多参数4D-MRI在肝癌放疗中的剂量学研究。

IF 3.3 2区 医学 Q2 ONCOLOGY
Sha Li, Xianggao Zhu, Haonan Xiao, Weiwei Liu, Yibao Zhang, Jing Cai, Tian Li, Yanye Lu
{"title":"多参数4D-MRI在肝癌放疗中的剂量学研究。","authors":"Sha Li, Xianggao Zhu, Haonan Xiao, Weiwei Liu, Yibao Zhang, Jing Cai, Tian Li, Yanye Lu","doi":"10.1186/s13014-025-02600-3","DOIUrl":null,"url":null,"abstract":"<p><strong>Background: </strong>In radiotherapy, inadequate management of organ motion in liver cancer may lead to inadequate delineation accuracy, resulting in the underdosage of target tissues and overdosage of surrounding normal tissues. To investigate the clinical potential of multi-parametric 4D-MRI in the target delineation and dose accuracy for liver cancer radiotherapy.</p><p><strong>Methods: </strong>Twenty patients receiving radiotherapy for liver cancer were enrolled. Each patient underwent contrast-enhanced planning CT (free-breathing), contrast-enhanced T1-weighted (free-breathing), T2-weighted (gated) 3D-MRI, and low-quality 4D-MRI using the time resolved imaging with interleaved stochastic trajectories volumetric interpolated breath-hold examination (TWIST-VIBE) sequence. A dual-supervised deformation estimation model was used to generate a 4D deformable vector field (4D-DVF) from 4D-MRI data, and the prior images were deformed using this 4D-DVF to generate multi-parametric 4D-MRI. Assisted by 3D-MRI and multi-parametric 4D-MRI, target contours were performed on the planning CT, resulting in the generation of Target_3D and Target_4D. Clinical plans, Plan_3D and Plan_4D, were designed based on these contours respectively. To explore the dosimetric variations resulting from different contours without re-optimization, Plan_3D was directly applied to Target_4D, and Plan_4D was applied to Target_3D to generate Plan_3D' and Plan_4D' respectively. Target volume, contours, dose-volume histograms (DVHs), conformity index (CI), homogeneity index (HI), maximum and mean dose to organ as risks (OARs) were compared and evaluated.</p><p><strong>Results: </strong>Mean volume differences between Target_3D and Target_4D were 2.76 cm<sup>3</sup> (standard deviation [SD] 3.42 cm<sup>3</sup>) in the caudate lobe, 181.54 cm<sup>3</sup> (SD 68.50 cm<sup>3</sup>) in the left hepatic lobe, and 26.08 cm<sup>3</sup> (SD 20.52 cm<sup>3</sup>) in the right hepatic lobe. Mean and SD of CI and HI is 1.02 ± 0.04 and 0.108 ± 0.02 in Plan_3D, 1.02 ± 0.01 and 0.107 ± 0.01 in Plan_4D. There were no statistically significant differences in OAR doses between Plan_3D and Plan_3D', between Plan_4D and Plan_4D'. However, a statistically significant difference in target dose was observed between Plan_3D and Plan_3D' (P = 1.47 × 10⁻⁷) and between Plan_4D and Plan_4D' (P = 0.013). Plan_3D' meets 100% of the prescription dose covering mean 77.89% (SD 10.13%) of the Targeted_4D volume, while Plan_4D' covered mean 94.17% (SD 3.12%) of the Targeted_3D volume.</p><p><strong>Conclusions: </strong>3D image-guided target delineation may be more likely to underestimate target volume and compromise dose coverage, suggesting that using multi-parametric 4D-MRI can provide more precise target contours and enhance target dose coverage.</p>","PeriodicalId":49639,"journal":{"name":"Radiation Oncology","volume":"20 1","pages":"51"},"PeriodicalIF":3.3000,"publicationDate":"2025-04-11","publicationTypes":"Journal Article","fieldsOfStudy":null,"isOpenAccess":false,"openAccessPdf":"https://www.ncbi.nlm.nih.gov/pmc/articles/PMC11987451/pdf/","citationCount":"0","resultStr":"{\"title\":\"Dosimetric investigation of multi-parametric 4D-MRI for radiotherapy in liver cancer.