骨未成熟患者内踝骨折手术治疗的临床和影像学结果。

IF 1
Sevan Sıvacıoğlu, Serkan Bayram, Taha Bedir Demir, Ismail Tarık Atasoy, Buğra Yoldaş, Halil Ibrahim Balcı, Mehmet Aşık
{"title":"骨未成熟患者内踝骨折手术治疗的临床和影像学结果。","authors":"Sevan Sıvacıoğlu, Serkan Bayram, Taha Bedir Demir, Ismail Tarık Atasoy, Buğra Yoldaş, Halil Ibrahim Balcı, Mehmet Aşık","doi":"10.14744/tjtes.2025.74311","DOIUrl":null,"url":null,"abstract":"<p><strong>Background: </strong>Medial distal tibial Salter-Harris Type 3 and Type 4 epiphyseal injuries, also known as McFarland fractures, pose significant risks due to their potential to damage the growth plate and cause long-term joint deformities. Surgical treatment is commonly performed to restore joint congruity; however, there is no clear consensus on whether surgical or conservative treatment yields better outcomes. This study aimed to evaluate the mid-term clinical and radiological outcomes of surgical treatment in patients with McFarland fractures.</p><p><strong>Methods: </strong>This retrospective study analyzed outcomes of 13 patients, aged 6-17 years, who underwent surgical treatment for McFarland fractures between 2021 and 2023 at a Level 1 Trauma Center. Surgical methods included screw fixation, K-wire fixation, and tension wire fixation. Outcome measures included radiological deformity assessments (lateral distal tibial angle [LDTA], anterior distal tibial angle [ADTA]), range of motion (ROM), Foot and Ankle Ability Measure (FAAM) scores for functional assessment, and Visual Analogue Scale (VAS) scores for pain. Comparisons were made between the operated and non-operated limbs.</p><p><strong>Results: </strong>LDTA and ADTA values showed minimal differences between the operated and non-operated limbs, indicating successful surgical realignment (p<0.05). Although slight ROM limitations were observed in the operated limb, high FAAM scores and low VAS scores reflected good functional recovery and effective pain management. Correlation analysis revealed a moderate positive correlation (r=0.45) between FAAM scores and ROM, and a weaker correlation (r=0.32) between FAAM scores and radiological alignment.</p><p><strong>Conclusion: </strong>Surgical treatment of McFarland fractures resulted in favorable clinical and radiological outcomes, with minimal limitations in ROM and significant improvements in alignment and functional recovery. However, ongoing follow-up is essential, particularly in younger patients, to monitor and manage the risk of potential growth disturbances.</p>","PeriodicalId":94263,"journal":{"name":"Ulusal travma ve acil cerrahi dergisi = Turkish journal of trauma & emergency surgery : TJTES","volume":"31 4","pages":"399-404"},"PeriodicalIF":1.0000,"publicationDate":"2025-04-01","publicationTypes":"Journal Article","fieldsOfStudy":null,"isOpenAccess":false,"openAccessPdf":"https://www.ncbi.nlm.nih.gov/pmc/articles/PMC12000977/pdf/","citationCount":"0","resultStr":"{\"title\":\"Clinical and radiological outcomes of surgically treated medial malleolus fractures in skeletally immature patients.\",\"authors\":\"Sevan Sıvacıoğlu, Serkan Bayram, Taha Bedir Demir, Ismail Tarık Atasoy, Buğra Yoldaş, Halil Ibrahim Balcı, Mehmet Aşık\",\"doi\":\"10.14744/tjtes.2025.74311\",\"DOIUrl\":null,\"url\":null,\"abstract\":\"<p><strong>Background: </strong>Medial distal tibial Salter-Harris Type 3 and Type 4 epiphyseal injuries, also known as McFarland fractures, pose significant risks due to their potential to damage the growth plate and cause long-term joint deformities. Surgical treatment is commonly performed to restore joint congruity; however, there is no clear consensus on whether surgical or conservative treatment yields better outcomes. This study aimed to evaluate the mid-term clinical and radiological outcomes of surgical treatment in patients with McFarland fractures.</p><p><strong>Methods: </strong>This retrospective study analyzed outcomes of 13 patients, aged 6-17 years, who underwent surgical treatment for McFarland fractures between 2021 and 2023 at a Level 1 Trauma Center. Surgical methods included screw fixation, K-wire fixation, and tension wire fixation. Outcome measures included radiological deformity assessments (lateral distal tibial angle [LDTA], anterior distal tibial angle [ADTA]), range of motion (ROM), Foot and Ankle Ability Measure (FAAM) scores for functional assessment, and Visual Analogue Scale (VAS) scores for pain. Comparisons were made between the operated and non-operated limbs.</p><p><strong>Results: </strong>LDTA and ADTA values showed minimal differences between the operated and non-operated limbs, indicating successful surgical realignment (p<0.05). Although slight ROM limitations were observed in the operated limb, high FAAM scores and low VAS scores reflected good functional recovery and effective pain management. Correlation analysis revealed a moderate positive correlation (r=0.45) between FAAM scores and ROM, and a weaker correlation (r=0.32) between FAAM scores and radiological alignment.</p><p><strong>Conclusion: </strong>Surgical treatment of McFarland fractures resulted in favorable clinical and radiological outcomes, with minimal limitations in ROM and significant improvements in alignment and functional recovery. However, ongoing follow-up is essential, particularly in younger patients, to monitor and manage the risk of potential growth disturbances.</p>\",\"PeriodicalId\":94263,\"journal\":{\"name\":\"Ulusal travma ve acil cerrahi dergisi = Turkish journal of trauma & emergency surgery : TJTES\",\"volume\":\"31 4\",\"pages\":\"399-404\"},\"PeriodicalIF\":1.0000,\"publicationDate\":\"2025-04-01\",\"publicationTypes\":\"Journal Article\",\"fieldsOfStudy\":null,\"isOpenAccess\":false,\"openAccessPdf\":\"https://www.ncbi.nlm.nih.gov/pmc/articles/PMC12000977/pdf/\",\"citationCount\":\"0\",\"resultStr\":null,\"platform\":\"Semanticscholar\",\"paperid\":null,\"PeriodicalName\":\"Ulusal travma ve acil cerrahi dergisi = Turkish journal of trauma & emergency surgery : TJTES\",\"FirstCategoryId\":\"1085\",\"ListUrlMain\":\"https://doi.org/10.14744/tjtes.2025.74311\",\"RegionNum\":0,\"RegionCategory\":null,\"ArticlePicture\":[],\"TitleCN\":null,\"AbstractTextCN\":null,\"PMCID\":null,\"EPubDate\":\"\",\"PubModel\":\"\",\"JCR\":\"\",\"JCRName\":\"\",\"Score\":null,\"Total\":0}","platform":"Semanticscholar","paperid":null,"PeriodicalName":"Ulusal travma ve acil cerrahi dergisi = Turkish journal of trauma & emergency surgery : TJTES","FirstCategoryId":"1085","ListUrlMain":"https://doi.org/10.14744/tjtes.2025.74311","RegionNum":0,"RegionCategory":null,"ArticlePicture":[],"TitleCN":null,"AbstractTextCN":null,"PMCID":null,"EPubDate":"","PubModel":"","JCR":"","JCRName":"","Score":null,"Total":0}
引用次数: 0

