction disorders may also be present. The treatment is determined by the management of congestion and surgical intervention in symptomatic patients. We present the first case of endomyocardial fibrosis isolated from the right ventricle in Colombia, we describe the clinical, etiological, imaging and management characteristics in order to deliver to the medical community an approximate understanding of this disease focusing on an unusual way of presentation.</p>\",\"PeriodicalId\":72295,\"journal\":{\"name\":\"Archivos Peruanos de cardiologia y cirugia cardiovascular\",\"volume\":\"5 4\",\"pages\":\"243-248\"},\"PeriodicalIF\":0.0000,\"publicationDate\":\"2024-12-11\",\"publicationTypes\":\"Journal Article\",\"fieldsOfStudy\":null,\"isOpenAccess\":false,\"openAccessPdf\":\"https://www.ncbi.nlm.nih.gov/pmc/articles/PMC12094070/pdf/\",\"citationCount\":\"0\",\"resultStr\":null,\"platform\":\"Semanticscholar\",\"paperid\":null,\"PeriodicalName\":\"Archivos Peruanos de cardiologia y cirugia cardiovascular\",\"FirstCategoryId\":\"1085\",\"ListUrlMain\":\"https://doi.org/10.47487/apcyccv.v5i4.409\",\"RegionNum\":0,\"RegionCategory\":null,\"ArticlePicture\":[],\"TitleCN\":null,\"AbstractTextCN\":null,\"PMCID\":null,\"EPubDate\":\"2024/10/1 0:00:00\",\"PubModel\":\"eCollection\",\"JCR\":\"\",\"JCRName\":\"\",\"Score\":null,\"Total\":0}","platform":"Semanticscholar","paperid":null,"PeriodicalName":"Archivos Peruanos de cardiologia y cirugia cardiovascular","FirstCategoryId":"1085","ListUrlMain":"https://doi.org/10.47487/apcyccv.v5i4.409","RegionNum":0,"RegionCategory":null,"ArticlePicture":[],"TitleCN":null,"AbstractTextCN":null,"PMCID":null,"EPubDate":"2024/10/1 0:00:00","PubModel":"eCollection","JCR":"","JCRName":"","Score":null,"Total":0}
引用次数: 0

摘要

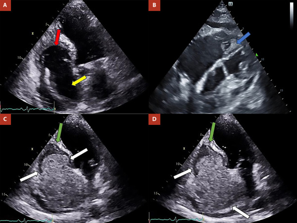
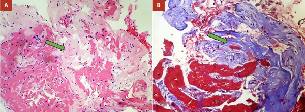
心内膜肌纤维化或戴维斯病是一种罕见的限制性心肌病的原因。它的特点是纤维物质沉积在心内膜,导致快速进行性心力衰竭。它最常影响两个心室,孤立地累及右心室是最不常见的形式。该疾病的临床表现以右心衰症状为基础,但也可能出现心律失常和传导障碍。治疗是由充血的管理和有症状患者的手术干预决定的。我们提出了第一例分离自哥伦比亚右心室的心内膜肌纤维化,我们描述了临床,病因学,影像学和管理特点,以便向医学界提供对这种疾病的大致理解,重点是一种不寻常的表现方式。
本文章由计算机程序翻译,如有差异,请以英文原文为准。

[Right ventricular endomyocardial fibrosis: Atypical presentation of a rare disease. Case report].

[Right ventricular endomyocardial fibrosis: Atypical presentation of a rare disease. Case report].

[Right ventricular endomyocardial fibrosis: Atypical presentation of a rare disease. Case report].

[Right ventricular endomyocardial fibrosis: Atypical presentation of a rare disease. Case report].

Endomyocardial fibrosis or Davies disease is a rare cause of restrictive cardiomyopathy. It is characterized by the deposit of fibrous material in the endocardium that leads to quickly progressive heart failure. It most frequently affects both ventricles, with isolated involvement of the right ventricle being the least common form. The clinical presentation of this entity is based on symptoms of right heart failure, although arrhythmias and conduction disorders may also be present. The treatment is determined by the management of congestion and surgical intervention in symptomatic patients. We present the first case of endomyocardial fibrosis isolated from the right ventricle in Colombia, we describe the clinical, etiological, imaging and management characteristics in order to deliver to the medical community an approximate understanding of this disease focusing on an unusual way of presentation.

求助全文
通过发布文献求助,成功后即可免费获取论文全文。 去求助
来源期刊
CiteScore
0.40
自引率
0.00%
发文量
0
审稿时长
4 weeks
×
引用
GB/T 7714-2015
复制
MLA
复制
APA
复制
导出至
BibTeX EndNote RefMan NoteFirst NoteExpress
×
提示
您的信息不完整,为了账户安全,请先补充。
现在去补充
×
提示
您因"违规操作"
具体请查看互助需知
我知道了
×
提示
确定
请完成安全验证×
copy
已复制链接
快去分享给好友吧!
我知道了
右上角分享
点击右上角分享
0
联系我们:info@booksci.cn Book学术提供免费学术资源搜索服务,方便国内外学者检索中英文文献。致力于提供最便捷和优质的服务体验。 Copyright © 2023 布克学术 All rights reserved.
京ICP备2023020795号-1
ghs 京公网安备 11010802042870号
Book学术文献互助
Book学术文献互助群
群 号:604180095
Book学术官方微信