胆管癌的Claudin 18免疫组化研究。

IF 2 4区 医学 Q3 GASTROENTEROLOGY & HEPATOLOGY
Journal of gastrointestinal oncology Pub Date : 2025-04-30 Epub Date: 2025-04-27 DOI:10.21037/jgo-2024-925
Niyati Desai, Huaibin M Ko, Michael Lee, Ladan Fazlollahi, Ryan H Moy, Sam S Yoon, Helen Remotti, Brynn Levy, Andrew T Turk, Stephen M Lagana
{"title":"胆管癌的Claudin 18免疫组化研究。","authors":"Niyati Desai, Huaibin M Ko, Michael Lee, Ladan Fazlollahi, Ryan H Moy, Sam S Yoon, Helen Remotti, Brynn Levy, Andrew T Turk, Stephen M Lagana","doi":"10.21037/jgo-2024-925","DOIUrl":null,"url":null,"abstract":"<p><strong>Background: </strong>Monoclonal antibodies against claudin (CLDN) 18.2 (a component of tight junctions) in gastric epithelial cells are an emerging therapeutic option for patients with advanced gastric and esophageal adenocarcinoma. Phase 2 and 3 trials have shown clinical efficacy in patients whose tumors show high expression of CLDN18 by immunohistochemistry, and the US Food and Drug Administration has recently approved a drug for patients with advanced gastric and gastroesophageal adenocarcinoma and high CLDN18 expression. Adenocarcinoma of the bile ducts, a.k.a. cholangiocarcinoma (CCA), may share morphologic and immunophenotypic qualities with gastric adenocarcinoma, and are lethal tumors with limited therapeutic options. The purpose of this study was to determine if primary tumors of the bile ducts show expression of CLDN18 with the use of a monoclonal antibody to CLDN18, and if so, if the extent of expression is similar to that seen in the gastric and esophageal tumors of patients who responded to anti-CLDN18.2 therapeutics.</p><p><strong>Methods: </strong>Tissue microarrays containing 41 intrahepatic cholangiocarcinomas, 36 hilar cholangiocarcinomas, and 28 distal bile duct cholangiocarcinomas were stained with a monoclonal antibody which detects CLDN18 (Ventana 43-14A). The percentage of tumor cells staining and intensity was recorded for each case with tumors with 75% of cells showing moderate to strong intensity being considered high expressers.</p><p><strong>Results: </strong>High expression was seen in 14.63% of intrahepatic, 8.3% of hilar, and 17.8% of distal bile duct cholangiocarcinomas. Overall, 13.33% of CCAs expressed CLDN18 to an extent which would qualify for treatment in the gastric and esophageal trials.</p><p><strong>Conclusions: </strong>Given the poor prognosis and current lack of therapeutic options, trials of anti-CLDN18.2 inhibitors could be considered in patients with CCA and high expression of CLDN18 by immunohistochemistry.</p>","PeriodicalId":15841,"journal":{"name":"Journal of gastrointestinal oncology","volume":"16 2","pages":"671-678"},"PeriodicalIF":2.0000,"publicationDate":"2025-04-30","publicationTypes":"Journal Article","fieldsOfStudy":null,"isOpenAccess":false,"openAccessPdf":"https://www.ncbi.nlm.nih.gov/pmc/articles/PMC12078809/pdf/","citationCount":"0","resultStr":"{\"title\":\"Claudin 18 immunohistochemistry in cholangiocarcinoma.\",\"authors\":\"Niyati Desai, Huaibin M Ko, Michael Lee, Ladan Fazlollahi, Ryan H Moy, Sam S Yoon, Helen Remotti, Brynn Levy, Andrew T Turk, Stephen M Lagana\",\"doi\":\"10.21037/jgo-2024-925\",\"DOIUrl\":null,\"url\":null,\"abstract\":\"<p><strong>Background: </strong>Monoclonal antibodies against claudin (CLDN) 18.2 (a component of tight junctions) in gastric epithelial cells are an emerging therapeutic option for patients with advanced gastric and esophageal adenocarcinoma. Phase 2 and 3 trials have shown clinical efficacy in patients whose tumors show high expression of CLDN18 by immunohistochemistry, and the US Food and Drug Administration has recently approved a drug for patients with advanced gastric and gastroesophageal adenocarcinoma and high CLDN18 expression. Adenocarcinoma of the bile ducts, a.k.a. cholangiocarcinoma (CCA), may share morphologic and immunophenotypic qualities with gastric adenocarcinoma, and are lethal tumors with limited therapeutic options. The purpose of this study was to determine if primary tumors of the bile ducts show expression of CLDN18 with the use of a monoclonal antibody to CLDN18, and if so, if the extent of expression is similar to that seen in the gastric and esophageal tumors of patients who responded to anti-CLDN18.2 therapeutics.</p><p><strong>Methods: </strong>Tissue microarrays containing 41 intrahepatic cholangiocarcinomas, 36 hilar cholangiocarcinomas, and 28 distal bile duct cholangiocarcinomas were stained with a monoclonal antibody which detects CLDN18 (Ventana 43-14A). The percentage of tumor cells staining and intensity was recorded for each case with tumors with 75% of cells showing moderate to strong intensity being considered high expressers.</p><p><strong>Results: </strong>High expression was seen in 14.63% of intrahepatic, 8.3% of hilar, and 17.8% of distal bile duct cholangiocarcinomas. Overall, 13.33% of CCAs expressed CLDN18 to an extent which would qualify for treatment in the gastric and esophageal trials.</p><p><strong>Conclusions: </strong>Given the poor prognosis and current lack of therapeutic options, trials of anti-CLDN18.2 inhibitors could be considered in patients with CCA and high expression of CLDN18 by immunohistochemistry.</p>\",\"PeriodicalId\":15841,\"journal\":{\"name\":\"Journal of gastrointestinal oncology\",\"volume\":\"16 2\",\"pages\":\"671-678\"},\"PeriodicalIF\":2.0000,\"publicationDate\":\"2025-04-30\",\"publicationTypes\":\"Journal Article\",\"fieldsOfStudy\":null,\"isOpenAccess\":false,\"openAccessPdf\":\"https://www.ncbi.nlm.nih.gov/pmc/articles/PMC12078809/pdf/\",\"citationCount\":\"0\",\"resultStr\":null,\"platform\":\"Semanticscholar\",\"paperid\":null,\"PeriodicalName\":\"Journal of gastrointestinal oncology\",\"FirstCategoryId\":\"3\",\"ListUrlMain\":\"https://doi.org/10.21037/jgo-2024-925\",\"RegionNum\":4,\"RegionCategory\":\"医学\",\"ArticlePicture\":[],\"TitleCN\":null,\"AbstractTextCN\":null,\"PMCID\":null,\"EPubDate\":\"2025/4/27 0:00:00\",\"PubModel\":\"Epub\",\"JCR\":\"Q3\",\"JCRName\":\"GASTROENTEROLOGY & HEPATOLOGY\",\"Score\":null,\"Total\":0}","platform":"Semanticscholar","paperid":null,"PeriodicalName":"Journal of gastrointestinal oncology","FirstCategoryId":"3","ListUrlMain":"https://doi.org/10.21037/jgo-2024-925","RegionNum":4,"RegionCategory":"医学","ArticlePicture":[],"TitleCN":null,"AbstractTextCN":null,"PMCID":null,"EPubDate":"2025/4/27 0:00:00","PubModel":"Epub","JCR":"Q3","JCRName":"GASTROENTEROLOGY & HEPATOLOGY","Score":null,"Total":0}
引用次数: 0

