职业性肝病:一个被低估的肝损伤实体。

IF 0.8 Q4 PUBLIC, ENVIRONMENTAL & OCCUPATIONAL HEALTH
Srived Meda, R Anand Kumar, Balaji Musunuri, Shiran Shetty, Deepak M Nayak
{"title":"职业性肝病:一个被低估的肝损伤实体。","authors":"Srived Meda, R Anand Kumar, Balaji Musunuri, Shiran Shetty, Deepak M Nayak","doi":"10.4103/ijoem.ijoem_117_24","DOIUrl":null,"url":null,"abstract":"<p><p>Occupational liver disease is certain rare group of liver diseases that are often underdiagnosed. We report a case of liver injury caused due to occupational exposure in a patient presenting with jaundice. In the absence of any competing causes and liver biopsy findings, injury secondary to nitrocompounds have been suspected. The patient improved gradually on changing his job position. This case emphasizes the need for knowledge regarding liver diseases occurring secondary to toxin exposure during work.</p>","PeriodicalId":43585,"journal":{"name":"Indian Journal of Occupational and Environmental Medicine","volume":"29 1","pages":"80-82"},"PeriodicalIF":0.8000,"publicationDate":"2025-01-01","publicationTypes":"Journal Article","fieldsOfStudy":null,"isOpenAccess":false,"openAccessPdf":"https://www.ncbi.nlm.nih.gov/pmc/articles/PMC12017668/pdf/","citationCount":"0","resultStr":"{\"title\":\"Occupational Liver Disease: An Underestimated Entity of Liver Injury.\",\"authors\":\"Srived Meda, R Anand Kumar, Balaji Musunuri, Shiran Shetty, Deepak M Nayak\",\"doi\":\"10.4103/ijoem.ijoem_117_24\",\"DOIUrl\":null,\"url\":null,\"abstract\":\"<p><p>Occupational liver disease is certain rare group of liver diseases that are often underdiagnosed. We report a case of liver injury caused due to occupational exposure in a patient presenting with jaundice. In the absence of any competing causes and liver biopsy findings, injury secondary to nitrocompounds have been suspected. The patient improved gradually on changing his job position. This case emphasizes the need for knowledge regarding liver diseases occurring secondary to toxin exposure during work.</p>\",\"PeriodicalId\":43585,\"journal\":{\"name\":\"Indian Journal of Occupational and Environmental Medicine\",\"volume\":\"29 1\",\"pages\":\"80-82\"},\"PeriodicalIF\":0.8000,\"publicationDate\":\"2025-01-01\",\"publicationTypes\":\"Journal Article\",\"fieldsOfStudy\":null,\"isOpenAccess\":false,\"openAccessPdf\":\"https://www.ncbi.nlm.nih.gov/pmc/articles/PMC12017668/pdf/\",\"citationCount\":\"0\",\"resultStr\":null,\"platform\":\"Semanticscholar\",\"paperid\":null,\"PeriodicalName\":\"Indian Journal of Occupational and Environmental Medicine\",\"FirstCategoryId\":\"1085\",\"ListUrlMain\":\"https://doi.org/10.4103/ijoem.ijoem_117_24\",\"RegionNum\":0,\"RegionCategory\":null,\"ArticlePicture\":[],\"TitleCN\":null,\"AbstractTextCN\":null,\"PMCID\":null,\"EPubDate\":\"2025/3/31 0:00:00\",\"PubModel\":\"Epub\",\"JCR\":\"Q4\",\"JCRName\":\"PUBLIC, ENVIRONMENTAL & OCCUPATIONAL HEALTH\",\"Score\":null,\"Total\":0}","platform":"Semanticscholar","paperid":null,"PeriodicalName":"Indian Journal of Occupational and Environmental Medicine","FirstCategoryId":"1085","ListUrlMain":"https://doi.org/10.4103/ijoem.ijoem_117_24","RegionNum":0,"RegionCategory":null,"ArticlePicture":[],"TitleCN":null,"AbstractTextCN":null,"PMCID":null,"EPubDate":"2025/3/31 0:00:00","PubModel":"Epub","JCR":"Q4","JCRName":"PUBLIC, ENVIRONMENTAL & OCCUPATIONAL HEALTH","Score":null,"Total":0}
引用次数: 0

摘要

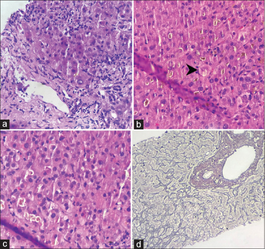
职业性肝病是一类罕见的肝病,常被误诊。我们报告一个病例肝损伤引起的职业暴露在一个病人表现为黄疸。在没有任何竞争原因和肝活检结果的情况下,怀疑继发于硝基化合物的损伤。病人的病情随着工作岗位的改变而逐渐好转。这一病例强调需要了解工作期间因接触毒素而继发的肝脏疾病。
本文章由计算机程序翻译,如有差异,请以英文原文为准。

Occupational Liver Disease: An Underestimated Entity of Liver Injury.

Occupational Liver Disease: An Underestimated Entity of Liver Injury.

Occupational liver disease is certain rare group of liver diseases that are often underdiagnosed. We report a case of liver injury caused due to occupational exposure in a patient presenting with jaundice. In the absence of any competing causes and liver biopsy findings, injury secondary to nitrocompounds have been suspected. The patient improved gradually on changing his job position. This case emphasizes the need for knowledge regarding liver diseases occurring secondary to toxin exposure during work.

求助全文
通过发布文献求助,成功后即可免费获取论文全文。 去求助
来源期刊
Indian Journal of Occupational and Environmental Medicine
Indian Journal of Occupational and Environmental Medicine PUBLIC, ENVIRONMENTAL & OCCUPATIONAL HEALTH-
CiteScore
1.60
自引率
0.00%
发文量
25
期刊介绍: The website of Indian Journal of Occupational and Environmental Medicine aims to make the printed version of the journal available to the scientific community on the web. The site is purely for educational purpose of the medical community. The site does not cater to the needs of individual patients and is designed to support, not replace, the relationship that exists between a patient/site visitor and his/her existing physician.
×
引用
GB/T 7714-2015
复制
MLA
复制
APA
复制
导出至
BibTeX EndNote RefMan NoteFirst NoteExpress
×
提示
您的信息不完整,为了账户安全,请先补充。
现在去补充
×
提示
您因"违规操作"
具体请查看互助需知
我知道了
×
提示
确定
请完成安全验证×
copy
已复制链接
快去分享给好友吧!
我知道了
右上角分享
点击右上角分享
0
联系我们:info@booksci.cn Book学术提供免费学术资源搜索服务,方便国内外学者检索中英文文献。致力于提供最便捷和优质的服务体验。 Copyright © 2023 布克学术 All rights reserved.
京ICP备2023020795号-1
ghs 京公网安备 11010802042870号
Book学术文献互助
Book学术文献互助群
群 号:604180095
Book学术官方微信