SCONe:一个社区获得的视网膜图像库,可以预测眼部、心血管和神经退行性疾病。

IF 4.4 Q1 HEALTH CARE SCIENCES & SERVICES
Claire Tochel, Miguel O Bernabeu, Alice McTrusty, Andrew J Tatham, Emma Pead, Fiona Buckmaster, Jonathan Penny, Tom MacGillivray, Malihe Javidi, Heather Anderson, Ana Paula Rubio, Robert Wallace, Jamie B R Kidd, Ruairidh MacLeod, Niall Strang, Baljean Dhillon
{"title":"SCONe:一个社区获得的视网膜图像库,可以预测眼部、心血管和神经退行性疾病。","authors":"Claire Tochel, Miguel O Bernabeu, Alice McTrusty, Andrew J Tatham, Emma Pead, Fiona Buckmaster, Jonathan Penny, Tom MacGillivray, Malihe Javidi, Heather Anderson, Ana Paula Rubio, Robert Wallace, Jamie B R Kidd, Ruairidh MacLeod, Niall Strang, Baljean Dhillon","doi":"10.1136/bmjhci-2024-101236","DOIUrl":null,"url":null,"abstract":"<p><strong>Objectives: </strong>To safeguard Scotland's community-acquired retinal images (colour fundus photographs) in a secure, centrally held repository and support a variety of research including ocular, neurodegenerative and systemic disease prediction.</p><p><strong>Design: </strong>Retinal images captured in optometry practices linked to national, routinely collected, longitudinal healthcare data.</p><p><strong>Setting: </strong>Community optometry and the Public Health Scotland National Safe Haven.</p><p><strong>Participants: </strong>Adults (mostly aged 60+) who have attended their optometrist since 2006 for an eye examination during which a retinal image was captured.</p><p><strong>Main outcome measures: </strong>Successful retrieval of linkable colour fundus photographs from systems in use in practice and delivery to the Safe Haven for linkage and secure storage.</p><p><strong>Results: </strong>Scottish Collaborative Optometry-Ophthalmology Network e-research (SCONe) currently contains over 367 000 retinal images matched to over 36 000 patients. Healthcare data (hospital inpatient and outpatient, general ophthalmic, death and prescribing) records were retrieved for patients with one or more images, providing demographic and healthcare information for 95% of the cohort. The linked data allow the application of condition labels or phenotypes at specific points in time, facilitating research into retinal manifestations of vascular and neural diseases. The cohort is representative of the Scottish 60+ population in terms of sex (54% female), and there is a slight over-representation of people of black, Asian and minority ethnic groups (2% vs 1%) and those living in areas of lower deprivation (30% vs 16% in lowest two categories). Early research work has begun and is focusing on ocular and neurodegenerative disease prediction.</p><p><strong>Conclusions: </strong>The SCONe retinal image repository has been successfully established. We believe it offers enormous potential to support research into earlier detection of disease.</p>","PeriodicalId":9050,"journal":{"name":"BMJ Health & Care Informatics","volume":"32 1","pages":""},"PeriodicalIF":4.4000,"publicationDate":"2025-05-14","publicationTypes":"Journal Article","fieldsOfStudy":null,"isOpenAccess":false,"openAccessPdf":"https://www.ncbi.nlm.nih.gov/pmc/articles/PMC12083377/pdf/","citationCount":"0","resultStr":"{\"title\":\"SCONe: a community-acquired retinal image repository enabling ocular, cardiovascular and neurodegenerative disease prediction.