精神分裂症和临床高危人群的异常眼动、脑区域同质性及其相关基因表达谱

IF 4.1 Q2 PSYCHIATRY
Zhaobin Chen, Yangpan Ou, Yudan Ding, Ying Wang, Huabing Li, Feng Liu, Ping Li, Dongsheng Lv, Yong Liu, Bing Lang, Jingping Zhao, Wenbin Guo
{"title":"精神分裂症和临床高危人群的异常眼动、脑区域同质性及其相关基因表达谱","authors":"Zhaobin Chen, Yangpan Ou, Yudan Ding, Ying Wang, Huabing Li, Feng Liu, Ping Li, Dongsheng Lv, Yong Liu, Bing Lang, Jingping Zhao, Wenbin Guo","doi":"10.1038/s41537-025-00609-x","DOIUrl":null,"url":null,"abstract":"<p><p>Clinical high-risk (CHR) is a prodromal period before psychosis characterized by attenuated, transient, or intermittent psychotic symptoms and declining functioning. They exhibit eye movement abnormalities and brain functional damage compared with schizophrenia, potentially increasing vulnerability to psychosis. This study investigates eye movement dysfunction and brain activity alterations in CHR and first-episode schizophrenia (FSZ) individuals to identify early biomarkers for psychosis progression. Twenty-seven drug-naïve FSZ, 25 CHR, and 28 healthy controls (HCs) were recruited for eye-tracking tasks and resting-state functional magnetic resonance imaging to evaluate eye movement and regional homogeneity (ReHo) differences. Machine-learning algorithms were used to differentiate FSZ from CHR. In combination with the Allen Human Brain Atlas (AHBA), transcriptome-neuroimaging analysis was applied to identify ReHo-related gene expression profiles. FSZ exhibited a wide range of eye movement abnormalities across multiple tasks, while certain abnormalities were already present in CHR. Abnormal ReHo alterations were found in orbitofrontal gyrus, temporal gyrus, and cingulum among three groups, associated with specific eye movement parameters. These differences in eye movement and ReHo allowed for high-accuracy discrimination between them. Genetic analysis identified significant genes in FSZ and CHR, enriched in various biological functions and pathways (all corrected p < 0.05). FSZ and CHR exhibited different eye movement and ReHo patterns, indicating potential as early biomarkers. Our findings reveal correlations between these ReHo patterns and gene expression profiles using AHBA database, shedding light on possible genetic mechanisms underlying brain function in FSZ and CHR.</p>","PeriodicalId":74758,"journal":{"name":"Schizophrenia (Heidelberg, Germany)","volume":"11 1","pages":"64"},"PeriodicalIF":4.1000,"publicationDate":"2025-04-17","publicationTypes":"Journal Article","fieldsOfStudy":null,"isOpenAccess":false,"openAccessPdf":"https://www.ncbi.nlm.nih.gov/pmc/articles/PMC12006367/pdf/","citationCount":"0","resultStr":"{\"title\":\"Abnormal eye movement, brain regional homogeneity in schizophrenia and clinical high-risk individuals and their associated gene expression profiles.\",\"authors\":\"Zhaobin Chen, Yangpan Ou, Yudan Ding, Ying Wang, Huabing Li, Feng Liu, Ping Li, Dongsheng Lv, Yong Liu, Bing Lang, Jingping Zhao, Wenbin Guo\",\"doi\":\"10.1038/s41537-025-00609-x\",\"DOIUrl\":null,\"url\":null,\"abstract\":\"<p><p>Clinical high-risk (CHR) is a prodromal period before psychosis characterized by attenuated, transient, or intermittent psychotic symptoms and declining functioning. They exhibit eye movement abnormalities and brain functional damage compared with schizophrenia, potentially increasing vulnerability to psychosis. This study investigates eye movement dysfunction and brain activity alterations in CHR and first-episode schizophrenia (FSZ) individuals to identify early biomarkers for psychosis progression. Twenty-seven drug-naïve FSZ, 25 CHR, and 28 healthy controls (HCs) were recruited for eye-tracking tasks and resting-state functional magnetic resonance imaging to evaluate eye movement and regional homogeneity (ReHo) differences. Machine-learning algorithms were used to differentiate FSZ from CHR. In combination with the Allen Human Brain Atlas (AHBA), transcriptome-neuroimaging analysis was applied to identify ReHo-related gene expression profiles. FSZ exhibited a wide range of eye movement abnormalities across multiple tasks, while certain abnormalities were already present in CHR. Abnormal ReHo alterations were found in orbitofrontal gyrus, temporal gyrus, and cingulum among three groups, associated with specific eye movement parameters. These differences in eye movement and ReHo allowed for high-accuracy discrimination between them. Genetic analysis identified significant genes in FSZ and CHR, enriched in various biological functions and pathways (all corrected p < 0.05). FSZ and CHR exhibited different eye movement and ReHo patterns, indicating potential as early biomarkers. Our findings reveal correlations between these ReHo patterns and gene expression profiles using AHBA database, shedding light on possible genetic mechanisms underlying brain function in FSZ and CHR.</p>\",\"PeriodicalId\":74758,\"journal\":{\"name\":\"Schizophrenia (Heidelberg, Germany)\",\"volume\":\"11 1\",\"pages\":\"64\"},\"PeriodicalIF\":4.1000,\"publicationDate\":\"2025-04-17\",\"publicationTypes\":\"Journal Article\",\"fieldsOfStudy\":null,\"isOpenAccess\":false,\"openAccessPdf\":\"https://www.ncbi.nlm.nih.gov/pmc/articles/PMC12006367/pdf/\",\"citationCount\":\"0\",\"resultStr\":null,\"platform\":\"Semanticscholar\",\"paperid\":null,\"PeriodicalName\":\"Schizophrenia (Heidelberg, Germany)\",\"FirstCategoryId\":\"1085\",\"ListUrlMain\":\"https://doi.org/10.1038/s41537-025-00609-x\",\"RegionNum\":0,\"RegionCategory\":null,\"ArticlePicture\":[],\"TitleCN\":null,\"AbstractTextCN\":null,\"PMCID\":null,\"EPubDate\":\"\",\"PubModel\":\"\",\"JCR\":\"Q2\",\"JCRName\":\"PSYCHIATRY\",\"Score\":null,\"Total\":0}","platform":"Semanticscholar","paperid":null,"PeriodicalName":"Schizophrenia (Heidelberg, Germany)","FirstCategoryId":"1085","ListUrlMain":"https://doi.org/10.1038/s41537-025-00609-x","RegionNum":0,"RegionCategory":null,"ArticlePicture":[],"TitleCN":null,"AbstractTextCN":null,"PMCID":null,"EPubDate":"","PubModel":"","JCR":"Q2","JCRName":"PSYCHIATRY","Score":null,"Total":0}
引用次数: 0