摘要

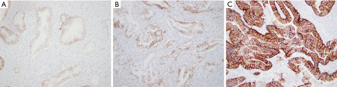
背景:针对胃上皮细胞中claudin (CLDN) 18.2(紧密连接成分)的单克隆抗体是晚期胃和食管腺癌患者的一种新兴治疗选择。2期和3期试验已经在免疫组化显示CLDN18高表达的肿瘤患者中显示了临床疗效,美国食品和药物管理局最近批准了一种用于晚期胃和胃食管腺癌和CLDN18高表达患者的药物。胆管腺癌,又称胆管癌(CCA),可能与胃腺癌具有相同的形态学和免疫表型特征,并且是致命的肿瘤,治疗选择有限。本研究的目的是通过使用CLDN18单克隆抗体确定胆管原发肿瘤是否表达CLDN18,如果表达,其表达程度是否与抗cldn18.2治疗有反应的患者的胃和食管肿瘤相似。方法:用检测CLDN18 (Ventana 43-14A)的单克隆抗体对含有41例肝内胆管癌、36例肝门胆管癌和28例远端胆管胆管癌的组织芯片进行染色。记录每个病例的肿瘤细胞染色百分比和强度,其中75%的细胞显示中等至强强度被认为是高表达者。结果:肝内癌、肝门癌、远端胆管癌高表达率分别为14.63%、8.3%和17.8%。总体而言,13.33%的cca表达CLDN18,符合胃和食管试验的治疗要求。结论:考虑到预后不良和目前缺乏治疗选择,抗cldn18.2抑制剂可以考虑在CCA和免疫组化高表达CLDN18患者中进行试验。
本文章由计算机程序翻译,如有差异,请以英文原文为准。

