新指南指导药物治疗成人先天性心脏病全身性右心衰的初步结果

IF 2.1 3区 医学 Q3 CARDIAC & CARDIOVASCULAR SYSTEMS
Cardiovascular diagnosis and therapy Pub Date : 2025-04-30 Epub Date: 2025-04-23 DOI:10.21037/cdt-24-452
Ann-Kristin Lassen, Yevheniia Artemenko, Michael Jerosch-Herold, Ines Kowalewski, Jakob Olfe, Arash Kheradvar, Tobias Giertzsch, Christoph Robert Sinning, Thomas S Mir, Goetz Christoph Mueller, Carsten Rickers
{"title":"新指南指导药物治疗成人先天性心脏病全身性右心衰的初步结果","authors":"Ann-Kristin Lassen, Yevheniia Artemenko, Michael Jerosch-Herold, Ines Kowalewski, Jakob Olfe, Arash Kheradvar, Tobias Giertzsch, Christoph Robert Sinning, Thomas S Mir, Goetz Christoph Mueller, Carsten Rickers","doi":"10.21037/cdt-24-452","DOIUrl":null,"url":null,"abstract":"<p><strong>Background: </strong>The combination therapy of angiotensin-converting enzyme inhibitors (ACEi) or alternatively angiotensin receptor-neprilysin inhibitors (ARNis), beta-blockers (BBs), mineralocorticoid receptor antagonists (MRAs), and recently sodium-glucose co-transporter 2 inhibitors (SGLT2is) has been hailed as a breakthrough in heart failure treatment for patients with structurally normal hearts, with international guidelines recommending these as first-line therapies (\"fantastic four\"). However, specific recommendations for adult with congenital heart disease (ACHD) and systemic right ventricle (sRV), who are at heightened risk for heart failure, are largely based on clinical experience or position statements, lacking robust clinical trial data. This study aims to evaluate the effectiveness and tolerability of these medications in ACHD patients with sRV.</p><p><strong>Methods: </strong>This retrospective single-center cohort study included 21 adult patients with sRV and signs of heart failure [6 with d-transposition of the great arteries (d-TGA) post-atrial switch, 7 with congenitally corrected transposition of the great arteries (cc-TGA), and 8 with univentricular right heart in Fontan circulation]. Changes in functional New York Heart Association (NYHA) class, N-terminal pro-B-type natriuretic peptide (NT-proBNP) levels, sRV function, and renal function were assessed before and after initiating or escalating heart failure pharmacotherapy with ARNi and/or SGLT2i. The median follow-up was 15 months (1.24 years).</p><p><strong>Results: </strong>The combination therapy was well tolerated among all patients, with no interruptions in therapy and no adverse effects such as hyperkalemia, renal dysfunction, or significant hypotension reported. Among the 21 patients with follow-up data, 12 were treated with the full combination of guideline-directed therapy, including ARNi and SGLT2i. NYHA class improved in 62.0% of patients (P=0.001), and the median NT-proBNP level decreased from 870 (range, 593-1,774) to 373 (range, 189-743) ng/L (P=0.001). However, no significant change in ventricular function was detected by echocardiography.</p><p><strong>Conclusions: </strong>Our preliminary findings suggest that in ACHD patients with a sRV the new guideline-directed heart failure pharmacotherapy regimen is well tolerated and leads to improvements in NYHA class and reductions in NT-proBNP levels. Further randomized studies are needed to confirm these promising results and to explore the effects of SGLT2i, either alone or in combination, in this patient population.</p>","PeriodicalId":9592,"journal":{"name":"Cardiovascular diagnosis and therapy","volume":"15 2","pages":"336-349"},"PeriodicalIF":2.1000,"publicationDate":"2025-04-30","publicationTypes":"Journal Article","fieldsOfStudy":null,"isOpenAccess":false,"openAccessPdf":"https://www.ncbi.nlm.nih.gov/pmc/articles/PMC12082241/pdf/","citationCount":"0","resultStr":"{\"title\":\"Initial outcomes of novel guideline-directed pharmacotherapy for systemic right heart failure in adults with congenital heart disease.