超声引导下囊肿抽吸治疗急性附件扭转。

IF 6.3 1区 医学 Q1 ACOUSTICS
Ultrasound in Obstetrics & Gynecology Pub Date : 2025-06-01 Epub Date: 2025-04-26 DOI:10.1002/uog.29225
L Berg, N Eagles, S Kastora, J Farren, J Naftalin, D Jurkovic
{"title":"超声引导下囊肿抽吸治疗急性附件扭转。","authors":"L Berg, N Eagles, S Kastora, J Farren, J Naftalin, D Jurkovic","doi":"10.1002/uog.29225","DOIUrl":null,"url":null,"abstract":"<p><strong>Objective: </strong>Ultrasound-guided cyst aspiration is a potential treatment for acute adnexal torsion that can be performed in the outpatient setting, offering an alternative to emergency laparoscopic surgery. The objective of this study was to describe our initial experience with aspiration of acutely torted adnexal cysts.</p><p><strong>Methods: </strong>This was a retrospective single-center study, in which we identified all patients who underwent ultrasound-guided cyst aspiration in our center between February 2008 and September 2023. Indications for the procedure were ultrasound diagnosis of adnexal torsion due to an ovarian cyst and clinical symptoms of acute adnexal torsion. Success was defined as the avoidance of emergency surgery for adnexal torsion related to the same cyst. We extracted clinical data, ultrasound scan findings, procedural details and clinical outcomes from our clinical database.</p><p><strong>Results: </strong>Overall, 46 patients underwent ultrasound-guided cyst aspiration for the management of adnexal torsion, 24 (52%) of whom were pregnant. At ultrasound examination, all 46 cysts had unilocular morphology, and in 96% (44/46) of cases, the cyst content was anechoic. Cyst aspiration was performed transabdominally in 30 (65%) patients and transvaginally in 16 (35%) patients. A total of 39 (85%) patients experienced complete resolution of symptoms immediately after ultrasound-guided cyst aspiration. One procedure was abandoned owing to patient discomfort and six (13%) patients reported non-resolution or short-term recurrence of symptoms, necessitating emergency laparoscopy in seven patients. No complications occurred as a result of ultrasound-guided cyst aspiration. Three patients had cyst aspiration more than once. Follow-up data were available for 29/39 (74%) patients who had successful ultrasound-guided cyst aspiration and received a subsequent ultrasound assessment in our clinic. In 8/29 (28%) patients, the cyst had completely resolved. In total, 4/21 (19%) patients with a persistent cyst opted for elective surgical intervention, while 17/21 (81%) continued conservative management at the last follow-up. Overall, 25/29 (86%) of those followed up after successful ultrasound-guided cyst aspiration, and at least 25/46 (54%) of all patients, avoided any form of surgical treatment.</p><p><strong>Conclusions: </strong>Ultrasound-guided cyst aspiration is an effective treatment for the management of acute adnexal torsion due to a cyst with unilocular morphology and anechoic or hypoechoic fluid content. With the use of this technique, emergency hospital admission and surgery were avoided in the majority of patients. © 2025 The Author(s). Ultrasound in Obstetrics & Gynecology published by John Wiley & Sons Ltd on behalf of International Society of Ultrasound in Obstetrics and Gynecology.</p>","PeriodicalId":23454,"journal":{"name":"Ultrasound in Obstetrics & Gynecology","volume":" ","pages":"790-797"},"PeriodicalIF":6.3000,"publicationDate":"2025-06-01","publicationTypes":"Journal Article","fieldsOfStudy":null,"isOpenAccess":false,"openAccessPdf":"https://www.ncbi.nlm.nih.gov/pmc/articles/PMC12127721/pdf/","citationCount":"0","resultStr":"{\"title\":\"Ultrasound-guided cyst aspiration for management of acute adnexal torsion.\",\"authors\":\"L Berg, N Eagles, S Kastora, J Farren, J Naftalin, D Jurkovic\",\"doi\":\"10.1002/uog.29225\",\"DOIUrl\":null,\"url\":null,\"abstract\":\"<p><strong>Objective: </strong>Ultrasound-guided cyst aspiration is a potential treatment for acute adnexal torsion that can be performed in the outpatient setting, offering an alternative to emergency laparoscopic surgery. The objective of this study was to describe our initial experience with aspiration of acutely torted adnexal cysts.