以钙幽默:胆管癌继发恶性肿瘤体液性高钙1例报告。

IF 2 4区 医学 Q3 GASTROENTEROLOGY & HEPATOLOGY
Journal of gastrointestinal oncology Pub Date : 2025-04-30 Epub Date: 2025-04-27 DOI:10.21037/jgo-2024-986
Kaiser Kabir, David I LeRoy, Bhavana Liyanaarachchi, Zainab Shams, Ved Singla
{"title":"以钙幽默:胆管癌继发恶性肿瘤体液性高钙1例报告。","authors":"Kaiser Kabir, David I LeRoy, Bhavana Liyanaarachchi, Zainab Shams, Ved Singla","doi":"10.21037/jgo-2024-986","DOIUrl":null,"url":null,"abstract":"<p><strong>Background: </strong>Humoral hypercalcemia of malignancy (HHM) is a rare presentation of cholangiocarcinoma, with few reports in prior literature. HHM is due to the production of parathyroid hormone related peptide (PTHrP) from malignant tissues leading to hypercalcemia, often hard to control. Currently, HHM due to cholangiocarcinoma has been associated with poor prognosis and therapies utilized to manage HHM have not been shown to increase survival. Furthermore, biomarkers such as cytokeratin-7 (CK7) have been shown to correlate with worse prognosis in cholangiocarcinoma. While surgical treatment can be curative for cholangiocarcinoma, current nonsurgical treatment options for HHM due to cholangiocarcinoma have not been associated with improved prognosis.</p><p><strong>Case description: </strong>We present a rare case of HHM secondary to cholangiocarcinoma. This case presents a rare case of HHM due to cholangiocarcinoma with an atypical presentation in a 55-year-old female. This patient presented with abdominal swelling and severe hypercalcemia prompting evaluation for a possible gastrointestinal source and was found to have HHM due to cholangiocarcinoma. She was treated for her hypercalcemia medically, however due to the extent of her disease she was unable to undergo surgery. Chemotherapy was not considered during her initial presentation as she originally had a malignancy of unknown primary. Ultimately, shortly after her initial presentation, the patient passed at another hospitalization 36 days after her initial presentation.</p><p><strong>Conclusions: </strong>HHM rarely presents in cholangiocarcinoma, and of the reported cases, it is often associated with poor prognosis. Given the complexity of these cases, a multi-disciplinary approach is necessary for optimal management of these patients. The ability to risk-stratify patients with unique presentations such as this is crucial for accurate diagnosis and potential treatment. HHM in cholangiocarcinoma is poorly studied due to its rarity; however, given the prognosis of this syndrome, further research is essential for earlier detection and better treatments.</p>","PeriodicalId":15841,"journal":{"name":"Journal of gastrointestinal oncology","volume":"16 2","pages":"719-725"},"PeriodicalIF":2.0000,"publicationDate":"2025-04-30","publicationTypes":"Journal Article","fieldsOfStudy":null,"isOpenAccess":false,"openAccessPdf":"https://www.ncbi.nlm.nih.gov/pmc/articles/PMC12078828/pdf/","citationCount":"0","resultStr":"{\"title\":\"Humor me with calcium: a case report of humoral hypercalcemia of malignancy secondary to cholangiocarcinoma.\",\"authors\":\"Kaiser Kabir, David I LeRoy, Bhavana Liyanaarachchi, Zainab Shams, Ved Singla\",\"doi\":\"10.21037/jgo-2024-986\",\"DOIUrl\":null,\"url\":null,\"abstract\":\"<p><strong>Background: </strong>Humoral hypercalcemia of malignancy (HHM) is a rare presentation of cholangiocarcinoma, with few reports in prior literature. HHM is due to the production of parathyroid hormone related peptide (PTHrP) from malignant tissues leading to hypercalcemia, often hard to control. Currently, HHM due to cholangiocarcinoma has been associated with poor prognosis and therapies utilized to manage HHM have not been shown to increase survival. Furthermore, biomarkers such as cytokeratin-7 (CK7) have been shown to correlate with worse prognosis in cholangiocarcinoma. While surgical treatment can be curative for cholangiocarcinoma, current nonsurgical treatment options for HHM due to cholangiocarcinoma have not been associated with improved prognosis.</p><p><strong>Case description: </strong>We present a rare case of HHM secondary to cholangiocarcinoma. This case presents a rare case of HHM due to cholangiocarcinoma with an atypical presentation in a 55-year-old female. This patient presented with abdominal swelling and severe hypercalcemia prompting evaluation for a possible gastrointestinal source and was found to have HHM due to cholangiocarcinoma. She was treated for her hypercalcemia medically, however due to the extent of her disease she was unable to undergo surgery. Chemotherapy was not considered during her initial presentation as she originally had a malignancy of unknown primary. Ultimately, shortly after her initial presentation, the patient passed at another hospitalization 36 days after her initial presentation.</p><p><strong>Conclusions: </strong>HHM rarely presents in cholangiocarcinoma, and of the reported cases, it is often associated with poor prognosis. Given the complexity of these cases, a multi-disciplinary approach is necessary for optimal management of these patients. The ability to risk-stratify patients with unique presentations such as this is crucial for accurate diagnosis and potential treatment. HHM in cholangiocarcinoma is poorly studied due to its rarity; however, given the prognosis of this syndrome, further research is essential for earlier detection and better treatments.</p>\",\"PeriodicalId\":15841,\"journal\":{\"name\":\"Journal of gastrointestinal oncology\",\"volume\":\"16 2\",\"pages\":\"719-725\"},\"PeriodicalIF\":2.0000,\"publicationDate\":\"2025-04-30\",\"publicationTypes\":\"Journal Article\",\"fieldsOfStudy\":null,\"isOpenAccess\":false,\"openAccessPdf\":\"https://www.ncbi.nlm.nih.gov/pmc/articles/PMC12078828/pdf/\",\"citationCount\":\"0\",\"resultStr\":null,\"platform\":\"Semanticscholar\",\"paperid\":null,\"PeriodicalName\":\"Journal of gastrointestinal oncology\",\"FirstCategoryId\":\"3\",\"ListUrlMain\":\"https://doi.org/10.21037/jgo-2024-986\",\"RegionNum\":4,\"RegionCategory\":\"医学\",\"ArticlePicture\":[],\"TitleCN\":null,\"AbstractTextCN\":null,\"PMCID\":null,\"EPubDate\":\"2025/4/27 0:00:00\",\"PubModel\":\"Epub\",\"JCR\":\"Q3\",\"JCRName\":\"GASTROENTEROLOGY & HEPATOLOGY\",\"Score\":null,\"Total\":0}","platform":"Semanticscholar","paperid":null,"PeriodicalName":"Journal of gastrointestinal oncology","FirstCategoryId":"3","ListUrlMain":"https://doi.org/10.21037/jgo-2024-986","RegionNum":4,"RegionCategory":"医学","ArticlePicture":[],"TitleCN":null,"AbstractTextCN":null,"PMCID":null,"EPubDate":"2025/4/27 0:00:00","PubModel":"Epub","JCR":"Q3","JCRName":"GASTROENTEROLOGY & HEPATOLOGY","Score":null,"Total":0}
引用次数: 0

