非根治切除联合内固定治疗青少年下肢纤维发育不良的可行性:一项小样本量的单中心回顾性研究

IF 3.7 2区 医学 Q1 ORTHOPEDICS
Yang Li, Dong Sun, Zhihang Zhou, Xintao Zhang, Aiwu Li, Junfei Chen
{"title":"非根治切除联合内固定治疗青少年下肢纤维发育不良的可行性:一项小样本量的单中心回顾性研究","authors":"Yang Li, Dong Sun, Zhihang Zhou, Xintao Zhang, Aiwu Li, Junfei Chen","doi":"10.1186/s10195-025-00838-x","DOIUrl":null,"url":null,"abstract":"<p><strong>Background: </strong>The management of osteofibrous dysplasia (OFD) is controversial, with limited reports on combining non-radical resection with internal fixation. This study evaluates optimal treatments for patients with OFD aged < 15 years, with attention to the limitations of the small sample size.</p><p><strong>Materials and methods: </strong>This retrospective analysis included 28 patients (30 extremity) with severe pain, pathological fractures, angular deformities, or extensive cortical bone involvement. On the basis of the surgical approach, patients were divided into four groups: group 1, curettage, allograft, and plate fixation for six patients (six extremity); group 2, elastic stable intramedullary nailing fixation for six patients (six extremity); group 3, Fassier-Duval telescopic system fixation for eight patients (nine extremity); and group 4, interlocking intramedullary nail for eight patients (nine extremity).</p><p><strong>Results: </strong>All patients achieved bony union and pain alleviation with no recurrence of deformities. The refracture rate during the follow-up was zero cases (0%; group 1) versus one (16.7%; group 2) versus zero (0%; group 3) versus zero cases (0% group 4) (p > 0.05). Instances of internal fixation loosening were zero cases (0%; group 1) versus zero (0%; group 2) versus five (55.6%; group 3) versus zero cases (0%; group 4) (p < 0.05). The musculoskeletal tumor society (MSTS) scores of the four groups were 27.5 (group 1) versus 27.7 (group 2) versus 26.3 (group 3) versus 28.7 (group 4) (p < 0.05).</p><p><strong>Conclusions: </strong>Selecting different treatment strategies for patients of various ages and locations with OFD is vital. Surgical intervention for patients with persistent pain, pathological fractures, extensive cortical bone involvement, or significant tibial deformities can significantly improve their quality of life. The encouraging MSTS scores also support this conclusion. However, given the study's single-center design and small sample size, further research with larger, multicenter studies is necessary.</p><p><strong>Level of evidence: </strong>Level IV.</p>","PeriodicalId":48603,"journal":{"name":"Journal of Orthopaedics and Traumatology","volume":"26 1","pages":"24"},"PeriodicalIF":3.7000,"publicationDate":"2025-04-25","publicationTypes":"Journal Article","fieldsOfStudy":null,"isOpenAccess":false,"openAccessPdf":"https://www.ncbi.nlm.nih.gov/pmc/articles/PMC12031686/pdf/","citationCount":"0","resultStr":"{\"title\":\"Feasibility of non-radical resection combined with internal fixation for adolescents with lower limb fibrous dysplasia: a single-center retrospective study with a small sample size.\",\"authors\":\"Yang Li, Dong Sun, Zhihang Zhou, Xintao Zhang, Aiwu Li, Junfei Chen\",\"doi\":\"10.1186/s10195-025-00838-x\",\"DOIUrl\":null,\"url\":null,\"abstract\":\"<p><strong>Background: </strong>The management of osteofibrous dysplasia (OFD) is controversial, with limited reports on combining non-radical resection with internal fixation. This study evaluates optimal treatments for patients with OFD aged < 15 years, with attention to the limitations of the small sample size.</p><p><strong>Materials and methods: </strong>This retrospective analysis included 28 patients (30 extremity) with severe pain, pathological fractures, angular deformities, or extensive cortical bone involvement. On the basis of the surgical approach, patients were divided into four groups: group 1, curettage, allograft, and plate fixation for six patients (six extremity); group 2, elastic stable intramedullary nailing fixation for six patients (six extremity); group 3, Fassier-Duval telescopic system fixation for eight patients (nine extremity); and group 4, interlocking intramedullary nail for eight patients (nine extremity).</p><p><strong>Results: </strong>All patients achieved bony union and pain alleviation with no recurrence of deformities. The refracture rate during the follow-up was zero cases (0%; group 1) versus one (16.7%; group 2) versus zero (0%; group 3) versus zero cases (0% group 4) (p > 0.05). Instances of internal fixation loosening were zero cases (0%; group 1) versus zero (0%; group 2) versus five (55.6%; group 3) versus zero cases (0%; group 4) (p < 0.05). The musculoskeletal tumor society (MSTS) scores of the four groups were 27.5 (group 1) versus 27.7 (group 2) versus 26.3 (group 3) versus 28.7 (group 4) (p < 0.05).</p><p><strong>Conclusions: </strong>Selecting different treatment strategies for patients of various ages and locations with OFD is vital. Surgical intervention for patients with persistent pain, pathological fractures, extensive cortical bone involvement, or significant tibial deformities can significantly improve their quality of life. The encouraging MSTS scores also support this conclusion. However, given the study's single-center design and small sample size, further research with larger, multicenter studies is necessary.</p><p><strong>Level of evidence: </strong>Level IV.</p>\",\"PeriodicalId\":48603,\"journal\":{\"name\":\"Journal of Orthopaedics and Traumatology\",\"volume\":\"26 1\",\"pages\":\"24\"},\"PeriodicalIF\":3.7000,\"publicationDate\":\"2025-04-25\",\"publicationTypes\":\"Journal Article\",\"fieldsOfStudy\":null,\"isOpenAccess\":false,\"openAccessPdf\":\"https://www.ncbi.nlm.nih.gov/pmc/articles/PMC12031686/pdf/\",\"citationCount\":\"0\",\"resultStr\":null,\"platform\":\"Semanticscholar\",\"paperid\":null,\"PeriodicalName\":\"Journal of Orthopaedics and Traumatology\",\"FirstCategoryId\":\"3\",\"ListUrlMain\":\"https://doi.org/10.1186/s10195-025-00838-x\",\"RegionNum\":2,\"RegionCategory\":\"医学\",\"ArticlePicture\":[],\"TitleCN\":null,\"AbstractTextCN\":null,\"PMCID\":null,\"EPubDate\":\"\",\"PubModel\":\"\",\"JCR\":\"Q1\",\"JCRName\":\"ORTHOPEDICS\",\"Score\":null,\"Total\":0}","platform":"Semanticscholar","paperid":null,"PeriodicalName":"Journal of Orthopaedics and Traumatology","FirstCategoryId":"3","ListUrlMain":"https://doi.org/10.1186/s10195-025-00838-x","RegionNum":2,"RegionCategory":"医学","ArticlePicture":[],"TitleCN":null,"AbstractTextCN":null,"PMCID":null,"EPubDate":"","PubModel":"","JCR":"Q1","JCRName":"ORTHOPEDICS","Score":null,"Total":0}
引用次数: 0

