滑车发育不良是否与前交叉韧带缺陷膝前内侧门静脉病变修复率高有关?

IF 1 Q4 RADIOLOGY, NUCLEAR MEDICINE & MEDICAL IMAGING
Indian Journal of Radiology and Imaging Pub Date : 2024-10-07 eCollection Date: 2025-04-01 DOI:10.1055/s-0044-1791565
Naveen Kumar, Pradip Ghimire, Shrikant Shukla, Pradeep Kumar Meena, Sudhir Saxena, Sonal Saran
{"title":"滑车发育不良是否与前交叉韧带缺陷膝前内侧门静脉病变修复率高有关?","authors":"Naveen Kumar, Pradip Ghimire, Shrikant Shukla, Pradeep Kumar Meena, Sudhir Saxena, Sonal Saran","doi":"10.1055/s-0044-1791565","DOIUrl":null,"url":null,"abstract":"<p><p><b>Introduction</b>  Meniscal tears, especially in the medial meniscus, are common in anterior cruciate ligament (ACL) injuries. Repaired anterior medial portal (RAMP) lesions, specific meniscal injuries associated with ACL ruptures, affect the peripheral attachment of the posterior horn of the medial meniscus. While the relationship between femoral trochlear morphology and ACL tears is established, its association with RAMP lesions remains unexplored. This study investigates the association between femoral trochlear morphology and RAMP lesions in ACL-deficient knees using magnetic resonance imaging (MRI) and evaluates MRI's accuracy against arthroscopy. <b>Materials and Methods</b>  This hospital-based, cross-sectional observational study was conducted in a tertiary care center over 18 months. It included 126 adult patients who underwent arthroscopic ACL reconstruction and had preoperative MRI. Variables included age, gender, body mass index, trauma nature, and various MRI parameters, including femoral trochlear morphology and presence of RAMP lesions. MRI findings were compared to arthroscopic findings to evaluate diagnostic accuracy. <b>Results</b>  RAMP lesions were detected in 21 participants (16.7%) via MRI and 28 participants (22.2%) via arthroscopy. MRI showed 71.4% sensitivity and 99.0% specificity for detecting RAMP lesions. No significant association was found between femoral trochlear morphology and RAMP lesions. However, medial tibial slope (TS) and posterior medial tibial bone edema (PMTBE) were significantly associated with RAMP lesions. The agreement between MRI and arthroscopy was high (Cohen's kappa = 0.773, <i>p</i>  < 0.001). <b>Conclusion</b>  This study found no significant association between femoral trochlear morphology and RAMP lesions in ACL-deficient knees. Instead, medial TS and PMTBE were significant predictors. MRI proved to have high specificity but moderate sensitivity compared to arthroscopy.</p>","PeriodicalId":51597,"journal":{"name":"Indian Journal of Radiology and Imaging","volume":"35 2","pages":"272-279"},"PeriodicalIF":1.0000,"publicationDate":"2024-10-07","publicationTypes":"Journal Article","fieldsOfStudy":null,"isOpenAccess":false,"openAccessPdf":"https://www.ncbi.nlm.nih.gov/pmc/articles/PMC12034395/pdf/","citationCount":"0","resultStr":"{\"title\":\"Is Trochlear Dysplasia Associated with a High Prevalence of Repaired Anterior Medial Portal Lesions in Anterior Cruciate Ligament-Deficient Knees?\",\"authors\":\"Naveen Kumar, Pradip Ghimire, Shrikant Shukla, Pradeep Kumar Meena, Sudhir Saxena, Sonal Saran\",\"doi\":\"10.1055/s-0044-1791565\",\"DOIUrl\":null,\"url\":null,\"abstract\":\"<p><p><b>Introduction</b>  Meniscal tears, especially in the medial meniscus, are common in anterior cruciate ligament (ACL) injuries. Repaired anterior medial portal (RAMP) lesions, specific meniscal injuries associated with ACL ruptures, affect the peripheral attachment of the posterior horn of the medial meniscus. While the relationship between femoral trochlear morphology and ACL tears is established, its association with RAMP lesions remains unexplored. This study investigates the association between femoral trochlear morphology and RAMP lesions in ACL-deficient knees using magnetic resonance imaging (MRI) and evaluates MRI's accuracy against arthroscopy. <b>Materials and Methods</b>  This hospital-based, cross-sectional observational study was conducted in a tertiary care center over 18 months. It included 126 adult patients who underwent arthroscopic ACL reconstruction and had preoperative MRI. Variables included age, gender, body mass index, trauma nature, and various MRI parameters, including femoral trochlear morphology and presence of RAMP lesions. MRI findings were compared to arthroscopic findings to evaluate diagnostic accuracy. <b>Results</b>  RAMP lesions were detected in 21 participants (16.7%) via MRI and 28 participants (22.2%) via arthroscopy. MRI showed 71.4% sensitivity and 99.0% specificity for detecting RAMP lesions. No significant association was found between femoral trochlear morphology and RAMP lesions. However, medial tibial slope (TS) and posterior medial tibial bone edema (PMTBE) were significantly associated with RAMP lesions. The agreement between MRI and arthroscopy was high (Cohen's kappa = 0.773, <i>p</i>  < 0.001). <b>Conclusion</b>  This study found no significant association between femoral trochlear morphology and RAMP lesions in ACL-deficient knees. Instead, medial TS and PMTBE were significant predictors. MRI proved to have high specificity but moderate sensitivity compared to arthroscopy.</p>\",\"PeriodicalId\":51597,\"journal\":{\"name\":\"Indian Journal of Radiology and Imaging\",\"volume\":\"35 2\",\"pages\":\"272-279\"},\"PeriodicalIF\":1.0000,\"publicationDate\":\"2024-10-07\",\"publicationTypes\":\"Journal Article\",\"fieldsOfStudy\":null,\"isOpenAccess\":false,\"openAccessPdf\":\"https://www.ncbi.nlm.nih.gov/pmc/articles/PMC12034395/pdf/\",\"citationCount\":\"0\",\"resultStr\":null,\"platform\":\"Semanticscholar\",\"paperid\":null,\"PeriodicalName\":\"Indian Journal of Radiology and Imaging\",\"FirstCategoryId\":\"1085\",\"ListUrlMain\":\"https://doi.org/10.1055/s-0044-1791565\",\"RegionNum\":0,\"RegionCategory\":null,\"ArticlePicture\":[],\"TitleCN\":null,\"AbstractTextCN\":null,\"PMCID\":null,\"EPubDate\":\"2025/4/1 0:00:00\",\"PubModel\":\"eCollection\",\"JCR\":\"Q4\",\"JCRName\":\"RADIOLOGY, NUCLEAR MEDICINE & MEDICAL IMAGING\",\"Score\":null,\"Total\":0}","platform":"Semanticscholar","paperid":null,"PeriodicalName":"Indian Journal of Radiology and Imaging","FirstCategoryId":"1085","ListUrlMain":"https://doi.org/10.1055/s-0044-1791565","RegionNum":0,"RegionCategory":null,"ArticlePicture":[],"TitleCN":null,"AbstractTextCN":null,"PMCID":null,"EPubDate":"2025/4/1 0:00:00","PubModel":"eCollection","JCR":"Q4","JCRName":"RADIOLOGY, NUCLEAR MEDICINE & MEDICAL IMAGING","Score":null,"Total":0}
引用次数: 0

