直肠系膜脂肪的放射学特征作为直肠癌患者接受新辅助治疗的反应指标。

IF 2.2 4区 医学 Q2 RADIOLOGY, NUCLEAR MEDICINE & MEDICAL IMAGING
Francesca Treballi, Ginevra Danti, Sofia Boccioli, Sebastiano Paolucci, Simone Busoni, Linda Calistri, Vittorio Miele
{"title":"直肠系膜脂肪的放射学特征作为直肠癌患者接受新辅助治疗的反应指标。","authors":"Francesca Treballi, Ginevra Danti, Sofia Boccioli, Sebastiano Paolucci, Simone Busoni, Linda Calistri, Vittorio Miele","doi":"10.3390/tomography11040044","DOIUrl":null,"url":null,"abstract":"<p><strong>Background: </strong>Rectal cancer represents a major cause of mortality in the United States. Management strategies are highly individualized, depending on patient-specific factors and tumor characteristics. The therapeutic landscape is rapidly evolving, with notable advancements in response rates to both radiotherapy and chemotherapy. For locally advanced rectal cancer (LARC, defined as up to T3-4 N+), the standard of care involves total mesorectal excision (TME) following neoadjuvant chemoradiotherapy (nCRT). Magnetic resonance imaging (MRI) has emerged as the gold standard for local tumor staging and is increasingly pivotal in post-treatment restaging.</p><p><strong>Aim: </strong>In our study, we proposed an MRI-based radiomic model to identify characteristic features of peritumoral mesorectal fat in two patient groups: good responders and poor responders to neoadjuvant therapy. The aim was to assess the potential presence of predictive factors for favorable or unfavorable responses to neoadjuvant chemoradiotherapy, thereby optimizing treatment management and improving personalized clinical decision-making.</p><p><strong>Methods: </strong>We conducted a retrospective analysis of adult patients with LARC who underwent pre- and post-nCRT MRI scans. Patients were classified as good responders (Group 0) or poor responders (Group 1) based on MRI findings, including tumor volume reduction, signal intensity changes on T2-weighted and diffusion-weighted imaging (DWI), and alterations in the circumferential resection margin (CRM) and extramural vascular invasion (EMVI) status. Classification criteria were based on the established literature to ensure consistency. Key clinical and imaging parameters, such as age, TNM stage, CRM involvement, and EMVI presence, were recorded. A radiomic model was developed using the LASSO algorithm for feature selection and regularization from 107 extracted radiomic features.</p><p><strong>Results: </strong>We included 44 patients (26 males and 18 females) who, following nCRT, were categorized into Group 0 (28 patients) and Group 1 (16 patients). The pre-treatment MRI analysis identified significant features (out of 107) for each sequence based on the Mann-Whitney test and <i>t</i>-test. The LASSO algorithm selected three features (shape_Sphericity, shape_Maximum2DDiameterSlice, and glcm_Imc2) for the construction of the radiomic logistic regression model, and ROC curves were subsequently generated for each model (AUC: 0.76).</p><p><strong>Conclusions: </strong>We developed an MRI-based radiomic model capable of differentiating and predicting between two groups of rectal cancer patients: responders and non-responders to neoadjuvant chemoradiotherapy (nCRT). This model has the potential to identify, at an early stage, lesions with a high likelihood of requiring surgery and those that could potentially be managed with medical treatment alone.</p>","PeriodicalId":51330,"journal":{"name":"Tomography","volume":"11 4","pages":""},"PeriodicalIF":2.2000,"publicationDate":"2025-04-07","publicationTypes":"Journal Article","fieldsOfStudy":null,"isOpenAccess":false,"openAccessPdf":"https://www.ncbi.nlm.nih.gov/pmc/articles/PMC12031397/pdf/","citationCount":"0","resultStr":"{\"title\":\"Radiomic Features of Mesorectal Fat as Indicators of Response in Rectal Cancer Patients Undergoing Neoadjuvant Therapy.