以胃出血为表现的滋养细胞胰腺癌肉瘤1例报告及文献复习。

IF 1
Emir Mehmet Yünlüel, Iklil Eryılmaz, Fırat Yetiş, Elife Kımıloğlu, Nuray Doğan, Ahmet Muzaffer Er
{"title":"以胃出血为表现的滋养细胞胰腺癌肉瘤1例报告及文献复习。","authors":"Emir Mehmet Yünlüel, Iklil Eryılmaz, Fırat Yetiş, Elife Kımıloğlu, Nuray Doğan, Ahmet Muzaffer Er","doi":"10.14744/tjtes.2025.72884","DOIUrl":null,"url":null,"abstract":"<p><p>Pancreatic carcinosarcoma is one of the rare malignant tumors of the pancreas. Although they are aggressive, they can be detected with local or distant organ metastases when detected. In this article, the surgical procedure applied to pancreatic trophoblastic carcinosarcoma, which showed local invasion in a patient who applied to the emergency department of our hospital with the complaint of bloody vomiting and was operated with a preliminary diagnosis of gastric hemorrhage, the pathology result and the aggressive progression of the disease in a short time were presented. A literature review was conducted for pancreatic trophoblastic carcinosarcoma, which is a rare case, and the findings were presented.</p>","PeriodicalId":94263,"journal":{"name":"Ulusal travma ve acil cerrahi dergisi = Turkish journal of trauma & emergency surgery : TJTES","volume":"31 4","pages":"405-410"},"PeriodicalIF":1.0000,"publicationDate":"2025-04-01","publicationTypes":"Journal Article","fieldsOfStudy":null,"isOpenAccess":false,"openAccessPdf":"https://www.ncbi.nlm.nih.gov/pmc/articles/PMC12000979/pdf/","citationCount":"0","resultStr":"{\"title\":\"Case report and literature review of trophoblastic pancreatic carcinosarcoma presenting with gastric hemorrhage.\",\"authors\":\"Emir Mehmet Yünlüel, Iklil Eryılmaz, Fırat Yetiş, Elife Kımıloğlu, Nuray Doğan, Ahmet Muzaffer Er\",\"doi\":\"10.14744/tjtes.2025.72884\",\"DOIUrl\":null,\"url\":null,\"abstract\":\"<p><p>Pancreatic carcinosarcoma is one of the rare malignant tumors of the pancreas. Although they are aggressive, they can be detected with local or distant organ metastases when detected. In this article, the surgical procedure applied to pancreatic trophoblastic carcinosarcoma, which showed local invasion in a patient who applied to the emergency department of our hospital with the complaint of bloody vomiting and was operated with a preliminary diagnosis of gastric hemorrhage, the pathology result and the aggressive progression of the disease in a short time were presented. A literature review was conducted for pancreatic trophoblastic carcinosarcoma, which is a rare case, and the findings were presented.</p>\",\"PeriodicalId\":94263,\"journal\":{\"name\":\"Ulusal travma ve acil cerrahi dergisi = Turkish journal of trauma & emergency surgery : TJTES\",\"volume\":\"31 4\",\"pages\":\"405-410\"},\"PeriodicalIF\":1.0000,\"publicationDate\":\"2025-04-01\",\"publicationTypes\":\"Journal Article\",\"fieldsOfStudy\":null,\"isOpenAccess\":false,\"openAccessPdf\":\"https://www.ncbi.nlm.nih.gov/pmc/articles/PMC12000979/pdf/\",\"citationCount\":\"0\",\"resultStr\":null,\"platform\":\"Semanticscholar\",\"paperid\":null,\"PeriodicalName\":\"Ulusal travma ve acil cerrahi dergisi = Turkish journal of trauma & emergency surgery : TJTES\",\"FirstCategoryId\":\"1085\",\"ListUrlMain\":\"https://doi.org/10.14744/tjtes.2025.72884\",\"RegionNum\":0,\"RegionCategory\":null,\"ArticlePicture\":[],\"TitleCN\":null,\"AbstractTextCN\":null,\"PMCID\":null,\"EPubDate\":\"\",\"PubModel\":\"\",\"JCR\":\"\",\"JCRName\":\"\",\"Score\":null,\"Total\":0}","platform":"Semanticscholar","paperid":null,"PeriodicalName":"Ulusal travma ve acil cerrahi dergisi = Turkish journal of trauma & emergency surgery : TJTES","FirstCategoryId":"1085","ListUrlMain":"https://doi.org/10.14744/tjtes.2025.72884","RegionNum":0,"RegionCategory":null,"ArticlePicture":[],"TitleCN":null,"AbstractTextCN":null,"PMCID":null,"EPubDate":"","PubModel":"","JCR":"","JCRName":"","Score":null,"Total":0}
引用次数: 0