摘要

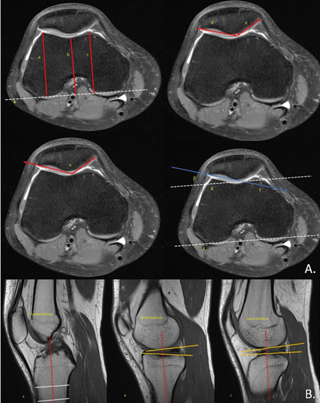
半月板撕裂,尤其是内侧半月板撕裂,在前交叉韧带(ACL)损伤中很常见。修复的前内侧门静脉(RAMP)病变,与前交叉韧带破裂相关的特定半月板损伤,影响内侧半月板后角的外周附着。虽然股骨滑车形态与前交叉韧带撕裂之间的关系已被确立,但其与RAMP病变的关系仍未被探讨。本研究利用磁共振成像(MRI)研究了acl缺失膝的股骨滑车形态与RAMP病变之间的关系,并评估了MRI与关节镜检查的准确性。材料和方法本研究在一家三级医疗中心进行了为期18个月的横断面观察性研究。该研究包括126名接受关节镜下前交叉韧带重建和术前MRI检查的成年患者。变量包括年龄、性别、体重指数、创伤性质和各种MRI参数,包括股骨滑车形态和RAMP病变的存在。将MRI检查结果与关节镜检查结果进行比较以评估诊断的准确性。结果MRI检查21例(16.7%),关节镜检查28例(22.2%)。MRI检测RAMP病变的敏感性为71.4%,特异性为99.0%。股骨滑车形态与RAMP病变无明显关联。然而,胫骨内侧斜坡(TS)和胫骨后内侧骨水肿(PMTBE)与RAMP病变显著相关。MRI与关节镜检查的一致性较高(Cohen’s kappa = 0.773, p)。结论本研究发现,acl缺失膝的股骨滑车形态与RAMP病变无显著相关性。相反,内侧TS和PMTBE是显著的预测因子。与关节镜检查相比,MRI具有高特异性,但敏感性中等。
本文章由计算机程序翻译,如有差异,请以英文原文为准。