\",\"authors\":\"Sha Li, Xianggao Zhu, Haonan Xiao, Weiwei Liu, Yibao Zhang, Jing Cai, Tian Li, Yanye Lu\",\"doi\":\"10.1186/s13014-025-02600-3\",\"DOIUrl\":null,\"url\":null,\"abstract\":\"<p><strong>Background: </strong>In radiotherapy, inadequate management of organ motion in liver cancer may lead to inadequate delineation accuracy, resulting in the underdosage of target tissues and overdosage of surrounding normal tissues. To investigate the clinical potential of multi-parametric 4D-MRI in the target delineation and dose accuracy for liver cancer radiotherapy.</p><p><strong>Methods: </strong>Twenty patients receiving radiotherapy for liver cancer were enrolled. Each patient underwent contrast-enhanced planning CT (free-breathing), contrast-enhanced T1-weighted (free-breathing), T2-weighted (gated) 3D-MRI, and low-quality 4D-MRI using the time resolved imaging with interleaved stochastic trajectories volumetric interpolated breath-hold examination (TWIST-VIBE) sequence. A dual-supervised deformation estimation model was used to generate a 4D deformable vector field (4D-DVF) from 4D-MRI data, and the prior images were deformed using this 4D-DVF to generate multi-parametric 4D-MRI. Assisted by 3D-MRI and multi-parametric 4D-MRI, target contours were performed on the planning CT, resulting in the generation of Target_3D and Target_4D. Clinical plans, Plan_3D and Plan_4D, were designed based on these contours respectively. To explore the dosimetric variations resulting from different contours without re-optimization, Plan_3D was directly applied to Target_4D, and Plan_4D was applied to Target_3D to generate Plan_3D' and Plan_4D' respectively. Target volume, contours, dose-volume histograms (DVHs), conformity index (CI), homogeneity index (HI), maximum and mean dose to organ as risks (OARs) were compared and evaluated.</p><p><strong>Results: </strong>Mean volume differences between Target_3D and Target_4D were 2.76 cm<sup>3</sup> (standard deviation [SD] 3.42 cm<sup>3</sup>) in the caudate lobe, 181.54 cm<sup>3</sup> (SD 68.50 cm<sup>3</sup>) in the left hepatic lobe, and 26.08 cm<sup>3</sup> (SD 20.52 cm<sup>3</sup>) in the right hepatic lobe. Mean and SD of CI and HI is 1.02 ± 0.04 and 0.108 ± 0.02 in Plan_3D, 1.02 ± 0.01 and 0.107 ± 0.01 in Plan_4D. There were no statistically significant differences in OAR doses between Plan_3D and Plan_3D', between Plan_4D and Plan_4D'. However, a statistically significant difference in target dose was observed between Plan_3D and Plan_3D' (P = 1.47 × 10⁻⁷) and between Plan_4D and Plan_4D' (P = 0.013). Plan_3D' meets 100% of the prescription dose covering mean 77.89% (SD 10.13%) of the Targeted_4D volume, while Plan_4D' covered mean 94.17% (SD 3.12%) of the Targeted_3D volume.</p><p><strong>Conclusions: </strong>3D image-guided target delineation may be more likely to underestimate target volume and compromise dose coverage, suggesting that using multi-parametric 4D-MRI can provide more precise target contours and enhance target dose coverage.</p>\",\"PeriodicalId\":49639,\"journal\":{\"name\":\"Radiation Oncology\",\"volume\":\"20 1\",\"pages\":\"51\"},\"PeriodicalIF\":3.3000,\"publicationDate\":\"2025-04-11\",\"publicationTypes\":\"Journal Article\",\"fieldsOfStudy\":null,\"isOpenAccess\":false,\"openAccessPdf\":\"https://www.ncbi.nlm.nih.gov/pmc/articles/PMC11987451/pdf/\",\"citationCount\":\"0\",\"resultStr\":null,\"platform\":\"Semanticscholar\",\"paperid\":null,\"PeriodicalName\":\"Radiation Oncology\",\"FirstCategoryId\":\"3\",\"ListUrlMain\":\"https://doi.org/10.1186/s13014-025-02600-3\",\"RegionNum\":2,\"RegionCategory\":\"医学\",\"ArticlePicture\":[],\"TitleCN\":null,\"AbstractTextCN\":null,\"PMCID\":null,\"EPubDate\":\"\",\"PubModel\":\"\",\"JCR\":\"Q2\",\"JCRName\":\"ONCOLOGY\",\"Score\":null,\"Total\":0}","platform":"Semanticscholar","paperid":null,"PeriodicalName":"Radiation Oncology","FirstCategoryId":"3","ListUrlMain":"https://doi.org/10.1186/s13014-025-02600-3","RegionNum":2,"RegionCategory":"医学","ArticlePicture":[],"TitleCN":null,"AbstractTextCN":null,"PMCID":null,"EPubDate":"","PubModel":"","JCR":"Q2","JCRName":"ONCOLOGY","Score":null,"Total":0}
引用次数: 0

