三级淋巴结构在I期非小细胞肺癌的预后价值:位置重要吗?

IF 1.9 4区 医学 Q3 ONCOLOGY
Clinical Medicine Insights-Oncology Pub Date : 2025-04-11 eCollection Date: 2025-01-01 DOI:10.1177/11795549251325061
Tianhui Xue, Xiaohuan Zhang, Qianwen Ye, Panhua Li, Yi Hu
{"title":"三级淋巴结构在I期非小细胞肺癌的预后价值:位置重要吗?","authors":"Tianhui Xue, Xiaohuan Zhang, Qianwen Ye, Panhua Li, Yi Hu","doi":"10.1177/11795549251325061","DOIUrl":null,"url":null,"abstract":"<p><strong>Background: </strong>Emerging evidence indicates the importance of tertiary lymphoid structures (TLSs) in predicting the outcomes of nonsmall cell lung cancer (NSCLC) patients; however, their prognostic value and correlations with peripheral inflammatory prognostic indices in stage I patients have been less well studied.</p><p><strong>Methods: </strong>Stage I NSCLC patients were recruited retrospectively; the presence and location of TLSs (peritumoral [pTLSs] and intratumoral [iTLSs]) were determined via hematoxylin and eosin (H&E)-stained slides. Peripheral inflammatory indices, including the neutrophil-to-lymphocyte ratio (NLR), lymphocyte-to-monocyte ratio (LMR), prognostic nutritional index (PNI), and advanced lung cancer inflammation index (ALI), were obtained and compared among these subgroups. Disease-free survival (DFS) and overall survival (OS) were tested via Kaplan-Meier analysis, and risk factors for survival were determined via a Cox proportional hazards model.</p><p><strong>Results: </strong>A total of 24.73% and 92.73% of patients were positive for pTLSs and iTLSs, respectively. The absolute number of iTLSs was significantly greater than that of pTLSs (<i>P</i> < .001). Low preoperative LMR and ALI were detected only in patients with pTLSs but not in those without. Only pTLS was found to be a risk factor for both DFS and OS, and it was independently associated with OS (HR = 3.93, 95% confidence interval [CI] = 1.16-13.37; <i>P</i> = .028). Accordingly, patients with pTLSs had relatively poor DFS (log rank = 5.46, <i>P</i> = .019) and OS (log rank = 10.48, <i>P</i> = .001) rates.</p><p><strong>Conclusions: </strong>Among the heterogeneous results concerning the prognostic value of pTLSs and iTLSs in stage I NSCLC, our results for the first time indicated that the presence of pTLSs may predict poor outcomes in these patients and no correlation of iTLSs with the outcomes was validated; however, additional studies with large sample size are needed in future.</p>","PeriodicalId":48591,"journal":{"name":"Clinical Medicine Insights-Oncology","volume":"19 ","pages":"11795549251325061"},"PeriodicalIF":1.9000,"publicationDate":"2025-04-11","publicationTypes":"Journal Article","fieldsOfStudy":null,"isOpenAccess":false,"openAccessPdf":"https://www.ncbi.nlm.nih.gov/pmc/articles/PMC12033594/pdf/","citationCount":"0","resultStr":"{\"title\":\"Prognostic Value of Tertiary Lymphoid Structures in Stage I Nonsmall Cell Lung Cancer: Does Location Matter?\",\"authors\":\"Tianhui Xue, Xiaohuan Zhang, Qianwen Ye, Panhua Li, Yi Hu\",\"doi\":\"10.1177/11795549251325061\",\"DOIUrl\":null,\"url\":null,\"abstract\":\"<p><strong>Background: </strong>Emerging evidence indicates the importance of tertiary lymphoid structures (TLSs) in predicting the outcomes of nonsmall cell lung cancer (NSCLC) patients; however, their prognostic value and correlations with peripheral inflammatory prognostic indices in stage I patients have been less well studied.</p><p><strong>Methods: </strong>Stage I NSCLC patients were recruited retrospectively; the presence and location of TLSs (peritumoral [pTLSs] and intratumoral [iTLSs]) were determined via hematoxylin and eosin (H&E)-stained slides. Peripheral inflammatory indices, including the neutrophil-to-lymphocyte ratio (NLR), lymphocyte-to-monocyte ratio (LMR), prognostic nutritional index (PNI), and advanced lung cancer inflammation index (ALI), were obtained and compared among these subgroups. Disease-free survival (DFS) and overall survival (OS) were tested via Kaplan-Meier analysis, and risk factors for survival were determined via a Cox proportional hazards model.</p><p><strong>Results: </strong>A total of 24.73% and 92.73% of patients were positive for pTLSs and iTLSs, respectively. The absolute number of iTLSs was significantly greater than that of pTLSs (<i>P</i> < .001). Low preoperative LMR and ALI were detected only in patients with pTLSs but not in those without. Only pTLS was found to be a risk factor for both DFS and OS, and it was independently associated with OS (HR = 3.93, 95% confidence interval [CI] = 1.16-13.37; <i>P</i> = .028). Accordingly, patients with pTLSs had relatively poor DFS (log rank = 5.46, <i>P</i> = .019) and OS (log rank = 10.48, <i>P</i> = .001) rates.</p><p><strong>Conclusions: </strong>Among the heterogeneous results concerning the prognostic value of pTLSs and iTLSs in stage I NSCLC, our results for the first time indicated that the presence of pTLSs may predict poor outcomes in these patients and no correlation of iTLSs with the outcomes was validated; however, additional studies with large sample size are needed in future.</p>\",\"PeriodicalId\":48591,\"journal\":{\"name\":\"Clinical Medicine Insights-Oncology\",\"volume\":\"19 \",\"pages\":\"11795549251325061\"},\"PeriodicalIF\":1.9000,\"publicationDate\":\"2025-04-11\",\"publicationTypes\":\"Journal Article\",\"fieldsOfStudy\":null,\"isOpenAccess\":false,\"openAccessPdf\":\"https://www.ncbi.nlm.nih.gov/pmc/articles/PMC12033594/pdf/\",\"citationCount\":\"0\",\"resultStr\":null,\"platform\":\"Semanticscholar\",\"paperid\":null,\"PeriodicalName\":\"Clinical Medicine Insights-Oncology\",\"FirstCategoryId\":\"3\",\"ListUrlMain\":\"https://doi.org/10.1177/11795549251325061\",\"RegionNum\":4,\"RegionCategory\":\"医学\",\"ArticlePicture\":[],\"TitleCN\":null,\"AbstractTextCN\":null,\"PMCID\":null,\"EPubDate\":\"2025/1/1 0:00:00\",\"PubModel\":\"eCollection\",\"JCR\":\"Q3\",\"JCRName\":\"ONCOLOGY\",\"Score\":null,\"Total\":0}","platform":"Semanticscholar","paperid":null,"PeriodicalName":"Clinical Medicine Insights-Oncology","FirstCategoryId":"3","ListUrlMain":"https://doi.org/10.1177/11795549251325061","RegionNum":4,"RegionCategory":"医学","ArticlePicture":[],"TitleCN":null,"AbstractTextCN":null,"PMCID":null,"EPubDate":"2025/1/1 0:00:00","PubModel":"eCollection","JCR":"Q3","JCRName":"ONCOLOGY","Score":null,"Total":0}
引用次数: 0