摘要

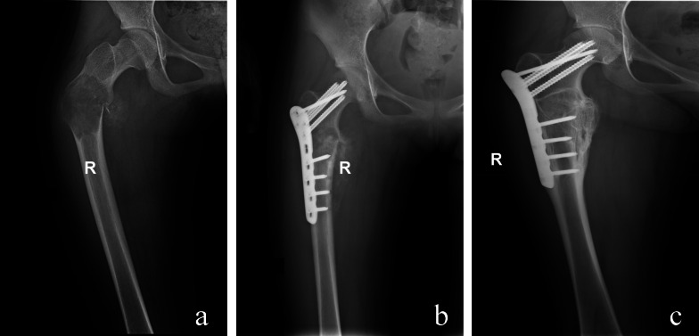
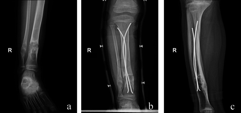
背景:骨纤维结构不良(OFD)的治疗是有争议的,关于非根治性切除联合内固定的报道有限。本研究评估年龄< 15岁的OFD患者的最佳治疗方法,并注意小样本量的局限性。材料和方法:本回顾性分析包括28例(30例四肢)伴有严重疼痛、病理性骨折、角度畸形或广泛的皮质骨受累的患者。根据手术入路将患者分为四组:第一组,刮除、异体移植物、钢板固定6例(6肢);第二组:弹性稳定髓内钉固定6例(6肢);第三组,Fassier-Duval套筒系统固定8例(9例肢体);第4组:交锁髓内钉8例(四肢9例)。结果:所有患者均实现骨愈合,疼痛减轻,无畸形复发。随访期间复发率为0例(0%;组1)vs . 1 (16.7%;组2)vs 0 (0%;组3)与0例(0%,组4)比较(p < 0.05)。内固定松动0例(0%;组1)vs . 0 (0%;2组)vs 5组(55.6%;组3)vs 0例(0%;结论:针对不同年龄、不同部位的OFD患者,选择不同的治疗策略至关重要。对于持续性疼痛、病理性骨折、大面积皮质骨受累或明显胫骨畸形的患者,手术干预可显著改善其生活质量。令人鼓舞的MSTS分数也支持这一结论。然而,考虑到该研究的单中心设计和小样本量,进一步的大型多中心研究是必要的。证据等级:四级。
本文章由计算机程序翻译,如有差异,请以英文原文为准。

Feasibility of non-radical resection combined with internal fixation for adolescents with lower limb fibrous dysplasia: a single-center retrospective study with a small sample size.