摘要

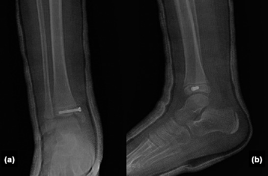
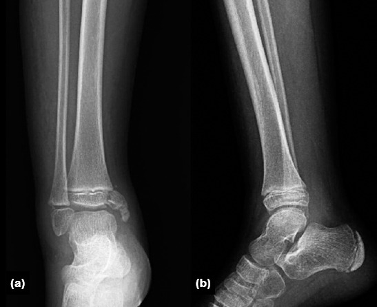
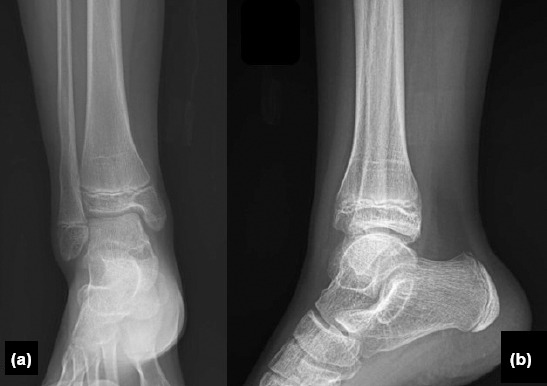
背景:胫骨内侧远端Salter-Harris 3型和4型骨骺损伤,也称为McFarland骨折,由于其潜在的损伤生长板和导致长期关节畸形,具有显著的风险。手术治疗通常用于恢复关节完整性;然而,对于手术治疗和保守治疗哪个效果更好,目前还没有明确的共识。本研究旨在评估麦克法兰骨折患者手术治疗的中期临床和放射学结果。方法:本回顾性研究分析了2021年至2023年在一级创伤中心接受麦克法兰骨折手术治疗的13例患者的结果,年龄6-17岁。手术方法包括螺钉固定、k针固定和张力丝固定。结果测量包括放射学畸形评估(胫骨外侧远端角[LDTA],胫骨前远端角[ADTA]),活动范围(ROM),足踝能力测量(FAAM)评分用于功能评估,视觉模拟量表(VAS)评分用于疼痛评估。对手术肢体与未手术肢体进行比较。结果:LDTA和ADTA值显示手术和非手术肢体之间的差异很小,表明手术复位成功。结论:手术治疗McFarland骨折的临床和放射学结果良好,ROM限制最小,对齐和功能恢复显著改善。然而,持续的随访是必不可少的,特别是在年轻患者中,以监测和管理潜在生长障碍的风险。
本文章由计算机程序翻译,如有差异,请以英文原文为准。