摘要

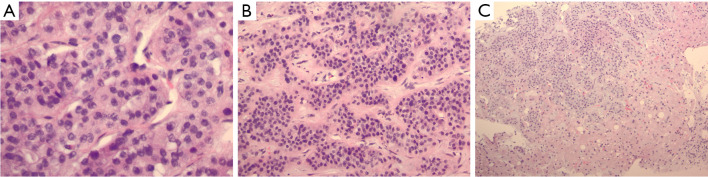
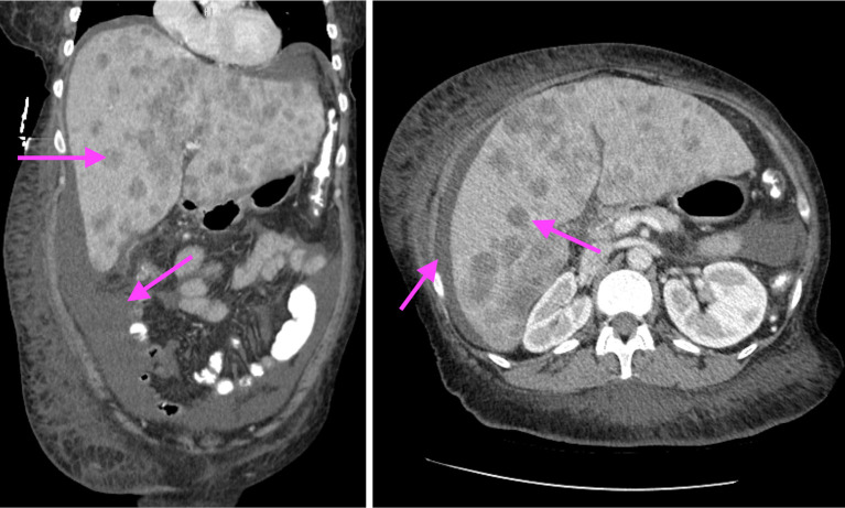
背景:恶性胆管癌的体液性高钙血症(HHM)是一种罕见的表现,在先前的文献中很少报道。HHM是由于恶性组织产生甲状旁腺激素相关肽(PTHrP)导致高钙血症,通常难以控制。目前,胆管癌引起的骨髓瘤与预后不良有关,用于治疗骨髓瘤的治疗方法尚未被证明能提高生存率。此外,细胞角蛋白-7 (CK7)等生物标志物已被证明与胆管癌预后不良相关。虽然手术治疗可以治愈胆管癌,但目前对于胆管癌引起的HHM的非手术治疗选择尚未与改善预后相关。病例描述:我们报告一个罕见的继发于胆管癌的HHM病例。本病例是一例罕见的由胆管癌引起的HHM,表现不典型,患者为55岁女性。该患者表现为腹部肿胀和严重的高钙血症,提示对可能的胃肠道来源进行评估,并被发现因胆管癌而患有HHM。她的高钙血症得到了医学治疗,但由于病情严重,她无法接受手术。由于她最初患有原发不明的恶性肿瘤,因此在初次就诊时未考虑化疗。最终,在初次就诊后不久,患者在初次就诊后36天再次住院。结论:HHM很少出现在胆管癌中,并且在报道的病例中,它通常与预后不良有关。鉴于这些病例的复杂性,需要多学科的方法来优化这些患者的管理。对具有独特表现的患者进行风险分层的能力对于准确诊断和潜在治疗至关重要。由于其罕见性,HHM在胆管癌中的研究很少;然而,考虑到这种综合征的预后,进一步的研究对于早期发现和更好的治疗是必要的。
本文章由计算机程序翻译,如有差异,请以英文原文为准。

