眼睑成形术后吹鼻引起的眼眶和上颌前肺气肿。

IF 1.5 Q4 SURGERY
Indian Journal of Plastic Surgery Pub Date : 2024-11-26 eCollection Date: 2025-04-01 DOI:10.1055/s-0044-1795150
Bilge Tarım, Meltem Kılıç
{"title":"眼睑成形术后吹鼻引起的眼眶和上颌前肺气肿。","authors":"Bilge Tarım, Meltem Kılıç","doi":"10.1055/s-0044-1795150","DOIUrl":null,"url":null,"abstract":"<p><p>A 41-year-old man presented with sudden-onset swelling, redness, and pain in the right eye, 4 days after bilateral upper and lower eyelid blepharoplasty. The symptoms were preceded by a forceful nose-blowing episode. Upon examination, periorbital edema and subcutaneous crepitus were observed, along with limitations in upward gaze. Computed tomography revealed bilateral premaxillary and extraconal air accumulation. Since there was no optic nerve ischemia or orbital compartment syndrome, the patient was closely monitored. Spontaneous regression of the emphysema was observed during follow-ups. Orbital emphysema, although commonly associated with trauma, can also arise from compelling movements such as severe nose-blowing, as demonstrated in this unique case postblepharoplasty. The structural changes during surgery may contribute to weakened support, predisposing patients to emphysema following sudden pressure changes. Clinicians should be vigilant for periorbital edema and subcutaneous crepitus after facial surgeries, emphasizing the importance of timely imaging for diagnosis. Awareness campaigns advising against forceful actions like sneezing, coughing, and nose-blowing during the initial postoperative period are crucial to prevent potential complications.</p>","PeriodicalId":47204,"journal":{"name":"Indian Journal of Plastic Surgery","volume":"58 2","pages":"136-138"},"PeriodicalIF":1.5000,"publicationDate":"2024-11-26","publicationTypes":"Journal Article","fieldsOfStudy":null,"isOpenAccess":false,"openAccessPdf":"https://www.ncbi.nlm.nih.gov/pmc/articles/PMC12084096/pdf/","citationCount":"0","resultStr":"{\"title\":\"Orbital and Premaxillary Emphysema as a Result of Nose-Blowing Following Blepharoplasty.\",\"authors\":\"Bilge Tarım, Meltem Kılıç\",\"doi\":\"10.1055/s-0044-1795150\",\"DOIUrl\":null,\"url\":null,\"abstract\":\"<p><p>A 41-year-old man presented with sudden-onset swelling, redness, and pain in the right eye, 4 days after bilateral upper and lower eyelid blepharoplasty. The symptoms were preceded by a forceful nose-blowing episode. Upon examination, periorbital edema and subcutaneous crepitus were observed, along with limitations in upward gaze. Computed tomography revealed bilateral premaxillary and extraconal air accumulation. Since there was no optic nerve ischemia or orbital compartment syndrome, the patient was closely monitored. Spontaneous regression of the emphysema was observed during follow-ups. Orbital emphysema, although commonly associated with trauma, can also arise from compelling movements such as severe nose-blowing, as demonstrated in this unique case postblepharoplasty. The structural changes during surgery may contribute to weakened support, predisposing patients to emphysema following sudden pressure changes. Clinicians should be vigilant for periorbital edema and subcutaneous crepitus after facial surgeries, emphasizing the importance of timely imaging for diagnosis. Awareness campaigns advising against forceful actions like sneezing, coughing, and nose-blowing during the initial postoperative period are crucial to prevent potential complications.</p>\",\"PeriodicalId\":47204,\"journal\":{\"name\":\"Indian Journal of Plastic Surgery\",\"volume\":\"58 2\",\"pages\":\"136-138\"},\"PeriodicalIF\":1.5000,\"publicationDate\":\"2024-11-26\",\"publicationTypes\":\"Journal Article\",\"fieldsOfStudy\":null,\"isOpenAccess\":false,\"openAccessPdf\":\"https://www.ncbi.nlm.nih.gov/pmc/articles/PMC12084096/pdf/\",\"citationCount\":\"0\",\"resultStr\":null,\"platform\":\"Semanticscholar\",\"paperid\":null,\"PeriodicalName\":\"Indian Journal of Plastic Surgery\",\"FirstCategoryId\":\"1085\",\"ListUrlMain\":\"https://doi.org/10.1055/s-0044-1795150\",\"RegionNum\":0,\"RegionCategory\":null,\"ArticlePicture\":[],\"TitleCN\":null,\"AbstractTextCN\":null,\"PMCID\":null,\"EPubDate\":\"2025/4/1 0:00:00\",\"PubModel\":\"eCollection\",\"JCR\":\"Q4\",\"JCRName\":\"SURGERY\",\"Score\":null,\"Total\":0}","platform":"Semanticscholar","paperid":null,"PeriodicalName":"Indian Journal of Plastic Surgery","FirstCategoryId":"1085","ListUrlMain":"https://doi.org/10.1055/s-0044-1795150","RegionNum":0,"RegionCategory":null,"ArticlePicture":[],"TitleCN":null,"AbstractTextCN":null,"PMCID":null,"EPubDate":"2025/4/1 0:00:00","PubModel":"eCollection","JCR":"Q4","JCRName":"SURGERY","Score":null,"Total":0}
引用次数: 0

