子宫动脉多普勒脉搏指数对胎盘部位滋养细胞瘤超声诊断的附加价值:前瞻性队列研究。

IF 6.3 1区 医学 Q1 ACOUSTICS
Ultrasound in Obstetrics & Gynecology Pub Date : 2025-07-01 Epub Date: 2025-05-19 DOI:10.1002/uog.29235
R Cioffi, P I Cavoretto, G Sabetta, A Bergamini, E Rabaiotti, M Candiani, G Mangili
{"title":"子宫动脉多普勒脉搏指数对胎盘部位滋养细胞瘤超声诊断的附加价值:前瞻性队列研究。","authors":"R Cioffi, P I Cavoretto, G Sabetta, A Bergamini, E Rabaiotti, M Candiani, G Mangili","doi":"10.1002/uog.29235","DOIUrl":null,"url":null,"abstract":"<p><strong>Objectives: </strong>The ultrasound diagnosis of placental site trophoblastic tumor (PSTT) is challenging owing to a lack of pathognomonic features. Differential diagnosis from other forms of gestational trophoblastic neoplasia (GTN) is critical owing to major differences in prognosis and treatment. Doppler measurement of uterine artery (UtA) pulsatility index (PI) has been proposed for the diagnosis and management of GTN. The aim of this study was to evaluate the added value of UtA-PI Doppler measurement during the standard transvaginal ultrasound (TVS) assessment, in patients with PSTT as compared to those with other GTN.</p><p><strong>Methods: </strong>This was a single-center prospective cohort study involving ultrasound assessment of all GTN cases referred to and treated at the trophoblast unit of San Raffaele Hospital, Milan, Italy, between 2011 and 2023. TVS assessment included: grayscale analysis for the detection of myometrial or endometrial abnormalities, color and power Doppler assessment of lesions with scoring of vascularization, and spectral pulsed-wave Doppler for measurement of mean UtA-PI from the left and right UtAs. Sonographic findings were compared between patients with PSTT and those with other forms of GTN (postmolar, invasive mole or choriocarcinoma), using non-parametric two-tailed statistical analysis.</p><p><strong>Results: </strong>A total of 73 GTN cases were recruited, comprising nine (12.3%) with PSTT and 64 (87.7%) with other GTN. A significant difference was detected between other-GTN and PSTT cases when comparing rates of substantial endometrial vascularity on Doppler (50% vs 0%; P = 0.013) and mean UtA-PI measurements (median, 1.5 (interquartile range (IQR), 1.0-2.4) vs 2.2 (IQR, 1.5-2.7); P = 0.014; area under the receiver-operating-characteristics curve, 0.768 (95% CI, 0.610-0.888)).</p><p><strong>Conclusions: </strong>This study describes UtA-PI as a novel and effective marker allowing for the ultrasound differentiation of PSTT from other forms of GTN. The significantly higher mean UtA-PI and lower endometrial vascularity observed in PSTT as compared with other GTN suggests a unique vascularization pattern, with a potential role in differential diagnosis and management. © 2025 The Author(s). Ultrasound in Obstetrics & Gynecology published by John Wiley & Sons Ltd on behalf of International Society of Ultrasound in Obstetrics and Gynecology.</p>","PeriodicalId":23454,"journal":{"name":"Ultrasound in Obstetrics & Gynecology","volume":" ","pages":"73-80"},"PeriodicalIF":6.3000,"publicationDate":"2025-07-01","publicationTypes":"Journal Article","fieldsOfStudy":null,"isOpenAccess":false,"openAccessPdf":"https://www.ncbi.nlm.nih.gov/pmc/articles/PMC12209685/pdf/","citationCount":"0","resultStr":"{\"title\":\"Additional value of uterine artery Doppler pulsatility index for ultrasound diagnosis of placental site trophoblastic tumor: prospective cohort study.\",\"authors\":\"R Cioffi, P I Cavoretto, G Sabetta, A Bergamini, E Rabaiotti, M Candiani, G Mangili\",\"doi\":\"10.1002/uog.29235\",\"DOIUrl\":null,\"url\":null,\"abstract\":\"<p><strong>Objectives: </strong>The ultrasound diagnosis of placental site trophoblastic tumor (PSTT) is challenging owing to a lack of pathognomonic features. Differential diagnosis from other forms of gestational trophoblastic neoplasia (GTN) is critical owing to major differences in prognosis and treatment. Doppler measurement of uterine artery (UtA) pulsatility index (PI) has been proposed for the diagnosis and management of GTN. The aim of this study was to evaluate the added value of UtA-PI Doppler measurement during the standard transvaginal ultrasound (TVS) assessment, in patients with PSTT as compared to those with other GTN.</p><p><strong>Methods: </strong>This was a single-center prospective cohort study involving ultrasound assessment of all GTN cases referred to and treated at the trophoblast unit of San Raffaele Hospital, Milan, Italy, between 2011 and 2023. TVS assessment included: grayscale analysis for the detection of myometrial or endometrial abnormalities, color and power Doppler assessment of lesions with scoring of vascularization, and spectral pulsed-wave Doppler for measurement of mean UtA-PI from the left and right UtAs. Sonographic findings were compared between patients with PSTT and those with other forms of GTN (postmolar, invasive mole or choriocarcinoma), using non-parametric two-tailed statistical analysis.</p><p><strong>Results: </strong>A total of 73 GTN cases were recruited, comprising nine (12.3%) with PSTT and 64 (87.7%) with other GTN. A significant difference was detected between other-GTN and PSTT cases when comparing rates of substantial endometrial vascularity on Doppler (50% vs 0%; P = 0.013) and mean UtA-PI measurements (median, 1.5 (interquartile range (IQR), 1.0-2.4) vs 2.2 (IQR, 1.5-2.7); P = 0.014; area under the receiver-operating-characteristics curve, 0.768 (95% CI, 0.610-0.888)).</p><p><strong>Conclusions: </strong>This study describes UtA-PI as a novel and effective marker allowing for the ultrasound differentiation of PSTT from other forms of GTN. The significantly higher mean UtA-PI and lower endometrial vascularity observed in PSTT as compared with other GTN suggests a unique vascularization pattern, with a potential role in differential diagnosis and management. © 2025 The Author(s). Ultrasound in Obstetrics & Gynecology published by John Wiley & Sons Ltd on behalf of International Society of Ultrasound in Obstetrics and Gynecology.</p>\",\"PeriodicalId\":23454,\"journal\":{\"name\":\"Ultrasound in Obstetrics & Gynecology\",\"volume\":\" \",\"pages\":\"73-80\"},\"PeriodicalIF\":6.3000,\"publicationDate\":\"2025-07-01\",\"publicationTypes\":\"Journal Article\",\"fieldsOfStudy\":null,\"isOpenAccess\":false,\"openAccessPdf\":\"https://www.ncbi.nlm.nih.gov/pmc/articles/PMC12209685/pdf/\",\"citationCount\":\"0\",\"resultStr\":null,\"platform\":\"Semanticscholar\",\"paperid\":null,\"PeriodicalName\":\"Ultrasound in Obstetrics & Gynecology\",\"FirstCategoryId\":\"3\",\"ListUrlMain\":\"https://doi.org/10.1002/uog.29235\",\"RegionNum\":1,\"RegionCategory\":\"医学\",\"ArticlePicture\":[],\"TitleCN\":null,\"AbstractTextCN\":null,\"PMCID\":null,\"EPubDate\":\"2025/5/19 0:00:00\",\"PubModel\":\"Epub\",\"JCR\":\"Q1\",\"JCRName\":\"ACOUSTICS\",\"Score\":null,\"Total\":0}","platform":"Semanticscholar","paperid":null,"PeriodicalName":"Ultrasound in Obstetrics & Gynecology","FirstCategoryId":"3","ListUrlMain":"https://doi.org/10.1002/uog.29235","RegionNum":1,"RegionCategory":"医学","ArticlePicture":[],"TitleCN":null,"AbstractTextCN":null,"PMCID":null,"EPubDate":"2025/5/19 0:00:00","PubModel":"Epub","JCR":"Q1","JCRName":"ACOUSTICS","Score":null,"Total":0}
引用次数: 0