摘要

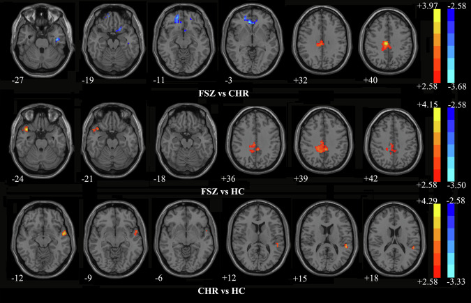
临床高危(CHR)是指精神病前的前驱期,其特征是精神病症状减弱,短暂或间歇性,功能下降。与精神分裂症相比,他们表现出眼动异常和脑功能损伤,潜在地增加了患精神病的脆弱性。本研究调查了CHR和首发精神分裂症(FSZ)个体的眼动功能障碍和脑活动改变,以确定精神病进展的早期生物标志物。招募27名drug-naïve FSZ, 25名CHR和28名健康对照(hc)进行眼动追踪任务和静息状态功能磁共振成像以评估眼动和区域均匀性(ReHo)差异。机器学习算法用于区分FSZ和CHR。结合Allen人脑图谱(AHBA),应用转录组-神经成像分析鉴定reho相关基因表达谱。FSZ在多个任务中表现出广泛的眼动异常,而CHR中已经存在某些异常。三组患者眼眶额回、颞回和扣带的ReHo异常变化与特定眼动参数有关。这些眼球运动和ReHo的差异使得它们之间的区分具有很高的准确性。遗传分析鉴定出FSZ和CHR的显著基因,丰富了各种生物学功能和途径(均校正p
本文章由计算机程序翻译,如有差异,请以英文原文为准。

