男性水痘肺炎合并深静脉血栓及肺栓塞的罕见表现:1例报告。

Avicenna Journal of Medicine Pub Date : 2025-04-02 eCollection Date: 2025-01-01 DOI:10.1055/s-0045-1802594
Mohammad Dallah, Ahmad Hmaideh, Yaser Hashoom, Ammaar Kaesom, Nusima Gazhal
{"title":"男性水痘肺炎合并深静脉血栓及肺栓塞的罕见表现:1例报告。","authors":"Mohammad Dallah, Ahmad Hmaideh, Yaser Hashoom, Ammaar Kaesom, Nusima Gazhal","doi":"10.1055/s-0045-1802594","DOIUrl":null,"url":null,"abstract":"<p><p>This case report presents the case of a middle-aged man who experienced a rare and severe presentation of varicella infection, with the development of varicella pneumonia and the rare complications of deep venous thrombosis, and a subsequent pulmonary embolism. Despite being immunocompetent, the patient's varicella infection resulted in an atypical and complex clinical course. The individual initially presented with a vesicopustular rash, fever, and fatigue, which progressed to severe hypoxia and dyspnea. Radiological findings revealed diffuse bilateral nodular consolidation consistent with varicella pneumonia. Although varicella pneumonia is well documented, its occurrence in immunocompetent individuals is uncommon. In the context of varicella infection, it is very rare, particularly in the absence of immunodeficiency and with no other risk factors, in a male patient. This case underscores the importance of maintaining a high index of clinical suspicion to promptly diagnose and treat potentially life-threatening complications associated with varicella infection in otherwise healthy individuals. Key learning points include the necessity of early recognition and intervention to mitigate severe complications and the potential need for thromboprophylaxis in varicella pneumonia patients and suggests the potential need for thromboprophylaxis in patients with varicella pneumonia to prevent thrombotic events.</p>","PeriodicalId":32889,"journal":{"name":"Avicenna Journal of Medicine","volume":"15 1","pages":"46-49"},"PeriodicalIF":0.0000,"publicationDate":"2025-04-02","publicationTypes":"Journal Article","fieldsOfStudy":null,"isOpenAccess":false,"openAccessPdf":"https://www.ncbi.nlm.nih.gov/pmc/articles/PMC12088795/pdf/","citationCount":"0","resultStr":"{\"title\":\"Varicella Pneumonia with Deep Venous Thrombosis and Pulmonary Embolism as Rare Presentations for Male: Case Report.\",\"authors\":\"Mohammad Dallah, Ahmad Hmaideh, Yaser Hashoom, Ammaar Kaesom, Nusima Gazhal\",\"doi\":\"10.1055/s-0045-1802594\",\"DOIUrl\":null,\"url\":null,\"abstract\":\"<p><p>This case report presents the case of a middle-aged man who experienced a rare and severe presentation of varicella infection, with the development of varicella pneumonia and the rare complications of deep venous thrombosis, and a subsequent pulmonary embolism. Despite being immunocompetent, the patient's varicella infection resulted in an atypical and complex clinical course. The individual initially presented with a vesicopustular rash, fever, and fatigue, which progressed to severe hypoxia and dyspnea. Radiological findings revealed diffuse bilateral nodular consolidation consistent with varicella pneumonia. Although varicella pneumonia is well documented, its occurrence in immunocompetent individuals is uncommon. In the context of varicella infection, it is very rare, particularly in the absence of immunodeficiency and with no other risk factors, in a male patient. This case underscores the importance of maintaining a high index of clinical suspicion to promptly diagnose and treat potentially life-threatening complications associated with varicella infection in otherwise healthy individuals. Key learning points include the necessity of early recognition and intervention to mitigate severe complications and the potential need for thromboprophylaxis in varicella pneumonia patients and suggests the potential need for thromboprophylaxis in patients with varicella pneumonia to prevent thrombotic events.</p>\",\"PeriodicalId\":32889,\"journal\":{\"name\":\"Avicenna Journal of Medicine\",\"volume\":\"15 1\",\"pages\":\"46-49\"},\"PeriodicalIF\":0.0000,\"publicationDate\":\"2025-04-02\",\"publicationTypes\":\"Journal Article\",\"fieldsOfStudy\":null,\"isOpenAccess\":false,\"openAccessPdf\":\"https://www.ncbi.nlm.nih.gov/pmc/articles/PMC12088795/pdf/\",\"citationCount\":\"0\",\"resultStr\":null,\"platform\":\"Semanticscholar\",\"paperid\":null,\"PeriodicalName\":\"Avicenna Journal of Medicine\",\"FirstCategoryId\":\"1085\",\"ListUrlMain\":\"https://doi.org/10.1055/s-0045-1802594\",\"RegionNum\":0,\"RegionCategory\":null,\"ArticlePicture\":[],\"TitleCN\":null,\"AbstractTextCN\":null,\"PMCID\":null,\"EPubDate\":\"2025/1/1 0:00:00\",\"PubModel\":\"eCollection\",\"JCR\":\"\",\"JCRName\":\"\",\"Score\":null,\"Total\":0}","platform":"Semanticscholar","paperid":null,"PeriodicalName":"Avicenna Journal of Medicine","FirstCategoryId":"1085","ListUrlMain":"https://doi.org/10.1055/s-0045-1802594","RegionNum":0,"RegionCategory":null,"ArticlePicture":[],"TitleCN":null,"AbstractTextCN":null,"PMCID":null,"EPubDate":"2025/1/1 0:00:00","PubModel":"eCollection","JCR":"","JCRName":"","Score":null,"Total":0}
引用次数: 0