\",\"authors\":\"Francesca Treballi, Ginevra Danti, Sofia Boccioli, Sebastiano Paolucci, Simone Busoni, Linda Calistri, Vittorio Miele\",\"doi\":\"10.3390/tomography11040044\",\"DOIUrl\":null,\"url\":null,\"abstract\":\"<p><strong>Background: </strong>Rectal cancer represents a major cause of mortality in the United States. Management strategies are highly individualized, depending on patient-specific factors and tumor characteristics. The therapeutic landscape is rapidly evolving, with notable advancements in response rates to both radiotherapy and chemotherapy. For locally advanced rectal cancer (LARC, defined as up to T3-4 N+), the standard of care involves total mesorectal excision (TME) following neoadjuvant chemoradiotherapy (nCRT). Magnetic resonance imaging (MRI) has emerged as the gold standard for local tumor staging and is increasingly pivotal in post-treatment restaging.</p><p><strong>Aim: </strong>In our study, we proposed an MRI-based radiomic model to identify characteristic features of peritumoral mesorectal fat in two patient groups: good responders and poor responders to neoadjuvant therapy. The aim was to assess the potential presence of predictive factors for favorable or unfavorable responses to neoadjuvant chemoradiotherapy, thereby optimizing treatment management and improving personalized clinical decision-making.</p><p><strong>Methods: </strong>We conducted a retrospective analysis of adult patients with LARC who underwent pre- and post-nCRT MRI scans. Patients were classified as good responders (Group 0) or poor responders (Group 1) based on MRI findings, including tumor volume reduction, signal intensity changes on T2-weighted and diffusion-weighted imaging (DWI), and alterations in the circumferential resection margin (CRM) and extramural vascular invasion (EMVI) status. Classification criteria were based on the established literature to ensure consistency. Key clinical and imaging parameters, such as age, TNM stage, CRM involvement, and EMVI presence, were recorded. A radiomic model was developed using the LASSO algorithm for feature selection and regularization from 107 extracted radiomic features.</p><p><strong>Results: </strong>We included 44 patients (26 males and 18 females) who, following nCRT, were categorized into Group 0 (28 patients) and Group 1 (16 patients). The pre-treatment MRI analysis identified significant features (out of 107) for each sequence based on the Mann-Whitney test and <i>t</i>-test. The LASSO algorithm selected three features (shape_Sphericity, shape_Maximum2DDiameterSlice, and glcm_Imc2) for the construction of the radiomic logistic regression model, and ROC curves were subsequently generated for each model (AUC: 0.76).</p><p><strong>Conclusions: </strong>We developed an MRI-based radiomic model capable of differentiating and predicting between two groups of rectal cancer patients: responders and non-responders to neoadjuvant chemoradiotherapy (nCRT). This model has the potential to identify, at an early stage, lesions with a high likelihood of requiring surgery and those that could potentially be managed with medical treatment alone.</p>\",\"PeriodicalId\":51330,\"journal\":{\"name\":\"Tomography\",\"volume\":\"11 4\",\"pages\":\"\"},\"PeriodicalIF\":2.2000,\"publicationDate\":\"2025-04-07\",\"publicationTypes\":\"Journal Article\",\"fieldsOfStudy\":null,\"isOpenAccess\":false,\"openAccessPdf\":\"https://www.ncbi.nlm.nih.gov/pmc/articles/PMC12031397/pdf/\",\"citationCount\":\"0\",\"resultStr\":null,\"platform\":\"Semanticscholar\",\"paperid\":null,\"PeriodicalName\":\"Tomography\",\"FirstCategoryId\":\"3\",\"ListUrlMain\":\"https://doi.org/10.3390/tomography11040044\",\"RegionNum\":4,\"RegionCategory\":\"医学\",\"ArticlePicture\":[],\"TitleCN\":null,\"AbstractTextCN\":null,\"PMCID\":null,\"EPubDate\":\"\",\"PubModel\":\"\",\"JCR\":\"Q2\",\"JCRName\":\"RADIOLOGY, NUCLEAR MEDICINE & MEDICAL IMAGING\",\"Score\":null,\"Total\":0}","platform":"Semanticscholar","paperid":null,"PeriodicalName":"Tomography","FirstCategoryId":"3","ListUrlMain":"https://doi.org/10.3390/tomography11040044","RegionNum":4,"RegionCategory":"医学","ArticlePicture":[],"TitleCN":null,"AbstractTextCN":null,"PMCID":null,"EPubDate":"","PubModel":"","JCR":"Q2","JCRName":"RADIOLOGY, NUCLEAR MEDICINE & MEDICAL IMAGING","Score":null,"Total":0}
引用次数: 0