Abnormal eye movement, brain regional homogeneity in schizophrenia and clinical high-risk individuals and their associated gene expression profiles.

Abnormal eye movement, brain regional homogeneity in schizophrenia and clinical high-risk individuals and their associated gene expression profiles.

Abnormal eye movement, brain regional homogeneity in schizophrenia and clinical high-risk individuals and their associated gene expression profiles.

Abnormal eye movement, brain regional homogeneity in schizophrenia and clinical high-risk individuals and their associated gene expression profiles.

Clinical high-risk (CHR) is a prodromal period before psychosis characterized by attenuated, transient, or intermittent psychotic symptoms and declining functioning. They exhibit eye movement abnormalities and brain functional damage compared with schizophrenia, potentially increasing vulnerability to psychosis. This study investigates eye movement dysfunction and brain activity alterations in CHR and first-episode schizophrenia (FSZ) individuals to identify early biomarkers for psychosis progression. Twenty-seven drug-naïve FSZ, 25 CHR, and 28 healthy controls (HCs) were recruited for eye-tracking tasks and resting-state functional magnetic resonance imaging to evaluate eye movement and regional homogeneity (ReHo) differences. Machine-learning algorithms were used to differentiate FSZ from CHR. In combination with the Allen Human Brain Atlas (AHBA), transcriptome-neuroimaging analysis was applied to identify ReHo-related gene expression profiles. FSZ exhibited a wide range of eye movement abnormalities across multiple tasks, while certain abnormalities were already present in CHR. Abnormal ReHo alterations were found in orbitofrontal gyrus, temporal gyrus, and cingulum among three groups, associated with specific eye movement parameters. These differences in eye movement and ReHo allowed for high-accuracy discrimination between them. Genetic analysis identified significant genes in FSZ and CHR, enriched in various biological functions and pathways (all corrected p < 0.05). FSZ and CHR exhibited different eye movement and ReHo patterns, indicating potential as early biomarkers. Our findings reveal correlations between these ReHo patterns and gene expression profiles using AHBA database, shedding light on possible genetic mechanisms underlying brain function in FSZ and CHR.

求助全文
通过发布文献求助,成功后即可免费获取论文全文。 去求助
来源期刊
自引率
0.00%
发文量
0
×
引用
GB/T 7714-2015
复制
MLA
复制
APA
复制
导出至
BibTeX EndNote RefMan NoteFirst NoteExpress
×
提示
您的信息不完整,为了账户安全,请先补充。
现在去补充
×
提示
您因"违规操作"
具体请查看互助需知
我知道了
×
提示
确定
请完成安全验证×
copy
已复制链接
快去分享给好友吧!
我知道了
右上角分享
点击右上角分享
0
联系我们:info@booksci.cn Book学术提供免费学术资源搜索服务,方便国内外学者检索中英文文献。致力于提供最便捷和优质的服务体验。 Copyright © 2023 布克学术 All rights reserved.
京ICP备2023020795号-1
ghs 京公网安备 11010802042870号
Book学术文献互助
Book学术文献互助群
群 号:604180095
Book学术官方微信