摘要

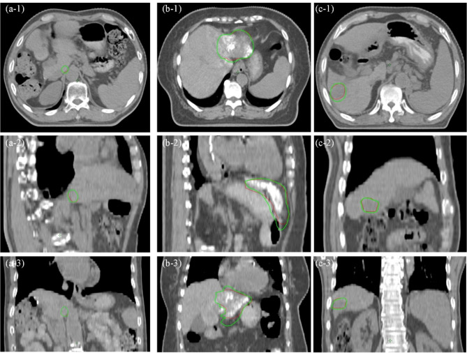
背景:在放疗中,对肝癌脏器运动的处理不当,可能导致对靶组织的描绘准确性不高,导致靶组织剂量不足,周围正常组织剂量过高。探讨多参数4D-MRI在肝癌放疗靶区划定和剂量准确性方面的临床潜力。方法:选取20例肝癌放疗患者。每位患者均接受了对比增强的计划CT(自由呼吸)、对比增强的t1加权(自由呼吸)、t2加权(门控)3D-MRI和低质量的4D-MRI,使用交错随机轨迹体积内插屏气检查(TWIST-VIBE)序列进行时间分辨成像。采用双监督变形估计模型,从4D- mri数据中生成4D变形向量场(4D- dvf),并利用该4D- dvf对先验图像进行变形,生成多参数4D- mri。在3D-MRI和多参数4D-MRI的辅助下,在规划CT上进行目标轮廓,生成Target_3D和Target_4D。根据这些轮廓分别设计临床计划Plan_3D和Plan_4D。为了探索不同轮廓线在不重新优化的情况下产生的剂量学变化,将Plan_3D直接应用于Target_4D,将Plan_4D应用于Target_3D,分别生成Plan_3D‘和Plan_4D’。比较和评价靶体积、轮廓、剂量-体积直方图(DVHs)、符合性指数(CI)、均匀性指数(HI)、最大和平均器官风险剂量(OARs)。结果:Target_3D与Target_4D在尾状叶的平均体积差为2.76 cm3(标准差[SD] 3.42 cm3),在左肝叶的平均体积差为181.54 cm3(标准差[SD] 68.50 cm3),在右肝叶的平均体积差为26.08 cm3(标准差[SD] 20.52 cm3)。Plan_3D的CI和HI均值为1.02±0.04,SD为0.108±0.02,Plan_4D的CI和HI均值为1.02±0.01,SD为0.107±0.01。Plan_3D与Plan_3D’、Plan_4D与Plan_4D’的OAR剂量差异无统计学意义。然而,在Plan_3D和Plan_3D‘之间(P = 1.47 × 10⁻)和Plan_4D和Plan_4D’之间(P = 0.013)观察到目标剂量有统计学意义的差异。Plan_3D‘ 100%满足处方剂量,平均覆盖Targeted_4D体积的77.89% (SD 10.13%),而Plan_4D’平均覆盖Targeted_3D体积的94.17% (SD 3.12%)。结论:三维图像引导下的靶区描绘可能更容易低估靶区体积和损害剂量覆盖,提示使用多参数4D-MRI可以提供更精确的靶区轮廓和增强靶区剂量覆盖。
本文章由计算机程序翻译,如有差异,请以英文原文为准。

Dosimetric investigation of multi-parametric 4D-MRI for radiotherapy in liver cancer.

Dosimetric investigation of multi-parametric 4D-MRI for radiotherapy in liver cancer.

Dosimetric investigation of multi-parametric 4D-MRI for radiotherapy in liver cancer.