摘要

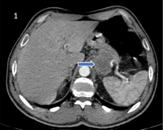
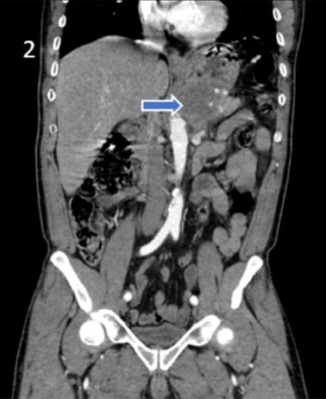
胰腺癌肉瘤是胰腺罕见的恶性肿瘤之一。虽然它们是侵袭性的,但当它们被发现时,可以发现局部或远处的器官转移。本文介绍了一名以吐血为主诉到我院急诊科就诊,初步诊断为胃出血的胰腺滋养细胞癌肉瘤的局部侵袭的手术方法,病理结果及短时间内疾病的侵袭性进展。我们对罕见的胰脏滋养细胞癌肉瘤进行文献回顾,并报告其研究结果。
本文章由计算机程序翻译,如有差异,请以英文原文为准。

Case report and literature review of trophoblastic pancreatic carcinosarcoma presenting with gastric hemorrhage.

Case report and literature review of trophoblastic pancreatic carcinosarcoma presenting with gastric hemorrhage.

Case report and literature review of trophoblastic pancreatic carcinosarcoma presenting with gastric hemorrhage.

Case report and literature review of trophoblastic pancreatic carcinosarcoma presenting with gastric hemorrhage.

Pancreatic carcinosarcoma is one of the rare malignant tumors of the pancreas. Although they are aggressive, they can be detected with local or distant organ metastases when detected. In this article, the surgical procedure applied to pancreatic trophoblastic carcinosarcoma, which showed local invasion in a patient who applied to the emergency department of our hospital with the complaint of bloody vomiting and was operated with a preliminary diagnosis of gastric hemorrhage, the pathology result and the aggressive progression of the disease in a short time were presented. A literature review was conducted for pancreatic trophoblastic carcinosarcoma, which is a rare case, and the findings were presented.

求助全文
通过发布文献求助,成功后即可免费获取论文全文。 去求助
来源期刊
自引率
0.00%
发文量
0
×
引用
GB/T 7714-2015
复制
MLA
复制
APA
复制
导出至
BibTeX EndNote RefMan NoteFirst NoteExpress
×
提示
您的信息不完整,为了账户安全,请先补充。
现在去补充
×
提示
您因"违规操作"
具体请查看互助需知
我知道了
×
提示
确定
请完成安全验证×
copy
已复制链接
快去分享给好友吧!
我知道了
右上角分享
点击右上角分享
0
联系我们:info@booksci.cn Book学术提供免费学术资源搜索服务,方便国内外学者检索中英文文献。致力于提供最便捷和优质的服务体验。 Copyright © 2023 布克学术 All rights reserved.
京ICP备2023020795号-1
ghs 京公网安备 11010802042870号
Book学术文献互助
Book学术文献互助群
群 号:604180095
Book学术官方微信