具有奇异核的平滑肌瘤、遗传性平滑肌瘤病和肾细胞癌。

CRSLS : MIS case reports from SLS Pub Date : 2025-04-29 eCollection Date: 2025-04-01 DOI:10.4293/CRSLS.2025.00015
Liaisan Uzianbaeva, Salma Moustafa, Tamera Paczos, Emily Suskin, Sara Said-Delgado, Sara Rabin-Havt, Pengfei Wang
{"title":"具有奇异核的平滑肌瘤、遗传性平滑肌瘤病和肾细胞癌。","authors":"Liaisan Uzianbaeva, Salma Moustafa, Tamera Paczos, Emily Suskin, Sara Said-Delgado, Sara Rabin-Havt, Pengfei Wang","doi":"10.4293/CRSLS.2025.00015","DOIUrl":null,"url":null,"abstract":"<p><strong>Introduction: </strong>Leiomyoma with bizarre nuclei (LBN) is a leiomyoma variant that can be associated with fumarate hydratase (FH) deficiency. Germline pathogenic variants in the <i>FH</i> gene are linked to hereditary leiomyomatosis and renal cell carcinoma (HLRCC), which presents with cutaneous leiomyomata, aggressive renal cell carcinomas (RCCs), and symptomatic uterine leiomyomas.</p><p><strong>Case description: </strong>A 22-year-old nulligravida female presented with multiple uterine fibroids, heavy menstrual bleeding and pelvic pain, lasting over two years. The patient subsequently underwent laparoscopic myomectomy. Histological analysis of the leiomyomas indicated the presence of bizarre nuclei. Immunohistochemical studies confirmed FH deficiency, characterized by loss of FH expression and overexpression of S-(2-succino)-cysteine (2SC). Genetic testing revealed a likely pathogenic variant (c. 1176_1181delTGCTGT) in the <i>FH</i> gene.</p><p><strong>Discussion: </strong>Due to potentially devastating consequence and the occult nature of RCCs, the discovery of LBN should be followed with further investigation for HLRCC.</p>","PeriodicalId":72723,"journal":{"name":"CRSLS : MIS case reports from SLS","volume":"12 2","pages":""},"PeriodicalIF":0.0000,"publicationDate":"2025-04-29","publicationTypes":"Journal Article","fieldsOfStudy":null,"isOpenAccess":false,"openAccessPdf":"https://www.ncbi.nlm.nih.gov/pmc/articles/PMC12046535/pdf/","citationCount":"0","resultStr":"{\"title\":\"Leiomyoma with Bizarre Nuclei and Hereditary Leiomyomatosis and Renal Cell Carcinoma.\",\"authors\":\"Liaisan Uzianbaeva, Salma Moustafa, Tamera Paczos, Emily Suskin, Sara Said-Delgado, Sara Rabin-Havt, Pengfei Wang\",\"doi\":\"10.4293/CRSLS.2025.00015\",\"DOIUrl\":null,\"url\":null,\"abstract\":\"<p><strong>Introduction: </strong>Leiomyoma with bizarre nuclei (LBN) is a leiomyoma variant that can be associated with fumarate hydratase (FH) deficiency. Germline pathogenic variants in the <i>FH</i> gene are linked to hereditary leiomyomatosis and renal cell carcinoma (HLRCC), which presents with cutaneous leiomyomata, aggressive renal cell carcinomas (RCCs), and symptomatic uterine leiomyomas.</p><p><strong>Case description: </strong>A 22-year-old nulligravida female presented with multiple uterine fibroids, heavy menstrual bleeding and pelvic pain, lasting over two years. The patient subsequently underwent laparoscopic myomectomy. Histological analysis of the leiomyomas indicated the presence of bizarre nuclei. Immunohistochemical studies confirmed FH deficiency, characterized by loss of FH expression and overexpression of S-(2-succino)-cysteine (2SC). Genetic testing revealed a likely pathogenic variant (c. 1176_1181delTGCTGT) in the <i>FH</i> gene.</p><p><strong>Discussion: </strong>Due to potentially devastating consequence and the occult nature of RCCs, the discovery of LBN should be followed with further investigation for HLRCC.</p>\",\"PeriodicalId\":72723,\"journal\":{\"name\":\"CRSLS : MIS case reports from SLS\",\"volume\":\"12 2\",\"pages\":\"\"},\"PeriodicalIF\":0.0000,\"publicationDate\":\"2025-04-29\",\"publicationTypes\":\"Journal Article\",\"fieldsOfStudy\":null,\"isOpenAccess\":false,\"openAccessPdf\":\"https://www.ncbi.nlm.nih.gov/pmc/articles/PMC12046535/pdf/\",\"citationCount\":\"0\",\"resultStr\":null,\"platform\":\"Semanticscholar\",\"paperid\":null,\"PeriodicalName\":\"CRSLS : MIS case reports from SLS\",\"FirstCategoryId\":\"1085\",\"ListUrlMain\":\"https://doi.org/10.4293/CRSLS.2025.00015\",\"RegionNum\":0,\"RegionCategory\":null,\"ArticlePicture\":[],\"TitleCN\":null,\"AbstractTextCN\":null,\"PMCID\":null,\"EPubDate\":\"2025/4/1 0:00:00\",\"PubModel\":\"eCollection\",\"JCR\":\"\",\"JCRName\":\"\",\"Score\":null,\"Total\":0}","platform":"Semanticscholar","paperid":null,"PeriodicalName":"CRSLS : MIS case reports from SLS","FirstCategoryId":"1085","ListUrlMain":"https://doi.org/10.4293/CRSLS.2025.00015","RegionNum":0,"RegionCategory":null,"ArticlePicture":[],"TitleCN":null,"AbstractTextCN":null,"PMCID":null,"EPubDate":"2025/4/1 0:00:00","PubModel":"eCollection","JCR":"","JCRName":"","Score":null,"Total":0}
引用次数: 0