\",\"authors\":\"Ann-Kristin Lassen, Yevheniia Artemenko, Michael Jerosch-Herold, Ines Kowalewski, Jakob Olfe, Arash Kheradvar, Tobias Giertzsch, Christoph Robert Sinning, Thomas S Mir, Goetz Christoph Mueller, Carsten Rickers\",\"doi\":\"10.21037/cdt-24-452\",\"DOIUrl\":null,\"url\":null,\"abstract\":\"<p><strong>Background: </strong>The combination therapy of angiotensin-converting enzyme inhibitors (ACEi) or alternatively angiotensin receptor-neprilysin inhibitors (ARNis), beta-blockers (BBs), mineralocorticoid receptor antagonists (MRAs), and recently sodium-glucose co-transporter 2 inhibitors (SGLT2is) has been hailed as a breakthrough in heart failure treatment for patients with structurally normal hearts, with international guidelines recommending these as first-line therapies (\\\"fantastic four\\\"). However, specific recommendations for adult with congenital heart disease (ACHD) and systemic right ventricle (sRV), who are at heightened risk for heart failure, are largely based on clinical experience or position statements, lacking robust clinical trial data. This study aims to evaluate the effectiveness and tolerability of these medications in ACHD patients with sRV.</p><p><strong>Methods: </strong>This retrospective single-center cohort study included 21 adult patients with sRV and signs of heart failure [6 with d-transposition of the great arteries (d-TGA) post-atrial switch, 7 with congenitally corrected transposition of the great arteries (cc-TGA), and 8 with univentricular right heart in Fontan circulation]. Changes in functional New York Heart Association (NYHA) class, N-terminal pro-B-type natriuretic peptide (NT-proBNP) levels, sRV function, and renal function were assessed before and after initiating or escalating heart failure pharmacotherapy with ARNi and/or SGLT2i. The median follow-up was 15 months (1.24 years).</p><p><strong>Results: </strong>The combination therapy was well tolerated among all patients, with no interruptions in therapy and no adverse effects such as hyperkalemia, renal dysfunction, or significant hypotension reported. Among the 21 patients with follow-up data, 12 were treated with the full combination of guideline-directed therapy, including ARNi and SGLT2i. NYHA class improved in 62.0% of patients (P=0.001), and the median NT-proBNP level decreased from 870 (range, 593-1,774) to 373 (range, 189-743) ng/L (P=0.001). However, no significant change in ventricular function was detected by echocardiography.</p><p><strong>Conclusions: </strong>Our preliminary findings suggest that in ACHD patients with a sRV the new guideline-directed heart failure pharmacotherapy regimen is well tolerated and leads to improvements in NYHA class and reductions in NT-proBNP levels. Further randomized studies are needed to confirm these promising results and to explore the effects of SGLT2i, either alone or in combination, in this patient population.</p>\",\"PeriodicalId\":9592,\"journal\":{\"name\":\"Cardiovascular diagnosis and therapy\",\"volume\":\"15 2\",\"pages\":\"336-349\"},\"PeriodicalIF\":2.1000,\"publicationDate\":\"2025-04-30\",\"publicationTypes\":\"Journal Article\",\"fieldsOfStudy\":null,\"isOpenAccess\":false,\"openAccessPdf\":\"https://www.ncbi.nlm.nih.gov/pmc/articles/PMC12082241/pdf/\",\"citationCount\":\"0\",\"resultStr\":null,\"platform\":\"Semanticscholar\",\"paperid\":null,\"PeriodicalName\":\"Cardiovascular diagnosis and therapy\",\"FirstCategoryId\":\"3\",\"ListUrlMain\":\"https://doi.org/10.21037/cdt-24-452\",\"RegionNum\":3,\"RegionCategory\":\"医学\",\"ArticlePicture\":[],\"TitleCN\":null,\"AbstractTextCN\":null,\"PMCID\":null,\"EPubDate\":\"2025/4/23 0:00:00\",\"PubModel\":\"Epub\",\"JCR\":\"Q3\",\"JCRName\":\"CARDIAC & CARDIOVASCULAR SYSTEMS\",\"Score\":null,\"Total\":0}","platform":"Semanticscholar","paperid":null,"PeriodicalName":"Cardiovascular diagnosis and therapy","FirstCategoryId":"3","ListUrlMain":"https://doi.org/10.21037/cdt-24-452","RegionNum":3,"RegionCategory":"医学","ArticlePicture":[],"TitleCN":null,"AbstractTextCN":null,"PMCID":null,"EPubDate":"2025/4/23 0:00:00","PubModel":"Epub","JCR":"Q3","JCRName":"CARDIAC & CARDIOVASCULAR SYSTEMS","Score":null,"Total":0}
引用次数: 0