摘要

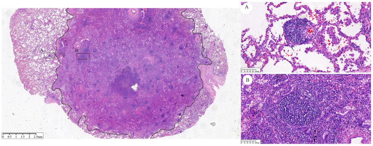
背景:新出现的证据表明三级淋巴样结构(TLSs)在预测非小细胞肺癌(NSCLC)患者预后中的重要性;然而,它们在I期患者中的预后价值和与周围炎症预后指标的相关性研究较少。方法:回顾性招募I期NSCLC患者;通过苏木精和伊红(H&E)染色玻片检测TLSs(瘤周[pTLSs]和瘤内[iTLSs])的存在和位置。外周血炎症指标,包括中性粒细胞与淋巴细胞比值(NLR)、淋巴细胞与单核细胞比值(LMR)、预后营养指数(PNI)和晚期肺癌炎症指数(ALI),在这些亚组之间进行比较。通过Kaplan-Meier分析检测无病生存期(DFS)和总生存期(OS),并通过Cox比例风险模型确定生存的危险因素。结果:pTLSs阳性率为24.73%,iTLSs阳性率为92.73%。itls的绝对数量显著大于pTLSs (P = 0.028)。因此,pTLSs患者的DFS (log rank = 5.46, P = 0.019)和OS (log rank = 10.48, P = 0.001)率相对较差。结论:在关于pTLSs和iTLSs在I期NSCLC预后价值的异质性结果中,我们的结果首次表明pTLSs的存在可能预测这些患者的不良预后,并且没有证实iTLSs与预后的相关性;然而,未来需要更多的大样本量的研究。
本文章由计算机程序翻译,如有差异,请以英文原文为准。

Prognostic Value of Tertiary Lymphoid Structures in Stage I Nonsmall Cell Lung Cancer: Does Location Matter?