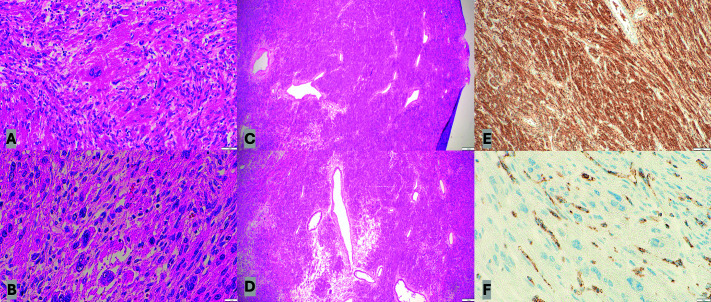
摘要

简介:奇异核平滑肌瘤(LBN)是一种与富马酸水合酶(FH)缺乏相关的平滑肌瘤变体。FH基因的种系致病变异与遗传性平滑肌瘤病和肾细胞癌(HLRCC)有关,后者表现为皮肤平滑肌瘤、侵袭性肾细胞癌(rcc)和症状性子宫平滑肌瘤。病例描述:一名22岁无孕女性,表现为多发性子宫肌瘤,大量月经出血和盆腔疼痛,持续两年多。患者随后接受腹腔镜子宫肌瘤切除术。组织学分析显示平滑肌瘤有奇异核。免疫组织化学研究证实FH缺乏,其特征是FH表达缺失和S-(2-琥珀酸)-半胱氨酸(2SC)过表达。基因检测显示FH基因中可能存在致病性变异(c. 1176_1181delTGCTGT)。讨论:由于rcc具有潜在的破坏性后果和隐蔽性,LBN的发现应该伴随着对HLRCC的进一步研究。
本文章由计算机程序翻译,如有差异,请以英文原文为准。

Leiomyoma with Bizarre Nuclei and Hereditary Leiomyomatosis and Renal Cell Carcinoma.

Leiomyoma with Bizarre Nuclei and Hereditary Leiomyomatosis and Renal Cell Carcinoma.

Leiomyoma with Bizarre Nuclei and Hereditary Leiomyomatosis and Renal Cell Carcinoma.

Introduction: Leiomyoma with bizarre nuclei (LBN) is a leiomyoma variant that can be associated with fumarate hydratase (FH) deficiency. Germline pathogenic variants in the FH gene are linked to hereditary leiomyomatosis and renal cell carcinoma (HLRCC), which presents with cutaneous leiomyomata, aggressive renal cell carcinomas (RCCs), and symptomatic uterine leiomyomas.

Case description: A 22-year-old nulligravida female presented with multiple uterine fibroids, heavy menstrual bleeding and pelvic pain, lasting over two years. The patient subsequently underwent laparoscopic myomectomy. Histological analysis of the leiomyomas indicated the presence of bizarre nuclei. Immunohistochemical studies confirmed FH deficiency, characterized by loss of FH expression and overexpression of S-(2-succino)-cysteine (2SC). Genetic testing revealed a likely pathogenic variant (c. 1176_1181delTGCTGT) in the FH gene.

Discussion: Due to potentially devastating consequence and the occult nature of RCCs, the discovery of LBN should be followed with further investigation for HLRCC.

求助全文
通过发布文献求助,成功后即可免费获取论文全文。 去求助
来源期刊
自引率
0.00%
发文量
0
×
引用
GB/T 7714-2015
复制
MLA
复制
APA
复制
导出至
BibTeX EndNote RefMan NoteFirst NoteExpress
×
提示
您的信息不完整,为了账户安全,请先补充。
现在去补充
×
提示
您因"违规操作"
具体请查看互助需知
我知道了
×
提示
确定
请完成安全验证×
copy
已复制链接
快去分享给好友吧!
我知道了
右上角分享
点击右上角分享
0
联系我们:info@booksci.cn Book学术提供免费学术资源搜索服务,方便国内外学者检索中英文文献。致力于提供最便捷和优质的服务体验。 Copyright © 2023 布克学术 All rights reserved.
京ICP备2023020795号-1
ghs 京公网安备 11010802042870号
Book学术文献互助
Book学术文献互助群
群 号:604180095
Book学术官方微信