摘要

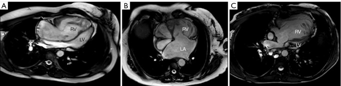
背景:血管紧张素转换酶抑制剂(ACEi)或血管紧张素受体-neprilysin抑制剂(ARNis)、β受体阻滞剂(BBs)、矿皮质激素受体拮抗剂(MRAs)和最近的钠-葡萄糖共转运蛋白2抑制剂(SGLT2is)的联合治疗被誉为心脏结构正常患者心力衰竭治疗的突破,国际指南推荐这些作为一线治疗(“神奇的四种”)。然而,对于患有先天性心脏病(ACHD)和全身性右心室(sRV)的成人,他们有心力衰竭的高风险,具体的建议主要是基于临床经验或立场陈述,缺乏可靠的临床试验数据。本研究旨在评估这些药物在伴有sRV的ACHD患者中的有效性和耐受性。方法:本回顾性单中心队列研究纳入21例有sRV和心衰体征的成年患者[6例为房源开关后d型大动脉转位(d-TGA), 7例为先天性纠正性大动脉转位(cc-TGA), 8例为Fontan循环单室右心]。在开始或升级ARNi和/或SGLT2i心力衰竭药物治疗前后,评估功能性纽约心脏协会(NYHA)类别、n端前b型利钠肽(NT-proBNP)水平、sRV功能和肾功能的变化。中位随访时间为15个月(1.24年)。结果:联合治疗在所有患者中耐受性良好,无治疗中断,无高钾血症、肾功能不全或明显低血压等不良反应报告。在随访数据的21例患者中,12例患者接受了指南导向治疗的完全联合治疗,包括ARNi和SGLT2i。62.0%的患者NYHA分级改善(P=0.001), NT-proBNP中位水平从870(593- 1774)降至373 (189-743)ng/L (P=0.001)。然而,超声心动图未发现心室功能有明显变化。结论:我们的初步研究结果表明,在伴有sRV的ACHD患者中,新的指南指导的心力衰竭药物治疗方案耐受性良好,可改善NYHA等级并降低NT-proBNP水平。需要进一步的随机研究来证实这些有希望的结果,并探索SGLT2i在该患者群体中的作用,无论是单独使用还是联合使用。
本文章由计算机程序翻译,如有差异,请以英文原文为准。

Initial outcomes of novel guideline-directed pharmacotherapy for systemic right heart failure in adults with congenital heart disease.

Initial outcomes of novel guideline-directed pharmacotherapy for systemic right heart failure in adults with congenital heart disease.

Initial outcomes of novel guideline-directed pharmacotherapy for systemic right heart failure in adults with congenital heart disease.

Initial outcomes of novel guideline-directed pharmacotherapy for systemic right heart failure in adults with congenital heart disease.