</p><p><strong>Methods: </strong>This was a retrospective single-center study, in which we identified all patients who underwent ultrasound-guided cyst aspiration in our center between February 2008 and September 2023. Indications for the procedure were ultrasound diagnosis of adnexal torsion due to an ovarian cyst and clinical symptoms of acute adnexal torsion. Success was defined as the avoidance of emergency surgery for adnexal torsion related to the same cyst. We extracted clinical data, ultrasound scan findings, procedural details and clinical outcomes from our clinical database.</p><p><strong>Results: </strong>Overall, 46 patients underwent ultrasound-guided cyst aspiration for the management of adnexal torsion, 24 (52%) of whom were pregnant. At ultrasound examination, all 46 cysts had unilocular morphology, and in 96% (44/46) of cases, the cyst content was anechoic. Cyst aspiration was performed transabdominally in 30 (65%) patients and transvaginally in 16 (35%) patients. A total of 39 (85%) patients experienced complete resolution of symptoms immediately after ultrasound-guided cyst aspiration. One procedure was abandoned owing to patient discomfort and six (13%) patients reported non-resolution or short-term recurrence of symptoms, necessitating emergency laparoscopy in seven patients. No complications occurred as a result of ultrasound-guided cyst aspiration. Three patients had cyst aspiration more than once. Follow-up data were available for 29/39 (74%) patients who had successful ultrasound-guided cyst aspiration and received a subsequent ultrasound assessment in our clinic. In 8/29 (28%) patients, the cyst had completely resolved. In total, 4/21 (19%) patients with a persistent cyst opted for elective surgical intervention, while 17/21 (81%) continued conservative management at the last follow-up. Overall, 25/29 (86%) of those followed up after successful ultrasound-guided cyst aspiration, and at least 25/46 (54%) of all patients, avoided any form of surgical treatment.</p><p><strong>Conclusions: </strong>Ultrasound-guided cyst aspiration is an effective treatment for the management of acute adnexal torsion due to a cyst with unilocular morphology and anechoic or hypoechoic fluid content. With the use of this technique, emergency hospital admission and surgery were avoided in the majority of patients. © 2025 The Author(s). Ultrasound in Obstetrics & Gynecology published by John Wiley & Sons Ltd on behalf of International Society of Ultrasound in Obstetrics and Gynecology.</p>\",\"PeriodicalId\":23454,\"journal\":{\"name\":\"Ultrasound in Obstetrics & Gynecology\",\"volume\":\" \",\"pages\":\"790-797\"},\"PeriodicalIF\":6.3000,\"publicationDate\":\"2025-06-01\",\"publicationTypes\":\"Journal Article\",\"fieldsOfStudy\":null,\"isOpenAccess\":false,\"openAccessPdf\":\"https://www.ncbi.nlm.nih.gov/pmc/articles/PMC12127721/pdf/\",\"citationCount\":\"0\",\"resultStr\":null,\"platform\":\"Semanticscholar\",\"paperid\":null,\"PeriodicalName\":\"Ultrasound in Obstetrics & Gynecology\",\"FirstCategoryId\":\"3\",\"ListUrlMain\":\"https://doi.org/10.1002/uog.29225\",\"RegionNum\":1,\"RegionCategory\":\"医学\",\"ArticlePicture\":[],\"TitleCN\":null,\"AbstractTextCN\":null,\"PMCID\":null,\"EPubDate\":\"2025/4/26 0:00:00\",\"PubModel\":\"Epub\",\"JCR\":\"Q1\",\"JCRName\":\"ACOUSTICS\",\"Score\":null,\"Total\":0}","platform":"Semanticscholar","paperid":null,"PeriodicalName":"Ultrasound in Obstetrics & Gynecology","FirstCategoryId":"3","ListUrlMain":"https://doi.org/10.1002/uog.29225","RegionNum":1,"RegionCategory":"医学","ArticlePicture":[],"TitleCN":null,"AbstractTextCN":null,"PMCID":null,"EPubDate":"2025/4/26 0:00:00","PubModel":"Epub","JCR":"Q1","JCRName":"ACOUSTICS","Score":null,"Total":0}
引用次数: 0