摘要

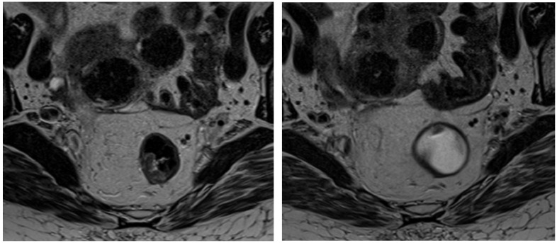
背景:直肠癌是美国死亡的主要原因。管理策略是高度个性化的,取决于患者特定的因素和肿瘤特征。治疗领域正在迅速发展,放疗和化疗的反应率都有显著进步。对于局部晚期直肠癌(LARC,定义为T3-4 N+),标准治疗包括新辅助放化疗(nCRT)后全肠系膜切除术(TME)。磁共振成像(MRI)已成为局部肿瘤分期的金标准,在治疗后再分期中越来越重要。目的:在我们的研究中,我们提出了一种基于mri的放射学模型来识别两组患者肿瘤周围直肠系膜脂肪的特征:对新辅助治疗有良好反应和不良反应。目的是评估新辅助放化疗有利或不利反应的潜在预测因素,从而优化治疗管理,提高个性化临床决策。方法:我们对接受ncrt前后MRI扫描的LARC成年患者进行了回顾性分析。根据MRI表现,包括肿瘤体积缩小、t2加权和弥散加权成像(DWI)信号强度变化、环切缘(CRM)和外血管侵犯(EMVI)状态的改变,将患者分为良好反应(0组)或不良反应(1组)。分类标准基于已建立的文献,以确保一致性。记录关键的临床和影像学参数,如年龄、TNM分期、CRM累及和EMVI存在。利用LASSO算法对提取的107个放射组特征进行特征选择和正则化,建立了放射组模型。结果:我们纳入44例患者(男26例,女18例),按照nCRT分为0组(28例)和1组(16例)。基于Mann-Whitney检验和t检验,预处理MRI分析确定了每个序列的显著特征(107个)。LASSO算法选取shape_Sphericity、shape_Maximum2DDiameterSlice和glcm_Imc2三个特征构建放射学逻辑回归模型,并对每个模型生成ROC曲线(AUC: 0.76)。结论:我们开发了一种基于mri的放射组学模型,能够区分和预测两组直肠癌患者:对新辅助放化疗(nCRT)有反应和无反应的患者。该模型有可能在早期阶段识别出极有可能需要手术的病变,以及那些可能仅通过药物治疗就能控制的病变。
本文章由计算机程序翻译,如有差异,请以英文原文为准。

Radiomic Features of Mesorectal Fat as Indicators of Response in Rectal Cancer Patients Undergoing Neoadjuvant Therapy.

Radiomic Features of Mesorectal Fat as Indicators of Response in Rectal Cancer Patients Undergoing Neoadjuvant Therapy.

Radiomic Features of Mesorectal Fat as Indicators of Response in Rectal Cancer Patients Undergoing Neoadjuvant Therapy.

Radiomic Features of Mesorectal Fat as Indicators of Response in Rectal Cancer Patients Undergoing Neoadjuvant Therapy.

Background: Rectal cancer represents a major cause of mortality in the United States. Management strategies are highly individualized, depending on patient-specific factors and tumor characteristics. The therapeutic landscape is rapidly evolving, with notable advancements in response rates to both radiotherapy and chemotherapy. For locally advanced rectal cancer (LARC, defined as up to T3-4 N+), the standard of care involves total mesorectal excision (TME) following neoadjuvant chemoradiotherapy (nCRT). Magnetic resonance imaging (MRI) has emerged as the gold standard for local tumor staging and is increasingly pivotal in post-treatment restaging.

Aim: In our study, we proposed an MRI-based radiomic model to identify characteristic features of peritumoral mesorectal fat in two patient groups: good responders and poor responders to neoadjuvant therapy. The aim was to assess the potential presence of predictive factors for favorable or unfavorable responses to neoadjuvant chemoradiotherapy, thereby optimizing treatment management and improving personalized clinical decision-making.