Feasibility of non-radical resection combined with internal fixation for adolescents with lower limb fibrous dysplasia: a single-center retrospective study with a small sample size.

Feasibility of non-radical resection combined with internal fixation for adolescents with lower limb fibrous dysplasia: a single-center retrospective study with a small sample size.

Feasibility of non-radical resection combined with internal fixation for adolescents with lower limb fibrous dysplasia: a single-center retrospective study with a small sample size.

Background: The management of osteofibrous dysplasia (OFD) is controversial, with limited reports on combining non-radical resection with internal fixation. This study evaluates optimal treatments for patients with OFD aged < 15 years, with attention to the limitations of the small sample size.

Materials and methods: This retrospective analysis included 28 patients (30 extremity) with severe pain, pathological fractures, angular deformities, or extensive cortical bone involvement. On the basis of the surgical approach, patients were divided into four groups: group 1, curettage, allograft, and plate fixation for six patients (six extremity); group 2, elastic stable intramedullary nailing fixation for six patients (six extremity); group 3, Fassier-Duval telescopic system fixation for eight patients (nine extremity); and group 4, interlocking intramedullary nail for eight patients (nine extremity).

Results: All patients achieved bony union and pain alleviation with no recurrence of deformities. The refracture rate during the follow-up was zero cases (0%; group 1) versus one (16.7%; group 2) versus zero (0%; group 3) versus zero cases (0% group 4) (p > 0.05). Instances of internal fixation loosening were zero cases (0%; group 1) versus zero (0%; group 2) versus five (55.6%; group 3) versus zero cases (0%; group 4) (p < 0.05). The musculoskeletal tumor society (MSTS) scores of the four groups were 27.5 (group 1) versus 27.7 (group 2) versus 26.3 (group 3) versus 28.7 (group 4) (p < 0.05).

Conclusions: Selecting different treatment strategies for patients of various ages and locations with OFD is vital. Surgical intervention for patients with persistent pain, pathological fractures, extensive cortical bone involvement, or significant tibial deformities can significantly improve their quality of life. The encouraging MSTS scores also support this conclusion. However, given the study's single-center design and small sample size, further research with larger, multicenter studies is necessary.

Level of evidence: Level IV.

求助全文
通过发布文献求助,成功后即可免费获取论文全文。 去求助
来源期刊
Journal of Orthopaedics and Traumatology
Journal of Orthopaedics and Traumatology Medicine-Orthopedics and Sports Medicine
CiteScore
4.30
自引率
0.00%
发文量
56
审稿时长
13 weeks
期刊介绍: The Journal of Orthopaedics and Traumatology, the official open access peer-reviewed journal of the Italian Society of Orthopaedics and Traumatology, publishes original papers reporting basic or clinical research in the field of orthopaedic and traumatologic surgery, as well as systematic reviews, brief communications, case reports and letters to the Editor. Narrative instructional reviews and commentaries to original articles may be commissioned by Editors from eminent colleagues. The Journal of Orthopaedics and Traumatology aims to be an international forum for the communication and exchange of ideas concerning the various aspects of orthopaedics and musculoskeletal trauma.
×
引用
GB/T 7714-2015
复制
MLA
复制
APA
复制
导出至
BibTeX EndNote RefMan NoteFirst NoteExpress
×
提示
您的信息不完整,为了账户安全,请先补充。
现在去补充
×
提示
您因"违规操作"
具体请查看互助需知
我知道了
×
提示
确定
请完成安全验证×
copy
已复制链接
快去分享给好友吧!
我知道了
右上角分享
点击右上角分享
0
联系我们:info@booksci.cn Book学术提供免费学术资源搜索服务,方便国内外学者检索中英文文献。致力于提供最便捷和优质的服务体验。 Copyright © 2023 布克学术 All rights reserved.
京ICP备2023020795号-1
ghs 京公网安备 11010802042870号
Book学术文献互助
Book学术文献互助群
群 号:604180095
Book学术官方微信