摘要

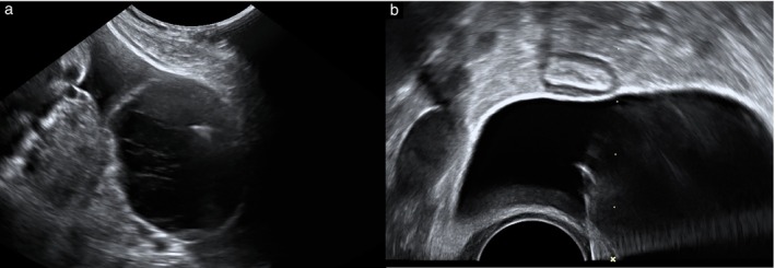
目的:超声引导下的囊肿抽吸是急性附件扭转的一种潜在治疗方法,可在门诊进行,为急诊腹腔镜手术提供了一种替代方法。本研究的目的是描述我们对急性附件囊肿抽吸的初步经验。方法:这是一项回顾性单中心研究,我们确定了2008年2月至2023年9月期间在我们中心接受超声引导囊肿抽吸的所有患者。手术的适应症是超声诊断卵巢囊肿引起的附件扭转和急性附件扭转的临床症状。成功的定义是避免了同一囊肿相关的附件扭转的紧急手术。我们从临床数据库中提取临床数据、超声扫描结果、手术细节和临床结果。结果:46例患者接受超声引导囊肿抽吸治疗附件扭转,其中24例(52%)为孕妇。超声检查,46例囊肿均为单室形态,96%(44/46)的囊肿内容物无回声。囊肿抽吸30例(65%)经腹,16例(35%)经阴道。39例(85%)患者在超声引导下囊肿抽吸后症状立即完全缓解。1例因患者不适而放弃手术,6例(13%)患者报告症状未缓解或短期复发,7例患者需要紧急腹腔镜检查。超声引导下的囊肿穿刺无并发症发生。3例患者有一次以上的囊肿抽吸。39例患者中有29例(74%)在超声引导下囊肿抽吸成功,并在我们的诊所接受了后续超声评估。在8/29(28%)患者中,囊肿完全溶解。最后一次随访时,4/21(19%)持续性囊肿患者选择择期手术治疗,17/21(81%)患者继续保守治疗。总体而言,25/29(86%)的超声引导囊肿抽吸成功后随访,至少25/46(54%)的患者避免了任何形式的手术治疗。结论:超声引导下的囊肿抽吸是治疗单眼形态囊肿和低回声或低回声液体含量所致急性附件扭转的有效方法。使用该技术,大多数患者避免了急诊住院和手术。©2025作者。妇产科学超声由John Wiley & Sons Ltd代表国际妇产科学超声学会出版。
本文章由计算机程序翻译,如有差异,请以英文原文为准。

Ultrasound-guided cyst aspiration for management of acute adnexal torsion.

Ultrasound-guided cyst aspiration for management of acute adnexal torsion.

Ultrasound-guided cyst aspiration for management of acute adnexal torsion.