Humor me with calcium: a case report of humoral hypercalcemia of malignancy secondary to cholangiocarcinoma.

Humor me with calcium: a case report of humoral hypercalcemia of malignancy secondary to cholangiocarcinoma.

Humor me with calcium: a case report of humoral hypercalcemia of malignancy secondary to cholangiocarcinoma.

Humor me with calcium: a case report of humoral hypercalcemia of malignancy secondary to cholangiocarcinoma.

Background: Humoral hypercalcemia of malignancy (HHM) is a rare presentation of cholangiocarcinoma, with few reports in prior literature. HHM is due to the production of parathyroid hormone related peptide (PTHrP) from malignant tissues leading to hypercalcemia, often hard to control. Currently, HHM due to cholangiocarcinoma has been associated with poor prognosis and therapies utilized to manage HHM have not been shown to increase survival. Furthermore, biomarkers such as cytokeratin-7 (CK7) have been shown to correlate with worse prognosis in cholangiocarcinoma. While surgical treatment can be curative for cholangiocarcinoma, current nonsurgical treatment options for HHM due to cholangiocarcinoma have not been associated with improved prognosis.

Case description: We present a rare case of HHM secondary to cholangiocarcinoma. This case presents a rare case of HHM due to cholangiocarcinoma with an atypical presentation in a 55-year-old female. This patient presented with abdominal swelling and severe hypercalcemia prompting evaluation for a possible gastrointestinal source and was found to have HHM due to cholangiocarcinoma. She was treated for her hypercalcemia medically, however due to the extent of her disease she was unable to undergo surgery. Chemotherapy was not considered during her initial presentation as she originally had a malignancy of unknown primary. Ultimately, shortly after her initial presentation, the patient passed at another hospitalization 36 days after her initial presentation.

Conclusions: HHM rarely presents in cholangiocarcinoma, and of the reported cases, it is often associated with poor prognosis. Given the complexity of these cases, a multi-disciplinary approach is necessary for optimal management of these patients. The ability to risk-stratify patients with unique presentations such as this is crucial for accurate diagnosis and potential treatment. HHM in cholangiocarcinoma is poorly studied due to its rarity; however, given the prognosis of this syndrome, further research is essential for earlier detection and better treatments.

求助全文
通过发布文献求助,成功后即可免费获取论文全文。 去求助
来源期刊
CiteScore
3.20
自引率
0.00%
发文量
171
期刊介绍: ournal of Gastrointestinal Oncology (Print ISSN 2078-6891; Online ISSN 2219-679X; J Gastrointest Oncol; JGO), the official journal of Society for Gastrointestinal Oncology (SGO), is an open-access, international peer-reviewed journal. It is published quarterly (Sep. 2010- Dec. 2013), bimonthly (Feb. 2014 -) and openly distributed worldwide. JGO publishes manuscripts that focus on updated and practical information about diagnosis, prevention and clinical investigations of gastrointestinal cancer treatment. Specific areas of interest include, but not limited to, multimodality therapy, markers, imaging and tumor biology.
×
引用
GB/T 7714-2015
复制
MLA
复制
APA
复制
导出至
BibTeX EndNote RefMan NoteFirst NoteExpress
×
提示
您的信息不完整,为了账户安全,请先补充。
现在去补充
×
提示
您因"违规操作"
具体请查看互助需知
我知道了
×
提示
确定
请完成安全验证×
copy
已复制链接
快去分享给好友吧!
我知道了
右上角分享
点击右上角分享
0
联系我们:info@booksci.cn Book学术提供免费学术资源搜索服务,方便国内外学者检索中英文文献。致力于提供最便捷和优质的服务体验。 Copyright © 2023 布克学术 All rights reserved.
京ICP备2023020795号-1
ghs 京公网安备 11010802042870号
Book学术文献互助
Book学术文献互助群
群 号:604180095
Book学术官方微信