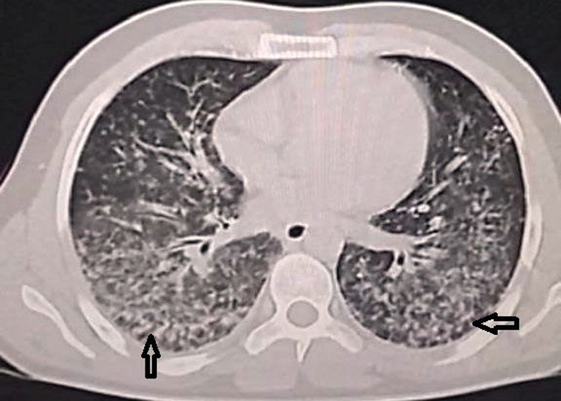
摘要

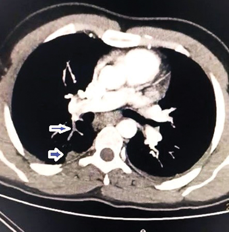
本病例报告介绍了一例中年男子,他经历了罕见和严重的水痘感染,发展为水痘肺炎和罕见的深静脉血栓形成并发症,以及随后的肺栓塞。尽管具有免疫功能,但患者的水痘感染导致了一个非典型和复杂的临床过程。患者最初表现为水疱疹、发热和疲劳,随后发展为严重缺氧和呼吸困难。影像学表现为双侧弥漫性结节实变,符合水痘肺炎。虽然水痘肺炎有很好的文献记载,但它在免疫能力强的个体中并不常见。在水痘感染的情况下,这是非常罕见的,特别是在没有免疫缺陷和没有其他危险因素的情况下,在男性患者中。该病例强调了在健康个体中保持高临床怀疑指数以及时诊断和治疗与水痘感染相关的可能危及生命的并发症的重要性。关键的学习要点包括早期识别和干预以减轻严重并发症的必要性,水痘肺炎患者可能需要血栓预防,并建议水痘肺炎患者可能需要血栓预防以预防血栓事件。
本文章由计算机程序翻译,如有差异,请以英文原文为准。

Varicella Pneumonia with Deep Venous Thrombosis and Pulmonary Embolism as Rare Presentations for Male: Case Report.

Varicella Pneumonia with Deep Venous Thrombosis and Pulmonary Embolism as Rare Presentations for Male: Case Report.

Varicella Pneumonia with Deep Venous Thrombosis and Pulmonary Embolism as Rare Presentations for Male: Case Report.

Varicella Pneumonia with Deep Venous Thrombosis and Pulmonary Embolism as Rare Presentations for Male: Case Report.

This case report presents the case of a middle-aged man who experienced a rare and severe presentation of varicella infection, with the development of varicella pneumonia and the rare complications of deep venous thrombosis, and a subsequent pulmonary embolism. Despite being immunocompetent, the patient's varicella infection resulted in an atypical and complex clinical course. The individual initially presented with a vesicopustular rash, fever, and fatigue, which progressed to severe hypoxia and dyspnea. Radiological findings revealed diffuse bilateral nodular consolidation consistent with varicella pneumonia. Although varicella pneumonia is well documented, its occurrence in immunocompetent individuals is uncommon. In the context of varicella infection, it is very rare, particularly in the absence of immunodeficiency and with no other risk factors, in a male patient. This case underscores the importance of maintaining a high index of clinical suspicion to promptly diagnose and treat potentially life-threatening complications associated with varicella infection in otherwise healthy individuals. Key learning points include the necessity of early recognition and intervention to mitigate severe complications and the potential need for thromboprophylaxis in varicella pneumonia patients and suggests the potential need for thromboprophylaxis in patients with varicella pneumonia to prevent thrombotic events.

求助全文
通过发布文献求助,成功后即可免费获取论文全文。 去求助
来源期刊
自引率
0.00%
发文量
28
审稿时长
26 weeks
×
引用
GB/T 7714-2015
复制
MLA
复制
APA
复制
导出至
BibTeX EndNote RefMan NoteFirst NoteExpress
×
提示
您的信息不完整,为了账户安全,请先补充。
现在去补充
×
提示
您因"违规操作"
具体请查看互助需知
我知道了
×
提示
确定
请完成安全验证×
copy
已复制链接
快去分享给好友吧!
我知道了
右上角分享
点击右上角分享
0
联系我们:info@booksci.cn Book学术提供免费学术资源搜索服务,方便国内外学者检索中英文文献。致力于提供最便捷和优质的服务体验。 Copyright © 2023 布克学术 All rights reserved.
京ICP备2023020795号-1
ghs 京公网安备 11010802042870号
Book学术文献互助
Book学术文献互助群
群 号:604180095
Book学术官方微信