Objective: Ultrasound-guided cyst aspiration is a potential treatment for acute adnexal torsion that can be performed in the outpatient setting, offering an alternative to emergency laparoscopic surgery. The objective of this study was to describe our initial experience with aspiration of acutely torted adnexal cysts.

Methods: This was a retrospective single-center study, in which we identified all patients who underwent ultrasound-guided cyst aspiration in our center between February 2008 and September 2023. Indications for the procedure were ultrasound diagnosis of adnexal torsion due to an ovarian cyst and clinical symptoms of acute adnexal torsion. Success was defined as the avoidance of emergency surgery for adnexal torsion related to the same cyst. We extracted clinical data, ultrasound scan findings, procedural details and clinical outcomes from our clinical database.

Results: Overall, 46 patients underwent ultrasound-guided cyst aspiration for the management of adnexal torsion, 24 (52%) of whom were pregnant. At ultrasound examination, all 46 cysts had unilocular morphology, and in 96% (44/46) of cases, the cyst content was anechoic. Cyst aspiration was performed transabdominally in 30 (65%) patients and transvaginally in 16 (35%) patients. A total of 39 (85%) patients experienced complete resolution of symptoms immediately after ultrasound-guided cyst aspiration. One procedure was abandoned owing to patient discomfort and six (13%) patients reported non-resolution or short-term recurrence of symptoms, necessitating emergency laparoscopy in seven patients. No complications occurred as a result of ultrasound-guided cyst aspiration. Three patients had cyst aspiration more than once. Follow-up data were available for 29/39 (74%) patients who had successful ultrasound-guided cyst aspiration and received a subsequent ultrasound assessment in our clinic. In 8/29 (28%) patients, the cyst had completely resolved. In total, 4/21 (19%) patients with a persistent cyst opted for elective surgical intervention, while 17/21 (81%) continued conservative management at the last follow-up. Overall, 25/29 (86%) of those followed up after successful ultrasound-guided cyst aspiration, and at least 25/46 (54%) of all patients, avoided any form of surgical treatment.

Conclusions: Ultrasound-guided cyst aspiration is an effective treatment for the management of acute adnexal torsion due to a cyst with unilocular morphology and anechoic or hypoechoic fluid content. With the use of this technique, emergency hospital admission and surgery were avoided in the majority of patients. © 2025 The Author(s). Ultrasound in Obstetrics & Gynecology published by John Wiley & Sons Ltd on behalf of International Society of Ultrasound in Obstetrics and Gynecology.

求助全文
通过发布文献求助,成功后即可免费获取论文全文。 去求助
来源期刊
CiteScore
12.30
自引率
14.10%
发文量
891
审稿时长
1 months
期刊介绍: Ultrasound in Obstetrics & Gynecology (UOG) is the official journal of the International Society of Ultrasound in Obstetrics and Gynecology (ISUOG) and is considered the foremost international peer-reviewed journal in the field. It publishes cutting-edge research that is highly relevant to clinical practice, which includes guidelines, expert commentaries, consensus statements, original articles, and systematic reviews. UOG is widely recognized and included in prominent abstract and indexing databases such as Index Medicus and Current Contents.
×
引用
GB/T 7714-2015
复制
MLA
复制
APA
复制
导出至
BibTeX EndNote RefMan NoteFirst NoteExpress
×
提示
您的信息不完整,为了账户安全,请先补充。
现在去补充
×
提示
您因"违规操作"
具体请查看互助需知
我知道了
×
提示
确定
请完成安全验证×
copy
已复制链接
快去分享给好友吧!
我知道了
右上角分享
点击右上角分享
0
联系我们:info@booksci.cn Book学术提供免费学术资源搜索服务,方便国内外学者检索中英文文献。致力于提供最便捷和优质的服务体验。 Copyright © 2023 布克学术 All rights reserved.
京ICP备2023020795号-1
ghs 京公网安备 11010802042870号
Book学术文献互助
Book学术文献互助群
群 号:604180095
Book学术官方微信