摘要

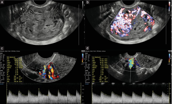
目的:由于缺乏病理特征,超声诊断胎盘部位滋养细胞瘤(PSTT)具有挑战性。由于预后和治疗的主要差异,与其他形式的妊娠滋养细胞瘤(GTN)的鉴别诊断至关重要。多普勒测量子宫动脉(UtA)搏动指数(PI)已被提出用于GTN的诊断和治疗。本研究的目的是评估UtA-PI多普勒测量在标准经阴道超声(TVS)评估中的附加价值,在PSTT患者中与其他GTN患者相比。方法:这是一项单中心前瞻性队列研究,涉及2011年至2023年间在意大利米兰圣拉斐尔医院滋养细胞病房转诊和治疗的所有GTN病例的超声评估。TVS评估包括:灰度分析检测子宫肌层或子宫内膜异常,彩色和功率多普勒评估病变与血管化评分,频谱脉冲波多普勒测量左右uta的平均UtA-PI。采用非参数双尾统计分析,比较PSTT患者与其他形式GTN(臼齿后、侵袭性痣或绒毛膜癌)患者的超声表现。结果:共纳入73例GTN,其中PSTT组9例(12.3%),其他GTN组64例(87.7%)。当比较多普勒显示的子宫内膜血管充血率时,其他gtn和PSTT病例之间存在显著差异(50% vs 0%;P = 0.013)和平均UtA-PI测量值(中位数,1.5(四分位间距(IQR), 1.0-2.4) vs 2.2 (IQR, 1.5-2.7);p = 0.014;接受者-工作特征曲线下面积,0.768 (95% CI, 0.610-0.888)。结论:本研究将UtA-PI描述为一种新的有效的标记物,允许超声将PSTT与其他形式的GTN区分开来。与其他GTN相比,PSTT的平均UtA-PI明显较高,子宫内膜血管密度较低,这表明PSTT具有独特的血管形成模式,在鉴别诊断和治疗中具有潜在的作用。©2025作者。妇产科学超声由John Wiley & Sons Ltd代表国际妇产科学超声学会出版。
本文章由计算机程序翻译,如有差异,请以英文原文为准。