Claudin 18 immunohistochemistry in cholangiocarcinoma.

Claudin 18 immunohistochemistry in cholangiocarcinoma.

Background: Monoclonal antibodies against claudin (CLDN) 18.2 (a component of tight junctions) in gastric epithelial cells are an emerging therapeutic option for patients with advanced gastric and esophageal adenocarcinoma. Phase 2 and 3 trials have shown clinical efficacy in patients whose tumors show high expression of CLDN18 by immunohistochemistry, and the US Food and Drug Administration has recently approved a drug for patients with advanced gastric and gastroesophageal adenocarcinoma and high CLDN18 expression. Adenocarcinoma of the bile ducts, a.k.a. cholangiocarcinoma (CCA), may share morphologic and immunophenotypic qualities with gastric adenocarcinoma, and are lethal tumors with limited therapeutic options. The purpose of this study was to determine if primary tumors of the bile ducts show expression of CLDN18 with the use of a monoclonal antibody to CLDN18, and if so, if the extent of expression is similar to that seen in the gastric and esophageal tumors of patients who responded to anti-CLDN18.2 therapeutics.

Methods: Tissue microarrays containing 41 intrahepatic cholangiocarcinomas, 36 hilar cholangiocarcinomas, and 28 distal bile duct cholangiocarcinomas were stained with a monoclonal antibody which detects CLDN18 (Ventana 43-14A). The percentage of tumor cells staining and intensity was recorded for each case with tumors with 75% of cells showing moderate to strong intensity being considered high expressers.

Results: High expression was seen in 14.63% of intrahepatic, 8.3% of hilar, and 17.8% of distal bile duct cholangiocarcinomas. Overall, 13.33% of CCAs expressed CLDN18 to an extent which would qualify for treatment in the gastric and esophageal trials.

Conclusions: Given the poor prognosis and current lack of therapeutic options, trials of anti-CLDN18.2 inhibitors could be considered in patients with CCA and high expression of CLDN18 by immunohistochemistry.

求助全文
通过发布文献求助,成功后即可免费获取论文全文。 去求助
来源期刊
CiteScore
3.20
自引率
0.00%
发文量
171
期刊介绍: ournal of Gastrointestinal Oncology (Print ISSN 2078-6891; Online ISSN 2219-679X; J Gastrointest Oncol; JGO), the official journal of Society for Gastrointestinal Oncology (SGO), is an open-access, international peer-reviewed journal. It is published quarterly (Sep. 2010- Dec. 2013), bimonthly (Feb. 2014 -) and openly distributed worldwide. JGO publishes manuscripts that focus on updated and practical information about diagnosis, prevention and clinical investigations of gastrointestinal cancer treatment. Specific areas of interest include, but not limited to, multimodality therapy, markers, imaging and tumor biology.
×
引用
GB/T 7714-2015
复制
MLA
复制
APA
复制
导出至
BibTeX EndNote RefMan NoteFirst NoteExpress
×
提示
您的信息不完整,为了账户安全,请先补充。
现在去补充
×
提示
您因"违规操作"
具体请查看互助需知
我知道了
×
提示
确定
请完成安全验证×
copy
已复制链接
快去分享给好友吧!
我知道了
右上角分享
点击右上角分享
0
联系我们:info@booksci.cn Book学术提供免费学术资源搜索服务,方便国内外学者检索中英文文献。致力于提供最便捷和优质的服务体验。 Copyright © 2023 布克学术 All rights reserved.
京ICP备2023020795号-1
ghs 京公网安备 11010802042870号
Book学术文献互助
Book学术文献互助群
群 号:604180095
Book学术官方微信