Is Trochlear Dysplasia Associated with a High Prevalence of Repaired Anterior Medial Portal Lesions in Anterior Cruciate Ligament-Deficient Knees?

Is Trochlear Dysplasia Associated with a High Prevalence of Repaired Anterior Medial Portal Lesions in Anterior Cruciate Ligament-Deficient Knees?

Is Trochlear Dysplasia Associated with a High Prevalence of Repaired Anterior Medial Portal Lesions in Anterior Cruciate Ligament-Deficient Knees?

Is Trochlear Dysplasia Associated with a High Prevalence of Repaired Anterior Medial Portal Lesions in Anterior Cruciate Ligament-Deficient Knees?

Introduction  Meniscal tears, especially in the medial meniscus, are common in anterior cruciate ligament (ACL) injuries. Repaired anterior medial portal (RAMP) lesions, specific meniscal injuries associated with ACL ruptures, affect the peripheral attachment of the posterior horn of the medial meniscus. While the relationship between femoral trochlear morphology and ACL tears is established, its association with RAMP lesions remains unexplored. This study investigates the association between femoral trochlear morphology and RAMP lesions in ACL-deficient knees using magnetic resonance imaging (MRI) and evaluates MRI's accuracy against arthroscopy. Materials and Methods  This hospital-based, cross-sectional observational study was conducted in a tertiary care center over 18 months. It included 126 adult patients who underwent arthroscopic ACL reconstruction and had preoperative MRI. Variables included age, gender, body mass index, trauma nature, and various MRI parameters, including femoral trochlear morphology and presence of RAMP lesions. MRI findings were compared to arthroscopic findings to evaluate diagnostic accuracy. Results  RAMP lesions were detected in 21 participants (16.7%) via MRI and 28 participants (22.2%) via arthroscopy. MRI showed 71.4% sensitivity and 99.0% specificity for detecting RAMP lesions. No significant association was found between femoral trochlear morphology and RAMP lesions. However, medial tibial slope (TS) and posterior medial tibial bone edema (PMTBE) were significantly associated with RAMP lesions. The agreement between MRI and arthroscopy was high (Cohen's kappa = 0.773, p  < 0.001). Conclusion  This study found no significant association between femoral trochlear morphology and RAMP lesions in ACL-deficient knees. Instead, medial TS and PMTBE were significant predictors. MRI proved to have high specificity but moderate sensitivity compared to arthroscopy.

求助全文
通过发布文献求助,成功后即可免费获取论文全文。 去求助
来源期刊
Indian Journal of Radiology and Imaging
Indian Journal of Radiology and Imaging RADIOLOGY, NUCLEAR MEDICINE & MEDICAL IMAGING-
CiteScore
1.20
自引率
0.00%
发文量
115
审稿时长
45 weeks
期刊介绍: Information not localized
×
引用
GB/T 7714-2015
复制
MLA
复制
APA
复制
导出至
BibTeX EndNote RefMan NoteFirst NoteExpress
×
提示
您的信息不完整,为了账户安全,请先补充。
现在去补充
×
提示
您因"违规操作"
具体请查看互助需知
我知道了
×
提示
确定
请完成安全验证×
copy
已复制链接
快去分享给好友吧!
我知道了
右上角分享
点击右上角分享
0
联系我们:info@booksci.cn Book学术提供免费学术资源搜索服务,方便国内外学者检索中英文文献。致力于提供最便捷和优质的服务体验。 Copyright © 2023 布克学术 All rights reserved.
京ICP备2023020795号-1
ghs 京公网安备 11010802042870号
Book学术文献互助
Book学术文献互助群
群 号:604180095
Book学术官方微信