Additional value of uterine artery Doppler pulsatility index for ultrasound diagnosis of placental site trophoblastic tumor: prospective cohort study.

Additional value of uterine artery Doppler pulsatility index for ultrasound diagnosis of placental site trophoblastic tumor: prospective cohort study.

Additional value of uterine artery Doppler pulsatility index for ultrasound diagnosis of placental site trophoblastic tumor: prospective cohort study.

Additional value of uterine artery Doppler pulsatility index for ultrasound diagnosis of placental site trophoblastic tumor: prospective cohort study.

Objectives: The ultrasound diagnosis of placental site trophoblastic tumor (PSTT) is challenging owing to a lack of pathognomonic features. Differential diagnosis from other forms of gestational trophoblastic neoplasia (GTN) is critical owing to major differences in prognosis and treatment. Doppler measurement of uterine artery (UtA) pulsatility index (PI) has been proposed for the diagnosis and management of GTN. The aim of this study was to evaluate the added value of UtA-PI Doppler measurement during the standard transvaginal ultrasound (TVS) assessment, in patients with PSTT as compared to those with other GTN.

Methods: This was a single-center prospective cohort study involving ultrasound assessment of all GTN cases referred to and treated at the trophoblast unit of San Raffaele Hospital, Milan, Italy, between 2011 and 2023. TVS assessment included: grayscale analysis for the detection of myometrial or endometrial abnormalities, color and power Doppler assessment of lesions with scoring of vascularization, and spectral pulsed-wave Doppler for measurement of mean UtA-PI from the left and right UtAs. Sonographic findings were compared between patients with PSTT and those with other forms of GTN (postmolar, invasive mole or choriocarcinoma), using non-parametric two-tailed statistical analysis.

Results: A total of 73 GTN cases were recruited, comprising nine (12.3%) with PSTT and 64 (87.7%) with other GTN. A significant difference was detected between other-GTN and PSTT cases when comparing rates of substantial endometrial vascularity on Doppler (50% vs 0%; P = 0.013) and mean UtA-PI measurements (median, 1.5 (interquartile range (IQR), 1.0-2.4) vs 2.2 (IQR, 1.5-2.7); P = 0.014; area under the receiver-operating-characteristics curve, 0.768 (95% CI, 0.610-0.888)).

Conclusions: This study describes UtA-PI as a novel and effective marker allowing for the ultrasound differentiation of PSTT from other forms of GTN. The significantly higher mean UtA-PI and lower endometrial vascularity observed in PSTT as compared with other GTN suggests a unique vascularization pattern, with a potential role in differential diagnosis and management. © 2025 The Author(s). Ultrasound in Obstetrics & Gynecology published by John Wiley & Sons Ltd on behalf of International Society of Ultrasound in Obstetrics and Gynecology.

求助全文
通过发布文献求助,成功后即可免费获取论文全文。 去求助
来源期刊
CiteScore
12.30
自引率
14.10%
发文量
891
审稿时长
1 months
期刊介绍: Ultrasound in Obstetrics & Gynecology (UOG) is the official journal of the International Society of Ultrasound in Obstetrics and Gynecology (ISUOG) and is considered the foremost international peer-reviewed journal in the field. It publishes cutting-edge research that is highly relevant to clinical practice, which includes guidelines, expert commentaries, consensus statements, original articles, and systematic reviews. UOG is widely recognized and included in prominent abstract and indexing databases such as Index Medicus and Current Contents.
×
引用
GB/T 7714-2015
复制
MLA
复制
APA
复制
导出至
BibTeX EndNote RefMan NoteFirst NoteExpress
×
提示
您的信息不完整,为了账户安全,请先补充。
现在去补充
×
提示
您因"违规操作"
具体请查看互助需知
我知道了
×
提示
确定
请完成安全验证×
copy
已复制链接
快去分享给好友吧!
我知道了
右上角分享
点击右上角分享
0
联系我们:info@booksci.cn Book学术提供免费学术资源搜索服务,方便国内外学者检索中英文文献。致力于提供最便捷和优质的服务体验。 Copyright © 2023 布克学术 All rights reserved.
京ICP备2023020795号-1
ghs 京公网安备 11010802042870号
Book学术文献互助
Book学术文献互助群
群 号:604180095
Book学术官方微信