\",\"authors\":\"Claire Tochel, Miguel O Bernabeu, Alice McTrusty, Andrew J Tatham, Emma Pead, Fiona Buckmaster, Jonathan Penny, Tom MacGillivray, Malihe Javidi, Heather Anderson, Ana Paula Rubio, Robert Wallace, Jamie B R Kidd, Ruairidh MacLeod, Niall Strang, Baljean Dhillon\",\"doi\":\"10.1136/bmjhci-2024-101236\",\"DOIUrl\":null,\"url\":null,\"abstract\":\"<p><strong>Objectives: </strong>To safeguard Scotland's community-acquired retinal images (colour fundus photographs) in a secure, centrally held repository and support a variety of research including ocular, neurodegenerative and systemic disease prediction.</p><p><strong>Design: </strong>Retinal images captured in optometry practices linked to national, routinely collected, longitudinal healthcare data.</p><p><strong>Setting: </strong>Community optometry and the Public Health Scotland National Safe Haven.</p><p><strong>Participants: </strong>Adults (mostly aged 60+) who have attended their optometrist since 2006 for an eye examination during which a retinal image was captured.</p><p><strong>Main outcome measures: </strong>Successful retrieval of linkable colour fundus photographs from systems in use in practice and delivery to the Safe Haven for linkage and secure storage.</p><p><strong>Results: </strong>Scottish Collaborative Optometry-Ophthalmology Network e-research (SCONe) currently contains over 367 000 retinal images matched to over 36 000 patients. Healthcare data (hospital inpatient and outpatient, general ophthalmic, death and prescribing) records were retrieved for patients with one or more images, providing demographic and healthcare information for 95% of the cohort. The linked data allow the application of condition labels or phenotypes at specific points in time, facilitating research into retinal manifestations of vascular and neural diseases. The cohort is representative of the Scottish 60+ population in terms of sex (54% female), and there is a slight over-representation of people of black, Asian and minority ethnic groups (2% vs 1%) and those living in areas of lower deprivation (30% vs 16% in lowest two categories). Early research work has begun and is focusing on ocular and neurodegenerative disease prediction.</p><p><strong>Conclusions: </strong>The SCONe retinal image repository has been successfully established. We believe it offers enormous potential to support research into earlier detection of disease.</p>\",\"PeriodicalId\":9050,\"journal\":{\"name\":\"BMJ Health & Care Informatics\",\"volume\":\"32 1\",\"pages\":\"\"},\"PeriodicalIF\":4.4000,\"publicationDate\":\"2025-05-14\",\"publicationTypes\":\"Journal Article\",\"fieldsOfStudy\":null,\"isOpenAccess\":false,\"openAccessPdf\":\"https://www.ncbi.nlm.nih.gov/pmc/articles/PMC12083377/pdf/\",\"citationCount\":\"0\",\"resultStr\":null,\"platform\":\"Semanticscholar\",\"paperid\":null,\"PeriodicalName\":\"BMJ Health & Care Informatics\",\"FirstCategoryId\":\"1085\",\"ListUrlMain\":\"https://doi.org/10.1136/bmjhci-2024-101236\",\"RegionNum\":0,\"RegionCategory\":null,\"ArticlePicture\":[],\"TitleCN\":null,\"AbstractTextCN\":null,\"PMCID\":null,\"EPubDate\":\"\",\"PubModel\":\"\",\"JCR\":\"Q1\",\"JCRName\":\"HEALTH CARE SCIENCES & SERVICES\",\"Score\":null,\"Total\":0}","platform":"Semanticscholar","paperid":null,"PeriodicalName":"BMJ Health & Care Informatics","FirstCategoryId":"1085","ListUrlMain":"https://doi.org/10.1136/bmjhci-2024-101236","RegionNum":0,"RegionCategory":null,"ArticlePicture":[],"TitleCN":null,"AbstractTextCN":null,"PMCID":null,"EPubDate":"","PubModel":"","JCR":"Q1","JCRName":"HEALTH CARE SCIENCES & SERVICES","Score":null,"Total":0}
引用次数: 0

