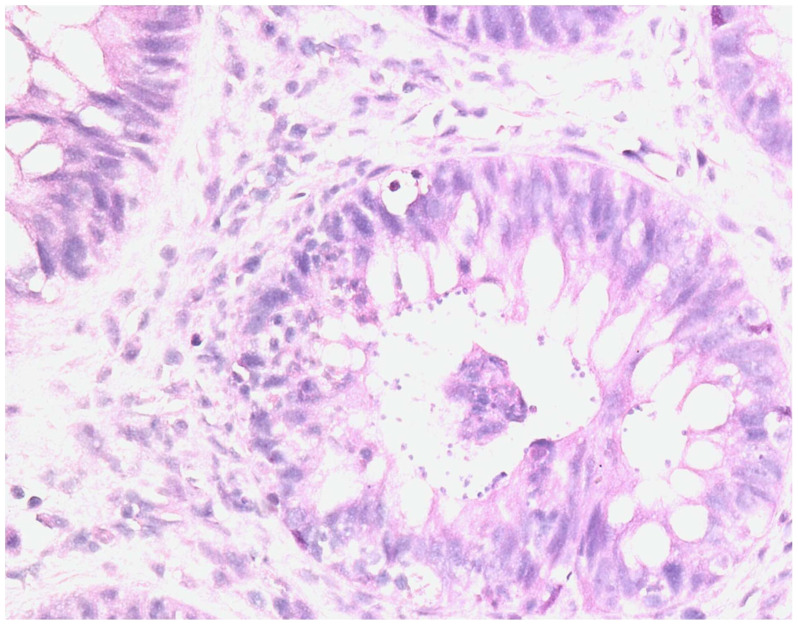
粪便微生物群移植作为治疗造血干细胞移植后并发的消化移植抗宿主病和隐孢子虫病的补救性治疗:1例

IF 1.5 4区 医学 Q3 HEMATOLOGY
Thomas Finotto, Carole Chevenet, Amandine Fayard
{"title":"粪便微生物群移植作为治疗造血干细胞移植后并发的消化移植抗宿主病和隐孢子虫病的补救性治疗:1例","authors":"Thomas Finotto, Carole Chevenet, Amandine Fayard","doi":"10.4084/MJHID.2025.035","DOIUrl":null,"url":null,"abstract":"","PeriodicalId":18498,"journal":{"name":"Mediterranean Journal of Hematology and Infectious Diseases","volume":"17 1","pages":"e2025035"},"PeriodicalIF":1.5000,"publicationDate":"2025-05-01","publicationTypes":"Journal Article","fieldsOfStudy":null,"isOpenAccess":false,"openAccessPdf":"https://www.ncbi.nlm.nih.gov/pmc/articles/PMC12081037/pdf/","citationCount":"0","resultStr":"{\"title\":\"Fecal Microbiota Transplantation as a Salvage Therapy for Concomitant Resistant Digestive Graft Versus Host Disease and Cryptosporidiosis in a Patient Post Hematopoietic Stem Cell Transplant: about a Case.\",\"authors\":\"Thomas Finotto, Carole Chevenet, Amandine Fayard\",\"doi\":\"10.4084/MJHID.2025.035\",\"DOIUrl\":null,\"url\":null,\"abstract\":\"\",\"PeriodicalId\":18498,\"journal\":{\"name\":\"Mediterranean Journal of Hematology and Infectious Diseases\",\"volume\":\"17 1\",\"pages\":\"e2025035\"},\"PeriodicalIF\":1.5000,\"publicationDate\":\"2025-05-01\",\"publicationTypes\":\"Journal Article\",\"fieldsOfStudy\":null,\"isOpenAccess\":false,\"openAccessPdf\":\"https://www.ncbi.nlm.nih.gov/pmc/articles/PMC12081037/pdf/\",\"citationCount\":\"0\",\"resultStr\":null,\"platform\":\"Semanticscholar\",\"paperid\":null,\"PeriodicalName\":\"Mediterranean Journal of Hematology and Infectious Diseases\",\"FirstCategoryId\":\"3\",\"ListUrlMain\":\"https://doi.org/10.4084/MJHID.2025.035\",\"RegionNum\":4,\"RegionCategory\":\"医学\",\"ArticlePicture\":[],\"TitleCN\":null,\"AbstractTextCN\":null,\"PMCID\":null,\"EPubDate\":\"2025/1/1 0:00:00\",\"PubModel\":\"eCollection\",\"JCR\":\"Q3\",\"JCRName\":\"HEMATOLOGY\",\"Score\":null,\"Total\":0}","platform":"Semanticscholar","paperid":null,"PeriodicalName":"Mediterranean Journal of Hematology and Infectious Diseases","FirstCategoryId":"3","ListUrlMain":"https://doi.org/10.4084/MJHID.2025.035","RegionNum":4,"RegionCategory":"医学","ArticlePicture":[],"TitleCN":null,"AbstractTextCN":null,"PMCID":null,"EPubDate":"2025/1/1 0:00:00","PubModel":"eCollection","JCR":"Q3","JCRName":"HEMATOLOGY","Score":null,"Total":0}
引用次数: 0

摘要

本文章由计算机程序翻译,如有差异,请以英文原文为准。

Fecal Microbiota Transplantation as a Salvage Therapy for Concomitant Resistant Digestive Graft Versus Host Disease and Cryptosporidiosis in a Patient Post Hematopoietic Stem Cell Transplant: about a Case.

Fecal Microbiota Transplantation as a Salvage Therapy for Concomitant Resistant Digestive Graft Versus Host Disease and Cryptosporidiosis in a Patient Post Hematopoietic Stem Cell Transplant: about a Case.
求助全文
通过发布文献求助,成功后即可免费获取论文全文。 去求助
来源期刊
CiteScore
4.20
自引率
6.20%
发文量
113
审稿时长
12 weeks
期刊介绍: Reciprocal interdependence between infectious and hematologic diseases (malignant and non-malignant) is well known. This relationship is particularly evident in Mediterranean countries. Parasitosis as Malaria, Leishmaniosis, B Hookworms, Teniasis, very common in the southeast Mediterranean area, infect about a billion people and manifest prevalently with anemia so that they are usually diagnosed mostly by experienced hematologist on blood or bone marrow smear. On the other hand, infections are also a significant problem in patients affected by hematological malignancies. The blood is the primary vector of HIV infection, which otherwise manifest with symptoms related to a reduction in T lymphocytes. In turn, infections can favor the insurgency of hematological malignancies. The causative relationship between Epstein-Barr virus infection, Helicobacter pylori, hepatitis C virus, HIV and lymphoproliferative diseases is well known.
×
引用
GB/T 7714-2015
复制
MLA
复制
APA
复制
导出至
BibTeX EndNote RefMan NoteFirst NoteExpress
×
提示
您的信息不完整,为了账户安全,请先补充。
现在去补充
×
提示
您因"违规操作"
具体请查看互助需知
我知道了
×
提示
确定
请完成安全验证×
copy
已复制链接
快去分享给好友吧!
我知道了
右上角分享
点击右上角分享
0
联系我们:info@booksci.cn Book学术提供免费学术资源搜索服务,方便国内外学者检索中英文文献。致力于提供最便捷和优质的服务体验。 Copyright © 2023 布克学术 All rights reserved.
京ICP备2023020795号-1
ghs 京公网安备 11010802042870号
Book学术文献互助
Book学术文献互助群
群 号:604180095
Book学术官方微信