Background: The combination therapy of angiotensin-converting enzyme inhibitors (ACEi) or alternatively angiotensin receptor-neprilysin inhibitors (ARNis), beta-blockers (BBs), mineralocorticoid receptor antagonists (MRAs), and recently sodium-glucose co-transporter 2 inhibitors (SGLT2is) has been hailed as a breakthrough in heart failure treatment for patients with structurally normal hearts, with international guidelines recommending these as first-line therapies ("fantastic four"). However, specific recommendations for adult with congenital heart disease (ACHD) and systemic right ventricle (sRV), who are at heightened risk for heart failure, are largely based on clinical experience or position statements, lacking robust clinical trial data. This study aims to evaluate the effectiveness and tolerability of these medications in ACHD patients with sRV.

Methods: This retrospective single-center cohort study included 21 adult patients with sRV and signs of heart failure [6 with d-transposition of the great arteries (d-TGA) post-atrial switch, 7 with congenitally corrected transposition of the great arteries (cc-TGA), and 8 with univentricular right heart in Fontan circulation]. Changes in functional New York Heart Association (NYHA) class, N-terminal pro-B-type natriuretic peptide (NT-proBNP) levels, sRV function, and renal function were assessed before and after initiating or escalating heart failure pharmacotherapy with ARNi and/or SGLT2i. The median follow-up was 15 months (1.24 years).

Results: The combination therapy was well tolerated among all patients, with no interruptions in therapy and no adverse effects such as hyperkalemia, renal dysfunction, or significant hypotension reported. Among the 21 patients with follow-up data, 12 were treated with the full combination of guideline-directed therapy, including ARNi and SGLT2i. NYHA class improved in 62.0% of patients (P=0.001), and the median NT-proBNP level decreased from 870 (range, 593-1,774) to 373 (range, 189-743) ng/L (P=0.001). However, no significant change in ventricular function was detected by echocardiography.

Conclusions: Our preliminary findings suggest that in ACHD patients with a sRV the new guideline-directed heart failure pharmacotherapy regimen is well tolerated and leads to improvements in NYHA class and reductions in NT-proBNP levels. Further randomized studies are needed to confirm these promising results and to explore the effects of SGLT2i, either alone or in combination, in this patient population.

求助全文
通过发布文献求助,成功后即可免费获取论文全文。 去求助
来源期刊
Cardiovascular diagnosis and therapy
Cardiovascular diagnosis and therapy Medicine-Cardiology and Cardiovascular Medicine
CiteScore
4.90
自引率
4.20%
发文量
45
期刊介绍: The journal ''Cardiovascular Diagnosis and Therapy'' (Print ISSN: 2223-3652; Online ISSN: 2223-3660) accepts basic and clinical science submissions related to Cardiovascular Medicine and Surgery. The mission of the journal is the rapid exchange of scientific information between clinicians and scientists worldwide. To reach this goal, the journal will focus on novel media, using a web-based, digital format in addition to traditional print-version. This includes on-line submission, review, publication, and distribution. The digital format will also allow submission of extensive supporting visual material, both images and video. The website www.thecdt.org will serve as the central hub and also allow posting of comments and on-line discussion. The web-site of the journal will be linked to a number of international web-sites (e.g. www.dxy.cn), which will significantly expand the distribution of its contents.
×
引用
GB/T 7714-2015
复制
MLA
复制
APA
复制
导出至
BibTeX EndNote RefMan NoteFirst NoteExpress
×
提示
您的信息不完整,为了账户安全,请先补充。
现在去补充
×
提示
您因"违规操作"
具体请查看互助需知
我知道了
×
提示
确定
请完成安全验证×
copy
已复制链接
快去分享给好友吧!
我知道了
右上角分享
点击右上角分享
0
联系我们:info@booksci.cn Book学术提供免费学术资源搜索服务,方便国内外学者检索中英文文献。致力于提供最便捷和优质的服务体验。 Copyright © 2023 布克学术 All rights reserved.
京ICP备2023020795号-1
ghs 京公网安备 11010802042870号
Book学术文献互助
Book学术文献互助群
群 号:604180095
Book学术官方微信