Methods: We conducted a retrospective analysis of adult patients with LARC who underwent pre- and post-nCRT MRI scans. Patients were classified as good responders (Group 0) or poor responders (Group 1) based on MRI findings, including tumor volume reduction, signal intensity changes on T2-weighted and diffusion-weighted imaging (DWI), and alterations in the circumferential resection margin (CRM) and extramural vascular invasion (EMVI) status. Classification criteria were based on the established literature to ensure consistency. Key clinical and imaging parameters, such as age, TNM stage, CRM involvement, and EMVI presence, were recorded. A radiomic model was developed using the LASSO algorithm for feature selection and regularization from 107 extracted radiomic features.

Results: We included 44 patients (26 males and 18 females) who, following nCRT, were categorized into Group 0 (28 patients) and Group 1 (16 patients). The pre-treatment MRI analysis identified significant features (out of 107) for each sequence based on the Mann-Whitney test and t-test. The LASSO algorithm selected three features (shape_Sphericity, shape_Maximum2DDiameterSlice, and glcm_Imc2) for the construction of the radiomic logistic regression model, and ROC curves were subsequently generated for each model (AUC: 0.76).

Conclusions: We developed an MRI-based radiomic model capable of differentiating and predicting between two groups of rectal cancer patients: responders and non-responders to neoadjuvant chemoradiotherapy (nCRT). This model has the potential to identify, at an early stage, lesions with a high likelihood of requiring surgery and those that could potentially be managed with medical treatment alone.

求助全文
通过发布文献求助,成功后即可免费获取论文全文。 去求助
来源期刊
Tomography
Tomography Medicine-Radiology, Nuclear Medicine and Imaging
CiteScore
2.70
自引率
10.50%
发文量
222
期刊介绍: TomographyTM publishes basic (technical and pre-clinical) and clinical scientific articles which involve the advancement of imaging technologies. Tomography encompasses studies that use single or multiple imaging modalities including for example CT, US, PET, SPECT, MR and hyperpolarization technologies, as well as optical modalities (i.e. bioluminescence, photoacoustic, endomicroscopy, fiber optic imaging and optical computed tomography) in basic sciences, engineering, preclinical and clinical medicine. Tomography also welcomes studies involving exploration and refinement of contrast mechanisms and image-derived metrics within and across modalities toward the development of novel imaging probes for image-based feedback and intervention. The use of imaging in biology and medicine provides unparalleled opportunities to noninvasively interrogate tissues to obtain real-time dynamic and quantitative information required for diagnosis and response to interventions and to follow evolving pathological conditions. As multi-modal studies and the complexities of imaging technologies themselves are ever increasing to provide advanced information to scientists and clinicians. Tomography provides a unique publication venue allowing investigators the opportunity to more precisely communicate integrated findings related to the diverse and heterogeneous features associated with underlying anatomical, physiological, functional, metabolic and molecular genetic activities of normal and diseased tissue. Thus Tomography publishes peer-reviewed articles which involve the broad use of imaging of any tissue and disease type including both preclinical and clinical investigations. In addition, hardware/software along with chemical and molecular probe advances are welcome as they are deemed to significantly contribute towards the long-term goal of improving the overall impact of imaging on scientific and clinical discovery.
×
引用
GB/T 7714-2015
复制
MLA
复制
APA
复制
导出至
BibTeX EndNote RefMan NoteFirst NoteExpress
×
提示
您的信息不完整,为了账户安全,请先补充。
现在去补充
×
提示
您因"违规操作"
具体请查看互助需知
我知道了
×
提示
确定
请完成安全验证×
copy
已复制链接
快去分享给好友吧!
我知道了
右上角分享
点击右上角分享
0
联系我们:info@booksci.cn Book学术提供免费学术资源搜索服务,方便国内外学者检索中英文文献。致力于提供最便捷和优质的服务体验。 Copyright © 2023 布克学术 All rights reserved.
京ICP备2023020795号-1
ghs 京公网安备 11010802042870号
Book学术文献互助
Book学术文献互助群
群 号:604180095
Book学术官方微信