Prognostic Value of Tertiary Lymphoid Structures in Stage I Nonsmall Cell Lung Cancer: Does Location Matter?

Prognostic Value of Tertiary Lymphoid Structures in Stage I Nonsmall Cell Lung Cancer: Does Location Matter?

Prognostic Value of Tertiary Lymphoid Structures in Stage I Nonsmall Cell Lung Cancer: Does Location Matter?

Background: Emerging evidence indicates the importance of tertiary lymphoid structures (TLSs) in predicting the outcomes of nonsmall cell lung cancer (NSCLC) patients; however, their prognostic value and correlations with peripheral inflammatory prognostic indices in stage I patients have been less well studied.

Methods: Stage I NSCLC patients were recruited retrospectively; the presence and location of TLSs (peritumoral [pTLSs] and intratumoral [iTLSs]) were determined via hematoxylin and eosin (H&E)-stained slides. Peripheral inflammatory indices, including the neutrophil-to-lymphocyte ratio (NLR), lymphocyte-to-monocyte ratio (LMR), prognostic nutritional index (PNI), and advanced lung cancer inflammation index (ALI), were obtained and compared among these subgroups. Disease-free survival (DFS) and overall survival (OS) were tested via Kaplan-Meier analysis, and risk factors for survival were determined via a Cox proportional hazards model.

Results: A total of 24.73% and 92.73% of patients were positive for pTLSs and iTLSs, respectively. The absolute number of iTLSs was significantly greater than that of pTLSs (P < .001). Low preoperative LMR and ALI were detected only in patients with pTLSs but not in those without. Only pTLS was found to be a risk factor for both DFS and OS, and it was independently associated with OS (HR = 3.93, 95% confidence interval [CI] = 1.16-13.37; P = .028). Accordingly, patients with pTLSs had relatively poor DFS (log rank = 5.46, P = .019) and OS (log rank = 10.48, P = .001) rates.

Conclusions: Among the heterogeneous results concerning the prognostic value of pTLSs and iTLSs in stage I NSCLC, our results for the first time indicated that the presence of pTLSs may predict poor outcomes in these patients and no correlation of iTLSs with the outcomes was validated; however, additional studies with large sample size are needed in future.

求助全文
通过发布文献求助,成功后即可免费获取论文全文。 去求助
来源期刊
CiteScore
2.40
自引率
4.50%
发文量
57
审稿时长
8 weeks
期刊介绍: Clinical Medicine Insights: Oncology is an international, peer-reviewed, open access journal that focuses on all aspects of cancer research and treatment, in addition to related genetic, pathophysiological and epidemiological topics. Of particular but not exclusive importance are molecular biology, clinical interventions, controlled trials, therapeutics, pharmacology and drug delivery, and techniques of cancer surgery. The journal welcomes unsolicited article proposals.
×
引用
GB/T 7714-2015
复制
MLA
复制
APA
复制
导出至
BibTeX EndNote RefMan NoteFirst NoteExpress
×
提示
您的信息不完整,为了账户安全,请先补充。
现在去补充
×
提示
您因"违规操作"
具体请查看互助需知
我知道了
×
提示
确定
请完成安全验证×
copy
已复制链接
快去分享给好友吧!
我知道了
右上角分享
点击右上角分享
0
联系我们:info@booksci.cn Book学术提供免费学术资源搜索服务,方便国内外学者检索中英文文献。致力于提供最便捷和优质的服务体验。 Copyright © 2023 布克学术 All rights reserved.
京ICP备2023020795号-1
ghs 京公网安备 11010802042870号
Book学术文献互助
Book学术文献互助群
群 号:604180095
Book学术官方微信