摘要

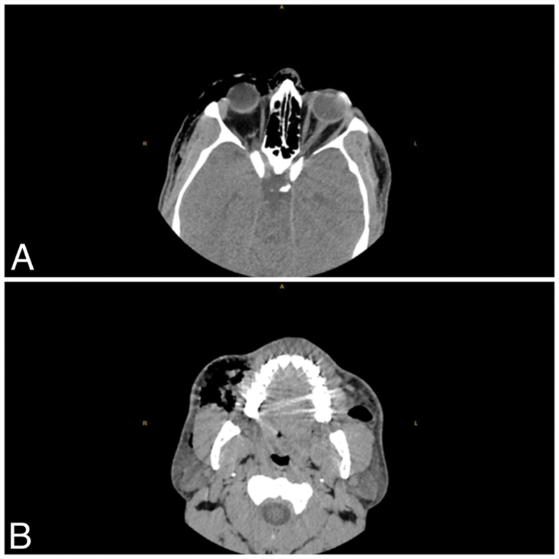
一位41岁男性患者在双侧上、下眼睑成形术4天后出现右眼突然肿胀、发红和疼痛。这些症状之前有强烈的擤鼻症状。经检查,观察到眶周水肿和皮下crepit,同时向上凝视受限。计算机断层扫描显示双侧上颌前和外腔空气积聚。由于没有视神经缺血或眶间室综合征,因此密切监测患者。随访中观察到肺气肿自发消退。眼眶肺气肿,虽然通常与外伤有关,但也可以由剧烈的运动引起,如严重的擤鼻,正如这个独特的眼睑成形术后病例所证明的那样。手术过程中的结构改变可能导致支撑减弱,使患者在压力突然变化后易患肺气肿。临床医生应警惕面部手术后的眶周水肿和皮下crepit,强调及时影像学诊断的重要性。开展宣传活动,建议在术后初期不要采取打喷嚏、咳嗽和擤鼻涕等强烈行为,这对于预防潜在的并发症至关重要。
本文章由计算机程序翻译,如有差异,请以英文原文为准。

Orbital and Premaxillary Emphysema as a Result of Nose-Blowing Following Blepharoplasty.

Orbital and Premaxillary Emphysema as a Result of Nose-Blowing Following Blepharoplasty.

Orbital and Premaxillary Emphysema as a Result of Nose-Blowing Following Blepharoplasty.

A 41-year-old man presented with sudden-onset swelling, redness, and pain in the right eye, 4 days after bilateral upper and lower eyelid blepharoplasty. The symptoms were preceded by a forceful nose-blowing episode. Upon examination, periorbital edema and subcutaneous crepitus were observed, along with limitations in upward gaze. Computed tomography revealed bilateral premaxillary and extraconal air accumulation. Since there was no optic nerve ischemia or orbital compartment syndrome, the patient was closely monitored. Spontaneous regression of the emphysema was observed during follow-ups. Orbital emphysema, although commonly associated with trauma, can also arise from compelling movements such as severe nose-blowing, as demonstrated in this unique case postblepharoplasty. The structural changes during surgery may contribute to weakened support, predisposing patients to emphysema following sudden pressure changes. Clinicians should be vigilant for periorbital edema and subcutaneous crepitus after facial surgeries, emphasizing the importance of timely imaging for diagnosis. Awareness campaigns advising against forceful actions like sneezing, coughing, and nose-blowing during the initial postoperative period are crucial to prevent potential complications.

求助全文
通过发布文献求助,成功后即可免费获取论文全文。 去求助
来源期刊
CiteScore
0.80
自引率
12.50%
发文量
64
审稿时长
27 weeks
期刊介绍: Indian Journal of Plastic Surgery (ISSN : 0970-0358) is biannual publication of the Association of Plastic Surgeons of India. Bibliographic listings: The journal is indexed with Bioline International, Caspur, DOAJ, EBSCO Publishing’s Electronic Databases, Expanded Academic ASAP, Genamics JournalSeek, Google Scholar, Health & Wellness Research Center, Health Reference Center Academic, Hinari, Index Copernicus, IndMed, OpenJGate, PubMed, Pubmed Central, Scimago Journal Ranking, SCOLOAR, SCOPUS, SIIC databases, SNEMB, Ulrich’s International Periodical Directory
×
引用
GB/T 7714-2015
复制
MLA
复制
APA
复制
导出至
BibTeX EndNote RefMan NoteFirst NoteExpress
×
提示
您的信息不完整,为了账户安全,请先补充。
现在去补充
×
提示
您因"违规操作"
具体请查看互助需知
我知道了
×
提示
确定
请完成安全验证×
copy
已复制链接
快去分享给好友吧!
我知道了
右上角分享
点击右上角分享
0
联系我们:info@booksci.cn Book学术提供免费学术资源搜索服务,方便国内外学者检索中英文文献。致力于提供最便捷和优质的服务体验。 Copyright © 2023 布克学术 All rights reserved.
京ICP备2023020795号-1
ghs 京公网安备 11010802042870号
Book学术文献互助
Book学术文献互助群
群 号:604180095
Book学术官方微信