Clinical and radiological outcomes of surgically treated medial malleolus fractures in skeletally immature patients.

Clinical and radiological outcomes of surgically treated medial malleolus fractures in skeletally immature patients.

Clinical and radiological outcomes of surgically treated medial malleolus fractures in skeletally immature patients.

Clinical and radiological outcomes of surgically treated medial malleolus fractures in skeletally immature patients.

Background: Medial distal tibial Salter-Harris Type 3 and Type 4 epiphyseal injuries, also known as McFarland fractures, pose significant risks due to their potential to damage the growth plate and cause long-term joint deformities. Surgical treatment is commonly performed to restore joint congruity; however, there is no clear consensus on whether surgical or conservative treatment yields better outcomes. This study aimed to evaluate the mid-term clinical and radiological outcomes of surgical treatment in patients with McFarland fractures.

Methods: This retrospective study analyzed outcomes of 13 patients, aged 6-17 years, who underwent surgical treatment for McFarland fractures between 2021 and 2023 at a Level 1 Trauma Center. Surgical methods included screw fixation, K-wire fixation, and tension wire fixation. Outcome measures included radiological deformity assessments (lateral distal tibial angle [LDTA], anterior distal tibial angle [ADTA]), range of motion (ROM), Foot and Ankle Ability Measure (FAAM) scores for functional assessment, and Visual Analogue Scale (VAS) scores for pain. Comparisons were made between the operated and non-operated limbs.

Results: LDTA and ADTA values showed minimal differences between the operated and non-operated limbs, indicating successful surgical realignment (p<0.05). Although slight ROM limitations were observed in the operated limb, high FAAM scores and low VAS scores reflected good functional recovery and effective pain management. Correlation analysis revealed a moderate positive correlation (r=0.45) between FAAM scores and ROM, and a weaker correlation (r=0.32) between FAAM scores and radiological alignment.

Conclusion: Surgical treatment of McFarland fractures resulted in favorable clinical and radiological outcomes, with minimal limitations in ROM and significant improvements in alignment and functional recovery. However, ongoing follow-up is essential, particularly in younger patients, to monitor and manage the risk of potential growth disturbances.

求助全文
通过发布文献求助,成功后即可免费获取论文全文。 去求助
来源期刊
自引率
0.00%
发文量
0
×
引用
GB/T 7714-2015
复制
MLA
复制
APA
复制
导出至
BibTeX EndNote RefMan NoteFirst NoteExpress
×
提示
您的信息不完整,为了账户安全,请先补充。
现在去补充
×
提示
您因"违规操作"
具体请查看互助需知
我知道了
×
提示
确定
请完成安全验证×
copy
已复制链接
快去分享给好友吧!
我知道了
右上角分享
点击右上角分享
0
联系我们:info@booksci.cn Book学术提供免费学术资源搜索服务,方便国内外学者检索中英文文献。致力于提供最便捷和优质的服务体验。 Copyright © 2023 布克学术 All rights reserved.
京ICP备2023020795号-1
ghs 京公网安备 11010802042870号
Book学术文献互助
Book学术文献互助群
群 号:604180095
Book学术官方微信