Dosimetric investigation of multi-parametric 4D-MRI for radiotherapy in liver cancer.

Background: In radiotherapy, inadequate management of organ motion in liver cancer may lead to inadequate delineation accuracy, resulting in the underdosage of target tissues and overdosage of surrounding normal tissues. To investigate the clinical potential of multi-parametric 4D-MRI in the target delineation and dose accuracy for liver cancer radiotherapy.

Methods: Twenty patients receiving radiotherapy for liver cancer were enrolled. Each patient underwent contrast-enhanced planning CT (free-breathing), contrast-enhanced T1-weighted (free-breathing), T2-weighted (gated) 3D-MRI, and low-quality 4D-MRI using the time resolved imaging with interleaved stochastic trajectories volumetric interpolated breath-hold examination (TWIST-VIBE) sequence. A dual-supervised deformation estimation model was used to generate a 4D deformable vector field (4D-DVF) from 4D-MRI data, and the prior images were deformed using this 4D-DVF to generate multi-parametric 4D-MRI. Assisted by 3D-MRI and multi-parametric 4D-MRI, target contours were performed on the planning CT, resulting in the generation of Target_3D and Target_4D. Clinical plans, Plan_3D and Plan_4D, were designed based on these contours respectively. To explore the dosimetric variations resulting from different contours without re-optimization, Plan_3D was directly applied to Target_4D, and Plan_4D was applied to Target_3D to generate Plan_3D' and Plan_4D' respectively. Target volume, contours, dose-volume histograms (DVHs), conformity index (CI), homogeneity index (HI), maximum and mean dose to organ as risks (OARs) were compared and evaluated.

Results: Mean volume differences between Target_3D and Target_4D were 2.76 cm3 (standard deviation [SD] 3.42 cm3) in the caudate lobe, 181.54 cm3 (SD 68.50 cm3) in the left hepatic lobe, and 26.08 cm3 (SD 20.52 cm3) in the right hepatic lobe. Mean and SD of CI and HI is 1.02 ± 0.04 and 0.108 ± 0.02 in Plan_3D, 1.02 ± 0.01 and 0.107 ± 0.01 in Plan_4D. There were no statistically significant differences in OAR doses between Plan_3D and Plan_3D', between Plan_4D and Plan_4D'. However, a statistically significant difference in target dose was observed between Plan_3D and Plan_3D' (P = 1.47 × 10⁻⁷) and between Plan_4D and Plan_4D' (P = 0.013). Plan_3D' meets 100% of the prescription dose covering mean 77.89% (SD 10.13%) of the Targeted_4D volume, while Plan_4D' covered mean 94.17% (SD 3.12%) of the Targeted_3D volume.

Conclusions: 3D image-guided target delineation may be more likely to underestimate target volume and compromise dose coverage, suggesting that using multi-parametric 4D-MRI can provide more precise target contours and enhance target dose coverage.

求助全文
通过发布文献求助,成功后即可免费获取论文全文。 去求助
来源期刊
Radiation Oncology
Radiation Oncology ONCOLOGY-RADIOLOGY, NUCLEAR MEDICINE & MEDICAL IMAGING
CiteScore
6.50
自引率
2.80%
发文量
181
审稿时长
3-6 weeks
期刊介绍: Radiation Oncology encompasses all aspects of research that impacts on the treatment of cancer using radiation. It publishes findings in molecular and cellular radiation biology, radiation physics, radiation technology, and clinical oncology.
×
引用
GB/T 7714-2015
复制
MLA
复制
APA
复制
导出至
BibTeX EndNote RefMan NoteFirst NoteExpress
×
提示
您的信息不完整,为了账户安全,请先补充。
现在去补充
×
提示
您因"违规操作"
具体请查看互助需知
我知道了
×
提示
确定
请完成安全验证×
copy
已复制链接
快去分享给好友吧!
我知道了
右上角分享
点击右上角分享
0
联系我们:info@booksci.cn Book学术提供免费学术资源搜索服务,方便国内外学者检索中英文文献。致力于提供最便捷和优质的服务体验。 Copyright © 2023 布克学术 All rights reserved.
京ICP备2023020795号-1
ghs 京公网安备 11010802042870号
Book学术文献互助
Book学术文献互助群
群 号:604180095
Book学术官方微信