摘要

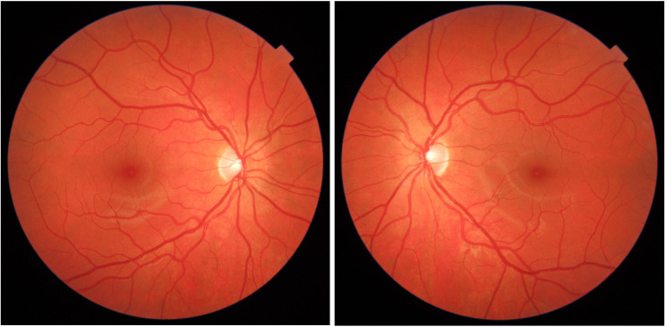
目的:将苏格兰社区获得的视网膜图像(彩色眼底照片)保存在安全的中央存储库中,并支持各种研究,包括眼部、神经退行性和全身性疾病预测。设计:在验光实践中捕获的视网膜图像与国家常规收集的纵向医疗保健数据相关。环境:社区验光和苏格兰公共卫生国家安全港。参与者:自2006年以来参加验光师眼科检查并拍摄视网膜图像的成年人(大多数年龄在60岁以上)。主要成果措施:从实际使用的系统中成功检索可链接的彩色眼底照片,并将其交付给安全港进行链接和安全存储。结果:苏格兰合作验光眼科网络电子研究(SCONe)目前包含超过36.7万张视网膜图像,与超过3.6万名患者相匹配。检索具有一张或多张图像的患者的医疗保健数据(住院和门诊、普通眼科、死亡和处方)记录,为95%的队列提供人口统计和医疗保健信息。关联数据允许在特定时间点应用条件标签或表型,促进对血管和神经疾病的视网膜表现的研究。该队列在性别方面代表了苏格兰60岁以上的人口(54%为女性),黑人、亚洲人和少数民族群体(2%对1%)以及生活在较贫困地区的人(30%对最低两类的16%)的代表性略高。早期的研究工作已经开始,重点是眼部和神经退行性疾病的预测。结论:成功建立了SCONe视网膜图像库。我们相信,它为支持疾病早期检测的研究提供了巨大的潜力。
本文章由计算机程序翻译,如有差异,请以英文原文为准。

SCONe: a community-acquired retinal image repository enabling ocular, cardiovascular and neurodegenerative disease prediction.

SCONe: a community-acquired retinal image repository enabling ocular, cardiovascular and neurodegenerative disease prediction.

SCONe: a community-acquired retinal image repository enabling ocular, cardiovascular and neurodegenerative disease prediction.

SCONe: a community-acquired retinal image repository enabling ocular, cardiovascular and neurodegenerative disease prediction.

Objectives: To safeguard Scotland's community-acquired retinal images (colour fundus photographs) in a secure, centrally held repository and support a variety of research including ocular, neurodegenerative and systemic disease prediction.

Design: Retinal images captured in optometry practices linked to national, routinely collected, longitudinal healthcare data.

Setting: Community optometry and the Public Health Scotland National Safe Haven.

Participants: Adults (mostly aged 60+) who have attended their optometrist since 2006 for an eye examination during which a retinal image was captured.

Main outcome measures: Successful retrieval of linkable colour fundus photographs from systems in use in practice and delivery to the Safe Haven for linkage and secure storage.

Results: Scottish Collaborative Optometry-Ophthalmology Network e-research (SCONe) currently contains over 367 000 retinal images matched to over 36 000 patients. Healthcare data (hospital inpatient and outpatient, general ophthalmic, death and prescribing) records were retrieved for patients with one or more images, providing demographic and healthcare information for 95% of the cohort. The linked data allow the application of condition labels or phenotypes at specific points in time, facilitating research into retinal manifestations of vascular and neural diseases. The cohort is representative of the Scottish 60+ population in terms of sex (54% female), and there is a slight over-representation of people of black, Asian and minority ethnic groups (2% vs 1%) and those living in areas of lower deprivation (30% vs 16% in lowest two categories). Early research work has begun and is focusing on ocular and neurodegenerative disease prediction.

Conclusions: The SCONe retinal image repository has been successfully established. We believe it offers enormous potential to support research into earlier detection of disease.

求助全文
通过发布文献求助,成功后即可免费获取论文全文。 去求助
来源期刊
CiteScore
6.10
自引率
4.90%
发文量
40
审稿时长
18 weeks
×
引用
GB/T 7714-2015
复制
MLA
复制
APA
复制
导出至
BibTeX EndNote RefMan NoteFirst NoteExpress
×
提示
您的信息不完整,为了账户安全,请先补充。
现在去补充
×
提示
您因"违规操作"
具体请查看互助需知
我知道了
×
提示
确定
请完成安全验证×
copy
已复制链接
快去分享给好友吧!
我知道了
右上角分享
点击右上角分享
0
联系我们:info@booksci.cn Book学术提供免费学术资源搜索服务,方便国内外学者检索中英文文献。致力于提供最便捷和优质的服务体验。 Copyright © 2023 布克学术 All rights reserved.
京ICP备2023020795号-1
ghs 京公网安备 11010802042870号
Book学术文献互助
Book学术文献互助群
群 号:604180095
Book学术官方微信